扫码关注公众号           扫码咨询技术支持           扫码咨询技术服务
  
客服热线:400-901-9800  客服QQ:4009019800  技术答疑  技术支持  质量反馈  人才招聘  关于我们  联系我们
产品中心-北京博奥森生物技术有限公司
首页 > 产品中心 > 一抗 > 产品信息
HSD11B1 Recombinant Rabbit mAb (bsm-61609R)  
订购热线:400-901-9800
订购邮箱:sales@bioss.com.cn
订购QQ:  400-901-9800
技术支持:techsupport@bioss.com.cn
25ul/800.00元
50ul/1400.00元
100ul/2500.00元
大包装/询价

产品编号 bsm-61609R
英文名称 HSD11B1 Recombinant Rabbit mAb
中文名称 羟基类固醇脱氢酶11β1重组兔单抗
别    名 11-DH; 11-beta-HSD1; CORTRD2; HDL; HSD11; HSD11B; HSD11L; SDR26C1; LRRGT00065; DHI1_MESAU; HSD11B1; 7-alpha-hydroxycholesterol dehydrogenase (7-alpha-HCD); 7-oxosteroid reductase; Corticosteroid 11-beta-dehydrogenase isozyme 1; 1.1.1.146; DHI1_HUMAN; Short chain dehydrogenase/reductase family 26C member 1; DHI1_MOUSE; 11-beta-hydroxysteroid dehydrogenase/microsomal carbonyl reductase (11-beta-HSD1A/MCR); 11beta-HSD1A; liver-type 11-beta-HSD; DHI1_RABIT; DHI1_RAT;   
抗体来源 Rabbit
克隆类型 Recombinant
克 隆 号 1D11
交叉反应 Human,Mouse,Rat
产品应用 WB=1:500-2000,IHC-P=1:50-200,IHC-F=1:50-200,IF=1:50-200
not yet tested in other applications.
optimal dilutions/concentrations should be determined by the end user.
理论分子量 32 kDa
检测分子量 35
性    状 Liquid
免 疫 原 A synthesized peptide derived from human HSD11B1: 1-57/292 
亚    型 IgG
纯化方法 affinity purified by Protein A
缓 冲 液 10mM phosphate buffered saline(pH 7.4) with 150mM sodium chloride, 0.05% BSA, 0.02% Proclin300 and 50% glycerol.
保存条件 Store at 4℃ for short term. Store at -20℃ for long term. Avoid repeated freeze/thaw cycles.
注意事项 This product as supplied is intended for research use only, not for use in human, therapeutic or diagnostic applications.
PubMed PubMed
产品介绍 Catalyzes reversibly the conversion of cortisol to the inactive metabolite cortisone. Catalyzes reversibly the conversion of 7-ketocholesterol to 7-beta-hydroxycholesterol. In intact cells, the reaction runs only in one direction, from 7-ketocholesterol to 7-beta-hydroxycholesterol.

