扫码关注公众号           扫码咨询技术支持           扫码咨询技术服务
  
客服热线:400-901-9800  客服QQ:4009019800  技术答疑  技术支持  质量反馈  人才招聘  关于我们  联系我们
产品中心-北京博奥森生物技术有限公司
首页 > 产品中心 > 一抗 > 产品信息
Human Lambda Light Chain Recombinant Rabbit mAb (bsm-61628R)  
订购热线:400-901-9800
订购邮箱:sales@bioss.com.cn
订购QQ:  400-901-9800
技术支持:techsupport@bioss.com.cn
25ul/800.00元
50ul/1400.00元
100ul/2500.00元
大包装/询价

产品编号 bsm-61628R
英文名称 Human Lambda Light Chain Recombinant Rabbit mAb
中文名称 人λ轻链重组兔单抗
别    名 IGL@; IGLC6; IGLV; IGLJ@; IGLC1_HUMAN; IGLC1; Ig lambda chain C region MGC; Ig lambda-1 chain C region; LV151_HUMAN; IGLV1-51; Ig lambda chain V-I region BL2; Ig lambda chain V-I region EPS; Ig lambda chain V-I region NEW; Ig lambda chain V-I region NIG-64;   人免疫球蛋白λ轻链
抗体来源 Rabbit
克隆类型 Recombinant
克 隆 号 1G7
交叉反应 Human
产品应用 WB=1:1000-5000,IHC-P=1:200-1000,IHC-F=1:200-1000,IF=1:200-1000,Flow-Cyt=1:50-100,ICC/IF=1:50-200
not yet tested in other applications.
optimal dilutions/concentrations should be determined by the end user.
理论分子量 11 kDa
检测分子量 27
性    状 Liquid
免 疫 原 A synthesized peptide derived from human Human Ig lambda light chain: IgA from human colostrum(Sigma#I1010) 
亚    型 IgG
纯化方法 affinity purified by Protein A
缓 冲 液 10mM phosphate buffered saline(pH 7.4) with 150mM sodium chloride, 0.05% BSA, 0.02% Proclin300 and 50% glycerol.
保存条件 Store at 4℃ for short term. Store at -20℃ for long term. Avoid repeated freeze/thaw cycles.
注意事项 This product as supplied is intended for research use only, not for use in human, therapeutic or diagnostic applications.
PubMed PubMed
产品介绍 All five immunoglobulin classes share the same basic four polypeptide chain structure of two heavy-chains and two light chains. There are five heavy chain types, and two light-chain types (Kappa and Lambda) both having a molecular weight of 22.5kDa. Any heavy-chain type can associate with either light-chain type, but on any immunoglobulin molecule both light-chains are of the same type. Kappa and Lambda consist of a variable region and a constant region and can easily be differentiated by the antigenic properties of the constant region.

Subcellular Location:
Cytoplasmic

Similarity:
Contains 1 Ig-like (immunoglobulin-like) domain.

SWISS:
P01701

Gene ID:
8217

Database links:

Entrez Gene : 3535 Human

Entrez Gene : 3546 Human

Entrez Gene : 8217 Human

Omim : 147220 Human

SwissProt : P0CG04 Human

SwissProt : P01701 Human



该抗体特异识别免疫球蛋白λ轻链,可用于鉴定白血病、浆细胞瘤以及某些非霍奇金氏淋巴瘤。这些肿瘤的共同特征是只限于单个轻链的表达,因此轻链Kappa和Lamda可用于良恶性淋巴病变(反应性淋巴细胞增生和淋巴瘤)的辅助性诊断。
产品图片
25 ug total protein per lane of various lysates (see on figure) probed with Human Lambda Light Chain monoclonal antibody, unconjugated (bsm-61628R) at 1:1000 dilution and 4°C overnight incubation. Followed by conjugated secondary antibody incubation at r.t. for 60 min.
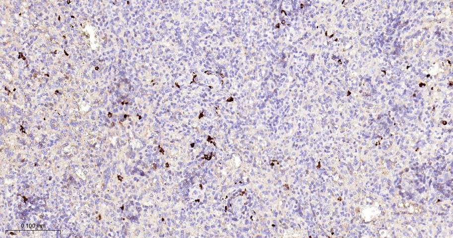
Paraformaldehyde-fixed, paraffin embedded Human Spleen; Antigen retrieval by boiling in sodium citrate buffer (pH6.0) for 15 min; The section was incubated with Human Lambda Light Chain Monoclonal Antibody, Unconjugated (bsm-61628R) at 1:200 overnight at 4°C, followed by conjugation to the bs-0295G-HRP and DAB (C-0010) staining.
Paraformaldehyde-fixed, paraffin embedded Human Lymph; Antigen retrieval by boiling in sodium citrate buffer (pH6.0) for 15 min; The section was incubated with Human Lambda Light Chain Monoclonal Antibody, Unconjugated (bsm-61628R) at 1:200 overnight at 4°C, followed by conjugation to the bs-0295G-HRP and DAB (C-0010) staining.
Paraformaldehyde-fixed, paraffin embedded Human Tonsil; Antigen retrieval by boiling in sodium citrate buffer (pH6.0) for 15 min; The section was incubated with Human Lambda Light Chain Monoclonal Antibody, Unconjugated (bsm-61628R) at 1:200 overnight at 4°C, followed by conjugation to the bs-0295G-HRP and DAB (C-0010) staining.
版权所有 2004-2026 www.bioss.com.cn 北京博奥森生物技术有限公司
通过国际质量管理体系ISO 9001:2015 GB/T 19001-2016    证书编号: 00124Q34771R2M/1100
通过国际医疗器械-质量管理体系ISO 13485:2016 GB/T 42061-2022     证书编号: CQC24QY20047R0M/1100
京ICP备05066980号-1         京公网安备110107000727号