扫码关注公众号           扫码咨询技术支持           扫码咨询技术服务
  
客服热线:400-901-9800  客服QQ:4009019800  技术答疑  技术支持  质量反馈  人才招聘  关于我们  联系我们
产品中心-北京博奥森生物技术有限公司
首页 > 产品中心 > 一抗 > 产品信息
SPECA Recombinant Rabbit mAb (bsm-61537R)  
订购热线:400-901-9800
订购邮箱:sales@bioss.com.cn
订购QQ:  400-901-9800
技术支持:techsupport@bioss.com.cn
25ul/800.00元
50ul/1400.00元
100ul/2500.00元
大包装/询价

产品编号 bsm-61537R
英文名称 SPECA Recombinant Rabbit mAb
中文名称 a-包衬蛋白重组兔单抗
别    名 SPTN1_HUMAN; SPTAN1; Alpha-II spectrin; Fodrin alpha chain; Spectrin, non-erythroid alpha subunit; NEAS; SPTA2; DEE5; DEVEP; EIEE5; HMN11; HMND11; SPG91;   
抗体来源 Rabbit
克隆类型 Recombinant
克 隆 号 3D1
交叉反应 Human,Mouse,Rat
产品应用 WB=1:500-2000,IHC-P=1:100-500,IHC-F=1:100-500,IF=1:100-500,IP=1:20-50
not yet tested in other applications.
optimal dilutions/concentrations should be determined by the end user.
理论分子量 285 kDa
检测分子量 285
性    状 Liquid
免 疫 原 A synthesized peptide derived from human SPTAN1: 50-105/2472 
亚    型 IgG
纯化方法 affinity purified by Protein A
缓 冲 液 10mM phosphate buffered saline(pH 7.4) with 150mM sodium chloride, 0.05% BSA, 0.02% Proclin300 and 50% glycerol.
保存条件 Store at 4℃ for short term. Store at -20℃ for long term. Avoid repeated freeze/thaw cycles.
注意事项 This product as supplied is intended for research use only, not for use in human, therapeutic or diagnostic applications.
PubMed PubMed
产品介绍 Fodrin, which seems to be involved in secretion, interacts with calmodulin in a calcium-dependent manner and is thus candidate for the calcium-dependent movement of the cytoskeleton at the membrane.

SWISS:
Q13813

Gene ID:
6709

血影蛋白(spectrin)又称收缩蛋白,是红细胞膜骨架的主要成份,参与了细胞骨架结构的形成。但不是红细胞膜蛋白的成份,约占膜提取蛋白的30%。血影蛋白属是类似肌球蛋白的膜的外在性蛋白的一种。Spectrin α是膜里侧结构蛋白质之一,除起支持双层脂质外,还有保持红细胞外形的作用,Spectrin-α占里侧结构蛋白之60—70%。
产品图片
25 ug total protein per lane of various lysates (see on figure) probed with SPTAN1 monoclonal antibody, unconjugated (bsm-61537R) at 1:1000 dilution and 4°C overnight incubation. Followed by conjugated secondary antibody incubation at r.t. for 60 min.
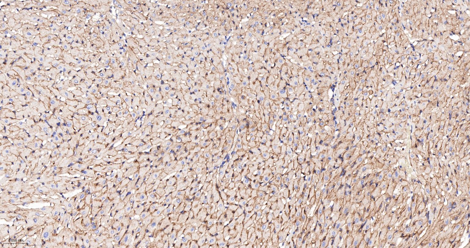
Paraformaldehyde-fixed, paraffin embedded Rat Heart; Antigen retrieval by boiling in sodium citrate buffer (pH6.0) for 15 min; The section was incubated with SPECA Recombinant Monoclonal Antibody, Unconjugated (bsm-61537R) at 1:200 overnight at 4°C, followed by conjugation to the bs-0295G-HRP and DAB (C-0010) staining.
Paraformaldehyde-fixed, paraffin embedded Mouse Heart; Antigen retrieval by boiling in sodium citrate buffer (pH6.0) for 15 min; The section was incubated with SPECA Recombinant Monoclonal Antibody, Unconjugated (bsm-61537R) at 1:200 overnight at 4°C, followed by conjugation to the bs-0295G-HRP and DAB (C-0010) staining.
