扫码关注公众号           扫码咨询技术支持           扫码咨询技术服务
  
客服热线:400-901-9800  客服QQ:4009019800  技术答疑  技术支持  质量反馈  人才招聘  关于我们  联系我们
产品中心-北京博奥森生物技术有限公司
首页 > 产品中心 > 一抗 > 产品信息
B7-H3/CD276 Recombinant Rabbit mAb (bsm-61503R)  
订购热线:400-901-9800
订购邮箱:sales@bioss.com.cn
订购QQ:  400-901-9800
技术支持:techsupport@bioss.com.cn
25ul/800.00元
50ul/1400.00元
100ul/2500.00元
大包装/询价

产品编号 bsm-61503R
英文名称 B7-H3/CD276 Recombinant Rabbit mAb
中文名称 CD276重组兔单抗
别    名 4Ig-B7-H3; B7-H3; B7H3; B7RP-2; CD276_HUMAN; CD276; B7 homolog 3 (B7-H3); Costimulatory molecule;   
抗体来源 Rabbit
克隆类型 Recombinant
克 隆 号 10H12
交叉反应 Human
产品应用 WB=1:500-2000,IHC-P=1:50-200,IHC-F=1:50-200,IF=1:50-200,Flow-Cyt=1:50-100,ICC/IF=1:50-200,IP=1:25-100
not yet tested in other applications.
optimal dilutions/concentrations should be determined by the end user.
理论分子量 57 kDa
检测分子量 90
性    状 Liquid
免 疫 原 A synthesized peptide derived from human CD276: 1-534/534 
亚    型 IgG
纯化方法 affinity purified by Protein A
缓 冲 液 10mM phosphate buffered saline(pH 7.4) with 150mM sodium chloride, 0.05% BSA, 0.02% Proclin300 and 50% glycerol.
保存条件 Store at 4℃ for short term. Store at -20℃ for long term. Avoid repeated freeze/thaw cycles.
注意事项 This product as supplied is intended for research use only, not for use in human, therapeutic or diagnostic applications.
PubMed PubMed
产品介绍 May participate in the regulation of T-cell-mediated immune response. May play a protective role in tumor cells by inhibiting natural-killer mediated cell lysis as well as a role of marker for detection of neuroblastoma cells. May be involved in the development of acute and chronic transplant rejection and in the regulation of lymphocytic activity at mucosal surfaces.

