扫码关注公众号           扫码咨询技术支持           扫码咨询技术服务
  
客服热线:400-901-9800  客服QQ:4009019800  技术答疑  技术支持  质量反馈  人才招聘  关于我们  联系我们
产品中心-北京博奥森生物技术有限公司
首页 > 产品中心 > 一抗 > 产品信息
ITK Recombinant Rabbit mAb (bsm-61531R)  
订购热线:400-901-9800
订购邮箱:sales@bioss.com.cn
订购QQ:  400-901-9800
技术支持:techsupport@bioss.com.cn
25ul/800.00元
50ul/1400.00元
100ul/2500.00元
大包装/询价

产品编号 bsm-61531R
英文名称 ITK Recombinant Rabbit mAb
中文名称 IL-2诱导型T细胞激酶重组兔单抗
别    名 EMT; LPFS1; LYK; PSCTK2; Tcsk; Tsk; ITK_HUMAN; ITK; Interleukin-2-inducible T-cell kinase (IL-2-inducible T-cell kinase); Kinase EMT; T-cell-specific kinase; Tyrosine-protein kinase Lyk; 2.7.10.2; ITK_MOUSE; IL-2-inducible T-cell kinase; Kinase TLK; Tlk;   
抗体来源 Rabbit
克隆类型 Recombinant
克 隆 号 5B1
交叉反应 Human
产品应用 IHC-P=1:50-200,IHC-F=1:50-200,IF=1:50-200,Flow-Cyt=1:50-100
not yet tested in other applications.
optimal dilutions/concentrations should be determined by the end user.
理论分子量 72 kDa
检测分子量 72
性    状 Liquid
免 疫 原 A synthesized peptide derived from human ITK: 1-66/620 
亚    型 IgG
纯化方法 affinity purified by Protein A
缓 冲 液 10mM phosphate buffered saline(pH 7.4) with 150mM sodium chloride, 0.05% BSA, 0.02% Proclin300 and 50% glycerol.
保存条件 Store at 4℃ for short term. Store at -20℃ for long term. Avoid repeated freeze/thaw cycles.
注意事项 This product as supplied is intended for research use only, not for use in human, therapeutic or diagnostic applications.
PubMed PubMed
产品介绍 Interleukin-2 inducible T-cell kinase (Itk, Emt or Tsk) is a member of the non-receptor protein tyrosine kinases. Family members of Itk include Tec, Btk, Rlk and Bmx and are all defined by a common structure: an amino-terminal PH domain, a Tec-homology domain and a SH3 and SH2 domain followed by a carboxy-terminal kinase domain. Tec, Rlk and Itk are expressed in T cells and activated in response to T cell receptor (TCR) engagement.

SWISS:
Q08881

Gene ID:
3702

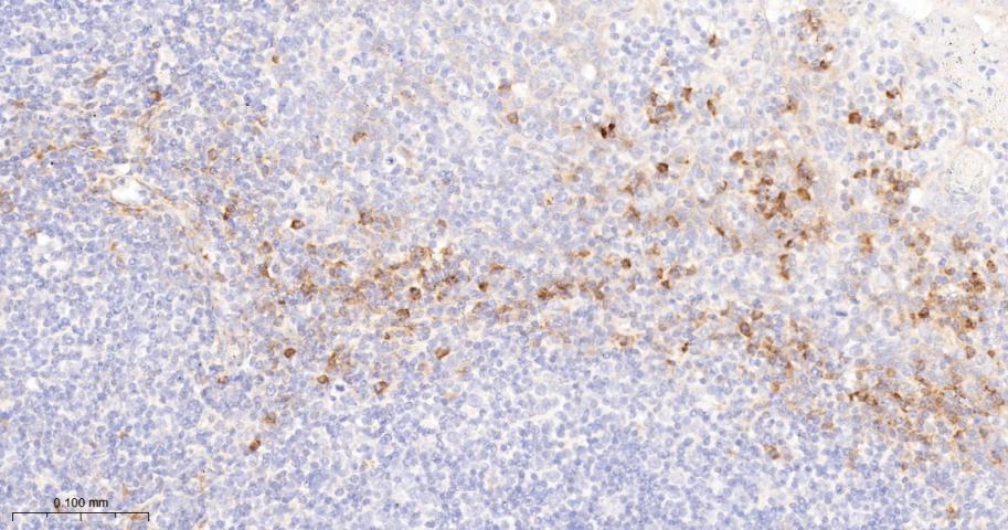
产品图片
Paraformaldehyde-fixed, paraffin embedded Human Lymph; Antigen retrieval by boiling in sodium citrate buffer (pH6.0) for 15 min; The section was incubated with ITK  Monoclonal Antibody, Unconjugated (bsm-61531R) at 1:200 overnight at 4°C, followed by conjugation to the bs-0295G-HRP and DAB (C-0010) staining.
Paraformaldehyde-fixed, paraffin embedded Human Tonsil; Antigen retrieval by boiling in sodium citrate buffer (pH6.0) for 15 min; The section was incubated with ITK  Monoclonal Antibody, Unconjugated (bsm-61531R) at 1:200 overnight at 4°C, followed by conjugation to the bs-0295G-HRP and DAB (C-0010) staining.
版权所有 2004-2026 www.bioss.com.cn 北京博奥森生物技术有限公司
通过国际质量管理体系ISO 9001:2015 GB/T 19001-2016    证书编号: 00124Q34771R2M/1100
通过国际医疗器械-质量管理体系ISO 13485:2016 GB/T 42061-2022     证书编号: CQC24QY20047R0M/1100
京ICP备05066980号-1         京公网安备110107000727号