扫码关注公众号           扫码咨询技术支持           扫码咨询技术服务
  
客服热线:400-901-9800  客服QQ:4009019800  技术答疑  技术支持  质量反馈  人才招聘  关于我们  联系我们
产品中心-北京博奥森生物技术有限公司
首页 > 产品中心 > 一抗 > 产品信息
ZEB1 Recombinant Rabbit mAb (bsm-61689R)  
订购热线:400-901-9800
订购邮箱:sales@bioss.com.cn
订购QQ:  400-901-9800
技术支持:techsupport@bioss.com.cn
25ul/800.00元
50ul/1400.00元
100ul/2500.00元
大包装/询价

产品编号 bsm-61689R
英文名称 ZEB1 Recombinant Rabbit mAb
中文名称 负调控因子白细胞介素2重组兔单抗
别    名 AREB6; BZP; DELTAEF1; FECD6; NIL2A; PPCD3; TCF8; ZFHEP; ZFHX1A; ZEB1_HUMAN; ZEB1; NIL-2-A zinc finger protein; Negative regulator of IL2; Transcription factor 8 (TCF-8);   
抗体来源 Rabbit
克隆类型 Recombinant
克 隆 号 4C1
交叉反应 Human
产品应用 WB=1:500-2000,IHC-P=1:50-200,IHC-F=1:50-200,IF=1:50-200,Flow-Cyt=1:50-100,ICC/IF=1:50-200
not yet tested in other applications.
optimal dilutions/concentrations should be determined by the end user.
理论分子量 124 kDa
检测分子量 195
性    状 Liquid
免 疫 原 A synthesized peptide derived from human ZEB1: 1-174 
亚    型 IgG
纯化方法 affinity purified by Protein A
缓 冲 液 10mM phosphate buffered saline(pH 7.4) with 150mM sodium chloride, 0.05% BSA, 0.02% Proclin300 and 50% glycerol.
保存条件 Store at 4℃ for short term. Store at -20℃ for long term. Avoid repeated freeze/thaw cycles.
注意事项 This product as supplied is intended for research use only, not for use in human, therapeutic or diagnostic applications.
PubMed PubMed
产品介绍 Inhibits interleukin-2 (IL-2) gene expression. May be responsible for transcriptional repression of the IL-2 gene. Enhances or represses the promoter activity of the ATP1A1 gene depending on the quantity of cDNA and on the cell type.

SWISS:
P37275

Gene ID:
6935

产品图片
25 ug total protein per lane of various lysates (see on figure) probed with ZEB1 monoclonal antibody, unconjugated (bsm-61689R) at 1:1000 dilution and 4°C overnight incubation. Followed by conjugated secondary antibody incubation at r.t. for 60 min.
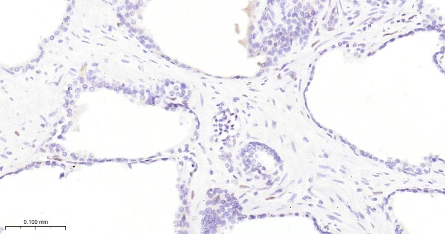
Paraformaldehyde-fixed, paraffin embedded Human Pancreas; Antigen retrieval by boiling in sodium citrate buffer (pH6.0) for 15 min; Antibody incubation with ZEB1 Monoclonal Antibody, Unconjugated(bsm-61689R) at 1:200 overnight at 4°C, followed by conjugation to the bs-0295G-HRP and DAB (C-0010) staining.
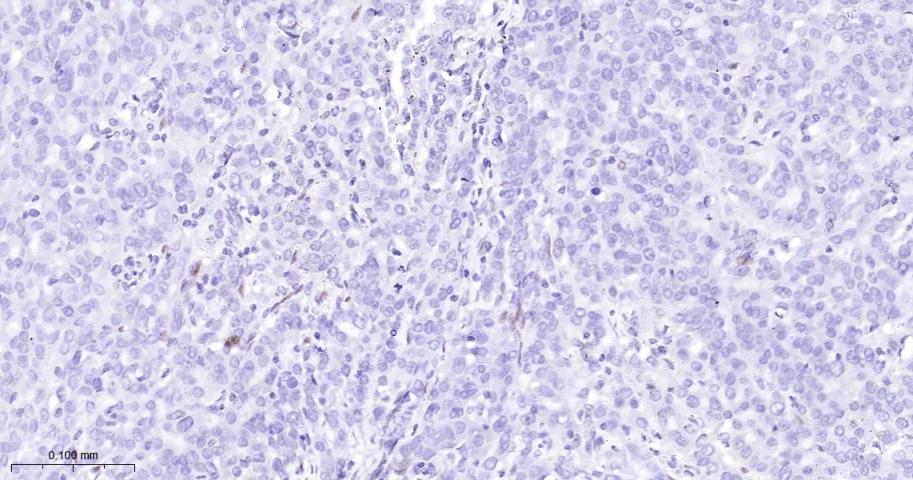
Paraformaldehyde-fixed, paraffin embedded Human Prostate Tumor; Antigen retrieval by boiling in sodium citrate buffer (pH6.0) for 15 min; Antibody incubation with ZEB1 Monoclonal Antibody, Unconjugated(bsm-61689R) at 1:200 overnight at 4°C, followed by conjugation to the bs-0295G-HRP and DAB (C-0010) staining.
Paraformaldehyde-fixed, paraffin embedded Human Ovarian Cancer; Antigen retrieval by boiling in sodium citrate buffer (pH6.0) for 15 min; Antibody incubation with ZEB1 Monoclonal Antibody, Unconjugated(bsm-61689R) at 1:200 overnight at 4°C, followed by conjugation to the bs-0295G-HRP and DAB (C-0010) staining.
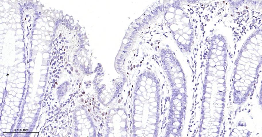
Paraformaldehyde-fixed, paraffin embedded Human Colon Cancer; Antigen retrieval by boiling in sodium citrate buffer (pH6.0) for 15 min; Antibody incubation with ZEB1 Monoclonal Antibody, Unconjugated(bsm-61689R) at 1:200 overnight at 4°C, followed by conjugation to the bs-0295G-HRP and DAB (C-0010) staining.
版权所有 2004-2026 www.bioss.com.cn 北京博奥森生物技术有限公司
通过国际质量管理体系ISO 9001:2015 GB/T 19001-2016    证书编号: 00124Q34771R2M/1100
通过国际医疗器械-质量管理体系ISO 13485:2016 GB/T 42061-2022     证书编号: CQC24QY20047R0M/1100
京ICP备05066980号-1         京公网安备110107000727号