扫码关注公众号           扫码咨询技术支持           扫码咨询技术服务
  
客服热线:400-901-9800  客服QQ:4009019800  技术答疑  技术支持  质量反馈  人才招聘  关于我们  联系我们
产品中心-北京博奥森生物技术有限公司
首页 > 产品中心 > 一抗 > 产品信息
Glucose 6 Phosphate Dehydrogenase Recombinant Rabbit mAb (bsm-61479R)  
订购热线:400-901-9800
订购邮箱:sales@bioss.com.cn
订购QQ:  400-901-9800
技术支持:techsupport@bioss.com.cn
25ul/800.00元
50ul/1400.00元
100ul/2500.00元
大包装/询价

产品编号 bsm-61479R
英文名称 Glucose 6 Phosphate Dehydrogenase Recombinant Rabbit mAb
中文名称 葡萄糖-6磷酸脱氢酶重组兔单抗
别    名 CNSHA1; G6PD1; G28A; G6pd; Gpdx; G6pdx; G6PD_HUMAN; 1.1.1.49; G6PD1_MOUSE; G6pd-1; G6PD_RAT;   
抗体来源 Rabbit
克隆类型 Recombinant
克 隆 号 9E20
交叉反应 Human
产品应用 WB=1:500-2000,IHC-P=1:200-500,IHC-F=1:200-500,IF=1:200-500,Flow-Cyt=1:50-100
not yet tested in other applications.
optimal dilutions/concentrations should be determined by the end user.
理论分子量 59 kDa
检测分子量 58
性    状 Liquid
免 疫 原 A synthesized peptide derived from human G6PD: 460-515/515 
亚    型 IgG
纯化方法 affinity purified by Protein A
缓 冲 液 10mM phosphate buffered saline(pH 7.4) with 150mM sodium chloride, 0.05% BSA, 0.02% Proclin300 and 50% glycerol.
保存条件 Store at 4℃ for short term. Store at -20℃ for long term. Avoid repeated freeze/thaw cycles.
注意事项 This product as supplied is intended for research use only, not for use in human, therapeutic or diagnostic applications.
PubMed PubMed
产品介绍 Catalyzes the rate-limiting step of the oxidative pentose-phosphate pathway, which represents a route for the dissimilation of carbohydrates besides glycolysis. The main function of this enzyme is to provide reducing power (NADPH) and pentose phosphates for fatty acid and nucleic acid synthesis.

