扫码关注公众号           扫码咨询技术支持           扫码咨询技术服务
  
客服热线:400-901-9800  客服QQ:4009019800  技术答疑  技术支持  质量反馈  人才招聘  关于我们  联系我们
产品中心-北京博奥森生物技术有限公司
首页 > 产品中心 > 一抗 > 产品信息
Involucrin Recombinant Rabbit mAb (bsm-61489R)  
订购热线:400-901-9800
订购邮箱:sales@bioss.com.cn
订购QQ:  400-901-9800
技术支持:techsupport@bioss.com.cn
25ul/800.00元
50ul/1400.00元
100ul/2500.00元
大包装/询价

产品编号 bsm-61489R
英文名称 Involucrin Recombinant Rabbit mAb
中文名称 囊包蛋白/内披蛋白重组兔单抗
别    名 INVO_HUMAN; IVL; INVO_MOUSE; INVO_RAT;   
抗体来源 Rabbit
克隆类型 Recombinant
克 隆 号 10A18
交叉反应 Human
产品应用 WB=1:500-2000,IHC-P=1:100-500,IHC-F=1:100-500,IF=1:100-500,Flow-Cyt=1:50-100
not yet tested in other applications.
optimal dilutions/concentrations should be determined by the end user.
理论分子量 68 kDa
检测分子量 110
性    状 Liquid
免 疫 原 A synthesized peptide derived from human Involucrin: 100-200 
亚    型 IgG
纯化方法 affinity purified by Protein A
缓 冲 液 10mM phosphate buffered saline(pH 7.4) with 150mM sodium chloride, 0.05% BSA, 0.02% Proclin300 and 50% glycerol.
保存条件 Store at 4℃ for short term. Store at -20℃ for long term. Avoid repeated freeze/thaw cycles.
注意事项 This product as supplied is intended for research use only, not for use in human, therapeutic or diagnostic applications.
PubMed PubMed
产品介绍 Part of the insoluble cornified cell envelope (CE) of stratified squamous epithelia.

