扫码关注公众号           扫码咨询技术支持           扫码咨询技术服务
  
客服热线:400-901-9800  客服QQ:4009019800  技术答疑  技术支持  质量反馈  人才招聘  关于我们  联系我们
产品中心-北京博奥森生物技术有限公司
首页 > 产品中心 > 一抗 > 产品信息
TRPM7 Recombinant Rabbit mAb (bsm-61679R)  
订购热线:400-901-9800
订购邮箱:sales@bioss.com.cn
订购QQ:  400-901-9800
技术支持:techsupport@bioss.com.cn
25ul/800.00元
50ul/1400.00元
100ul/2500.00元
大包装/询价

产品编号 bsm-61679R
英文名称 TRPM7 Recombinant Rabbit mAb
中文名称 瞬时受体电位离子通道蛋白7重组兔单抗(M亚家族)
别    名 ALSPDC; CHAK; CHAK1; LTRPC7; LTrpC-7; TRP-PLIK; 2310022G15Rik; 4833414K03Rik; 5033407O22Rik; Ltpr7; TRPPLIK; TRPM7_HUMAN; TRPM7; Channel-kinase 1; Long transient receptor potential channel 7 (LTrpC-7 | LTrpC7); 2.7.11.1; TRPM7_MOUSE; Transient receptor potential-phospholipase C-interacting kinase (TRP-PLIK); TRPM7_RAT;   
抗体来源 Rabbit
克隆类型 Recombinant
克 隆 号 3E3
交叉反应 Human,Mouse,Rat
产品应用 IHC-P=1:50-200,IHC-F=1:50-200,IF=1:50-200,Flow-Cyt=1:50-100,ICC/IF=1:50-200
not yet tested in other applications.
optimal dilutions/concentrations should be determined by the end user.
理论分子量 213 kDa
检测分子量 213
性    状 Liquid
免 疫 原 A synthesized peptide derived from human TRPM7: 1800-1865/1865 
亚    型 IgG
纯化方法 affinity purified by Protein A
缓 冲 液 10mM phosphate buffered saline(pH 7.4) with 150mM sodium chloride, 0.05% BSA, 0.02% Proclin300 and 50% glycerol.
保存条件 Store at 4℃ for short term. Store at -20℃ for long term. Avoid repeated freeze/thaw cycles.
注意事项 This product as supplied is intended for research use only, not for use in human, therapeutic or diagnostic applications.
PubMed PubMed
产品介绍 Essential ion channel and serine/threonine-protein kinase. Divalent cation channel permeable to calcium and magnesium.Has a central role in magnesium ion homeostasis and in the regulation of anoxic neuronal cell death. Involved in TNF-induced necroptosis downstream of MLKL by mediating calcium influx. The kinase activity is essential for the channel function. May be involved in a fundamental process that adjusts plasma membrane divalent cation fluxes according to the metabolic state of the cell. Phosphorylates annexin A1 (ANXA1).

