扫码关注公众号           扫码咨询技术支持           扫码咨询技术服务
  
客服热线:400-901-9800  客服QQ:4009019800  技术答疑  技术支持  质量反馈  人才招聘  关于我们  联系我们
产品中心-北京博奥森生物技术有限公司
首页 > 产品中心 > 一抗 > 产品信息
Crkl Recombinant Rabbit mAb (bsm-61671R)  
订购热线:400-901-9800
订购邮箱:sales@bioss.com.cn
订购QQ:  400-901-9800
技术支持:techsupport@bioss.com.cn
25ul/800.00元
50ul/1400.00元
100ul/2500.00元
大包装/询价

产品编号 bsm-61671R
英文名称 Crkl Recombinant Rabbit mAb
中文名称 接头蛋白CrkL重组兔单抗
别    名 1110025F07Rik; Crkol; snoop; CRKL_HUMAN; CRKL; CRKL_MOUSE;   
抗体来源 Rabbit
克隆类型 Recombinant
克 隆 号 4D5
交叉反应 Human,Mouse,Rat
产品应用 WB=1:500-2000,Flow-Cyt=1:50-100,ICC/IF=1:50-200,IP=1:20-50
not yet tested in other applications.
optimal dilutions/concentrations should be determined by the end user.
理论分子量 34 kDa
检测分子量 39
性    状 Liquid
免 疫 原 A synthesized peptide derived from human CRKL: 261-303 
亚    型 IgG
纯化方法 affinity purified by Protein A
缓 冲 液 10mM phosphate buffered saline(pH 7.4) with 150mM sodium chloride, 0.05% BSA, 0.02% Proclin300 and 50% glycerol.
保存条件 Store at 4℃ for short term. Store at -20℃ for long term. Avoid repeated freeze/thaw cycles.
注意事项 This product as supplied is intended for research use only, not for use in human, therapeutic or diagnostic applications.
PubMed PubMed
产品介绍 May mediate the transduction of intracellular signals.

SWISS:
P46109

Gene ID:
1399

接头蛋白CrkL是Crk家族成员之一,CRKL为具有SH2及SH3结构的连接蛋白,CrkL参与多种信号转导途径调节细胞运动、增殖及分化,在各种组织中广泛表达,在多种信号途径中起重要作用。
产品图片
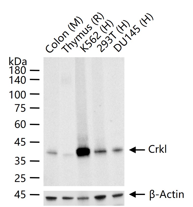
25 ug total protein per lane of various lysates (see on figure) probed with Crkl monoclonal antibody, unconjugated (bsm-61671R) at 1:1000 dilution and 4°C overnight incubation. Followed by conjugated secondary antibody incubation at r.t. for 60 min.
4% Paraformaldehyde-fixed K562 (H) cell; Triton X-100 at r.t. for 20 min; Antibody incubation with (Crkl) monoclonal Antibody, unconjugated (bsm-61671R) 1:100, 90 min at 37°C; followed by conjugated Goat Anti-Rabbit IgG antibody (green, bs-60295G-BF488) at 37°C for 90 min, DAPI (blue, C02-04002) was used to stain the cell nuclei. PBS instead of the primary antibody was used as the blank control.
The K562 (H) cells were fixed with 4% PFA (10 min at r.t.) and then permeabilized with 90% ice-cold methanol for 20 min at -20℃,the cells then were incubated in 5%BSA to block non-specific protein-protein interactions (30 min at r.t.), followed by secondary antibody incubation for 40 min at room temperature. Primary Antibody (green):Rabbit Anti-Crkl antibody (bsm-61671R,1:100); Isotype Control (orange): Rabbit IgG (bs-0295P). Blank control (black): PBS. Acquisition of 20,000 events was performed.
版权所有 2004-2026 www.bioss.com.cn 北京博奥森生物技术有限公司
通过国际质量管理体系ISO 9001:2015 GB/T 19001-2016    证书编号: 00124Q34771R2M/1100
通过国际医疗器械-质量管理体系ISO 13485:2016 GB/T 42061-2022     证书编号: CQC24QY20047R0M/1100
京ICP备05066980号-1         京公网安备110107000727号