扫码关注公众号           扫码咨询技术支持           扫码咨询技术服务
  
客服热线:400-901-9800  客服QQ:4009019800  技术答疑  技术支持  质量反馈  人才招聘  关于我们  联系我们
产品中心-北京博奥森生物技术有限公司
首页 > 产品中心 > 一抗 > 产品信息
SFRP1 Recombinant Rabbit mAb (bsm-61472R)  
订购热线:400-901-9800
订购邮箱:sales@bioss.com.cn
订购QQ:  400-901-9800
技术支持:techsupport@bioss.com.cn
25ul/800.00元
50ul/1400.00元
100ul/2500.00元
大包装/询价

产品编号 bsm-61472R
英文名称 SFRP1 Recombinant Rabbit mAb
中文名称 分泌型卷曲相关蛋白1重组兔单抗
别    名 FRP; FRP-1; FRP1; FrzA; SARP2; 2210415K03Rik; sFRP-1; SFRP1_HUMAN; SFRP1; Secreted apoptosis-related protein 2 (SARP-2); SFRP1_MOUSE;   
抗体来源 Rabbit
克隆类型 Recombinant
克 隆 号 5E2
交叉反应 Human
产品应用 WB=1:500-2000,IHC-P=1:50-200,IHC-F=1:50-200,IF=1:50-200,ICC/IF=1:50-200
not yet tested in other applications.
optimal dilutions/concentrations should be determined by the end user.
理论分子量 35 kDa
检测分子量 35
性    状 Liquid
免 疫 原 A synthesized peptide derived from human FRP 1: 20-84 
亚    型 IgG
纯化方法 affinity purified by Protein A
缓 冲 液 10mM phosphate buffered saline(pH 7.4) with 150mM sodium chloride, 0.05% BSA, 0.02% Proclin300 and 50% glycerol.
保存条件 Store at 4℃ for short term. Store at -20℃ for long term. Avoid repeated freeze/thaw cycles.
注意事项 This product as supplied is intended for research use only, not for use in human, therapeutic or diagnostic applications.
PubMed PubMed
产品介绍 Soluble frizzled-related proteins (sFRPS) function as modulators of Wnt signaling through direct interaction with Wnts. They have a role in regulating cell growth and differentiation in specific cell types. SFRP1 decreases intracellular beta-catenin levels.

SWISS:
Q8N474

Gene ID:
6422

分泌型卷曲相关蛋白1是近来发现的新的抑癌基因, 是Wnt信号通道的拮抗通路蛋白,SFRP1能够阻断某些发生在癌症初期与之相关的细胞生长基因的信号通路。 有学者认为:该基因有去甲基化酶的作用,可以阻断与甲基化进程相关酶的活性,进而抑制肿瘤基因的改变,SFRP1的作用还有待于更进一步的研究。
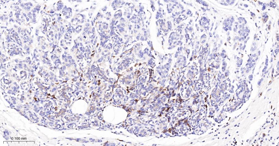
产品图片
Western blot analysis of A375 cell lysate. Using SFRP1 (bsm-61472R) monoclonal antibody at 1:1000 dilution and 4°C overnight incubation. Followed by conjugated secondary antibody incubation at r.t. for 60 min.
Paraformaldehyde-fixed, paraffin embedded Human Breast Cancer; Antigen retrieval by boiling in sodium citrate buffer (pH6.0) for 15 min; The section was incubated with SFRP1 Monoclonal Antibody, Unconjugated (bsm-61472R) at 1:200 overnight at 4°C, followed by conjugation to the bs-0295G-HRP and DAB (C-0010) staining.
版权所有 2004-2026 www.bioss.com.cn 北京博奥森生物技术有限公司
通过国际质量管理体系ISO 9001:2015 GB/T 19001-2016    证书编号: 00124Q34771R2M/1100
通过国际医疗器械-质量管理体系ISO 13485:2016 GB/T 42061-2022     证书编号: CQC24QY20047R0M/1100
京ICP备05066980号-1         京公网安备110107000727号