扫码关注公众号           扫码咨询技术支持           扫码咨询技术服务
  
客服热线:400-901-9800  客服QQ:4009019800  技术答疑  技术支持  质量反馈  人才招聘  关于我们  联系我们
产品中心-北京博奥森生物技术有限公司
首页 > 产品中心 > 一抗 > 产品信息
IMP3 Recombinant Rabbit mAb (bsm-61766R)  
订购热线:400-901-9800
订购邮箱:sales@bioss.com.cn
订购QQ:  400-901-9800
技术支持:techsupport@bioss.com.cn
25ul/800.00元
50ul/1400.00元
100ul/2500.00元
大包装/询价

产品编号 bsm-61766R
英文名称 IMP3 Recombinant Rabbit mAb
中文名称 胰岛素样生长因子2mRNA结合蛋白3重组兔单抗
别    名 CT98; IMP-3; IMP3; KOC; KOC1; VICKZ3; 2610101N11Rik; Koc13; Neilsen; mimp3; Ab2-255; RGD1306512; IF2B3_HUMAN; IGF2BP3; IGF2 mRNA-binding protein 3; IGF-II mRNA-binding protein 3; KH domain-containing protein overexpressed in cancer (hKOC); VICKZ family member 3; IF2B3_MOUSE; mIMP-3;   
抗体来源 Rabbit
克隆类型 Recombinant
克 隆 号 3D10
交叉反应 Human
产品应用 WB=1:500-2000,IHC-P=1:50-200,IHC-F=1:50-200,IF=1:50-200,Flow-Cyt=1:50-100,ICC/IF=1:50-200,IP=1:20-50
not yet tested in other applications.
optimal dilutions/concentrations should be determined by the end user.
理论分子量 64 kDa
检测分子量 65
性    状 Liquid
免 疫 原 A synthesized peptide derived from human IMP 3: 1-200 
亚    型 IgG
纯化方法 affinity purified by Protein A
缓 冲 液 10mM phosphate buffered saline(pH 7.4) with 150mM sodium chloride, 0.05% BSA, 0.02% Proclin300 and 50% glycerol.
保存条件 Store at 4℃ for short term. Store at -20℃ for long term. Avoid repeated freeze/thaw cycles.
注意事项 This product as supplied is intended for research use only, not for use in human, therapeutic or diagnostic applications.
PubMed PubMed
产品介绍 RNA-binding factor that may recruit target transcripts to cytoplasmic protein-RNA complexes (mRNPs). This transcript 'caging' into mRNPs allows mRNA transport and transient storage.