SWISS:
P07476

Gene ID:
3713

套膜蛋白又称内披蛋白或囊包蛋白,与毛透明蛋白共同构成角质细胞包膜支架的蛋白质。在角质细胞分化时,首先出现在表皮棘层的上层细胞中的标志性蛋白质,该蛋白在角质细胞和其他复层扁平上皮合成的蛋白。最初存在于细胞质中,然后通过转谷氨酰胺酶的作用,转变为交联的膜蛋白。
产品图片
25 ug total protein per lane of various lysates (see on figure) probed with Involucrin monoclonal antibody, unconjugated (bsm-61489R) at 1:1000 dilution and 4°C overnight incubation. Followed by conjugated secondary antibody incubation at r.t. for 60 min.
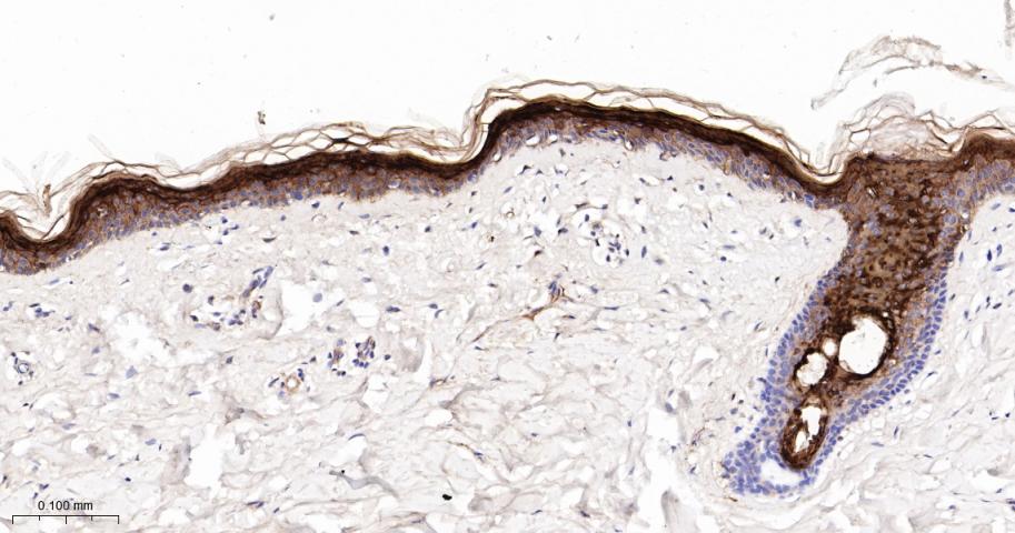
Paraformaldehyde-fixed, paraffin embedded Human Skin; Antigen retrieval by boiling in sodium citrate buffer (pH6.0) for 15 min; The section was incubated with Involucrin Monoclonal Antibody, Unconjugated (bsm-61489R) at 1:200 overnight at 4°C, followed by conjugation to the bs-0295G-HRP and DAB (C-0010) staining.
Paraformaldehyde-fixed, paraffin embedded Human Esophageal Cancer; Antigen retrieval by boiling in sodium citrate buffer (pH6.0) for 15 min; The section was incubated with Involucrin Monoclonal Antibody, Unconjugated (bsm-61489R) at 1:200 overnight at 4°C, followed by conjugation to the bs-0295G-HRP and DAB (C-0010) staining.
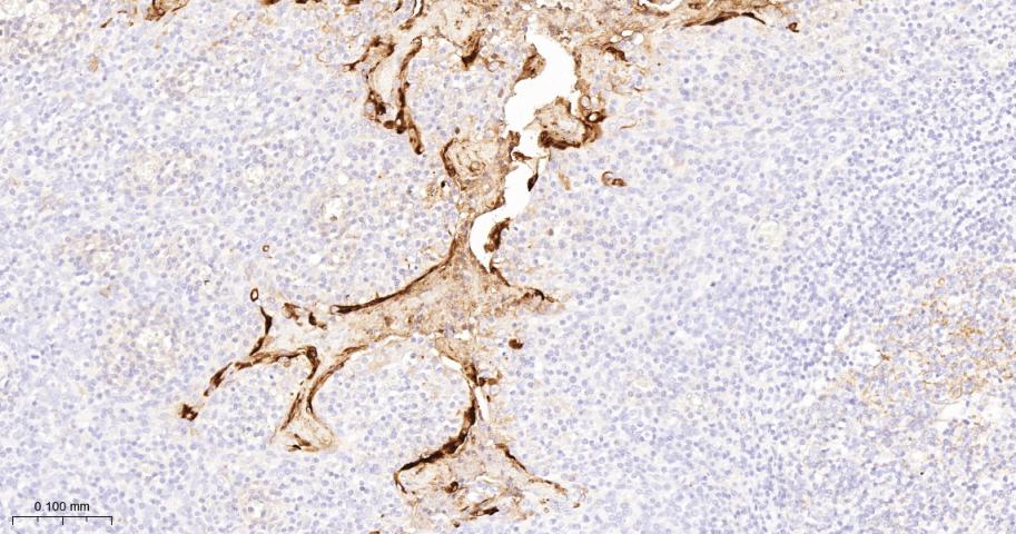
Paraformaldehyde-fixed, paraffin embedded Human Tonsil; Antigen retrieval by boiling in sodium citrate buffer (pH6.0) for 15 min; The section was incubated with Involucrin Monoclonal Antibody, Unconjugated (bsm-61489R) at 1:200 overnight at 4°C, followed by conjugation to the bs-0295G-HRP and DAB (C-0010) staining.
Paraformaldehyde-fixed, paraffin embedded Human Chronic tonsillitis; Antigen retrieval by boiling in sodium citrate buffer (pH6.0) for 15 min; The section was incubated with Involucrin Monoclonal Antibody, Unconjugated (bsm-61489R) at 1:200 overnight at 4°C, followed by conjugation to the bs-0295G-HRP and DAB (C-0010) staining.
版权所有 2004-2026 www.bioss.com.cn 北京博奥森生物技术有限公司
通过国际质量管理体系ISO 9001:2015 GB/T 19001-2016    证书编号: 00124Q34771R2M/1100
通过国际医疗器械-质量管理体系ISO 13485:2016 GB/T 42061-2022     证书编号: CQC24QY20047R0M/1100
京ICP备05066980号-1         京公网安备110107000727号