扫码关注公众号           扫码咨询技术支持           扫码咨询技术服务
  
客服热线:400-901-9800  客服QQ:4009019800  技术答疑  技术支持  质量反馈  人才招聘  关于我们  联系我们
产品中心-北京博奥森生物技术有限公司
首页 > 产品中心 > 一抗 > 产品信息
USP14 Recombinant Rabbit mAb (bsm-61507R)  
订购热线:400-901-9800
订购邮箱:sales@bioss.com.cn
订购QQ:  400-901-9800
技术支持:techsupport@bioss.com.cn
25ul/800.00元
50ul/1400.00元
100ul/2500.00元
大包装/询价

产品编号 bsm-61507R
英文名称 USP14 Recombinant Rabbit mAb
中文名称 双特异性磷酸酶重组兔单抗14重组兔单抗
别    名 MKP-L; MKP6; DUS14_HUMAN; DUSP14; MKP-1-like protein tyrosine phosphatase (MKP-L); Mitogen-activated protein kinase phosphatase 6 (MAP kinase phosphatase 6 | MKP-6); 3.1.3.16; 3.1.3.48;  
抗体来源 Rabbit
克隆类型 Recombinant
克 隆 号 9A4
交叉反应 Human,Mouse,Rat
产品应用 WB=1:1000-2000,Flow-Cyt=1:100-200,ICC/IF=1:100-200
not yet tested in other applications.
optimal dilutions/concentrations should be determined by the end user.
理论分子量 56 kDa
检测分子量 61
性    状 Liquid
免 疫 原 A synthesized peptide derived from human USP14: 350-494/494 
亚    型 IgG
纯化方法 affinity purified by Protein A
缓 冲 液 10mM phosphate buffered saline(pH 7.4) with 150mM sodium chloride, 0.05% BSA, 0.02% Proclin300 and 50% glycerol.
保存条件 Store at 4℃ for short term. Store at -20℃ for long term. Avoid repeated freeze/thaw cycles.
注意事项 This product as supplied is intended for research use only, not for use in human, therapeutic or diagnostic applications.
PubMed PubMed
产品介绍 Ubiquitin-Specific Protease 14, which is also known as the 60 kDa subunit of tRNA-guanine transglycosylase (USP14/TGT60 kDa). USP14 is recruited to the proteasome through its reversible association with the PSMD2 (S2/hRPN1) subunit of the 19S regulatory particle. Whereas PSMD14 appears to promote substrate degradation, USP14 is thought to antagonize substrate degradation.

SWISS:
O95147

Gene ID:
11072

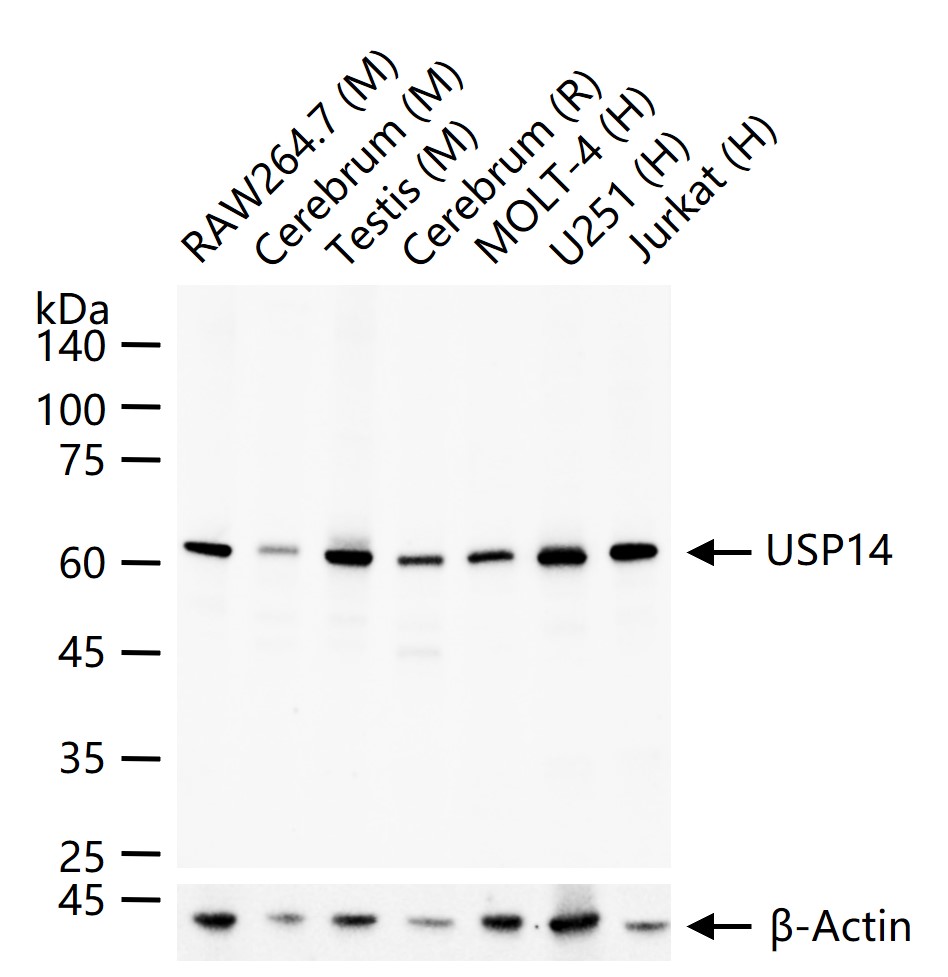
产品图片
25 ug total protein per lane of various lysates (see on figure) probed with USP14 monoclonal antibody, unconjugated (bsm-61507R) at 1:1000 dilution and 4°C overnight incubation. Followed by conjugated secondary antibody incubation at r.t. for 60 min.
The HeLa (H) cells were fixed with 4% PFA (10 min at r.t.) and then permeabilized with 90% ice-cold methanol for 20 min at -20℃,the cells then were incubated in 5%BSA to block non-specific protein-protein interactions (30 min at r.t.), followed by secondary antibody incubation for 40 min at room temperature. Primary Antibody (green):Rabbit Anti-USP14 antibody (bsm-61507R,1:100); Isotype Control (orange): Rabbit IgG (bs-0295P). Blank control (black): PBS. Acquisition of 20,000 events was performed.
版权所有 2004-2026 www.bioss.com.cn 北京博奥森生物技术有限公司
通过国际质量管理体系ISO 9001:2015 GB/T 19001-2016    证书编号: 00124Q34771R2M/1100
通过国际医疗器械-质量管理体系ISO 13485:2016 GB/T 42061-2022     证书编号: CQC24QY20047R0M/1100
京ICP备05066980号-1         京公网安备110107000727号