扫码关注公众号           扫码咨询技术支持           扫码咨询技术服务
  
客服热线:400-901-9800  客服QQ:4009019800  技术答疑  技术支持  质量反馈  人才招聘  关于我们  联系我们
产品中心-北京博奥森生物技术有限公司
首页 > 产品中心 > 一抗 > 产品信息
Sprouty 2 Recombinant Rabbit mAb (bsm-61798R)  
订购热线:400-901-9800
订购邮箱:sales@bioss.com.cn
订购QQ:  400-901-9800
技术支持:techsupport@bioss.com.cn
25ul/800.00元
50ul/1400.00元
100ul/2500.00元
大包装/询价

产品编号 bsm-61798R
英文名称 Sprouty 2 Recombinant Rabbit mAb
中文名称 快速发育生长因子同源蛋白2重组兔单抗
别    名 IGAN3; hSPRY2; sprouty2; SPY2_HUMAN; SPRY2; Spry-2; SPY2_MOUSE;   
抗体来源 Rabbit
克隆类型 Recombinant
克 隆 号 12C9
交叉反应 Human,Rat
产品应用 WB=1:1000-2000,IHC-P=1:100-200,IHC-F=1:100-200,IF=1:50-200,Flow-Cyt=1:50-100,ICC/IF=1:50-200,IP=1:20-50
not yet tested in other applications.
optimal dilutions/concentrations should be determined by the end user.
理论分子量 35 kDa
检测分子量 40
性    状 Liquid
免 疫 原 A synthesized peptide derived from human Spry 2: 250-315 
亚    型 IgG
纯化方法 affinity purified by Protein A
缓 冲 液 10mM phosphate buffered saline(pH 7.4) with 150mM sodium chloride, 0.05% BSA, 0.02% Proclin300 and 50% glycerol.
保存条件 Store at 4℃ for short term. Store at -20℃ for long term. Avoid repeated freeze/thaw cycles.
注意事项 This product as supplied is intended for research use only, not for use in human, therapeutic or diagnostic applications.
PubMed PubMed
产品介绍 Antagonist of fibroblast growth factor (FGF) pathways via inhibition of FGF-mediated phosphorylation of ERK1/2.Thereby acts as an antagonist of FGF-induced retinal lens fiber differentiation, may inhibit limb bud outgrowth and may negatively modulate respiratory organogenesis.