SWISS:
P28845

Gene ID:
3290

产品图片
25 ug total protein per lane of various lysates (see on figure) probed with HSD11B1 monoclonal antibody, unconjugated (bsm-61609R) at 1:1000 dilution and 4°C overnight incubation. Followed by conjugated secondary antibody incubation at r.t. for 60 min.
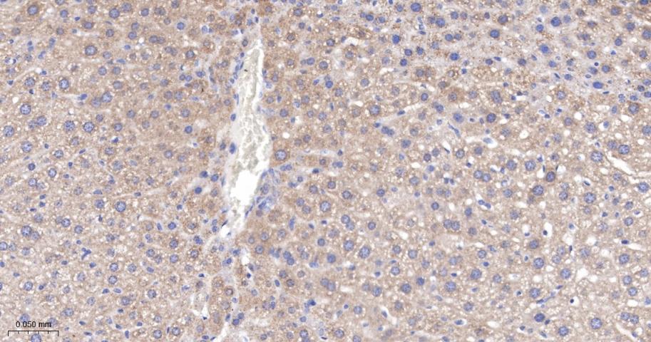
Paraformaldehyde-fixed, paraffin embedded Human Liver; Antigen retrieval by boiling in sodium citrate buffer (pH6.0) for 15 min; The section was incubated with HSD11B1 Monoclonal Antibody, Unconjugated (bsm-61609R) at 1:200 overnight at 4°C, followed by conjugation to the bs-0295G-HRP and DAB (C-0010) staining.
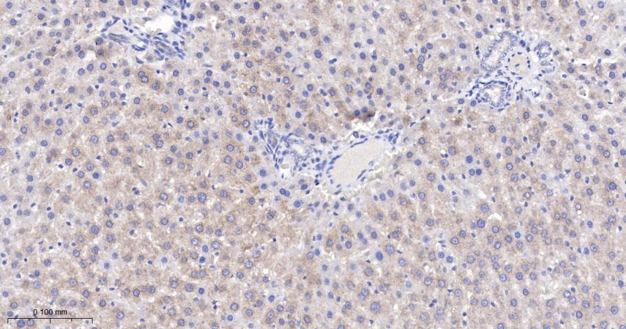
Paraformaldehyde-fixed, paraffin embedded Rat Liver; Antigen retrieval by boiling in sodium citrate buffer (pH6.0) for 15 min; The section was incubated with HSD11B1 Monoclonal Antibody, Unconjugated (bsm-61609R) at 1:200 overnight at 4°C, followed by conjugation to the bs-0295G-HRP and DAB (C-0010) staining.
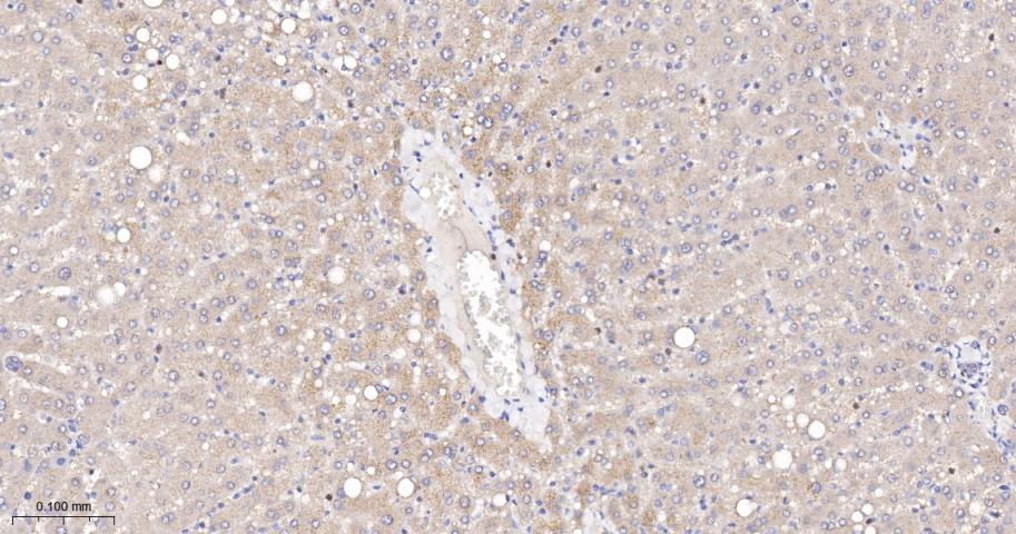
Paraformaldehyde-fixed, paraffin embedded Mouse Liver; Antigen retrieval by boiling in sodium citrate buffer (pH6.0) for 15 min; The section was incubated with HSD11B1 Monoclonal Antibody, Unconjugated (bsm-61609R) at 1:200 overnight at 4°C, followed by conjugation to the bs-0295G-HRP and DAB (C-0010) staining.
版权所有 2004-2026 www.bioss.com.cn 北京博奥森生物技术有限公司
通过国际质量管理体系ISO 9001:2015 GB/T 19001-2016    证书编号: 00124Q34771R2M/1100
通过国际医疗器械-质量管理体系ISO 13485:2016 GB/T 42061-2022     证书编号: CQC24QY20047R0M/1100
京ICP备05066980号-1         京公网安备110107000727号