SWISS:
Q96QT4

Gene ID:
54822

产品图片
Paraformaldehyde-fixed, paraffin embedded Human Liver; Antigen retrieval by boiling in sodium citrate buffer (pH6.0) for 15 min; Antibody incubation with TRPM7 Monoclonal Antibody, Unconjugated(bsm-61679R) at 1:200 overnight at 4°C, followed by conjugation to the bs-0295G-HRP and DAB (C-0010) staining.
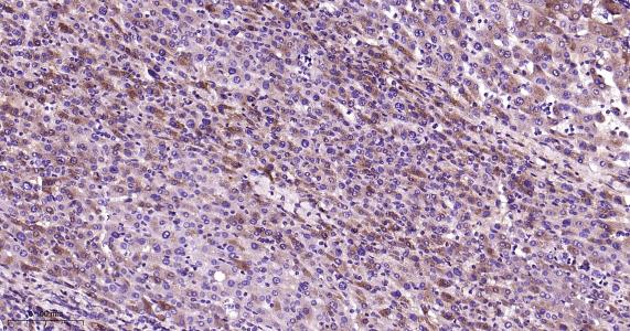
Paraformaldehyde-fixed, paraffin embedded Human Lung Cancer; Antigen retrieval by boiling in sodium citrate buffer (pH6.0) for 15 min; Antibody incubation with TRPM7 Monoclonal Antibody, Unconjugated(bsm-61679R) at 1:200 overnight at 4°C, followed by conjugation to the bs-0295G-HRP and DAB (C-0010) staining.
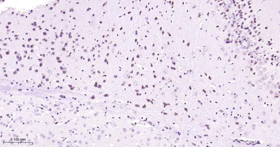
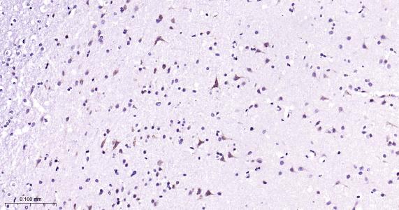
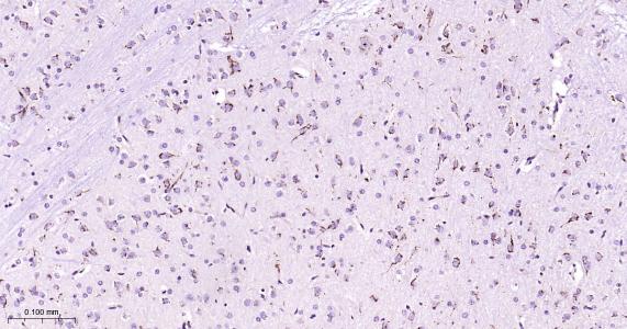
Paraformaldehyde-fixed, paraffin embedded Human Cerebrum; Antigen retrieval by boiling in sodium citrate buffer (pH6.0) for 15 min; Antibody incubation with TRPM7 Monoclonal Antibody, Unconjugated(bsm-61679R) at 1:200 overnight at 4°C, followed by conjugation to the bs-0295G-HRP and DAB (C-0010) staining.
Paraformaldehyde-fixed, paraffin embedded Rat Cerebrum; Antigen retrieval by boiling in sodium citrate buffer (pH6.0) for 15 min; Antibody incubation with TRPM7 Monoclonal Antibody, Unconjugated(bsm-61679R) at 1:200 overnight at 4°C, followed by conjugation to the bs-0295G-HRP and DAB (C-0010) staining.
Paraformaldehyde-fixed, paraffin embedded Mouse Cerebrum; Antigen retrieval by boiling in sodium citrate buffer (pH6.0) for 15 min; Antibody incubation with TRPM7 Monoclonal Antibody, Unconjugated(bsm-61679R) at 1:200 overnight at 4°C, followed by conjugation to the bs-0295G-HRP and DAB (C-0010) staining.
Paraformaldehyde-fixed, paraffin embedded Human Liver; Antigen retrieval by boiling in sodium citrate buffer (pH6.0) for 15 min; The section was incubated with TRPM7 Monoclonal Antibody, Unconjugated (bsm-61679R) at 1:200 overnight at 4°C. Followed by conjugated Goat Anti-Rabbit IgG antibody (Red, bs-0295G-BF594), DAPI (blue, C02-04002) was used to stain the cell nuclei.
Paraformaldehyde-fixed, paraffin embedded Mouse Cerebrum; Antigen retrieval by boiling in sodium citrate buffer (pH6.0) for 15 min; The section was incubated with TRPM7 Monoclonal Antibody, Unconjugated (bsm-61679R) at 1:200 overnight at 4°C. Followed by conjugated Goat Anti-Rabbit IgG antibody (Red, bs-0295G-BF594), DAPI (blue, C02-04002) was used to stain the cell nuclei.
Paraformaldehyde-fixed, paraffin embedded Rat Cerebrum; Antigen retrieval by boiling in sodium citrate buffer (pH6.0) for 15 min; The section was incubated with TRPM7 Monoclonal Antibody, Unconjugated (bsm-61679R) at 1:200 overnight at 4°C. Followed by conjugated Goat Anti-Rabbit IgG antibody (Red, bs-0295G-BF594), DAPI (blue, C02-04002) was used to stain the cell nuclei.
版权所有 2004-2026 www.bioss.com.cn 北京博奥森生物技术有限公司
通过国际质量管理体系ISO 9001:2015 GB/T 19001-2016    证书编号: 00124Q34771R2M/1100
通过国际医疗器械-质量管理体系ISO 13485:2016 GB/T 42061-2022     证书编号: CQC24QY20047R0M/1100
京ICP备05066980号-1         京公网安备110107000727号