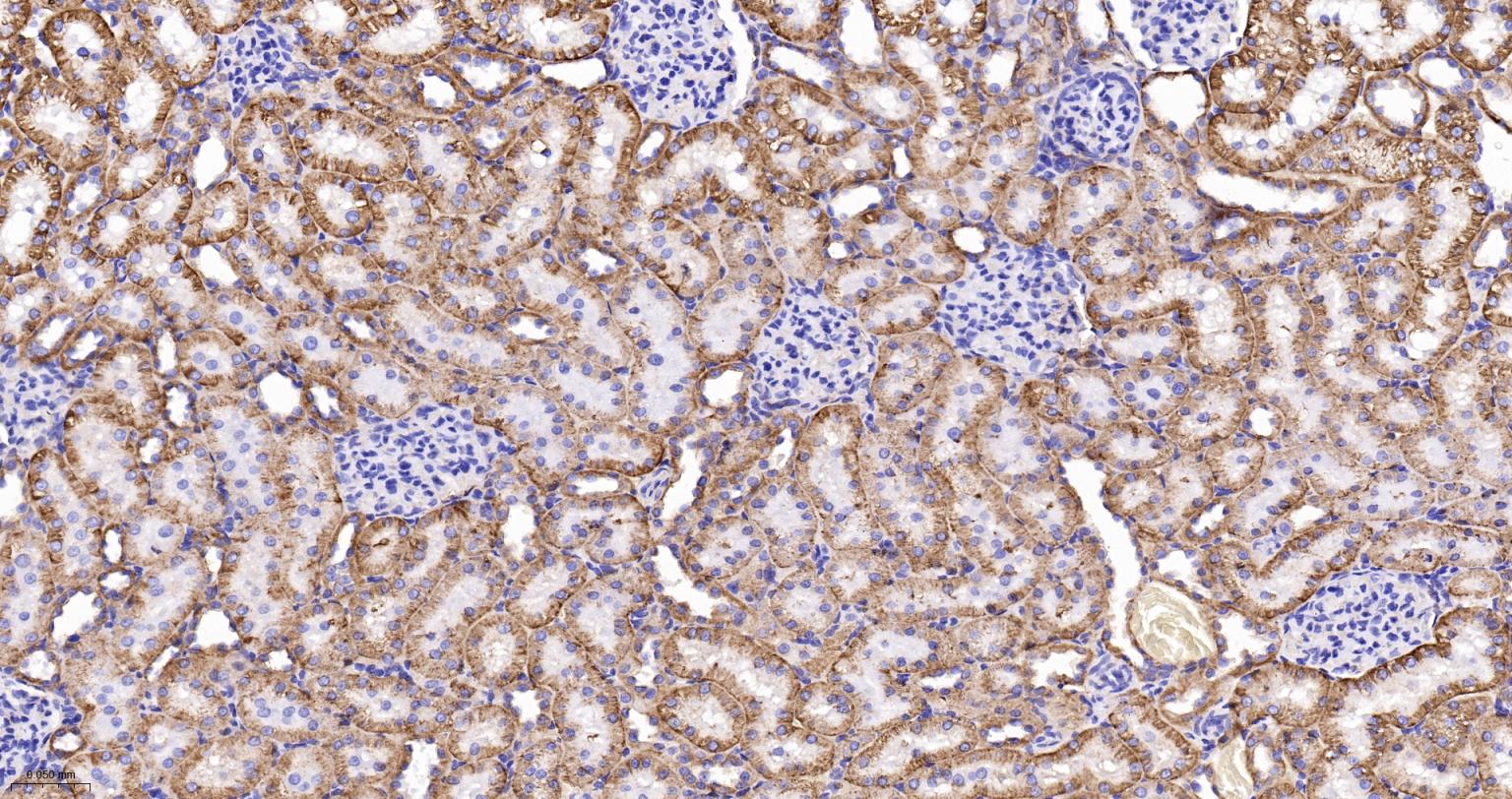
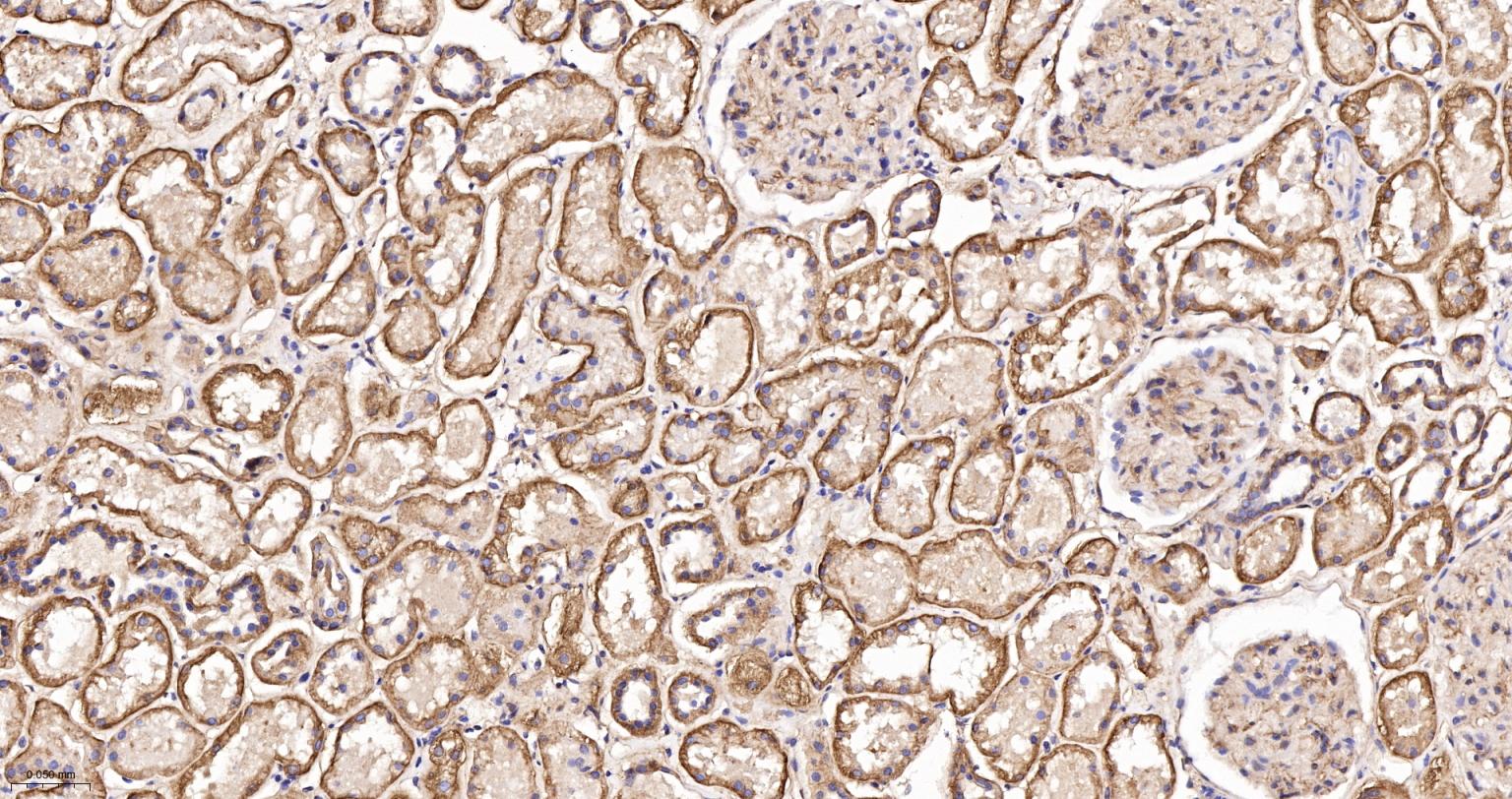
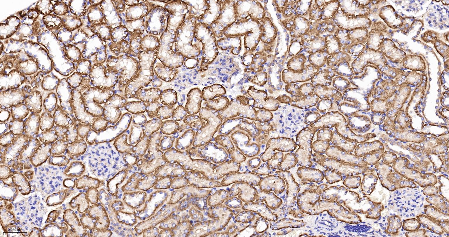
Paraformaldehyde-fixed, paraffin embedded Rat Kidney; Antigen retrieval by boiling in sodium citrate buffer (pH6.0) for 15 min; The section was incubated with SPECA Recombinant Monoclonal Antibody, Unconjugated (bsm-61537R) at 1:200 overnight at 4°C, followed by conjugation to the bs-0295G-HRP and DAB (C-0010) staining.
Paraformaldehyde-fixed, paraffin embedded Mouse Kidney; Antigen retrieval by boiling in sodium citrate buffer (pH6.0) for 15 min; The section was incubated with SPECA Recombinant Monoclonal Antibody, Unconjugated (bsm-61537R) at 1:200 overnight at 4°C, followed by conjugation to the bs-0295G-HRP and DAB (C-0010) staining.
Paraformaldehyde-fixed, paraffin embedded Human Heart; Antigen retrieval by boiling in sodium citrate buffer (pH6.0) for 15 min; The section was incubated with SPECA Recombinant Monoclonal Antibody, Unconjugated (bsm-61537R) at 1:200 overnight at 4°C, followed by conjugation to the bs-0295G-HRP and DAB (C-0010) staining.
