扫码关注公众号           扫码咨询技术支持           扫码咨询技术服务
  
客服热线:400-901-9800  客服QQ:4009019800  技术答疑  技术支持  质量反馈  人才招聘  关于我们  联系我们
产品中心-北京博奥森生物技术有限公司
首页 > 产品中心 > 一抗 > 产品信息
PFKFB3/PFK2 Recombinant Rabbit mAb (bsm-61693R)  
订购热线:400-901-9800
订购邮箱:sales@bioss.com.cn
订购QQ:  400-901-9800
技术支持:techsupport@bioss.com.cn
25ul/800.00元
50ul/1400.00元
100ul/2500.00元
大包装/询价

产品编号 bsm-61693R
英文名称 PFKFB3/PFK2 Recombinant Rabbit mAb
中文名称 果糖-2,6-二磷酸酶3/磷酸果糖激酶2重组兔单抗
别    名 IPFK2; PFK2; iPFK-2; E330010H22Rik; uPFK-2; PFK-2; RH2K; F263_HUMAN; PFKFB3; 6PF-2-K/Fru-2,6-P2ase 3; PFK/FBPase 3; 6PF-2-K/Fru-2,6-P2ase brain/placenta-type isozyme; Renal carcinoma antigen NY-REN-56; F264_RAT; Pfkfb4; 6PF-2-K/Fru-2,6-P2ase 4; PFK/FBPase 4; 6PF-2-K/Fru-2,6-P2ase testis-type isozyme;   
抗体来源 Rabbit
克隆类型 Recombinant
克 隆 号 3F10
交叉反应 Human,Mouse,Rat
产品应用 WB=1:500-2000,IHC-P=1:50-200,IHC-F=1:50-200,IF=1:50-200,Flow-Cyt=1:50-100,ICC/IF=1:50-200,IP=1:20-50
not yet tested in other applications.
optimal dilutions/concentrations should be determined by the end user.
理论分子量 60 kDa
检测分子量 58
性    状 Liquid
免 疫 原 A synthesized peptide derived from human PFKFB3: 300-520 
亚    型 IgG
纯化方法 affinity purified by Protein A
缓 冲 液 10mM phosphate buffered saline(pH 7.4) with 150mM sodium chloride, 0.05% BSA, 0.02% Proclin300 and 50% glycerol.
保存条件 Store at 4℃ for short term. Store at -20℃ for long term. Avoid repeated freeze/thaw cycles.
注意事项 This product as supplied is intended for research use only, not for use in human, therapeutic or diagnostic applications.
PubMed PubMed
产品介绍 Catalyzes both the synthesis and degradation of fructose 2,6-bisphosphate.

