扫码关注公众号           扫码咨询技术支持           扫码咨询技术服务
  
客服热线:400-901-9800  客服QQ:4009019800  技术答疑  技术支持  质量反馈  人才招聘  关于我们  联系我们
产品中心-北京博奥森生物技术有限公司
首页 > 产品中心 > 一抗 > 产品信息
PGC1 beta Recombinant Rabbit mAb (bsm-61701R)  
订购热线:400-901-9800
订购邮箱:sales@bioss.com.cn
订购QQ:  400-901-9800
技术支持:techsupport@bioss.com.cn
25ul/800.00元
50ul/1400.00元
100ul/2500.00元
大包装/询价

产品编号 bsm-61701R
英文名称 PGC1 beta Recombinant Rabbit mAb
中文名称 过氧化物酶体增殖物激活受体γ辅激活子1β重组兔单抗
别    名 ERRL1; PERC; PGC-1(beta); PGC1B; PRGC2_HUMAN; PPARGC1B; PGC-1-beta; PPAR-gamma coactivator 1-beta; PPARGC-1-beta; PGC-1-related estrogen receptor alpha coactivator; PGC1; PPARGC1; 4631412G21Rik; PGC-1beta; PGC-1beta/ERRL1; PGC1beta; PRGC2_MOUSE; ERR ligand 1; PRGC2_RAT;   
抗体来源 Rabbit
克隆类型 Recombinant
克 隆 号 19E18
交叉反应 Human,Mouse,Rat
产品应用 WB=1:500-2000,IP=1:20-50
not yet tested in other applications.
optimal dilutions/concentrations should be determined by the end user.
理论分子量 113 kDa
检测分子量 110
性    状 Liquid
免 疫 原 A synthesized peptide derived from human PGC1 beta: 970-1023 
亚    型 IgG
纯化方法 affinity purified by Protein A
缓 冲 液 10mM phosphate buffered saline(pH 7.4) with 150mM sodium chloride, 0.05% BSA, 0.02% Proclin300 and 50% glycerol.
保存条件 Store at 4℃ for short term. Store at -20℃ for long term. Avoid repeated freeze/thaw cycles.
注意事项 This product as supplied is intended for research use only, not for use in human, therapeutic or diagnostic applications.
PubMed PubMed
产品介绍 Plays a role of stimulator of transcription factors and nuclear receptors activities. Activates transcriptional activity of estrogen receptor alpha, nuclear respiratory factor 1 (NRF1) and glucocorticoid receptor in the presence of glucocorticoids. May play a role in constitutive non-adrenergic-mediated mitochondrial biogenesis as suggested by increased basal oxygen consumption and mitochondrial number when overexpressed.

SWISS:
Q86YN6

Gene ID:
133522

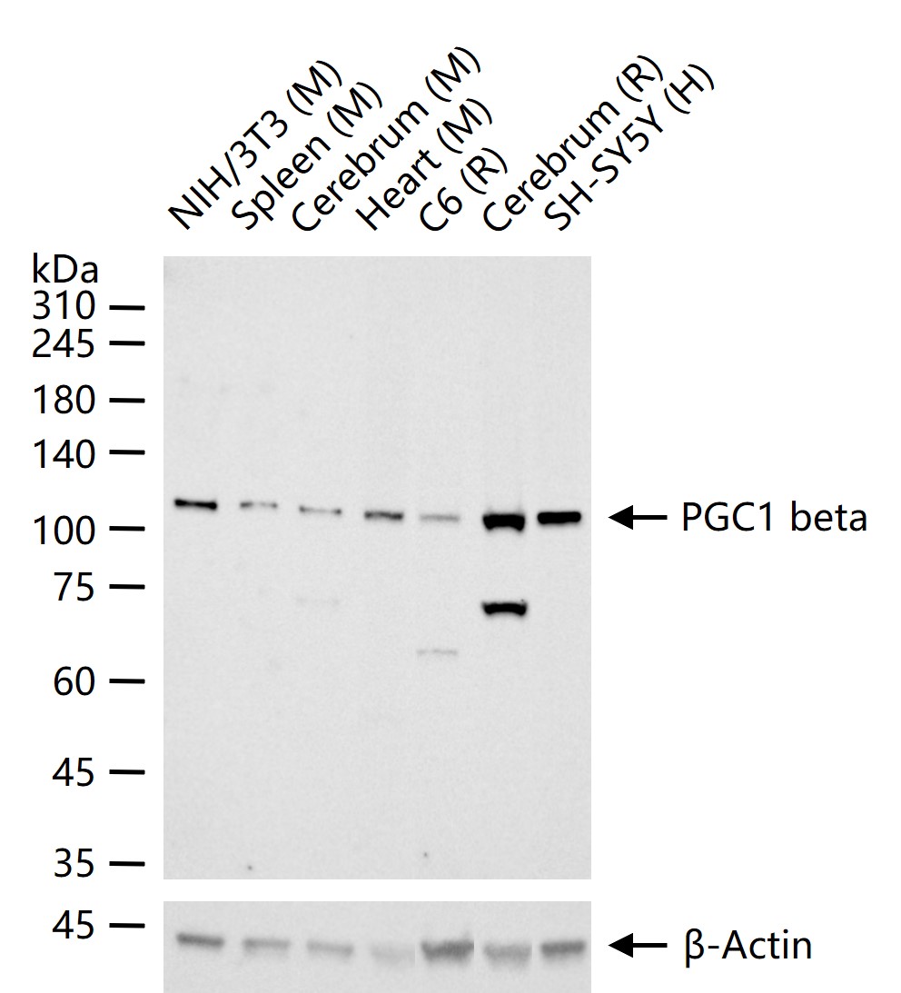
产品图片
25 ug total protein per lane of various lysates (see on figure) probed with PGC1 beta monoclonal antibody, unconjugated (bsm-61701R) at 1:1000 dilution and 4°C overnight incubation. Followed by conjugated secondary antibody incubation at r.t. for 60 min.
版权所有 2004-2026 www.bioss.com.cn 北京博奥森生物技术有限公司
通过国际质量管理体系ISO 9001:2015 GB/T 19001-2016    证书编号: 00124Q34771R2M/1100
通过国际医疗器械-质量管理体系ISO 13485:2016 GB/T 42061-2022     证书编号: CQC24QY20047R0M/1100
京ICP备05066980号-1         京公网安备110107000727号