扫码关注公众号           扫码咨询技术支持           扫码咨询技术服务
  
客服热线:400-901-9800  客服QQ:4009019800  技术答疑  技术支持  质量反馈  人才招聘  关于我们  联系我们
产品中心-北京博奥森生物技术有限公司
首页 > 产品中心 > 一抗 > 产品信息
Drosha Recombinant Rabbit mAb (bsm-61492R)  
订购热线:400-901-9800
订购邮箱:sales@bioss.com.cn
订购QQ:  400-901-9800
技术支持:techsupport@bioss.com.cn
25ul/800.00元
50ul/1400.00元
100ul/2500.00元
大包装/询价

产品编号 bsm-61492R
英文名称 Drosha Recombinant Rabbit mAb
中文名称 核糖核酸酶3/Drosha重组兔单抗
别    名 ETOHI2; HSA242976; RANSE3L; RN3; RNASE3L; RNASEN; 1110013A17Rik; RNC_HUMAN; DROSHA; Protein Drosha; Ribonuclease III (RNase III); p241; 3.1.26.3; RNC_MOUSE;   
抗体来源 Rabbit
克隆类型 Recombinant
克 隆 号 12G5
交叉反应 Human,Mouse,Rat
产品应用 WB=1:500-2000,IHC-P=1:50-200,IHC-F=1:50-200,IF=1:50-200,Flow-Cyt=1:50-100
not yet tested in other applications.
optimal dilutions/concentrations should be determined by the end user.
理论分子量 159 kDa
检测分子量 180
性    状 Liquid
免 疫 原 A synthesized peptide derived from human Drosha: 20-77/1374 
亚    型 IgG
纯化方法 affinity purified by Protein A
缓 冲 液 10mM phosphate buffered saline(pH 7.4) with 150mM sodium chloride, 0.05% BSA, 0.02% Proclin300 and 50% glycerol.
保存条件 Store at 4℃ for short term. Store at -20℃ for long term. Avoid repeated freeze/thaw cycles.
注意事项 This product as supplied is intended for research use only, not for use in human, therapeutic or diagnostic applications.
PubMed PubMed
产品介绍 Ribonuclease III double-stranded (ds) RNA-specific endoribonuclease that is involved in the initial step of microRNA (miRNA) biogenesis. Component of the microprocessor complex that is required to process primary miRNA transcripts (pri-miRNAs) to release precursor miRNA (pre-miRNA) in the nucleus.

SWISS:
Q9NRR4

Gene ID:
29102

Dircer和Drosha是两种核糖核酸酶是卵巢癌细胞中RNA干扰机制中的关键酶,Dircer和Drosha两种酶的表达(数量)越高,存活时间越长。美国科学家研究发现,卵巢癌患者存活率与两种酶有关。美国MD安德森癌症治疗中心先后对111个和132个卵巢癌样本进行了分析。结果发现,人体内两种核糖核酸酶Dicer和Drosha含量高的患者平均存活11年,而含量低的患者平均只能活2.86年。Dicer的水平高低对卵巢癌患者尤其重要。这一发现有助于卵巢癌的诊断和治疗。卵巢恶性肿瘤的发病率在女性常见恶性肿瘤中占2.
产品图片
25 ug total protein per lane of various lysates (see on figure) probed with Drosha monoclonal antibody, unconjugated (bsm-61492R) at 1:1000 dilution and 4°C overnight incubation. Followed by conjugated secondary antibody incubation at r.t. for 60 min.
