扫码关注公众号           扫码咨询技术支持           扫码咨询技术服务
  
客服热线:400-901-9800  客服QQ:4009019800  技术答疑  技术支持  质量反馈  人才招聘  关于我们  联系我们
产品中心-北京博奥森生物技术有限公司
首页 > 产品中心 > 一抗 > 产品信息
CRP Recombinant Rabbit mAb (bsm-61699R)  
订购热线:400-901-9800
订购邮箱:sales@bioss.com.cn
订购QQ:  400-901-9800
技术支持:techsupport@bioss.com.cn
25ul/800.00元
50ul/1400.00元
100ul/2500.00元
大包装/询价

产品编号 bsm-61699R
英文名称 CRP Recombinant Rabbit mAb
中文名称 C-反应蛋白重组兔单抗
别    名 PTX1; CRP_HUMAN; CRP;   
抗体来源 Rabbit
克隆类型 Recombinant
克 隆 号 20F17
交叉反应 Human
产品应用 WB=1:500-2000,IHC-P=1:50-200,IHC-F=1:50-200,IF=1:50-200,IP=1:20-50
not yet tested in other applications.
optimal dilutions/concentrations should be determined by the end user.
理论分子量 25 kDa
检测分子量 25
性    状 Liquid
免 疫 原 A synthesized peptide derived from human C reactive protein: 201-224/224 
亚    型 IgG
纯化方法 affinity purified by Protein A
缓 冲 液 10mM phosphate buffered saline(pH 7.4) with 150mM sodium chloride, 0.05% BSA, 0.02% Proclin300 and 50% glycerol.
保存条件 Store at 4℃ for short term. Store at -20℃ for long term. Avoid repeated freeze/thaw cycles.
注意事项 This product as supplied is intended for research use only, not for use in human, therapeutic or diagnostic applications.
PubMed PubMed
产品介绍 Displays several functions associated with host defense: it promotes agglutination, bacterial capsular swelling, phagocytosis and complement fixation through its calcium-dependent binding to phosphorylcholine. Can interact with DNA and histones and may scavenge nuclear material released from damaged circulating cells.

SWISS:
P02741

Gene ID:
1401

C反应蛋白 CRP(C-reactive protin)是与C性肺炎球菌的多糖起反应的一种蛋白,在某些细菌的感染过程中出现在血浆中。 CRP是在一些病理性情况下出现于病人血清中的一种糖蛋白,特别是在伴有肯炎症和组织坏死疾病的急性期。血清中出现的这种异常蛋白能和肺炎C-多糖体发生沉淀反应,当疾病好转或缓解时,CRP减低或消失。 临床意义: (1)各种急性化脓性炎症、菌血症、组织坏死(心肌梗塞、手术、严重创伤、烧伤等)、恶性肿瘤、结缔组织病、肾移殖后急性排异反应、急性风湿热、风湿性关节炎、类风湿性关节炎、心
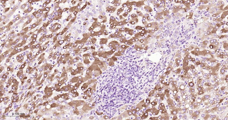
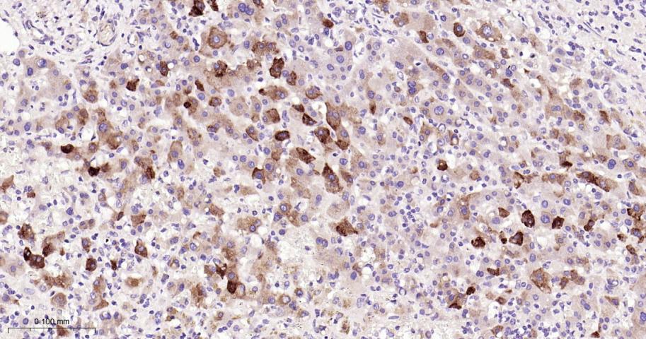
产品图片
25 ug total protein per lane of various lysates (see on figure) probed with CRP monoclonal antibody, unconjugated (bsm-61699R) at 1:1000 dilution and 4°C overnight incubation. Followed by conjugated secondary antibody incubation at r.t. for 60 min.
Paraformaldehyde-fixed, paraffin embedded Human Liver; Antigen retrieval by boiling in sodium citrate buffer (pH6.0) for 15 min; The section was incubated with CRP Monoclonal Antibody, Unconjugated (bsm-61699R) at 1:200 overnight at 4°C, followed by conjugation to the bs-0295G-HRP and DAB (C-0010) staining.
Paraformaldehyde-fixed, paraffin embedded Human Liver Cancer; Antigen retrieval by boiling in sodium citrate buffer (pH6.0) for 15 min; The section was incubated with CRP Monoclonal Antibody, Unconjugated (bsm-61699R) at 1:200 overnight at 4°C, followed by conjugation to the bs-0295G-HRP and DAB (C-0010) staining.
版权所有 2004-2026 www.bioss.com.cn 北京博奥森生物技术有限公司
通过国际质量管理体系ISO 9001:2015 GB/T 19001-2016    证书编号: 00124Q34771R2M/1100
通过国际医疗器械-质量管理体系ISO 13485:2016 GB/T 42061-2022     证书编号: CQC24QY20047R0M/1100
京ICP备05066980号-1         京公网安备110107000727号