扫码关注公众号           扫码咨询技术支持           扫码咨询技术服务
  
客服热线:400-901-9800  客服QQ:4009019800  技术答疑  技术支持  质量反馈  人才招聘  关于我们  联系我们
产品中心-北京博奥森生物技术有限公司
首页 > 产品中心 > 一抗 > 产品信息
Dynamin 2 Recombinant Rabbit mAb (bsm-61591R)  
订购热线:400-901-9800
订购邮箱:sales@bioss.com.cn
订购QQ:  400-901-9800
技术支持:techsupport@bioss.com.cn
25ul/800.00元
50ul/1400.00元
100ul/2500.00元
大包装/询价

产品编号 bsm-61591R
英文名称 Dynamin 2 Recombinant Rabbit mAb
中文名称 酶动力蛋白2重组兔单抗
别    名 CMT2M; CMTDI1; CMTDIB; DI-CMTB; DYN2; DYNII; LCCS5; Udnm; b2b2159Clo; DYIIAAB; DYN2_HUMAN; DNM2; Dynamin 2; Dynamin II; 3.6.5.5; DYN2_MOUSE; Dynamin UDNM; DYN2_RAT;   
抗体来源 Rabbit
克隆类型 Recombinant
克 隆 号 1G9
交叉反应 Human,Mouse,Rat
产品应用 WB=1:500-2000,IHC-P=1:100-500,IHC-F=1:100-500,IF=1:100-500,Flow-Cyt=1:50-100,ICC/IF=1:50-200
not yet tested in other applications.
optimal dilutions/concentrations should be determined by the end user.
理论分子量 98 kDa
检测分子量 100
性    状 Liquid
免 疫 原 A synthesized peptide derived from human Dynamin 2: 750-800/870 
亚    型 IgG
纯化方法 affinity purified by Protein A
缓 冲 液 10mM phosphate buffered saline(pH 7.4) with 150mM sodium chloride, 0.05% BSA, 0.02% Proclin300 and 50% glycerol.
保存条件 Store at 4℃ for short term. Store at -20℃ for long term. Avoid repeated freeze/thaw cycles.
注意事项 This product as supplied is intended for research use only, not for use in human, therapeutic or diagnostic applications.
PubMed PubMed
产品介绍 Catalyzes the hydrolysis of GTP and utilizes this energy to mediate vesicle scission at plasma membrane during endocytosis and filament remodeling at many actin structures during organization of the actin cytoskeleton.Plays an important role in vesicular trafficking processes, namely clathrin-mediated endocytosis (CME), exocytic and clathrin-coated vesicle from the trans-Golgi network, and PDGF stimulated macropinocytosis.

