扫码关注公众号           扫码咨询技术支持           扫码咨询技术服务
  
客服热线:400-901-9800  客服QQ:4009019800  技术答疑  技术支持  质量反馈  人才招聘  关于我们  联系我们
产品中心-北京博奥森生物技术有限公司
首页 > 产品中心 > 一抗 > 产品信息
phospho-VASP (Ser156) Recombinant Rabbit mAb (bsm-63018R)  
订购热线:400-901-9800
订购邮箱:sales@bioss.com.cn
订购QQ:  400-901-9800
技术支持:techsupport@bioss.com.cn
25ul/800.00元
50ul/1400.00元
100ul/2500.00元
大包装/询价

产品编号 bsm-63018R
英文名称 phospho-VASP (Ser156) Recombinant Rabbit mAb
中文名称 磷酸化血管扩张刺激磷蛋白重组兔单抗
别    名 VASP (phospho-S156); p-VASP; phospho-VASP; VASP (phospho-Ser156); VASP_CANLF; VASP; VASP_HUMAN; VASP_MOUSE;   
抗体来源 Rabbit
克隆类型 Recombinant
克 隆 号 1C5
交叉反应 Human
产品应用 WB=1:500-2000,IHC-P=1:100-500,IHC-F=1:100-500,IF=1:100-500
not yet tested in other applications.
optimal dilutions/concentrations should be determined by the end user.
理论分子量 40 kDa
检测分子量 46
性    状 Liquid
免 疫 原 A synthesized peptide derived from human VASP around the phosphorylation site of S156: RRV-pS-NAG 
亚    型 IgG
纯化方法 affinity purified by Protein A
缓 冲 液 10mM phosphate buffered saline(pH 7.4) with 150mM sodium chloride, 0.05% BSA, 0.02% Proclin300 and 50% glycerol.
保存条件 Store at 4℃ for short term. Store at -20℃ for long term. Avoid repeated freeze/thaw cycles.
注意事项 This product as supplied is intended for research use only, not for use in human, therapeutic or diagnostic applications.
PubMed PubMed
产品介绍 Ena/VASP proteins are actin-associated proteins involved in a range of processes dependent on cytoskeleton remodeling and cell polarity such as axon guidance, lamellipodial and filopodial dynamics, platelet activation and cell migration. VASP promotes actin filament elongation. It protects the barbed end of growing actin filaments against capping and increases the rate of actin polymerization in the presence of capping protein.