Paraformaldehyde-fixed, paraffin embedded Human Kidney; Antigen retrieval by boiling in sodium citrate buffer (pH6.0) for 15 min; The section was incubated with SPECA Recombinant Monoclonal Antibody, Unconjugated (bsm-61537R) at 1:200 overnight at 4°C, followed by conjugation to the bs-0295G-HRP and DAB (C-0010) staining.
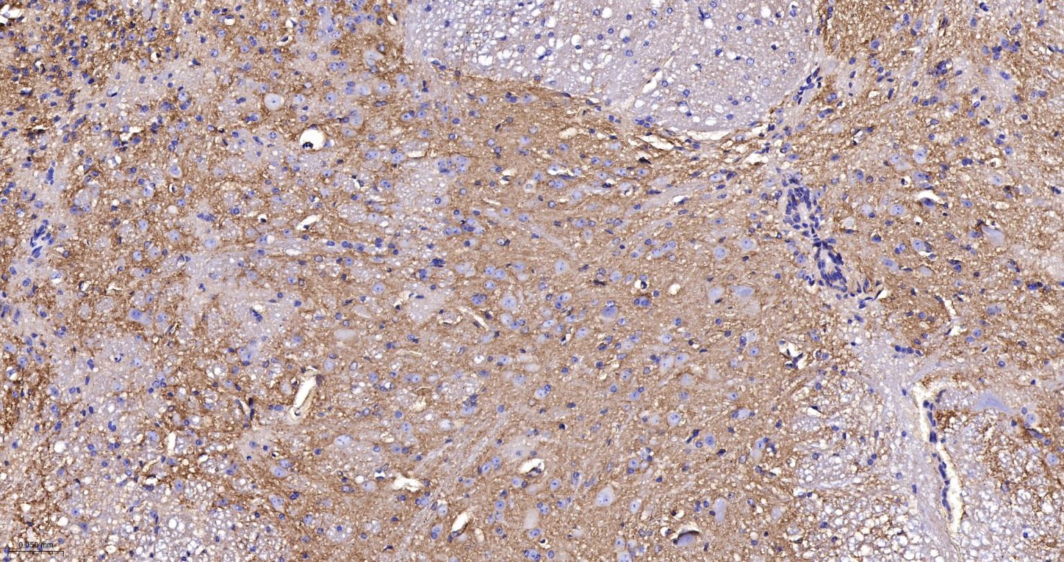
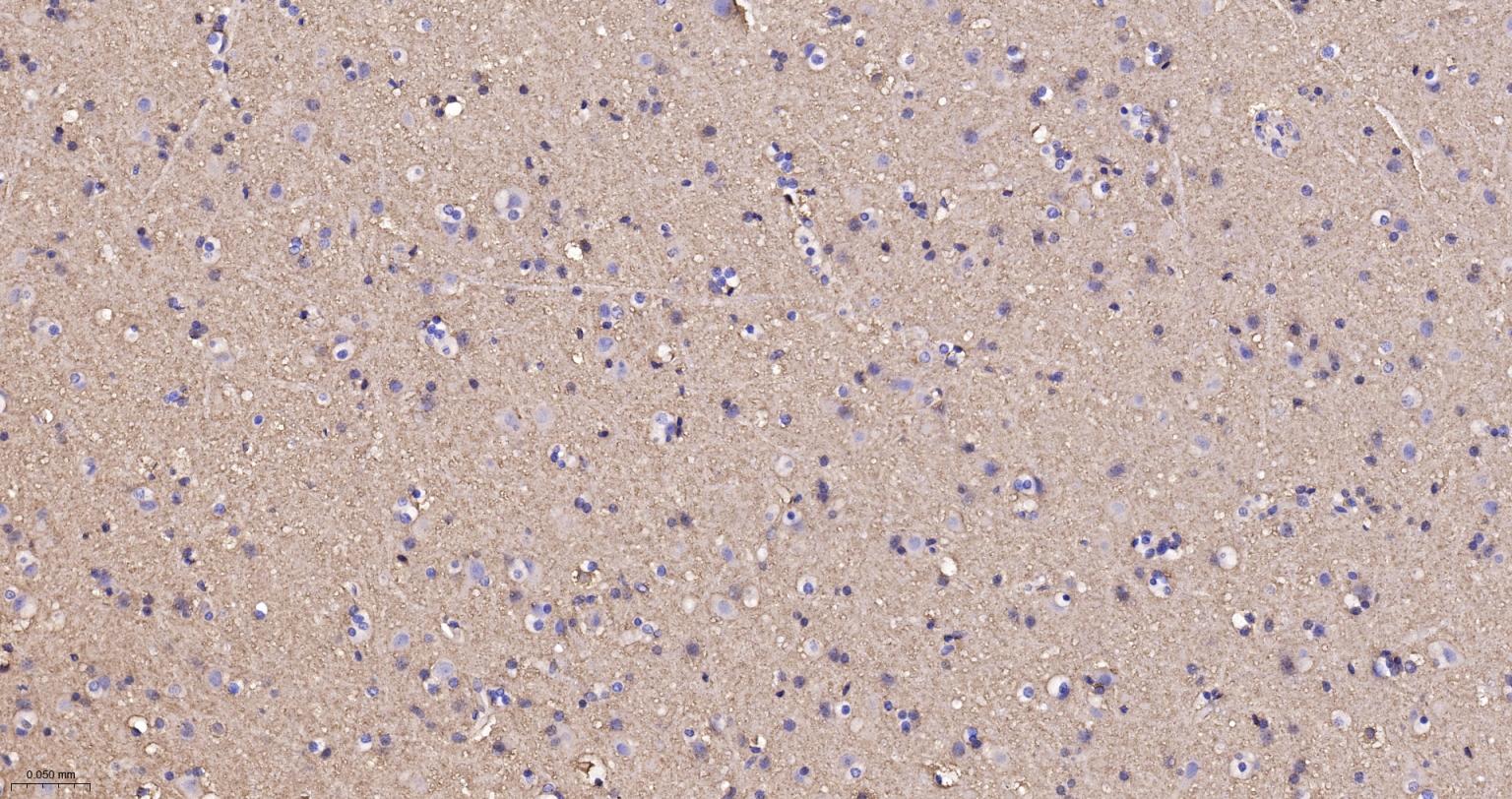
Paraformaldehyde-fixed, paraffin embedded Human Cerebrum; Antigen retrieval by boiling in sodium citrate buffer (pH6.0) for 15 min; The section was incubated with SPECA Recombinant Monoclonal Antibody, Unconjugated (bsm-61537R) at 1:200 overnight at 4°C, followed by conjugation to the bs-0295G-HRP and DAB (C-0010) staining.
Paraformaldehyde-fixed, paraffin embedded Rat Cerebrum; Antigen retrieval by boiling in sodium citrate buffer (pH6.0) for 15 min; The section was incubated with SPECA Recombinant Monoclonal Antibody, Unconjugated (bsm-61537R) at 1:200 overnight at 4°C, followed by conjugation to the bs-0295G-HRP and DAB (C-0010) staining.