SWISS:
P11413

Gene ID:
2539

G-6-PD(Glucose-6-phosphate Dehydrogenase)。一种存在於人体红血球内,协助葡萄糖进行新陈代谢之酵素,在这代谢过程中会产生一种叫NADPH的物质能以保护红血球免受氧化物质的威胁。 G6PD缺乏时,若身体接触到具氧化性的特定物质或服用了这类药物,红血球就容易被破坏而发生急性溶血反应。
产品图片
25 ug total protein per lane of various lysates (see on figure) probed with Glucose 6 Phosphate Dehydrogenase monoclonal antibody, unconjugated (bsm-61479R) at 1:1000 dilution and 4°C overnight incubation. Followed by conjugated secondary antibody incubation at r.t. for 60 min.
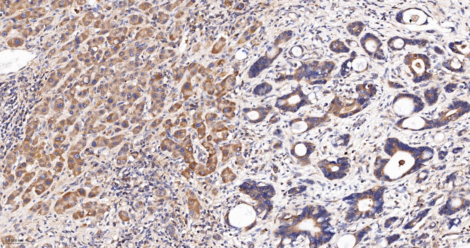
Paraformaldehyde-fixed, paraffin embedded Human Gastric Cancer; Antigen retrieval by boiling in sodium citrate buffer (pH6.0) for 15 min; Antibody incubation Glucose 6 Phosphate Dehydrogenase Monoclonal Antibody, Unconjugated(bsm-61479R) at 1:200 overnight at 4°C, followed by conjugation to the bs-0295G-HRP and DAB (C-0010) staining.
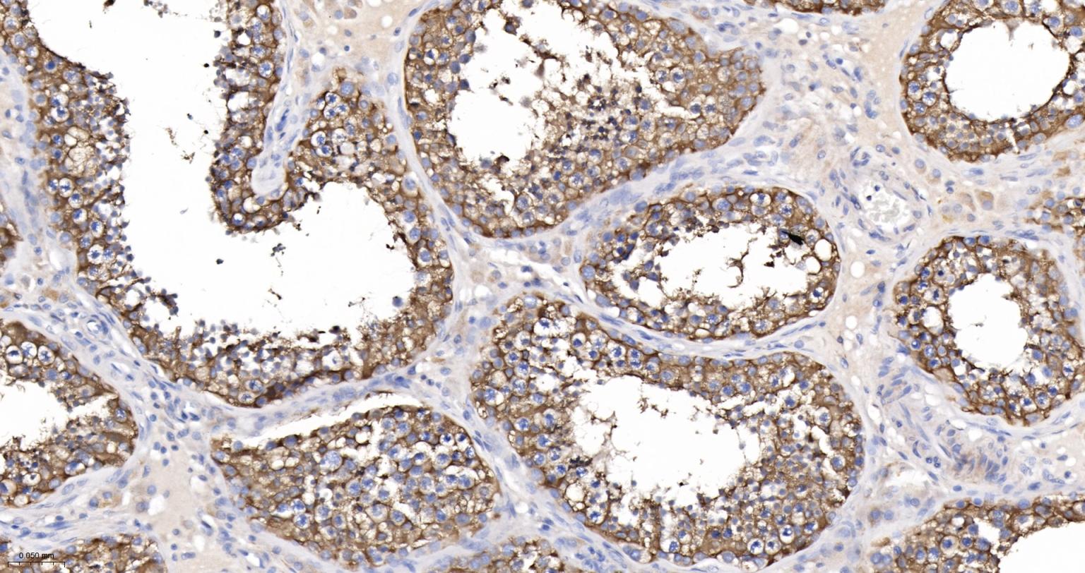
Paraformaldehyde-fixed, paraffin embedded Human Testicles; Antigen retrieval by boiling in sodium citrate buffer (pH6.0) for 15 min; Antibody incubation Glucose 6 Phosphate Dehydrogenase Monoclonal Antibody, Unconjugated(bsm-61479R) at 1:200 overnight at 4°C, followed by conjugation to the bs-0295G-HRP and DAB (C-0010) staining.
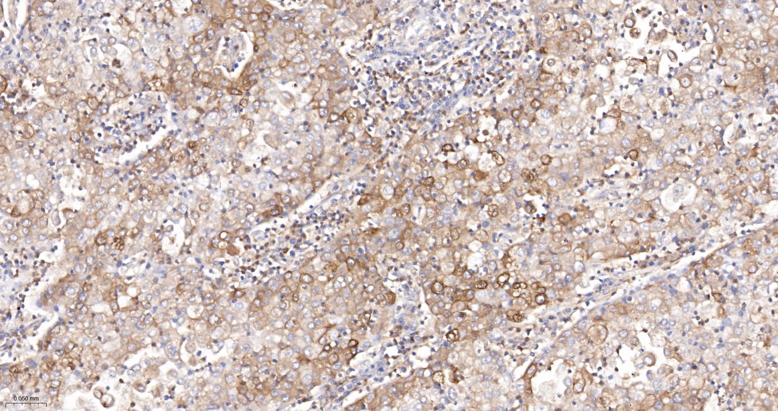
Paraformaldehyde-fixed, paraffin embedded Human Liver Cancer; Antigen retrieval by boiling in sodium citrate buffer (pH6.0) for 15 min; The section was incubated with Glucose 6 Phosphate Dehydrogenase Monoclonal Antibody, Unconjugated (bsm-61479R) at 1:200 overnight at 4°C, followed by conjugation to the bs-0295G-HRP and DAB (C-0010) staining.
