扫码关注公众号           扫码咨询技术支持           扫码咨询技术服务
  
客服热线:400-901-9800  客服QQ:4009019800  技术答疑  技术支持  质量反馈  人才招聘  关于我们  联系我们
产品中心-北京博奥森生物技术有限公司
首页 > 产品中心 > 一抗 > 产品信息
IKK epsilon Recombinant Rabbit mAb (bsm-61720R)  
订购热线:400-901-9800
订购邮箱:sales@bioss.com.cn
订购QQ:  400-901-9800
技术支持:techsupport@bioss.com.cn
25ul/800.00元
50ul/1400.00元
100ul/2500.00元
大包装/询价

产品编号 bsm-61720R
英文名称 IKK epsilon Recombinant Rabbit mAb
中文名称 核因子κB抑制蛋白E重组兔单抗
别    名 IKK-E; IKK-i; IKKE; IKKI; IKKE_HUMAN; IKBKE; I-kappa-B kinase epsilon; IKK-epsilon; Inducible I kappa-B kinase (IKK-i); 2.7.11.10; KIAA0151;   
抗体来源 Rabbit
克隆类型 Recombinant
克 隆 号 5D10
交叉反应 Human
产品应用 WB=1:500-2000,IHC-P=1:100-500,IHC-F=1:100-500,IF=1:100-500
not yet tested in other applications.
optimal dilutions/concentrations should be determined by the end user.
理论分子量 80 kDa
检测分子量 75
性    状 Liquid
免 疫 原 A synthesized peptide derived from human IKK epsilon: 32-65 
亚    型 IgG
纯化方法 affinity purified by Protein A
缓 冲 液 10mM phosphate buffered saline(pH 7.4) with 150mM sodium chloride, 0.05% BSA, 0.02% Proclin300 and 50% glycerol.
保存条件 Store at 4℃ for short term. Store at -20℃ for long term. Avoid repeated freeze/thaw cycles.
注意事项 This product as supplied is intended for research use only, not for use in human, therapeutic or diagnostic applications.
PubMed PubMed
产品介绍 Phosphorylates inhibitors of NF-kappa-B thus leading to the dissociation of the inhibitor/NF-kappa-B complex and ultimately the degradation of the inhibitor. May play a special role in the immune response. Protects cells against DNA damage-induced cell death.