SWISS:
O43597

Gene ID:
10253

Sprouty2是一类在全身组织广泛表达的软脂酰化磷蛋白,在机体的信号转导,尤其是受体蛋白对受体酪氨酸激酶(RTK)等信号通路起着重要的抑制作用,其表达在多种肿瘤组织中发生明显下降,并可进一步引起细胞异常增殖、转化及新生血管形成,从而促进肿瘤的发生及发展。
产品图片
Western blot analysis of HeLa cell lysate. Using Sprouty 2 (bsm-61798R) monoclonal antibody at 1:1000 dilution and 4°C overnight incubation. Followed by conjugated secondary antibody incubation at r.t. for 60 min.
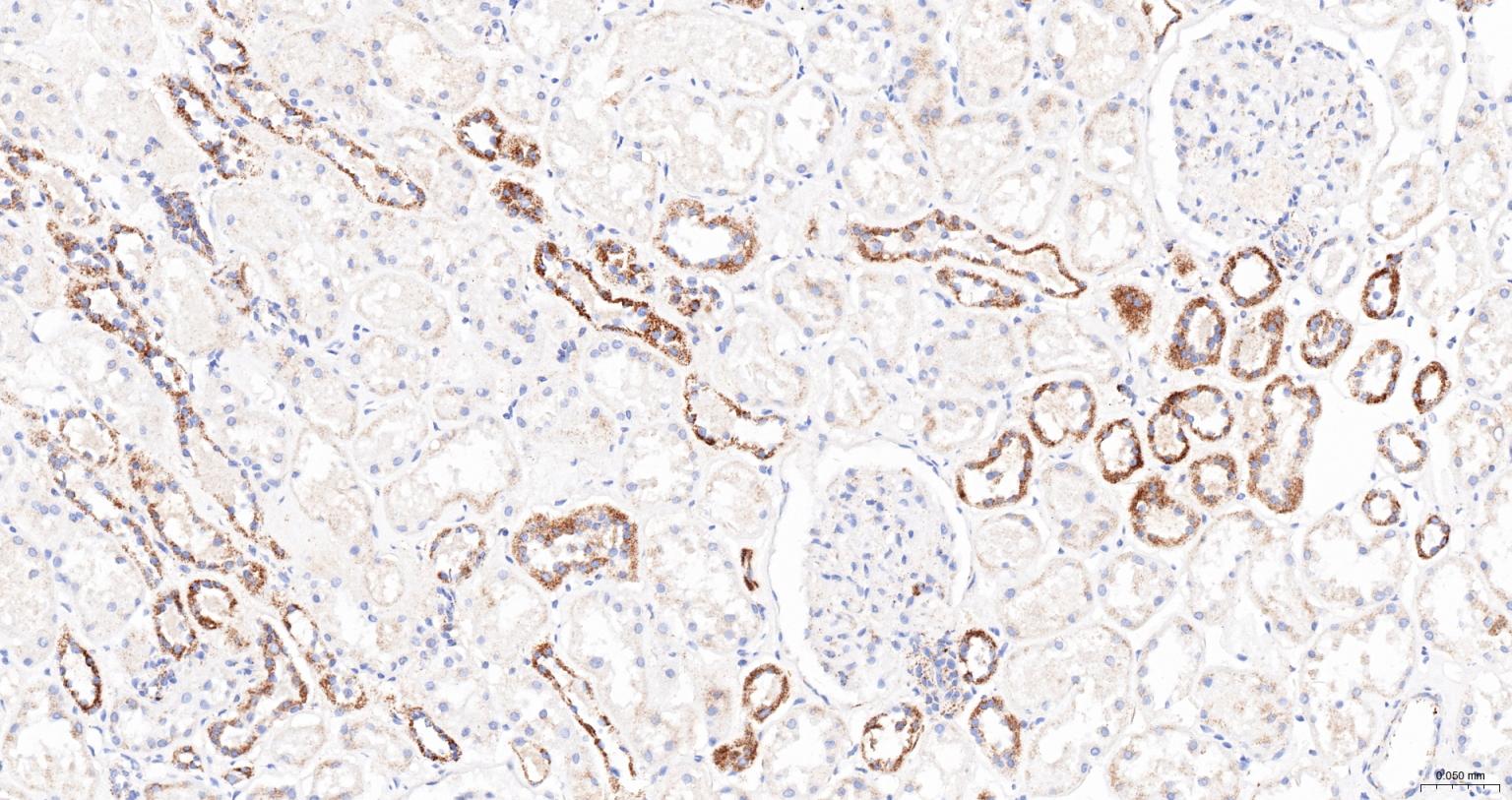
Paraformaldehyde-fixed, paraffin embedded Human Kidney; Antigen retrieval by boiling in sodium citrate buffer (pH6.0) for 15 min; The section was incubated with Sprouty 2 Monoclonal Antibody, Unconjugated (bsm-61798R) at 1:200 overnight at 4°C, followed by conjugation to the bs-0295G-HRP and DAB (C-0010) staining.
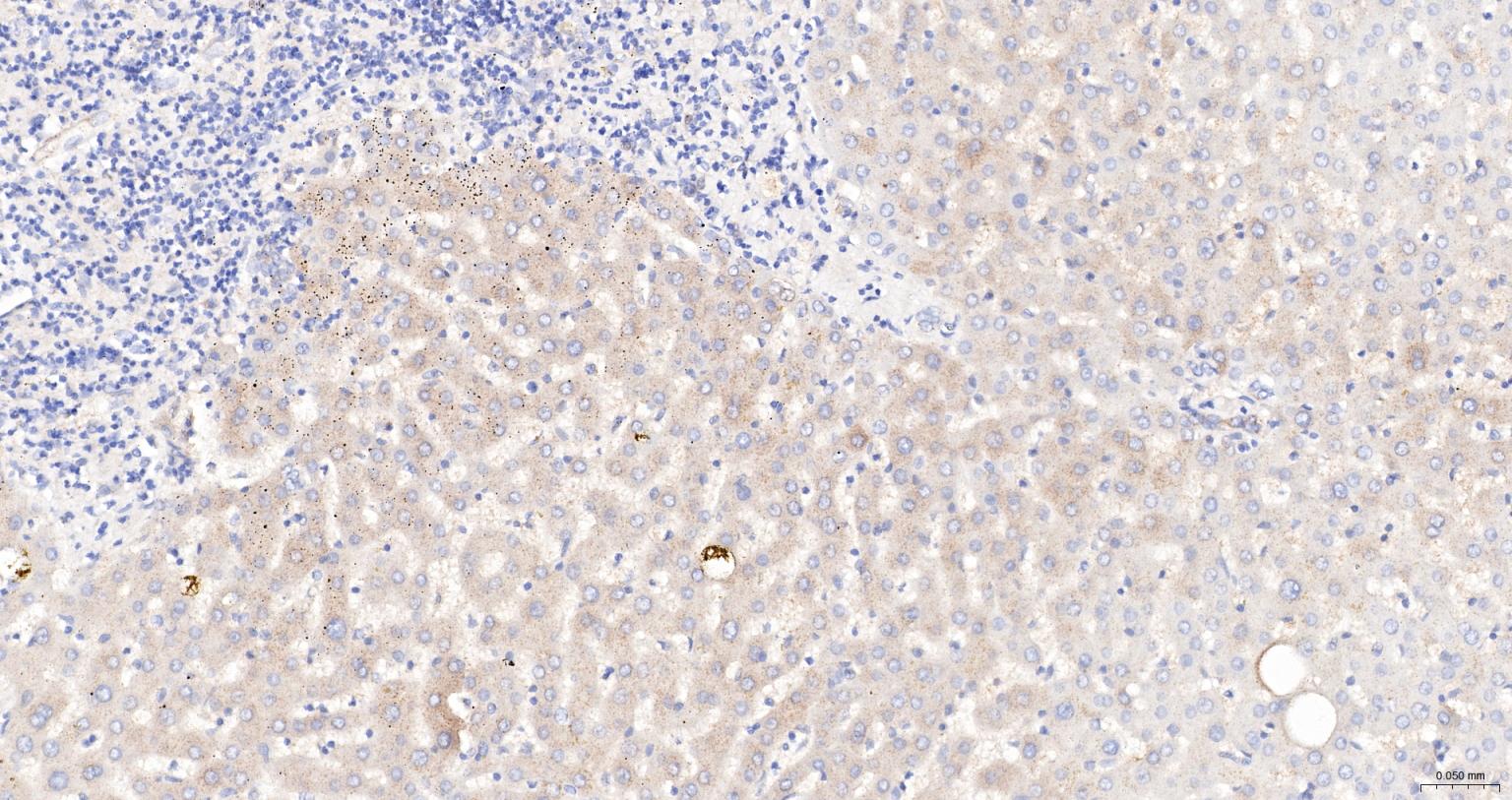
Paraformaldehyde-fixed, paraffin embedded Human Liver; Antigen retrieval by boiling in sodium citrate buffer (pH6.0) for 15 min; The section was incubated with Sprouty 2 Monoclonal Antibody, Unconjugated (bsm-61798R) at 1:200 overnight at 4°C, followed by conjugation to the bs-0295G-HRP and DAB (C-0010) staining.
Paraformaldehyde-fixed, paraffin embedded Human Glioma; Antigen retrieval by boiling in sodium citrate buffer (pH6.0) for 15 min; The section was incubated with Sprouty 2 Monoclonal Antibody, Unconjugated (bsm-61798R) at 1:200 overnight at 4°C, followed by conjugation to the bs-0295G-HRP and DAB (C-0010) staining.