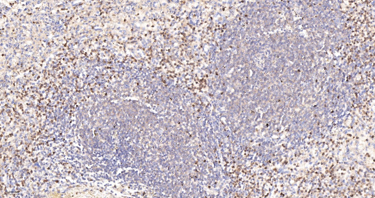
Paraformaldehyde-fixed, paraffin embedded Human Spleen; Antigen retrieval by boiling in sodium citrate buffer (pH6.0) for 15 min; Antibody incubation Glucose 6 Phosphate Dehydrogenase Monoclonal Antibody, Unconjugated(bsm-61479R) at 1:200 overnight at 4°C, followed by conjugation to the bs-0295G-HRP and DAB (C-0010) staining.
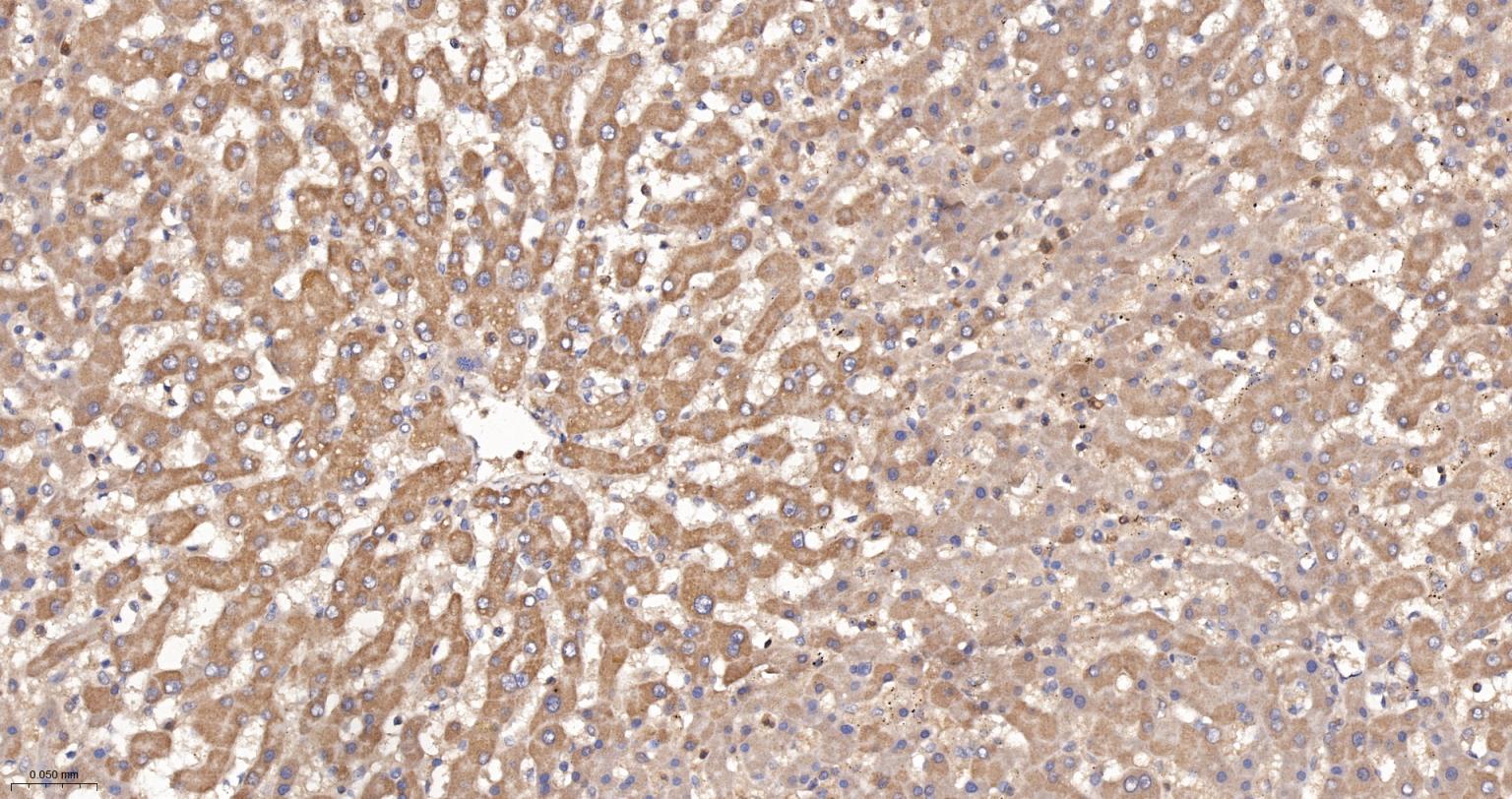
Paraformaldehyde-fixed, paraffin embedded Human Liver; Antigen retrieval by boiling in sodium citrate buffer (pH6.0) for 15 min; Antibody incubation Glucose 6 Phosphate Dehydrogenase Monoclonal Antibody, Unconjugated(bsm-61479R) at 1:200 overnight at 4°C, followed by conjugation to the bs-0295G-HRP and DAB (C-0010) staining.
The 293T (H) cells were fixed with 4% PFA (10 min at r.t.) and then permeabilized with 90% ice-cold methanol for 20 min at -20℃,the cells then were incubated in 5%BSA to block non-specific protein-protein interactions (30 min at r.t.), followed by secondary antibody incubation for 40 min at room temperature. Primary Antibody (green):Rabbit Anti-Glucose 6 Phosphate Dehydrogenase antibody (bsm-61479R,1:100); Isotype Control (orange): Rabbit IgG (bs-0295P). Blank control (black): PBS. Acquisition of 20,000 events was performed.
版权所有 2004-2026 www.bioss.com.cn 北京博奥森生物技术有限公司
通过国际质量管理体系ISO 9001:2015 GB/T 19001-2016    证书编号: 00124Q34771R2M/1100
通过国际医疗器械-质量管理体系ISO 13485:2016 GB/T 42061-2022     证书编号: CQC24QY20047R0M/1100
京ICP备05066980号-1         京公网安备110107000727号