扫码关注公众号           扫码咨询技术支持           扫码咨询技术服务
  
客服热线:400-901-9800  客服QQ:4009019800  技术答疑  技术支持  质量反馈  人才招聘  关于我们  联系我们
产品中心-北京博奥森生物技术有限公司
首页 > 产品中心 > 一抗 > 产品信息
Securin Recombinant Rabbit mAb (bsm-61676R)  
订购热线:400-901-9800
订购邮箱:sales@bioss.com.cn
订购QQ:  400-901-9800
技术支持:techsupport@bioss.com.cn
25ul/800.00元
50ul/1400.00元
100ul/2500.00元
大包装/询价

产品编号 bsm-61676R
英文名称 Securin Recombinant Rabbit mAb
中文名称 垂体肿瘤转化基因重组兔单抗
别    名 EAP1; ECRAR; HPTTG; PTTG; TUTR1; Pttg3; PTTG1_HUMAN; PTTG1; Esp1-associated protein; Pituitary tumor-transforming gene 1 protein (Tumor-transforming protein 1 | hPTTG); Q6IAL9_HUMAN; Q3Y5K4_MOUSE; Q5SRU0_MOUSE; PTTG1_MOUSE; Pituitary tumor-transforming gene 1 protein; PTTG1_RAT;   
抗体来源 Rabbit
克隆类型 Recombinant
克 隆 号 9D2
交叉反应 Human
产品应用 WB=1:500-2000,IHC-P=1:100-500,IHC-F=1:100-500,IF=1:100-500,Flow-Cyt=1:50-100,ICC/IF=1:50-200,IP=1:20-50
not yet tested in other applications.
optimal dilutions/concentrations should be determined by the end user.
理论分子量 22 kDa
检测分子量 25
性    状 Liquid
免 疫 原 A synthesized peptide derived from human Securin: 100-149/202 
亚    型 IgG
纯化方法 affinity purified by Protein A
缓 冲 液 10mM phosphate buffered saline(pH 7.4) with 150mM sodium chloride, 0.05% BSA, 0.02% Proclin300 and 50% glycerol.
保存条件 Store at 4℃ for short term. Store at -20℃ for long term. Avoid repeated freeze/thaw cycles.
注意事项 This product as supplied is intended for research use only, not for use in human, therapeutic or diagnostic applications.
PubMed PubMed
产品介绍 Regulatory protein, which plays a central role in chromosome stability, in the p53/TP53 pathway, and DNA repair.

SWISS:
Q6IAL9

Gene ID:
9232

垂体肿瘤转化基因PTTG可在多种肿瘤组织及部分正常组织细胞内表达较高,对促进细胞增殖、转化及肿瘤发生有重要作用。
产品图片
25 ug total protein per lane of various lysates (see on figure) probed with Securin monoclonal antibody, unconjugated (bsm-61676R) at 1:1000 dilution and 4°C overnight incubation. Followed by conjugated secondary antibody incubation at r.t. for 60 min.
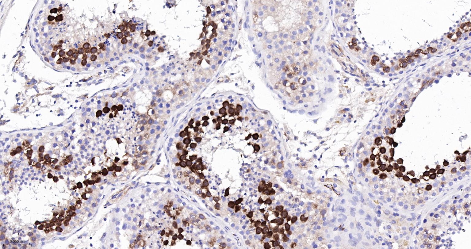
Paraformaldehyde-fixed, paraffin embedded Human Testicles; Antigen retrieval by boiling in sodium citrate buffer (pH6.0) for 15 min; The section was incubated with Securin Recombinant  Monoclonal Antibody, Unconjugated (bsm-61676R) at 1:200 overnight at 4°C, followed by conjugation to the bs-0295G-HRP and DAB (C-0010) staining.
版权所有 2004-2026 www.bioss.com.cn 北京博奥森生物技术有限公司
通过国际质量管理体系ISO 9001:2015 GB/T 19001-2016    证书编号: 00124Q34771R2M/1100
通过国际医疗器械-质量管理体系ISO 13485:2016 GB/T 42061-2022     证书编号: CQC24QY20047R0M/1100
京ICP备05066980号-1         京公网安备110107000727号