SWISS:
Q16875

Gene ID:
5209

IPFK2是糖酵解的一种重要酶,广泛存在于各种生物细胞中。由于该酶对调控糖酵解通路的重要作用.
产品图片
25 ug total protein per lane of various lysates (see on figure) probed with PFKFB3/PFK2 monoclonal antibody, unconjugated (bsm-61693R) at 1:2000 dilution and 4°C overnight incubation. Followed by conjugated secondary antibody incubation at r.t. for 60 min.
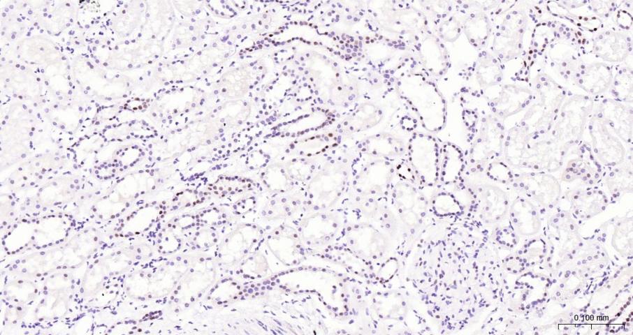
Paraformaldehyde-fixed, paraffin embedded Human kidney; Antigen retrieval by boiling in sodium citrate buffer (pH6.0) for 15 min; Antibody incubation with PFKFB3/PFK2 Monoclonal Antibody, Unconjugated(bsm-61693R) at 1:200 overnight at 4°C, followed by conjugation to the bs-0295G-HRP and DAB (C-0010) staining.
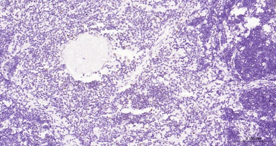
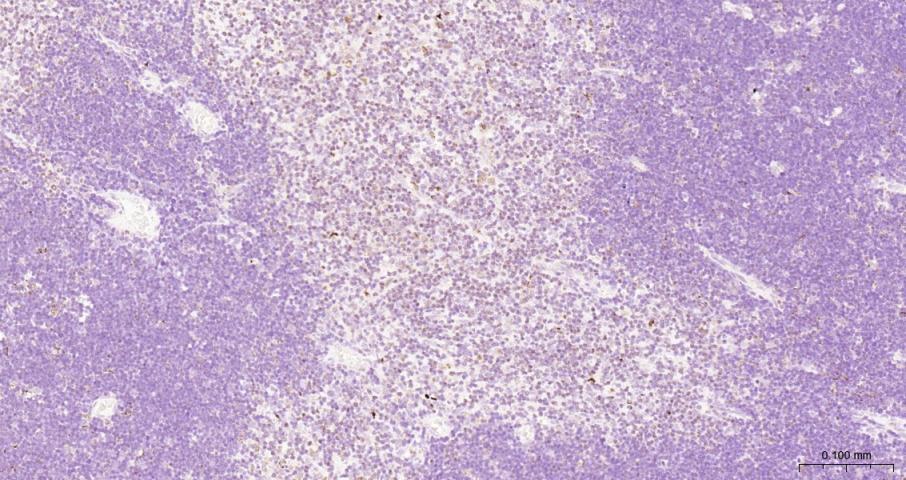
Paraformaldehyde-fixed, paraffin embedded Human spleen; Antigen retrieval by boiling in sodium citrate buffer (pH6.0) for 15 min; Antibody incubation with PFKFB3/PFK2 Monoclonal Antibody, Unconjugated(bsm-61693R) at 1:200 overnight at 4°C, followed by conjugation to the bs-0295G-HRP and DAB (C-0010) staining.
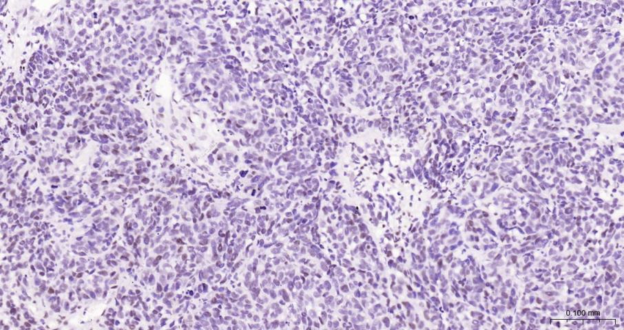
Paraformaldehyde-fixed, paraffin embedded Human melanoma; Antigen retrieval by boiling in sodium citrate buffer (pH6.0) for 15 min; Antibody incubation with PFKFB3/PFK2 Monoclonal Antibody, Unconjugated(bsm-61693R) at 1:200 overnight at 4°C, followed by conjugation to the bs-0295G-HRP and DAB (C-0010) staining.
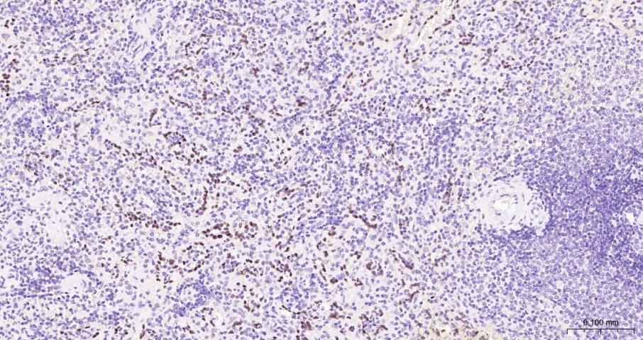
Paraformaldehyde-fixed, paraffin embedded Rat thymus; Antigen retrieval by boiling in sodium citrate buffer (pH6.0) for 15 min; Antibody incubation with PFKFB3/PFK2 Monoclonal Antibody, Unconjugated(bsm-61693R) at 1:200 overnight at 4°C, followed by conjugation to the bs-0295G-HRP and DAB (C-0010) staining.
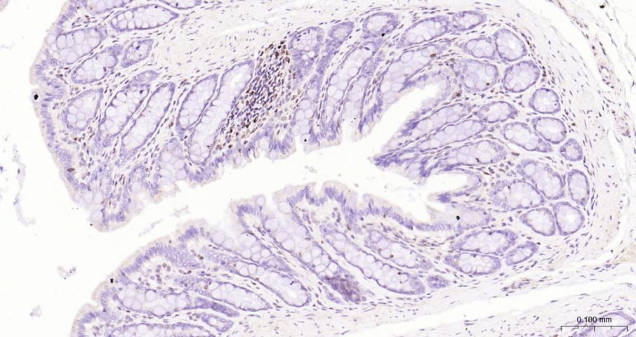
Paraformaldehyde-fixed, paraffin embedded Rat colon; Antigen retrieval by boiling in sodium citrate buffer (pH6.0) for 15 min; Antibody incubation with PFKFB3/PFK2 Monoclonal Antibody, Unconjugated(bsm-61693R) at 1:200 overnight at 4°C, followed by conjugation to the bs-0295G-HRP and DAB (C-0010) staining.
