扫码关注公众号           扫码咨询技术支持           扫码咨询技术服务
  
客服热线:400-901-9800  客服QQ:4009019800  技术答疑  技术支持  质量反馈  人才招聘  关于我们  联系我们
产品中心-北京博奥森生物技术有限公司
首页 > 产品中心 > 一抗 > 产品信息
HSD17B10 Recombinant Rabbit mAb (bsm-61523R)  
订购热线:400-901-9800
订购邮箱:sales@bioss.com.cn
订购QQ:  400-901-9800
技术支持:techsupport@bioss.com.cn
25ul/800.00元
50ul/1400.00元
100ul/2500.00元
大包装/询价

产品编号 bsm-61523R
英文名称 HSD17B10 Recombinant Rabbit mAb
中文名称 内质网Aβ相关结合蛋白重组兔单抗
别    名 17b-HSD10; ABAD; CAMR; DUPXp11.22; ERAB; HADH2; HCD2; HSD10MD; MHBD; MRPP2; MRX17; MRX31; MRXS10; SCHAD; SDR5C1; 17bHSD10; Ads9; HSD10; HCD2_HUMAN; HSD17B10; 17-beta-estradiol 17-dehydrogenase; 2-methyl-3-hydroxybutyryl-CoA dehydrogenase (MHBD); 3-alpha-(17-beta)-hydroxysteroid dehydrogenase (NAD(+)); 3-hydroxy-2-methylbutyryl-CoA dehydrogenase; 3-hydroxyacyl-CoA dehydrogenase type II; 3alpha(or 20beta)-hydroxysteroid dehydrogenase; 7-alpha-hydroxysteroid dehydrogenase; Endoplasmic reticulum-associated amyloid beta-peptide-binding protein; Mitochondrial ribonuclease P protein 2 (Mitochondrial RNase P protein 2); Short chain dehydrogenase/reductase family 5C member 1; Short-chain type dehydrogenase/reductase XH98G2; Type II HADH; 1.1.1.35; XH98G2; HCD2_MOUSE; HCD2_RAT;   
抗体来源 Rabbit
克隆类型 Recombinant
克 隆 号 4H15
交叉反应 Human,Mouse,Rat
产品应用 WB=1:500-2000,IHC-P=1:100-500,IHC-F=1:100-500,IF=1:100-500,Flow-Cyt=1:50-100,ICC/IF=1:50-200
not yet tested in other applications.
optimal dilutions/concentrations should be determined by the end user.
理论分子量 27 kDa
检测分子量 25
性    状 Liquid
免 疫 原 A synthesized peptide derived from human HSD17B10: 200-261/261 
亚    型 IgG
纯化方法 affinity purified by Protein A
缓 冲 液 10mM phosphate buffered saline(pH 7.4) with 150mM sodium chloride, 0.05% BSA, 0.02% Proclin300 and 50% glycerol.
保存条件 Store at 4℃ for short term. Store at -20℃ for long term. Avoid repeated freeze/thaw cycles.
注意事项 This product as supplied is intended for research use only, not for use in human, therapeutic or diagnostic applications.
PubMed PubMed
产品介绍 Mitochondrial dehydrogenase involved in pathways of fatty acid, branched-chain amino acid and steroid metabolism.Acts as (S)-3-hydroxyacyl-CoA dehydrogenase in mitochondrial fatty acid beta-oxidation, a major degradation pathway of fatty acids. Catalyzes the third step in the beta-oxidation cycle, namely the reversible conversion of (S)-3-hydroxyacyl-CoA to 3-ketoacyl-CoA. Preferentially accepts straight medium- and short-chain acyl-CoA substrates with highest efficiency for (3S)-hydroxybutanoyl-CoA.