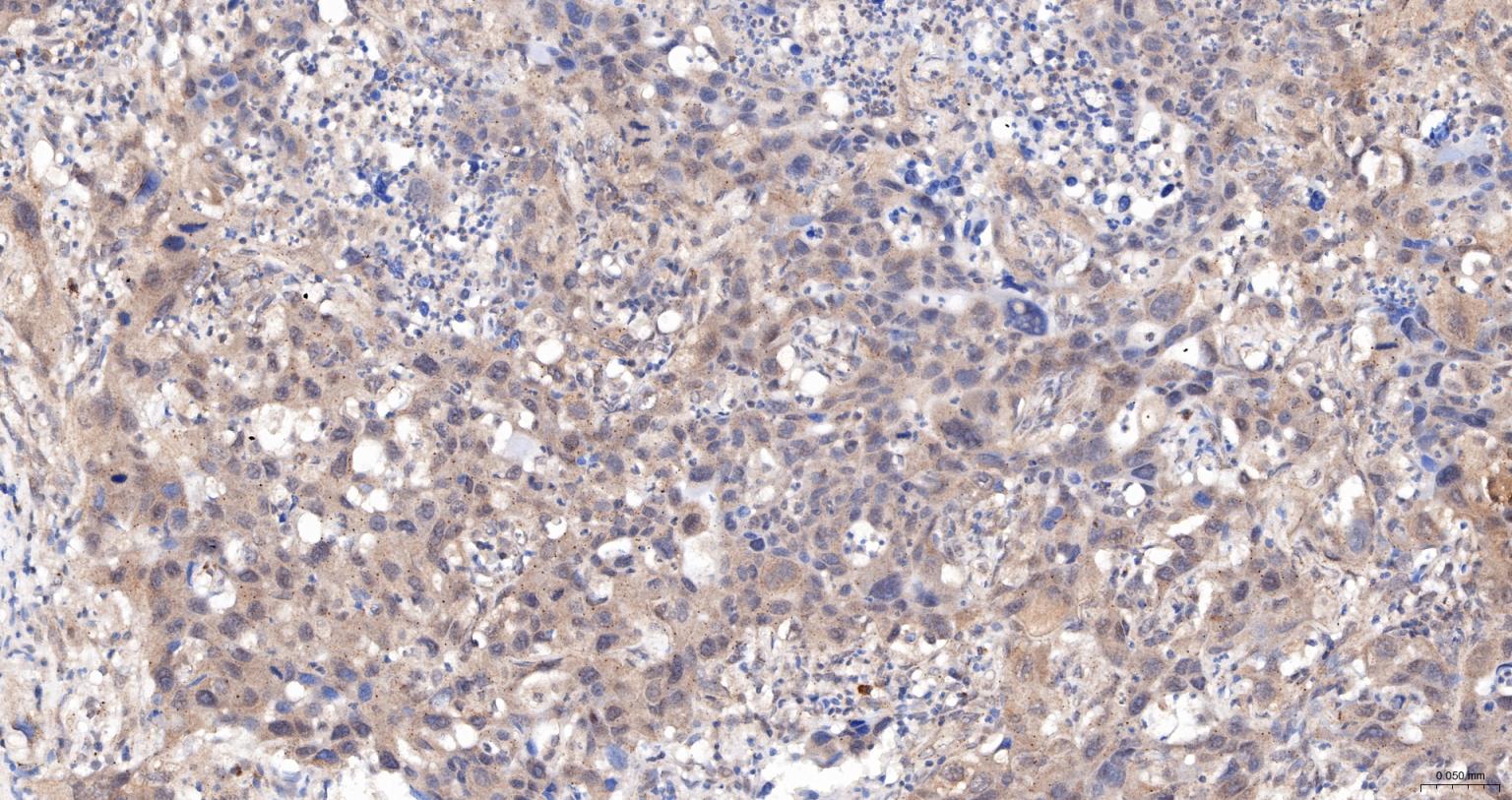
Paraformaldehyde-fixed, paraffin embedded Human Lung Cancer; Antigen retrieval by boiling in sodium citrate buffer (pH6.0) for 15 min; The section was incubated with Drosha Monoclonal Antibody, Unconjugated (bsm-61492R) at 1:200 overnight at 4°C, followed by conjugation to the bs-0295G-HRP and DAB (C-0010) staining.