SWISS:
P50552

Gene ID:
7408

    VASP属于Ena-VASP蛋白家族,是一种肌动蛋白结合蛋白。细胞骨架动力学的调节在细胞粘附、细胞变形、细胞移动等生理过程中是必需的。VASP可能也参与细胞内信号通道,该通道调节整联蛋白与细胞外基质间的相互作用。VASP被周期核苷酸依赖型激酶PKA与PKG所调节,在一些肿瘤的分化、增值、转移中起到一定的作用,在肿瘤中有较高的表达。     近年来的研究发现VASP在与细胞骨架调节有关的各种细胞行为中起着重要作用,如神经细胞轴索的延伸、T细胞的移动、成纤维细胞的迁移等。     VAS
产品图片
Hela (H) cells were treated with or without Calyculin A (100ng/mL) for 30 min, 25 μg total protein per lane of cell lysates (see on figure) probed with Phospho-VASP (Ser156) monoclonal antibody, unconjugated (bsm-63018R) at 1:1000 dilution and 4°C overnight incubation. Followed by conjugated secondary antibody incubation at r.t. for 60 min.
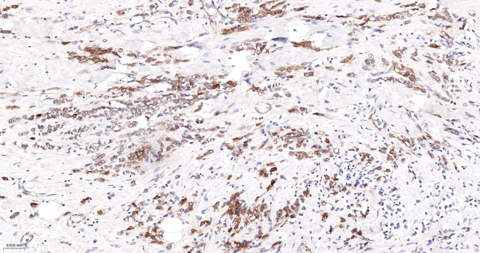
Paraformaldehyde-fixed, paraffin embedded Human Breast Cancer; Antigen retrieval by boiling in sodium citrate buffer (pH6.0) for 15 min; The section was incubated with phospho-VASP (Ser156) Monoclonal Antibody, Unconjugated (bsm-63018R) at 1:200 overnight at 4°C, followed by conjugation to the bs-0295G-HRP and DAB (C-0010) staining.
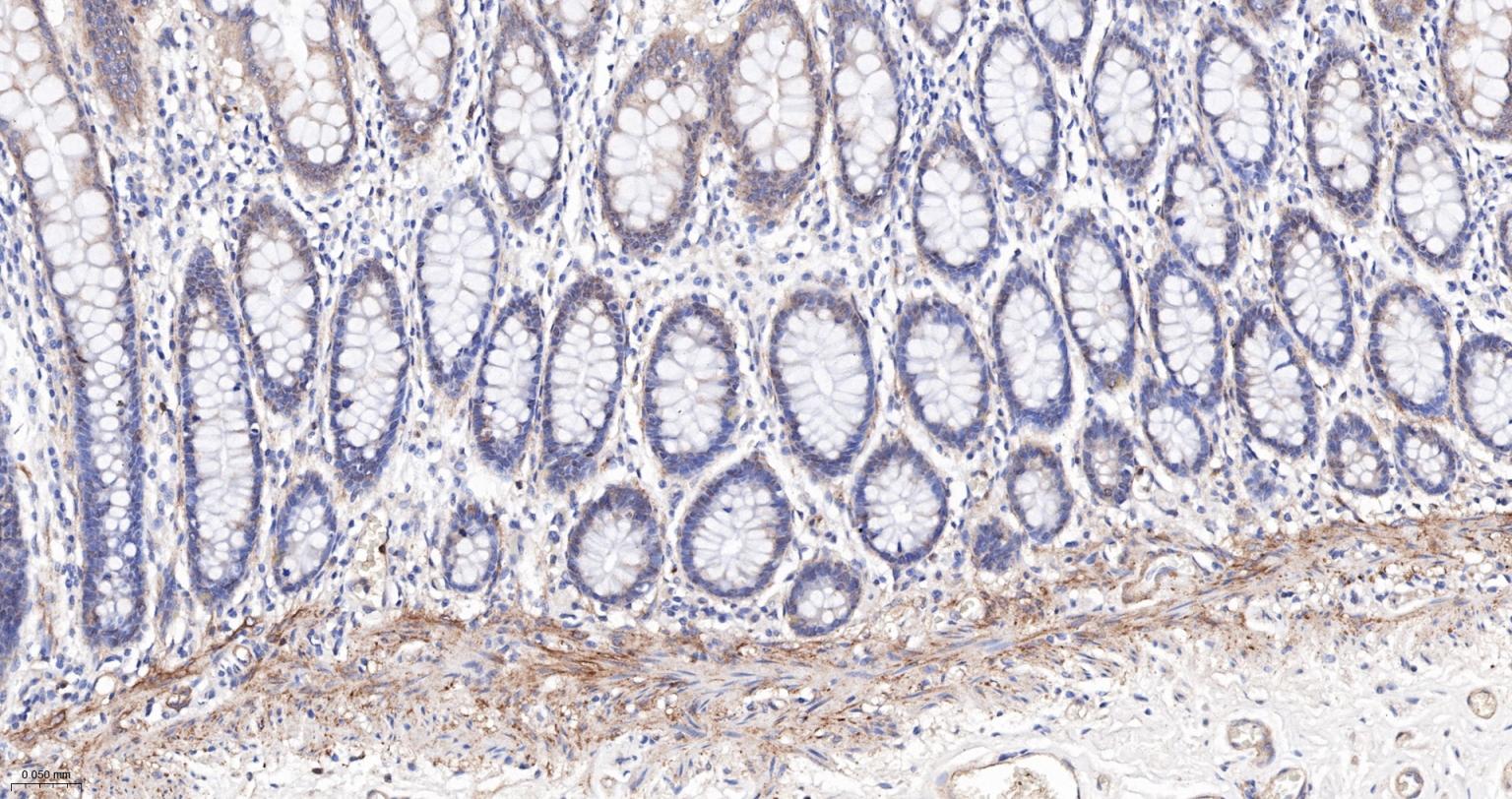
Paraformaldehyde-fixed, paraffin embedded Human Colon; Antigen retrieval by boiling in sodium citrate buffer (pH6.0) for 15 min; The section was incubated with phospho-VASP (Ser156) Monoclonal Antibody, Unconjugated (bsm-63018R) at 1:200 overnight at 4°C, followed by conjugation to the bs-0295G-HRP and DAB (C-0010) staining.
版权所有 2004-2026 www.bioss.com.cn 北京博奥森生物技术有限公司
通过国际质量管理体系ISO 9001:2015 GB/T 19001-2016    证书编号: 00124Q34771R2M/1100
通过国际医疗器械-质量管理体系ISO 13485:2016 GB/T 42061-2022     证书编号: CQC24QY20047R0M/1100
京ICP备05066980号-1         京公网安备110107000727号