SWISS:
Q99714

Gene ID:
3028

ERAB(Endoplasmic reticulum amyloid beta-peptide binding protein)内质网Aβ相关结合蛋白是一个细胞内与Aβ结合的蛋白。Aβ是一个具有导致阿尔兹海默斯病作用的神经毒多肽。ERAB被认为是一个羟基类固醇脱氢酶。它表达在正常组织,但是,在阿尔兹海默斯病神经损伤时过渡表达,在培养细胞中当Aβ的毒性作用增加是过度表达。
产品图片
25 ug total protein per lane of various lysates (see on figure) probed with HSD17B10 monoclonal antibody, unconjugated (bsm-61523R) at 1:1000 dilution and 4°C overnight incubation. Followed by conjugated secondary antibody incubation at r.t. for 60 min.
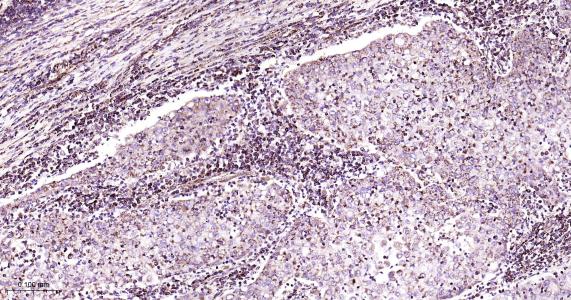
Paraformaldehyde-fixed, paraffin embedded Human Endometrial Cancer; Antigen retrieval by boiling in sodium citrate buffer (pH6.0) for 15 min; Antibody incubation with HSD17B10 Monoclonal Antibody, Unconjugated(bsm-61523R) at 1:200 overnight at 4°C, followed by conjugation to the bs-0295G-HRP and DAB (C-0010) staining.
Paraformaldehyde-fixed, paraffin embedded Human Gastric Cancer; Antigen retrieval by boiling in sodium citrate buffer (pH6.0) for 15 min; Antibody incubation with HSD17B10 Monoclonal Antibody, Unconjugated(bsm-61523R) at 1:200 overnight at 4°C, followed by conjugation to the bs-0295G-HRP and DAB (C-0010) staining.
Paraformaldehyde-fixed, paraffin embedded Human Placenta; Antigen retrieval by boiling in sodium citrate buffer (pH6.0) for 15 min; Antibody incubation with HSD17B10 Monoclonal Antibody, Unconjugated(bsm-61523R) at 1:200 overnight at 4°C, followed by conjugation to the bs-0295G-HRP and DAB (C-0010) staining.
Paraformaldehyde-fixed, paraffin embedded Human Thyroid Cancer; Antigen retrieval by boiling in sodium citrate buffer (pH6.0) for 15 min; Antibody incubation with HSD17B10 Monoclonal Antibody, Unconjugated(bsm-61523R) at 1:200 overnight at 4°C, followed by conjugation to the bs-0295G-HRP and DAB (C-0010) staining.
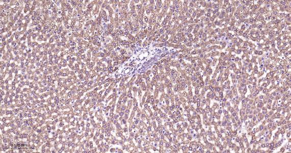
Paraformaldehyde-fixed, paraffin embedded Human Liver; Antigen retrieval by boiling in sodium citrate buffer (pH6.0) for 15 min; Antibody incubation with HSD17B10 Monoclonal Antibody, Unconjugated(bsm-61523R) at 1:200 overnight at 4°C, followed by conjugation to the bs-0295G-HRP and DAB (C-0010) staining.
Paraformaldehyde-fixed, paraffin embedded Rat Liver; Antigen retrieval by boiling in sodium citrate buffer (pH6.0) for 15 min; Antibody incubation with HSD17B10 Monoclonal Antibody, Unconjugated(bsm-61523R) at 1:200 overnight at 4°C, followed by conjugation to the bs-0295G-HRP and DAB (C-0010) staining.