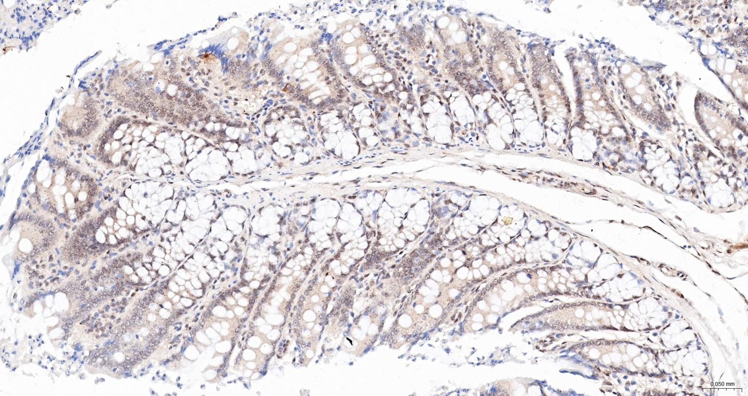
Paraformaldehyde-fixed, paraffin embedded Mouse Colon; Antigen retrieval by boiling in sodium citrate buffer (pH6.0) for 15 min; The section was incubated with Drosha Monoclonal Antibody, Unconjugated (bsm-61492R) at 1:200 overnight at 4°C, followed by conjugation to the bs-0295G-HRP and DAB (C-0010) staining.
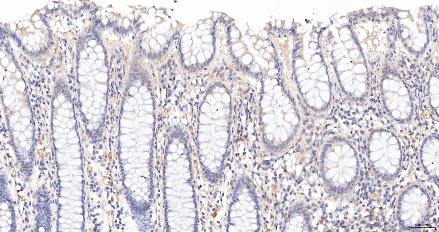
Paraformaldehyde-fixed, paraffin embedded Human Colon; Antigen retrieval by boiling in sodium citrate buffer (pH6.0) for 15 min; The section was incubated with Drosha Monoclonal Antibody, Unconjugated (bsm-61492R) at 1:200 overnight at 4°C, followed by conjugation to the bs-0295G-HRP and DAB (C-0010) staining.
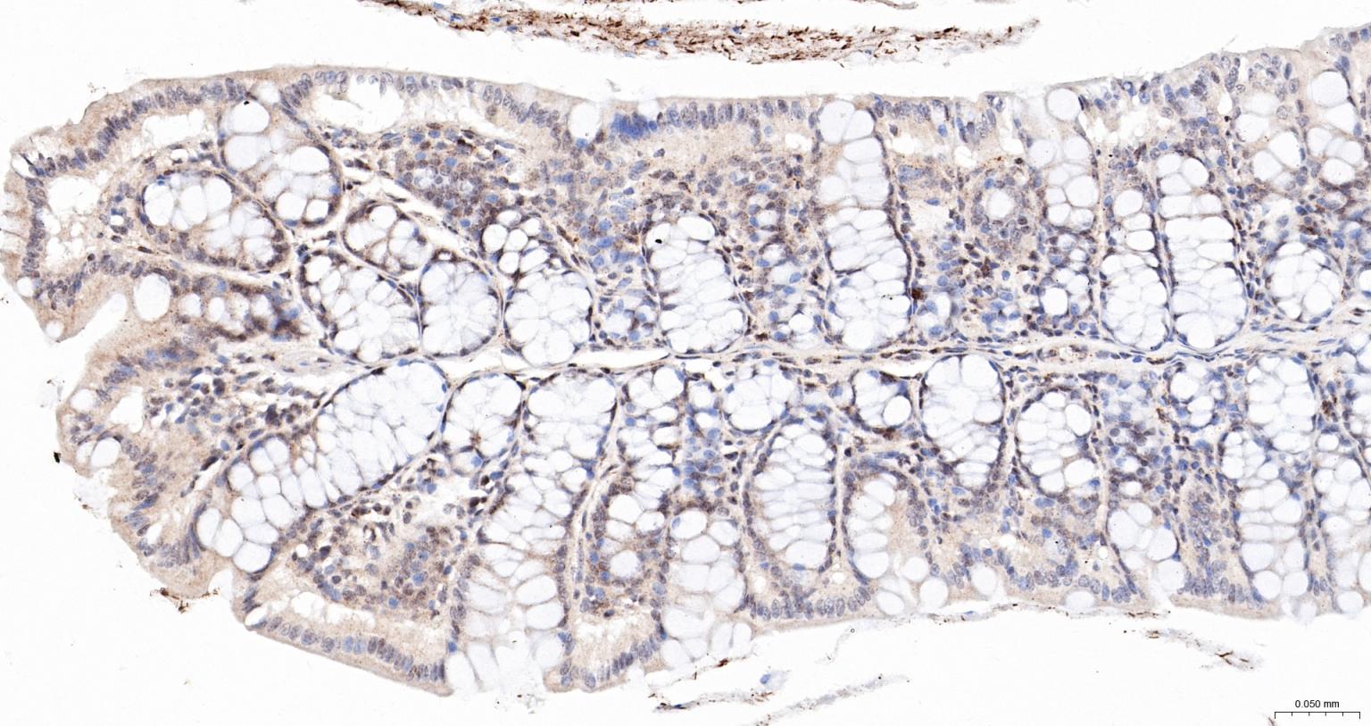