Paraformaldehyde-fixed, paraffin embedded Mouse Cerebrum; Antigen retrieval by boiling in sodium citrate buffer (pH6.0) for 15 min; The section was incubated with SPECA Recombinant Monoclonal Antibody, Unconjugated (bsm-61537R) at 1:200 overnight at 4°C, followed by conjugation to the bs-0295G-HRP and DAB (C-0010) staining.
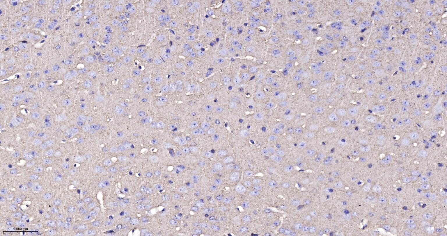
Paraformaldehyde-fixed, paraffin embedded Rat Spinal Cord; Antigen retrieval by boiling in sodium citrate buffer (pH6.0) for 15 min; The section was incubated with SPECA Recombinant Monoclonal Antibody, Unconjugated (bsm-61537R) at 1:200 overnight at 4°C, followed by conjugation to the bs-0295G-HRP and DAB (C-0010) staining.
Paraformaldehyde-fixed, paraffin embedded Mouse Spinal Cord; Antigen retrieval by boiling in sodium citrate buffer (pH6.0) for 15 min; The section was incubated with SPECA Recombinant Monoclonal Antibody, Unconjugated (bsm-61537R) at 1:200 overnight at 4°C, followed by conjugation to the bs-0295G-HRP and DAB (C-0010) staining.
版权所有 2004-2026 www.bioss.com.cn 北京博奥森生物技术有限公司
通过国际质量管理体系ISO 9001:2015 GB/T 19001-2016    证书编号: 00124Q34771R2M/1100
通过国际医疗器械-质量管理体系ISO 13485:2016 GB/T 42061-2022     证书编号: CQC24QY20047R0M/1100
京ICP备05066980号-1         京公网安备110107000727号