扫码关注公众号           扫码咨询技术支持           扫码咨询技术服务
  
客服热线:400-901-9800  客服QQ:4009019800  技术答疑  技术支持  质量反馈  人才招聘  关于我们  联系我们
产品中心-北京博奥森生物技术有限公司
首页 > 产品中心 > 一抗 > 产品信息
FADD Recombinant Rabbit mAb (bsm-61661R)  
订购热线:400-901-9800
订购邮箱:sales@bioss.com.cn
订购QQ:  400-901-9800
技术支持:techsupport@bioss.com.cn
25ul/800.00元
50ul/1400.00元
100ul/2500.00元
大包装/询价

产品编号 bsm-61661R
英文名称 FADD Recombinant Rabbit mAb
中文名称 Fas死亡结构域相关蛋白重组兔单抗
别    名 Mort1/FADD; FADD_MOUSE; Fadd; FAS-associating death domain-containing protein; Mediator of receptor induced toxicity; Mort1; GIG3; IMD90; FADD_HUMAN; Growth-inhibiting gene 3 protein;   
抗体来源 Rabbit
克隆类型 Recombinant
克 隆 号 6B5
交叉反应 Mouse
产品应用 WB=1:500-2000,IHC-P=1:50-200,IHC-F=1:50-200,IF=1:50-200,Flow-Cyt=1:50-100
not yet tested in other applications.
optimal dilutions/concentrations should be determined by the end user.
理论分子量 23 kDa
检测分子量 27
性    状 Liquid
免 疫 原 A synthesized peptide derived from mouse Fadd: 150-205/205 
亚    型 IgG
纯化方法 affinity purified by Protein A
缓 冲 液 10mM phosphate buffered saline(pH 7.4) with 150mM sodium chloride, 0.05% BSA, 0.02% Proclin300 and 50% glycerol.
保存条件 Store at 4℃ for short term. Store at -20℃ for long term. Avoid repeated freeze/thaw cycles.
注意事项 This product as supplied is intended for research use only, not for use in human, therapeutic or diagnostic applications.
PubMed PubMed
产品介绍 Apoptotic adapter molecule that recruits caspases CASP8 or CASP10 to the activated FAS/CD95 or TNFRSF1A/TNFR-1 receptors. The resulting aggregate called the death-inducing signaling complex (DISC) performs CASP8 proteolytic activation. Active CASP8 initiates the subsequent cascade of caspases mediating apoptosis. Involved in interferon-mediated antiviral immune response, playing a role in the positive regulation of interferon signaling.

SWISS:
Q61160

Gene ID:
14082

FADD属于TNFR家族,有死亡区的Fas相关蛋白。
产品图片
25 ug total protein per lane of various lysates (see on figure) probed with FADD monoclonal antibody, unconjugated (bsm-61661R) at 1:1000 dilution and 4°C overnight incubation. Followed by conjugated secondary antibody incubation at r.t. for 60 min.
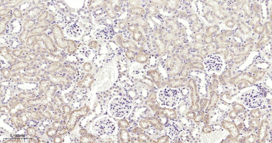
Paraformaldehyde-fixed, paraffin embedded Mouse Kidney; Antigen retrieval by boiling in sodium citrate buffer (pH6.0) for 15 min; Antibody incubation with FADD Monoclonal Antibody, Unconjugated(bsm-61661R) at 1:200 overnight at 4°C, followed by conjugation to the bs-0295G-HRP and DAB (C-0010) staining.
版权所有 2004-2026 www.bioss.com.cn 北京博奥森生物技术有限公司
通过国际质量管理体系ISO 9001:2015 GB/T 19001-2016    证书编号: 00124Q34771R2M/1100
通过国际医疗器械-质量管理体系ISO 13485:2016 GB/T 42061-2022     证书编号: CQC24QY20047R0M/1100
京ICP备05066980号-1         京公网安备110107000727号