Paraformaldehyde-fixed, paraffin embedded Rat Colon; Antigen retrieval by boiling in sodium citrate buffer (pH6.0) for 15 min; The section was incubated with Drosha Monoclonal Antibody, Unconjugated (bsm-61492R) at 1:200 overnight at 4°C, followed by conjugation to the bs-0295G-HRP and DAB (C-0010) staining.
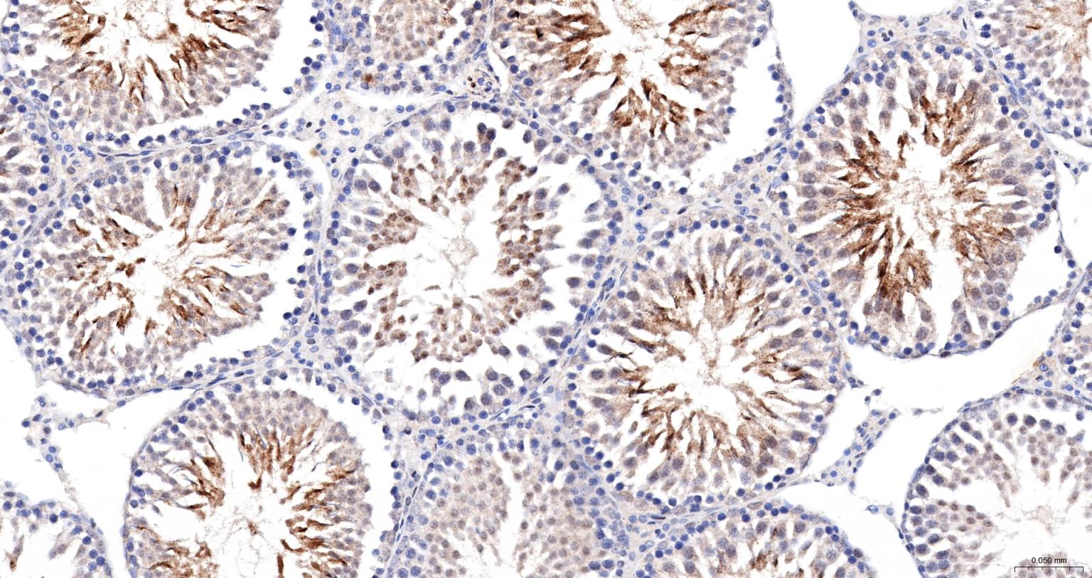
Paraformaldehyde-fixed, paraffin embedded Rat Testicles; Antigen retrieval by boiling in sodium citrate buffer (pH6.0) for 15 min; The section was incubated with Drosha Monoclonal Antibody, Unconjugated (bsm-61492R) at 1:200 overnight at 4°C, followed by conjugation to the bs-0295G-HRP and DAB (C-0010) staining.
版权所有 2004-2026 www.bioss.com.cn 北京博奥森生物技术有限公司
通过国际质量管理体系ISO 9001:2015 GB/T 19001-2016    证书编号: 00124Q34771R2M/1100
通过国际医疗器械-质量管理体系ISO 13485:2016 GB/T 42061-2022     证书编号: CQC24QY20047R0M/1100
京ICP备05066980号-1         京公网安备110107000727号