SWISS:
O00425

Gene ID:
10643

IGF2BP3是一种可以与胰岛素样生长因子(IGFs)结合的分泌性蛋白,其通过IGFs调节细胞的生长、分化、凋亡、黏附和运动,IGF2BP3与IGFs结合可以调节IGFs与IGF2型受体间的相互作用,改变其促有丝分裂效应、凋亡抑制效应和促细胞运动作用。
产品图片
25 ug total protein per lane of various lysates (see on figure) probed with IMP3 monoclonal antibody, unconjugated (bsm-61766R) at 1:2000 dilution and 4°C overnight incubation. Followed by conjugated secondary antibody incubation at r.t. for 60 min.
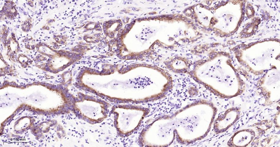
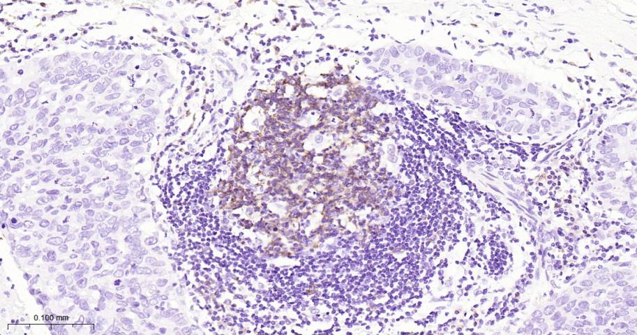
Paraformaldehyde-fixed, paraffin embedded Human Pancreatic Cancer; Antigen retrieval by boiling in sodium citrate buffer (pH6.0) for 15 min; Antibody incubation with IMP3 Monoclonal Antibody, Unconjugated(bsm-61766R) at 1:200 overnight at 4°C, followed by conjugation to the bs-0295G-HRP and DAB (C-0010) staining.
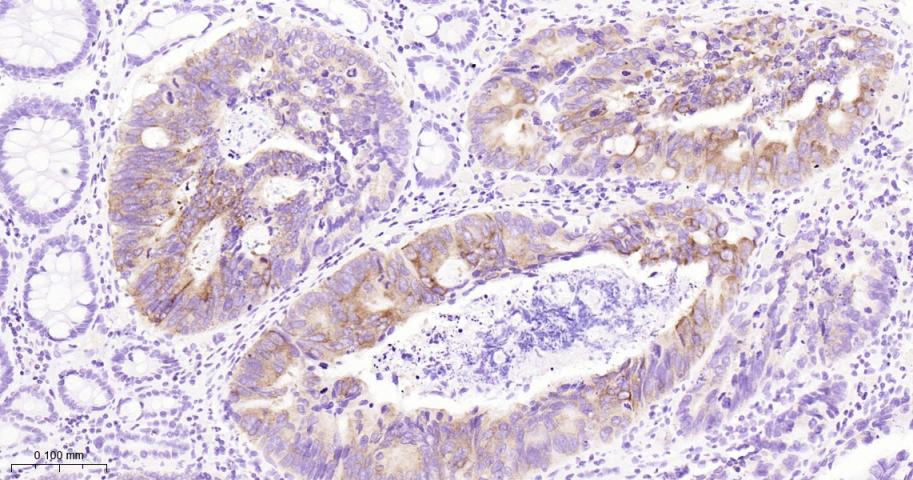
Paraformaldehyde-fixed, paraffin embedded Human Colon Cancer; Antigen retrieval by boiling in sodium citrate buffer (pH6.0) for 15 min; Antibody incubation with IMP3 Monoclonal Antibody, Unconjugated(bsm-61766R) at 1:200 overnight at 4°C, followed by conjugation to the bs-0295G-HRP and DAB (C-0010) staining.
Paraformaldehyde-fixed, paraffin embedded Human Cervical Cancer; Antigen retrieval by boiling in sodium citrate buffer (pH6.0) for 15 min; Antibody incubation with IMP3 Monoclonal Antibody, Unconjugated(bsm-61766R) at 1:200 overnight at 4°C, followed by conjugation to the bs-0295G-HRP and DAB (C-0010) staining.
Paraformaldehyde-fixed, paraffin embedded Human Breast Cancer; Antigen retrieval by boiling in sodium citrate buffer (pH6.0) for 15 min; Antibody incubation with IMP3 Monoclonal Antibody, Unconjugated(bsm-61766R) at 1:200 overnight at 4°C, followed by conjugation to the bs-0295G-HRP and DAB (C-0010) staining.
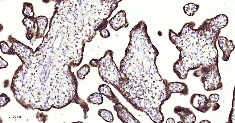
Paraformaldehyde-fixed, paraffin embedded Human Placenta; Antigen retrieval by boiling in sodium citrate buffer (pH6.0) for 15 min; Antibody incubation with IMP3 Monoclonal Antibody, Unconjugated(bsm-61766R) at 1:200 overnight at 4°C, followed by conjugation to the bs-0295G-HRP and DAB (C-0010) staining.
(Negative control) Paraformaldehyde-fixed, paraffin embedded Human Kidney; Antigen retrieval by boiling in sodium citrate buffer (pH6.0) for 15 min; Antibody incubation with IMP3 Monoclonal Antibody, Unconjugated(bsm-61766R) at 1:200 overnight at 4°C, followed by conjugation to the bs-0295G-HRP and DAB (C-0010) staining.
版权所有 2004-2026 www.bioss.com.cn 北京博奥森生物技术有限公司
通过国际质量管理体系ISO 9001:2015 GB/T 19001-2016    证书编号: 00124Q34771R2M/1100
通过国际医疗器械-质量管理体系ISO 13485:2016 GB/T 42061-2022     证书编号: CQC24QY20047R0M/1100
京ICP备05066980号-1         京公网安备110107000727号