Paraformaldehyde-fixed, paraffin embedded Human Thymus; Antigen retrieval by boiling in sodium citrate buffer (pH6.0) for 15 min; Antibody incubation with PFKFB3/PFK2 Monoclonal Antibody, Unconjugated(bsm-61693R) at 1:200 overnight at 4°C, followed by conjugation to the bs-0295G-HRP and DAB (C-0010) staining.
Paraformaldehyde-fixed, paraffin embedded Human Heart; Antigen retrieval by boiling in sodium citrate buffer (pH6.0) for 15 min; Antibody incubation with PFKFB3/PFK2 Monoclonal Antibody, Unconjugated(bsm-61693R) at 1:200 overnight at 4°C, followed by conjugation to the bs-0295G-HRP and DAB (C-0010) staining.
Paraformaldehyde-fixed, paraffin embedded Human colon; Antigen retrieval by boiling in sodium citrate buffer (pH6.0) for 15 min; Antibody incubation with PFKFB3/PFK2 Monoclonal Antibody, Unconjugated(bsm-61693R) at 1:200 overnight at 4°C, followed by conjugation to the bs-0295G-HRP and DAB (C-0010) staining.
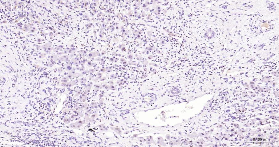
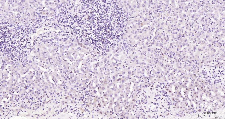
Paraformaldehyde-fixed, paraffin embedded Human liver; Antigen retrieval by boiling in sodium citrate buffer (pH6.0) for 15 min; Antibody incubation with PFKFB3/PFK2 Monoclonal Antibody, Unconjugated(bsm-61693R) at 1:200 overnight at 4°C, followed by conjugation to the bs-0295G-HRP and DAB (C-0010) staining.
Paraformaldehyde-fixed, paraffin embedded Human liver cancer; Antigen retrieval by boiling in sodium citrate buffer (pH6.0) for 15 min; Antibody incubation with PFKFB3/PFK2 Monoclonal Antibody, Unconjugated(bsm-61693R) at 1:200 overnight at 4°C, followed by conjugation to the bs-0295G-HRP and DAB (C-0010) staining.
Paraformaldehyde-fixed, paraffin embedded Rat spleen; Antigen retrieval by boiling in sodium citrate buffer (pH6.0) for 15 min; Antibody incubation with PFKFB3/PFK2 Monoclonal Antibody, Unconjugated(bsm-61693R) at 1:200 overnight at 4°C, followed by conjugation to the bs-0295G-HRP and DAB (C-0010) staining.
版权所有 2004-2026 www.bioss.com.cn 北京博奥森生物技术有限公司
通过国际质量管理体系ISO 9001:2015 GB/T 19001-2016    证书编号: 00124Q34771R2M/1100
通过国际医疗器械-质量管理体系ISO 13485:2016 GB/T 42061-2022     证书编号: CQC24QY20047R0M/1100
京ICP备05066980号-1         京公网安备110107000727号