扫码关注公众号           扫码咨询技术支持           扫码咨询技术服务
  
客服热线:400-901-9800  客服QQ:4009019800  技术答疑  技术支持  质量反馈  人才招聘  关于我们  联系我们
产品中心-北京博奥森生物技术有限公司
首页 > 产品中心 > 一抗 > 产品信息
Thioredoxin Recombinant Rabbit mAb (bsm-63003R)  
订购热线:400-901-9800
订购邮箱:sales@bioss.com.cn
订购QQ:  400-901-9800
技术支持:techsupport@bioss.com.cn
25ul/800.00元
50ul/1400.00元
100ul/2500.00元
大包装/询价

产品编号 bsm-63003R
英文名称 Thioredoxin Recombinant Rabbit mAb
中文名称 硫氧还蛋白重组兔单抗
别    名 TRDX; TRX; TRX1; TXN1; Trx80; ADF; Txn; THIO_HUMAN; ATL-derived factor (ADF); Surface-associated sulphydryl protein (SASP); THIO_MOUSE; THIO_RAT;   
抗体来源 Rabbit
克隆类型 Recombinant
克 隆 号 2D20
交叉反应 Human
产品应用 WB=1:500-2000,IHC-P=1:50-200,IHC-F=1:50-200,IF=1:50-200,ICC/IF=1:50-200,IP=1:20-50
not yet tested in other applications.
optimal dilutions/concentrations should be determined by the end user.
理论分子量 12 kDa
检测分子量 11
性    状 Liquid
免 疫 原 A synthesized peptide derived from human Thioredoxin: 1-55 
亚    型 IgG
纯化方法 affinity purified by Protein A
缓 冲 液 10mM phosphate buffered saline(pH 7.4) with 150mM sodium chloride, 0.05% BSA, 0.02% Proclin300 and 50% glycerol.
保存条件 Store at 4℃ for short term. Store at -20℃ for long term. Avoid repeated freeze/thaw cycles.
注意事项 This product as supplied is intended for research use only, not for use in human, therapeutic or diagnostic applications.
PubMed PubMed
产品介绍 Participates in various redox reactions through the reversible oxidation of its active center dithiol to a disulfide and catalyzes dithiol-disulfide exchange reactions. Plays a role in the reversible S-nitrosylation of cysteine residues in target proteins, and thereby contributes to the response to intracellular nitric oxide. Nitrosylates the active site Cys of CASP3 in response to nitric oxide (NO), and thereby inhibits caspase-3 activity.

SWISS:
P10599

Gene ID:
7295

硫氧还蛋白(Thioredoxin,Trx)是一类广泛存在于生物体内的多功能酸性蛋白,分子量约12kDa,是一种小分子含硒蛋白质,参与细胞的一系列生化反应,包括酶活性的调节、转录因子的调控等,是重要的酶活力调节蛋白。 硫氧还蛋白的功能绝大多数是依赖于硫氧还蛋白还原靶蛋白中的二硫键。所有硫氧还蛋白均有一个保守的活性中心,Trp-Cys-Gly(Ala)-Pro-Cys,活性中心有两个具有氧还活性的半胱氨酸残基。
产品图片
25 ug total protein per lane of various lysates (see on figure) probed with Thioredoxin monoclonal antibody, unconjugated (bsm-63003R) at 1:2000 dilution and 4°C overnight incubation. Followed by conjugated secondary antibody incubation at r.t. for 60 min.
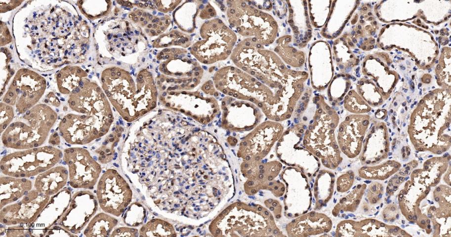
Paraformaldehyde-fixed, paraffin embedded Human Kidney; Antigen retrieval by boiling in sodium citrate buffer (pH6.0) for 15 min; The section was incubated with Thioredoxin Monoclonal Antibody, Unconjugated (bsm-63003R) at 1:200 overnight at 4°C, followed by conjugation to the bs-0295G-HRP and DAB (C-0010) staining.
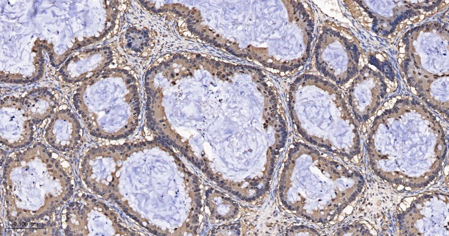
Paraformaldehyde-fixed, paraffin embedded Human Colon; Antigen retrieval by boiling in sodium citrate buffer (pH6.0) for 15 min; The section was incubated with Thioredoxin Monoclonal Antibody, Unconjugated (bsm-63003R) at 1:200 overnight at 4°C, followed by conjugation to the bs-0295G-HRP and DAB (C-0010) staining.
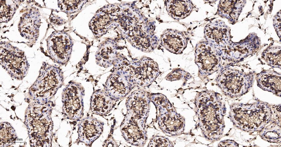
Paraformaldehyde-fixed, paraffin embedded Human Testicles; Antigen retrieval by boiling in sodium citrate buffer (pH6.0) for 15 min; The section was incubated with Thioredoxin Monoclonal Antibody, Unconjugated (bsm-63003R) at 1:200 overnight at 4°C, followed by conjugation to the bs-0295G-HRP and DAB (C-0010) staining.
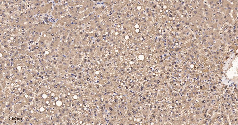
Paraformaldehyde-fixed, paraffin embedded Human Liver; Antigen retrieval by boiling in sodium citrate buffer (pH6.0) for 15 min; The section was incubated with Thioredoxin Monoclonal Antibody, Unconjugated (bsm-63003R) at 1:200 overnight at 4°C, followed by conjugation to the bs-0295G-HRP and DAB (C-0010) staining.
Paraformaldehyde-fixed, paraffin embedded Human Ovarian Cancer; Antigen retrieval by boiling in sodium citrate buffer (pH6.0) for 15 min; The section was incubated with Thioredoxin Monoclonal Antibody, Unconjugated (bsm-63003R) at 1:200 overnight at 4°C, followed by conjugation to the bs-0295G-HRP and DAB (C-0010) staining.
4% Paraformaldehyde-fixed HepG2 (H) cell; Triton X-100 at r.t. for 20 min; Antibody incubation with (Thioredoxin) monoclonal Antibody, unconjugated (bsm-63003R) 1:100, 90 min at 37°C; followed by conjugated Goat Anti-Rabbit IgG antibody (green, bs-40295G-FITC) at 37°C for 90 min, DAPI (blue, C02-04002) was used to stain the cell nuclei. PBS instead of the primary antibody was used as the blank control.
版权所有 2004-2026 www.bioss.com.cn 北京博奥森生物技术有限公司
通过国际质量管理体系ISO 9001:2015 GB/T 19001-2016    证书编号: 00124Q34771R2M/1100
通过国际医疗器械-质量管理体系ISO 13485:2016 GB/T 42061-2022     证书编号: CQC24QY20047R0M/1100
京ICP备05066980号-1         京公网安备110107000727号