Paraformaldehyde-fixed, paraffin embedded Rat Cerebrum; Antigen retrieval by boiling in sodium citrate buffer (pH6.0) for 15 min; The section was incubated with Sprouty 2 Monoclonal Antibody, Unconjugated (bsm-61798R) at 1:200 overnight at 4°C, followed by conjugation to the bs-0295G-HRP and DAB (C-0010) staining.
Paraformaldehyde-fixed, paraffin embedded Rat Cerebrum; Antigen retrieval by boiling in sodium citrate buffer (pH6.0) for 15 min; The section was incubated with Sprouty 2 Monoclonal Antibody, Unconjugated (bsm-61798R) at 1:200 overnight at 4°C. Followed by conjugated Goat Anti-Ratbbit IgG antibody (Red, bs-0295G-BF594), DAPI (blue, C02-04002) was used to stain the cell nuclei.
The Hela (H) cells were fixed with 4% PFA (10 min at r.t.) and then permeabilized with 90% ice-cold methanol for 20 min at -20℃,the cells then were incubated in 5%BSA to block non-specific protein-protein interactions (30 min at r.t.), followed by secondary antibody incubation for 40 min at room temperature. Primary Antibody (green):Rabbit Anti-Sprouty 2 antibody (bsm-61798R,1:100); Isotype Control (orange): Rabbit IgG (bs-0295P). Blank control (black): PBS. Acquisition of 20,000 events was performed.
版权所有 2004-2026 www.bioss.com.cn 北京博奥森生物技术有限公司
通过国际质量管理体系ISO 9001:2015 GB/T 19001-2016    证书编号: 00124Q34771R2M/1100
通过国际医疗器械-质量管理体系ISO 13485:2016 GB/T 42061-2022     证书编号: CQC24QY20047R0M/1100
京ICP备05066980号-1         京公网安备110107000727号