SWISS:
P50570

Gene ID:
1785

发动蛋白是一种胞质溶胶蛋白, 又称:酶动力蛋白。 能够同GTP结合并将GTP水解。 发动蛋白2(Dynamin 2)是大的鸟苷三磷酸酶(GTPases)和eNOS存在相同的膜区室。研究显示Dynamin 2能与eNOS直接作用增强eNOS的活性。Dynamin 2参与Caveolae 的内陷活动、小囊的形成与运输以及受体介导的胞吞作用。 Dynamin 2能和牛主动脉的内皮细胞溶菌产物的eNOS免疫共沉淀。Ca2+转运体刺激的的内皮细胞增强了发动蛋白免疫共沉淀作用,说明蛋白间的相互作用能够被细胞内的ca2
产品图片
25 ug total protein per lane of various lysates (see on figure) probed with Dynamin 2 monoclonal antibody, unconjugated (bsm-61591R) at 1:1000 dilution and 4°C overnight incubation. Followed by conjugated secondary antibody incubation at r.t. for 60 min.
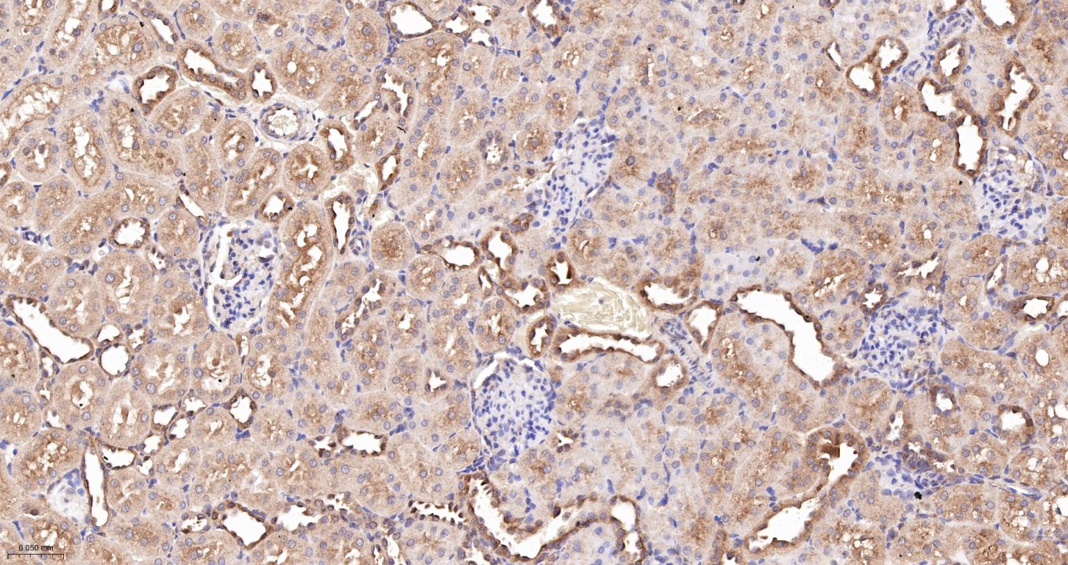
Paraformaldehyde-fixed, paraffin embedded Rat Kidney; Antigen retrieval by boiling in sodium citrate buffer (pH6.0) for 15 min; The section was incubated with Dynamin 2 Recombinant Monoclonal Antibody, Unconjugated (bsm-61591R) at 1:200 overnight at 4°C, followed by conjugation to the bs-0295G-HRP and DAB (C-0010) staining.
Paraformaldehyde-fixed, paraffin embedded Rat Cerebrum; Antigen retrieval by boiling in sodium citrate buffer (pH6.0) for 15 min; The section was incubated with Dynamin 2 Recombinant Monoclonal Antibody, Unconjugated (bsm-61591R) at 1:200 overnight at 4°C, followed by conjugation to the bs-0295G-HRP and DAB (C-0010) staining.
Paraformaldehyde-fixed, paraffin embedded Mouse Cerebrum; Antigen retrieval by boiling in sodium citrate buffer (pH6.0) for 15 min; The section was incubated with Dynamin 2 Recombinant Monoclonal Antibody, Unconjugated (bsm-61591R) at 1:200 overnight at 4°C, followed by conjugation to the bs-0295G-HRP and DAB (C-0010) staining.
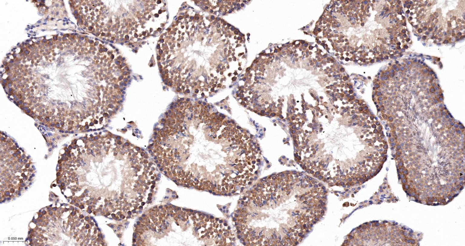
Paraformaldehyde-fixed, paraffin embedded Rat Testicles; Antigen retrieval by boiling in sodium citrate buffer (pH6.0) for 15 min; The section was incubated with Dynamin 2 Recombinant Monoclonal Antibody, Unconjugated (bsm-61591R) at 1:200 overnight at 4°C, followed by conjugation to the bs-0295G-HRP and DAB (C-0010) staining.
