扫码关注公众号           扫码咨询技术支持           扫码咨询技术服务
  
客服热线:400-901-9800  客服QQ:4009019800  技术答疑  技术支持  质量反馈  人才招聘  关于我们  联系我们
产品中心-北京博奥森生物技术有限公司
首页 > 产品中心 > 一抗 > 产品信息
Placental alkaline phosphatase (PLAP) Recombinant Rabbit mAb (bsm-61630R)  
订购热线:400-901-9800
订购邮箱:sales@bioss.com.cn
订购QQ:  400-901-9800
技术支持:techsupport@bioss.com.cn
25ul/800.00元
50ul/1400.00元
100ul/2500.00元
大包装/询价

产品编号 bsm-61630R
英文名称 Placental alkaline phosphatase (PLAP) Recombinant Rabbit mAb
中文名称 碱性磷酸酶重组兔单抗
别    名 ALP; ALPI; IAP; PALP; PLAP; PLAP-1; PPB1_HUMAN; ALPP; Alkaline phosphatase Regan isozyme; Placental alkaline phosphatase 1 (PLAP-1); 3.1.3.1;   
抗体来源 Rabbit
克隆类型 Recombinant
克 隆 号 18C1
交叉反应 Human
产品应用 WB=1:500-2000,IHC-P=1:100-500,IHC-F=1:100-500,IF=1:100-500,ICC/IF=1:50-200
not yet tested in other applications.
optimal dilutions/concentrations should be determined by the end user.
理论分子量 58 kDa
检测分子量 65
性    状 Liquid
免 疫 原 A synthesized peptide derived from human ALPP: 154-214 
亚    型 IgG
纯化方法 affinity purified by Protein A
缓 冲 液 10mM phosphate buffered saline(pH 7.4) with 150mM sodium chloride, 0.05% BSA, 0.02% Proclin300 and 50% glycerol.
保存条件 Store at 4℃ for short term. Store at -20℃ for long term. Avoid repeated freeze/thaw cycles.
注意事项 This product as supplied is intended for research use only, not for use in human, therapeutic or diagnostic applications.
PubMed PubMed
产品介绍 Alkaline phosphatase that can hydrolyze various phosphate compounds.

SWISS:
P05187

Gene ID:
250

产品图片
25 ug total protein per lane of various lysates (see on figure) probed with Placental alkaline phosphatase (PLAP) monoclonal antibody, unconjugated (bsm-61630R) at 1:2000 dilution and 4°C overnight incubation. Followed by conjugated secondary antibody incubation at r.t. for 60 min.
Paraformaldehyde-fixed, paraffin embedded Human Placenta; Antigen retrieval by boiling in sodium citrate buffer (pH6.0) for 15 min; Antibody incubation with Placental alkaline phosphatase (PLAP) Monoclonal Antibody, Unconjugated(bsm-61630R) at 1:200 overnight at 4°C, followed by conjugation to the bs-0295G-HRP and DAB (C-0010) staining.
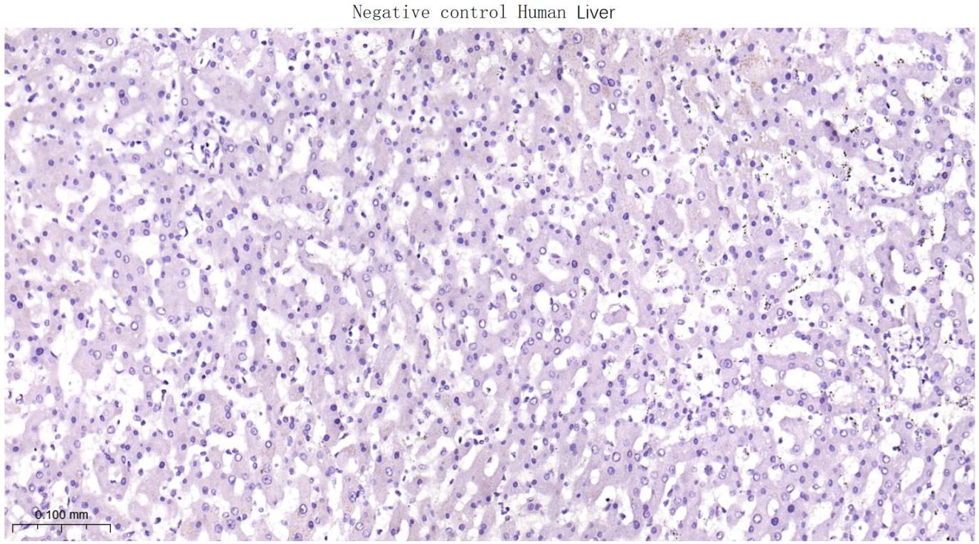
(Negative control) Paraformaldehyde-fixed, paraffin embedded Human Liver; Antigen retrieval by boiling in sodium citrate buffer (pH6.0) for 15 min; Antibody incubation with Placental alkaline phosphatase (PLAP) Monoclonal Antibody, Unconjugated(bsm-61630R) at 1:200 overnight at 4°C, followed by conjugation to the bs-0295G-HRP and DAB (C-0010) staining.
版权所有 2004-2026 www.bioss.com.cn 北京博奥森生物技术有限公司
通过国际质量管理体系ISO 9001:2015 GB/T 19001-2016    证书编号: 00124Q34771R2M/1100
通过国际医疗器械-质量管理体系ISO 13485:2016 GB/T 42061-2022     证书编号: CQC24QY20047R0M/1100
京ICP备05066980号-1         京公网安备110107000727号