SWISS:
Q14164

Gene ID:
9641

I kappa B kinase epsilon(IKKe)也是丝氨酸/苏氨酸蛋白激酶家族.可以磷酸化IkB,从而激活NF-kB通路,促进NF-kB核移位,并最终降解NF-kB的抑制剂. IKKe可表达在很多组织细胞中;胸腺、胰腺、脾、胎盘、外周血白细胞,也可少量表达在肺、肾、前列腺癌、卵巢、结肠。但最多表达在乳腺肿瘤上,IKBKE在人类乳腺癌中明显高表达,这种新的乳腺癌易感基因在肿瘤的形成和发展中起着及其关键的作用。IKBKE蛋白不同于乳腺癌易感基因BRCA1和BRCA2,是先天具有的。带有这些遗传变异
产品图片
25 ug total protein per lane of various lysates (see on figure) probed with IKK epsilon monoclonal antibody, unconjugated (bsm-61720R) at 1:1000 dilution and 4°C overnight incubation. Followed by conjugated secondary antibody incubation at r.t. for 60 min.
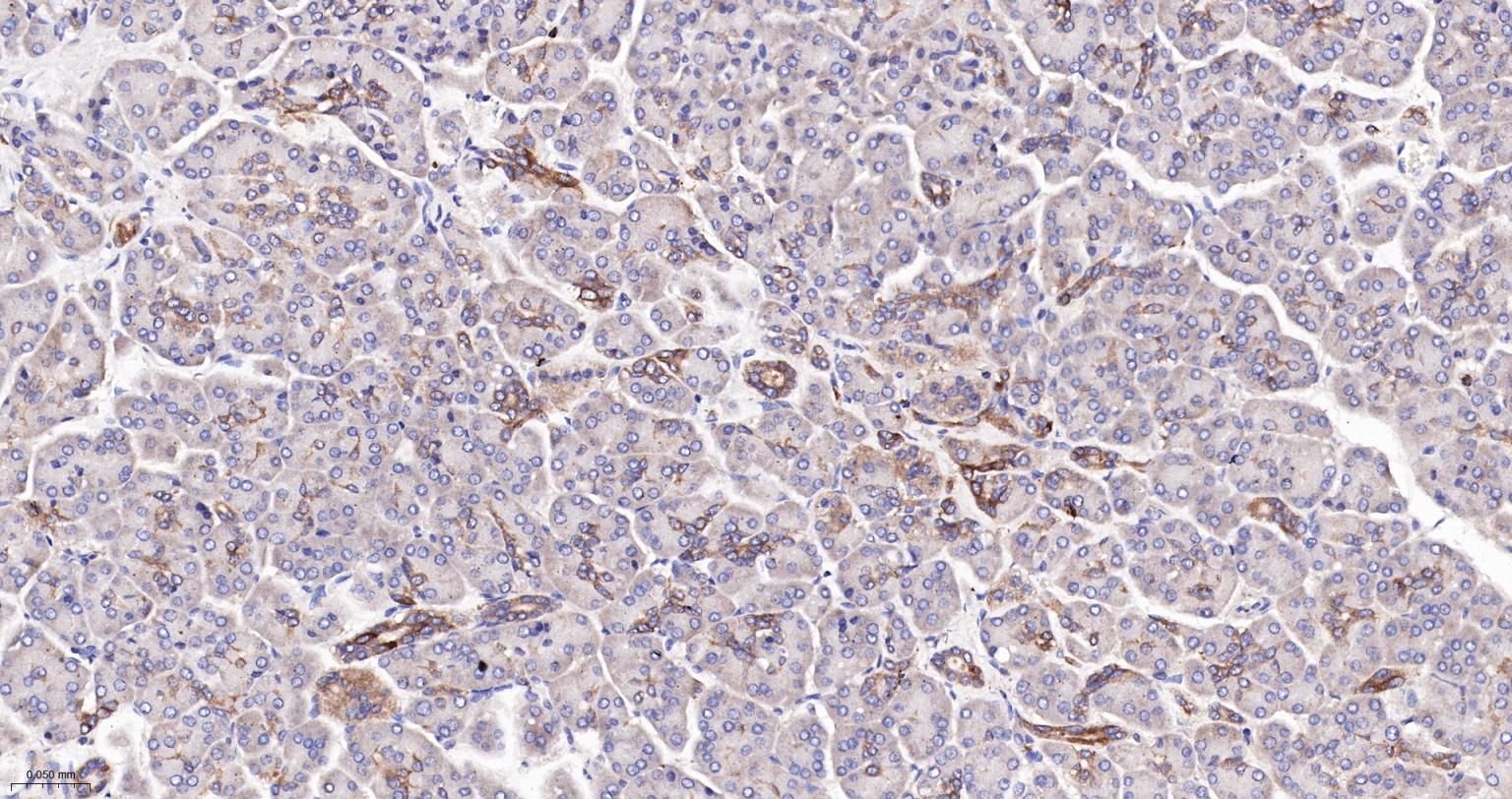
Paraformaldehyde-fixed, paraffin embedded Human Pancreas; Antigen retrieval by boiling in sodium citrate buffer (pH6.0) for 15 min; The section was incubated with IKK epsilon Monoclonal Antibody, Unconjugated (bsm-61720R) at 1:200 overnight at 4°C, followed by conjugation to the bs-0295G-HRP and DAB (C-0010) staining.
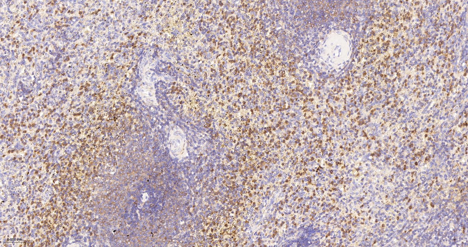
Paraformaldehyde-fixed, paraffin embedded Human Spleen; Antigen retrieval by boiling in sodium citrate buffer (pH6.0) for 15 min; The section was incubated with IKK epsilon Monoclonal Antibody, Unconjugated (bsm-61720R) at 1:200 overnight at 4°C, followed by conjugation to the bs-0295G-HRP and DAB (C-0010) staining.
版权所有 2004-2026 www.bioss.com.cn 北京博奥森生物技术有限公司
通过国际质量管理体系ISO 9001:2015 GB/T 19001-2016    证书编号: 00124Q34771R2M/1100
通过国际医疗器械-质量管理体系ISO 13485:2016 GB/T 42061-2022     证书编号: CQC24QY20047R0M/1100
京ICP备05066980号-1         京公网安备110107000727号