Paraformaldehyde-fixed, paraffin embedded Mouse Testicles; Antigen retrieval by boiling in sodium citrate buffer (pH6.0) for 15 min; The section was incubated with Dynamin 2 Recombinant Monoclonal Antibody, Unconjugated (bsm-61591R) at 1:200 overnight at 4°C, followed by conjugation to the bs-0295G-HRP and DAB (C-0010) staining.
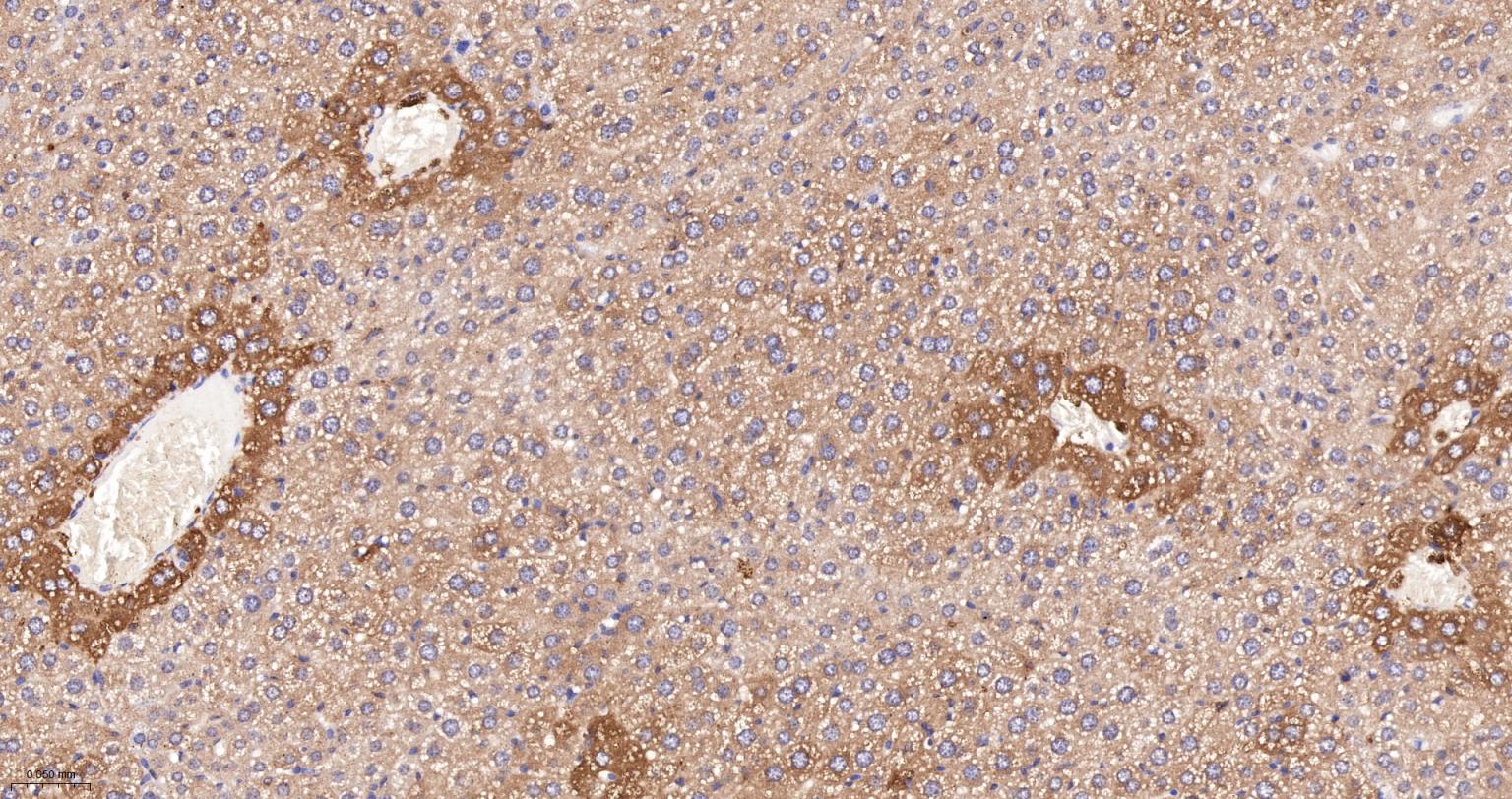
Paraformaldehyde-fixed, paraffin embedded Rat Liver; Antigen retrieval by boiling in sodium citrate buffer (pH6.0) for 15 min; The section was incubated with Dynamin 2 Recombinant Monoclonal Antibody, Unconjugated (bsm-61591R) at 1:200 overnight at 4°C, followed by conjugation to the bs-0295G-HRP and DAB (C-0010) staining.
Paraformaldehyde-fixed, paraffin embedded Mouse Liver; Antigen retrieval by boiling in sodium citrate buffer (pH6.0) for 15 min; The section was incubated with Dynamin 2 Recombinant Monoclonal Antibody, Unconjugated (bsm-61591R) at 1:200 overnight at 4°C, followed by conjugation to the bs-0295G-HRP and DAB (C-0010) staining.
4% Paraformaldehyde-fixed Hela (H) cell; Triton X-100 at r.t. for 20 min; Antibody incubation with (Dynamin 2) monoclonal Antibody, unconjugated (bsm-61591R) 1:100, 90 min at 37°C; followed by conjugated Goat Anti-Rabbit IgG antibody (green, bs-60295G-BF488) at 37°C for 90 min, DAPI (blue, C02-04002) was used to stain the cell nuclei. PBS instead of the primary antibody was used as the blank control.
The Hela (H) cells were fixed with 4% PFA (10 min at r.t.) and then permeabilized with 90% ice-cold methanol for 20 min at -20℃,the cells then were incubated in 5%BSA to block non-specific protein-protein interactions (30 min at r.t.), followed by secondary antibody incubation for 40 min at room temperature. Primary Antibody (green):Rabbit Anti-Dynamin 2 antibody (bsm-61591R,1:100); Isotype Control (orange): Rabbit IgG (bs-0295P). Blank control (black): PBS. Acquisition of 20,000 events was performed.
版权所有 2004-2026 www.bioss.com.cn 北京博奥森生物技术有限公司
通过国际质量管理体系ISO 9001:2015 GB/T 19001-2016    证书编号: 00124Q34771R2M/1100
通过国际医疗器械-质量管理体系ISO 13485:2016 GB/T 42061-2022     证书编号: CQC24QY20047R0M/1100
京ICP备05066980号-1         京公网安备110107000727号