扫码关注公众号           扫码咨询技术支持           扫码咨询技术服务
  
客服热线:400-901-9800  客服QQ:4009019800  技术答疑  技术支持  质量反馈  人才招聘  关于我们  联系我们
产品中心-北京博奥森生物技术有限公司
首页 > 产品中心 > 一抗 > 产品信息
Mammaglobin A Recombinant Rabbit mAb (bsm-61754R)  
订购热线:400-901-9800
订购邮箱:sales@bioss.com.cn
订购QQ:  400-901-9800
技术支持:techsupport@bioss.com.cn
25ul/800.00元
50ul/1400.00元
100ul/2500.00元
大包装/询价

产品编号 bsm-61754R
英文名称 Mammaglobin A Recombinant Rabbit mAb
中文名称 乳腺珠蛋白1重组兔单抗
别    名 C3.1; Psbp1; Psbpc3; Scgb2a2; SG2A2_HUMAN; Mammaglobin-1; Secretoglobin family 2A member 2; MGB1; UGB2;   
抗体来源 Rabbit
克隆类型 Recombinant
克 隆 号 3D7
交叉反应 Human (predicted: Rat)
产品应用 IHC-P=1:50-200,IHC-F=1:50-200,IF=1:50-200
not yet tested in other applications.
optimal dilutions/concentrations should be determined by the end user.
理论分子量 10 kDa
检测分子量 18
性    状 Liquid
免 疫 原 A synthesized peptide derived from human Mammaglobin A: 1-93 
亚    型 IgG
纯化方法 affinity purified by Protein A
缓 冲 液 10mM phosphate buffered saline(pH 7.4) with 150mM sodium chloride, 0.05% BSA, 0.02% Proclin300 and 50% glycerol.
保存条件 Store at 4℃ for short term. Store at -20℃ for long term. Avoid repeated freeze/thaw cycles.
注意事项 This product as supplied is intended for research use only, not for use in human, therapeutic or diagnostic applications.
PubMed PubMed
产品介绍 SCGB2A2 Belongs to the secretoglobin family. Lipophilin subfamily. 2 isoforms of the human protein are produced by alternative splicing.

SWISS:
Q13296

Gene ID:
4250

乳腺球蛋白是一个乳腺相关糖蛋白,它是一个分泌素家族(包括子宫球蛋白和lipophilin)成员的远亲。与其他分泌素家族成员不同,乳腺球蛋白的mRNA在乳腺组织中特异表达。在石蜡组织切片的检测中,该抗体检测乳腺癌组织中的乳腺珠蛋白敏感度高达80%。当和其他乳腺特异标记如GCDFP-15联合应用时,检测乳腺珠蛋白敏感度高达84%。有资料表明检测乳腺球蛋白,在鉴定原发癌是否发生转移中起到至关重要的作用。
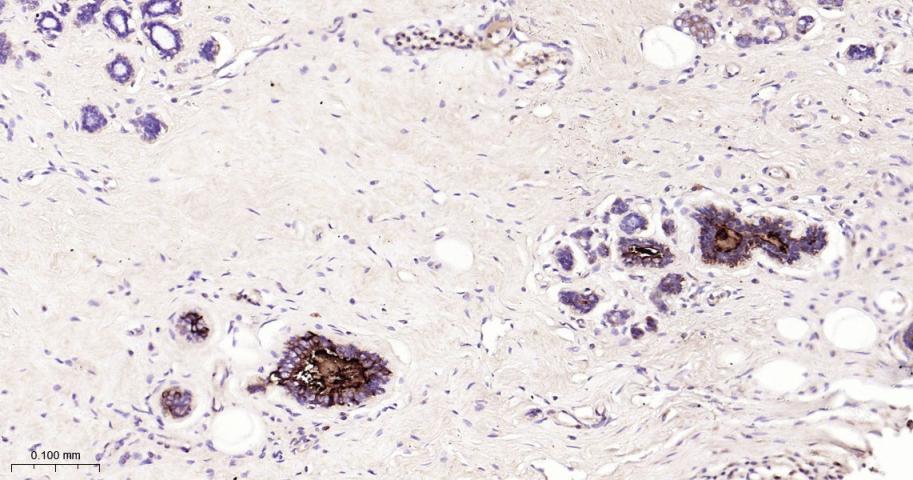
产品图片
Paraformaldehyde-fixed, paraffin embedded Human Breast; Antigen retrieval by boiling in sodium citrate buffer (pH6.0) for 15 min; Antibody incubation with Mammaglobin A Monoclonal Antibody, Unconjugated(bsm-61754R) at 1:200 overnight at 4°C, followed by conjugation to the bs-0295G-HRP and DAB (C-0010) staining.
版权所有 2004-2026 www.bioss.com.cn 北京博奥森生物技术有限公司
通过国际质量管理体系ISO 9001:2015 GB/T 19001-2016    证书编号: 00124Q34771R2M/1100
通过国际医疗器械-质量管理体系ISO 13485:2016 GB/T 42061-2022     证书编号: CQC24QY20047R0M/1100
京ICP备05066980号-1         京公网安备110107000727号