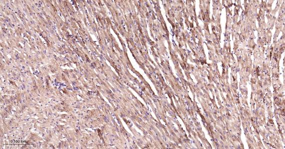
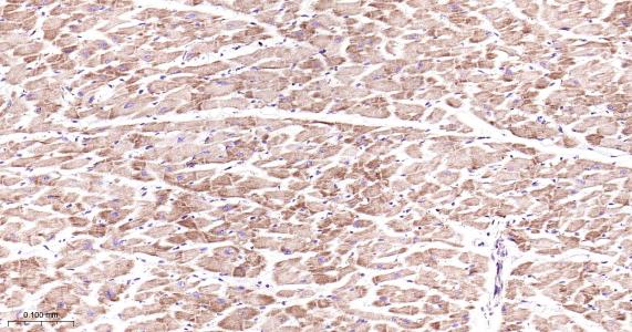
Paraformaldehyde-fixed, paraffin embedded Human Heart; Antigen retrieval by boiling in sodium citrate buffer (pH6.0) for 15 min; Antibody incubation with HSD17B10 Monoclonal Antibody, Unconjugated(bsm-61523R) at 1:200 overnight at 4°C, followed by conjugation to the bs-0295G-HRP and DAB (C-0010) staining.
Paraformaldehyde-fixed, paraffin embedded Rat Heart; Antigen retrieval by boiling in sodium citrate buffer (pH6.0) for 15 min; Antibody incubation with HSD17B10 Monoclonal Antibody, Unconjugated(bsm-61523R) at 1:200 overnight at 4°C, followed by conjugation to the bs-0295G-HRP and DAB (C-0010) staining.
Paraformaldehyde-fixed, paraffin embedded Mouse Heart; Antigen retrieval by boiling in sodium citrate buffer (pH6.0) for 15 min; Antibody incubation with HSD17B10 Monoclonal Antibody, Unconjugated(bsm-61523R) at 1:200 overnight at 4°C, followed by conjugation to the bs-0295G-HRP and DAB (C-0010) staining.
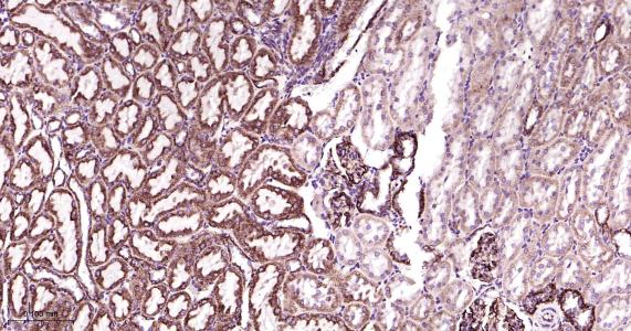
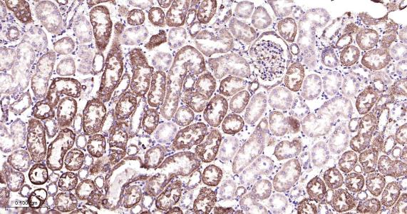
Paraformaldehyde-fixed, paraffin embedded Human Kidney; Antigen retrieval by boiling in sodium citrate buffer (pH6.0) for 15 min; Antibody incubation with HSD17B10 Monoclonal Antibody, Unconjugated(bsm-61523R) at 1:200 overnight at 4°C, followed by conjugation to the bs-0295G-HRP and DAB (C-0010) staining.
Paraformaldehyde-fixed, paraffin embedded Rat Kidney; Antigen retrieval by boiling in sodium citrate buffer (pH6.0) for 15 min; Antibody incubation with HSD17B10 Monoclonal Antibody, Unconjugated(bsm-61523R) at 1:200 overnight at 4°C, followed by conjugation to the bs-0295G-HRP and DAB (C-0010) staining.
Paraformaldehyde-fixed, paraffin embedded Mouse Kidney; Antigen retrieval by boiling in sodium citrate buffer (pH6.0) for 15 min; Antibody incubation with HSD17B10 Monoclonal Antibody, Unconjugated(bsm-61523R) at 1:200 overnight at 4°C, followed by conjugation to the bs-0295G-HRP and DAB (C-0010) staining.