SWISS:
Q5ZPR3

Gene ID:
80381

研究人员检测CD276在癌症患者来源的内皮细胞中的表达情况,在结肠癌、肺癌、乳腺癌、食道癌和膀胱癌的肿瘤相关血管细胞中发现CD276过量表达,而且这些蛋白在肿瘤细胞本身也过量表达。
产品图片
25 ug total protein per lane of various lysates (see on figure) probed with B7-H3/CD276 monoclonal antibody, unconjugated (bsm-61503R) at 1:1000 dilution and 4°C overnight incubation. Followed by conjugated secondary antibody incubation at r.t. for 60 min.
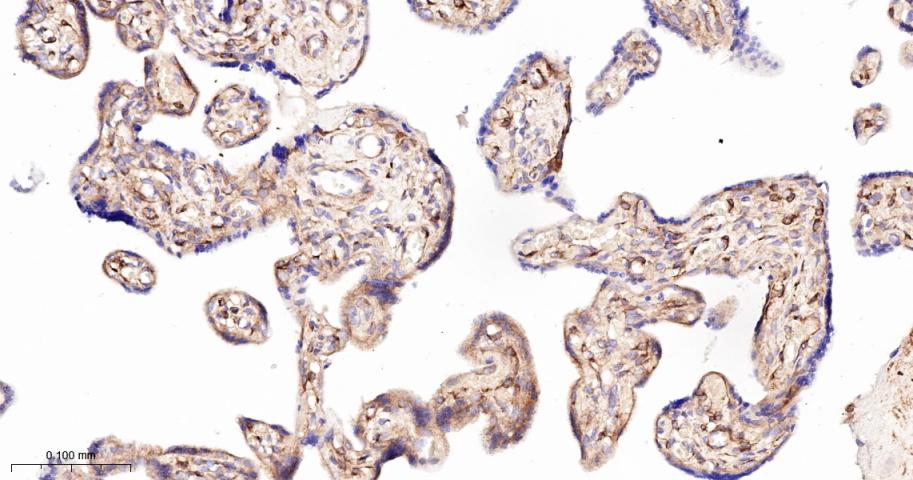
Paraformaldehyde-fixed, paraffin embedded Human Placenta; Antigen retrieval by boiling in sodium citrate buffer (pH6.0) for 15 min; The section was incubated with B7-H3/CD276 Monoclonal Antibody, Unconjugated (bsm-61503R) at 1:200 overnight at 4°C, followed by conjugation to the bs-0295G-HRP and DAB (C-0010) staining.
Paraformaldehyde-fixed, paraffin embedded Human Colon Cancer; Antigen retrieval by boiling in sodium citrate buffer (pH6.0) for 15 min; The section was incubated with B7-H3/CD276 Monoclonal Antibody, Unconjugated (bsm-61503R) at 1:200 overnight at 4°C, followed by conjugation to the bs-0295G-HRP and DAB (C-0010) staining.
Paraformaldehyde-fixed, paraffin embedded Human lung squamous cell carcinoma; Antigen retrieval by boiling in sodium citrate buffer (pH6.0) for 15 min; The section was incubated with B7-H3/CD276 Monoclonal Antibody, Unconjugated (bsm-61503R) at 1:200 overnight at 4°C, followed by conjugation to the bs-0295G-HRP and DAB (C-0010) staining.
Paraformaldehyde-fixed, paraffin embedded Human Lung Cancer; Antigen retrieval by boiling in sodium citrate buffer (pH6.0) for 15 min; The section was incubated with B7-H3/CD276 Monoclonal Antibody, Unconjugated (bsm-61503R) at 1:200 overnight at 4°C, followed by conjugation to the bs-0295G-HRP and DAB (C-0010) staining.
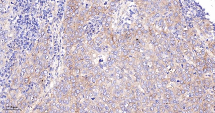
Paraformaldehyde-fixed, paraffin embedded Human Breast Cancer; Antigen retrieval by boiling in sodium citrate buffer (pH6.0) for 15 min; The section was incubated with B7-H3/CD276 Monoclonal Antibody, Unconjugated (bsm-61503R) at 1:200 overnight at 4°C, followed by conjugation to the bs-0295G-HRP and DAB (C-0010) staining.
(Negative control) Paraformaldehyde-fixed, paraffin embedded Human Heart; Antigen retrieval by boiling in sodium citrate buffer (pH6.0) for 15 min; The section was incubated with B7-H3/CD276 Monoclonal Antibody, Unconjugated (bsm-61503R) at 1:200 overnight at 4°C, followed by conjugation to the bs-0295G-HRP and DAB (C-0010) staining.
The LNCaP (H) cells were incubated in 5%BSA to block non-specific protein-protein interactions (30 min at r.t.) , followed by secondary antibody incubation for 40 min at room temperature. Primary Antibody (green): Rabbit Anti-B7-H3/CD276 antibody (bsm-61503R,1:100); Isotype Control (orange): Rabbit IgG (bs-0295P). Blank control (black): PBS. Acquisition of 20,000 events was performed.
版权所有 2004-2026 www.bioss.com.cn 北京博奥森生物技术有限公司
通过国际质量管理体系ISO 9001:2015 GB/T 19001-2016    证书编号: 00124Q34771R2M/1100
通过国际医疗器械-质量管理体系ISO 13485:2016 GB/T 42061-2022     证书编号: CQC24QY20047R0M/1100
京ICP备05066980号-1         京公网安备110107000727号