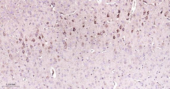
Paraformaldehyde-fixed, paraffin embedded Human Cerebrum; Antigen retrieval by boiling in sodium citrate buffer (pH6.0) for 15 min; Antibody incubation with HSD17B10 Monoclonal Antibody, Unconjugated(bsm-61523R) at 1:200 overnight at 4°C, followed by conjugation to the bs-0295G-HRP and DAB (C-0010) staining.
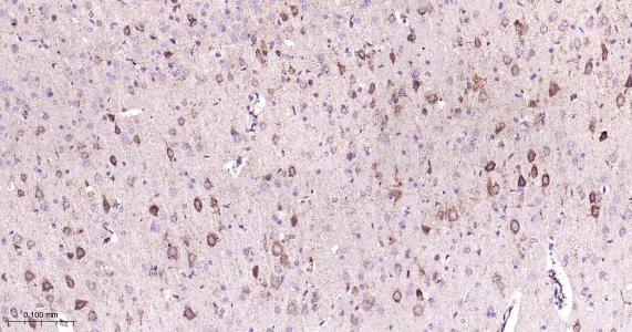
Paraformaldehyde-fixed, paraffin embedded Rat Cerebrum; Antigen retrieval by boiling in sodium citrate buffer (pH6.0) for 15 min; Antibody incubation with HSD17B10 Monoclonal Antibody, Unconjugated(bsm-61523R) at 1:200 overnight at 4°C, followed by conjugation to the bs-0295G-HRP and DAB (C-0010) staining.
Paraformaldehyde-fixed, paraffin embedded Mouse Cerebrum; Antigen retrieval by boiling in sodium citrate buffer (pH6.0) for 15 min; Antibody incubation with HSD17B10 Monoclonal Antibody, Unconjugated(bsm-61523R) at 1:200 overnight at 4°C, followed by conjugation to the bs-0295G-HRP and DAB (C-0010) staining.
Paraformaldehyde-fixed, paraffin embedded Mouse Kidney; Antigen retrieval by boiling in sodium citrate buffer (pH6.0) for 15 min; The section was incubated with HSD17B10 Monoclonal Antibody, Unconjugated (bsm-61523R) at 1:200 overnight at 4°C. Followed by conjugated Goat Anti-Rabbit IgG antibody (Red, bs-0295G-BF594), DAPI (blue, C02-04002) was used to stain the cell nuclei.
Paraformaldehyde-fixed, paraffin embedded Human Liver; Antigen retrieval by boiling in sodium citrate buffer (pH6.0) for 15 min; The section was incubated with HSD17B10 Monoclonal Antibody, Unconjugated (bsm-61523R) at 1:200 overnight at 4°C. Followed by conjugated Goat Anti-Rabbit IgG antibody (Red, bs-0295G-BF594), DAPI (blue, C02-04002) was used to stain the cell nuclei.
Paraformaldehyde-fixed, paraffin embedded Rat Kidney; Antigen retrieval by boiling in sodium citrate buffer (pH6.0) for 15 min; The section was incubated with HSD17B10 Monoclonal Antibody, Unconjugated (bsm-61523R) at 1:200 overnight at 4°C. Followed by conjugated Goat Anti-Rabbit IgG antibody (Red, bs-0295G-BF594), DAPI (blue, C02-04002) was used to stain the cell nuclei.
版权所有 2004-2026 www.bioss.com.cn 北京博奥森生物技术有限公司
通过国际质量管理体系ISO 9001:2015 GB/T 19001-2016    证书编号: 00124Q34771R2M/1100
通过国际医疗器械-质量管理体系ISO 13485:2016 GB/T 42061-2022     证书编号: CQC24QY20047R0M/1100
京ICP备05066980号-1         京公网安备110107000727号