扫码关注公众号           扫码咨询技术支持           扫码咨询技术服务
  
客服热线:400-901-9800  客服QQ:4009019800  技术答疑  技术支持  质量反馈  人才招聘  关于我们  联系我们
产品中心-北京博奥森生物技术有限公司
首页 > 产品中心 > 一抗 > 产品信息
FMR1 Recombinant Rabbit mAb (bsm-61466R)  
订购热线:400-901-9800
订购邮箱:sales@bioss.com.cn
订购QQ:  400-901-9800
技术支持:techsupport@bioss.com.cn
25ul/800.00元
50ul/1400.00元
100ul/2500.00元
大包装/询价

产品编号 bsm-61466R
英文名称 FMR1 Recombinant Rabbit mAb
中文名称 脆性X综合征相关蛋白AFF1重组兔单抗
别    名 FMRP; FRAXA; POF; POF1; FMR1_HUMAN; FMR1; Fragile X messenger ribonucleoprotein (FMRP); Protein FMR-1;   
抗体来源 Rabbit
克隆类型 Recombinant
克 隆 号 12F17
交叉反应 Human,Mouse,Rat
产品应用 WB=1:500-2000,IHC-P=1:50-200,IHC-F=1:50-200,IF=1:50-200,Flow-Cyt=1ug/Test
not yet tested in other applications.
optimal dilutions/concentrations should be determined by the end user.
理论分子量 71 kDa
检测分子量 70-75
性    状 Liquid
免 疫 原 A synthesized peptide derived from human FMR1: 3-50/632 
亚    型 IgG
纯化方法 affinity purified by Protein A
缓 冲 液 10mM phosphate buffered saline(pH 7.4) with 150mM sodium chloride, 0.05% BSA, 0.02% Proclin300 and 50% glycerol.
保存条件 Store at 4℃ for short term. Store at -20℃ for long term. Avoid repeated freeze/thaw cycles.
注意事项 This product as supplied is intended for research use only, not for use in human, therapeutic or diagnostic applications.
PubMed PubMed
产品介绍 Multifunctional polyribosome-associated RNA-binding protein that plays a central role in neuronal development and synaptic plasticity through the regulation of alternative mRNA splicing, mRNA stability, mRNA dendritic transport and postsynaptic local protein synthesis of target mRNAs.

SWISS:
Q06787

Gene ID:
2332

脆性X综合症,又称马丁-贝尔综合症,是一种遗传疾病。该综合症可以导致一系列的特征性症状,包括生理、智力、情绪、以及行为上的异常。症状的轻重各有不同。该疾病伴随着X染色体上一个简单的三核苷酸基因序列(CGG)的扩增。这种扩增导致了一种称为FMR-1的蛋白质无法在病人体内表达,而该蛋白质是神经的正常发育必不可少的。 根据CGG重复序列的长度,目前普遍认可将脆性X综合症分为四种类型:正常人(含有19-31个CGG重复序列),前突变者(含有55-200个CGG重复序列),全突变者(含有200个以上的CGG重复序列
产品图片
25 ug total protein per lane of various lysates (see on figure) probed with FMR1 monoclonal antibody, unconjugated (bsm-61466R) at 1:2000 dilution and 4°C overnight incubation. Followed by conjugated secondary antibody incubation at r.t. for 60 min.
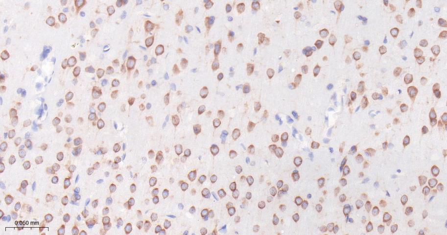
Paraformaldehyde-fixed, paraffin embedded Human Right occipital lobe; Antigen retrieval by boiling in sodium citrate buffer (pH6.0) for 15 min; Antibody incubation with FMR1 Monoclonal Antibody, Unconjugated(bsm-61466R) at 1:100 overnight at 4°C, followed by conjugation to the bs-0295G-HRP and DAB (C-0010) staining.
Paraformaldehyde-fixed, paraffin embedded Mouse Cerebrum; Antigen retrieval by boiling in sodium citrate buffer (pH6.0) for 15 min; Antibody incubation with FMR1 Monoclonal Antibody, Unconjugated(bsm-61466R) at 1:100 overnight at 4°C, followed by conjugation to the bs-0295G-HRP and DAB (C-0010) staining.
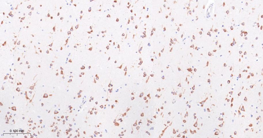
Paraformaldehyde-fixed, paraffin embedded Rat Cerebrum; Antigen retrieval by boiling in sodium citrate buffer (pH6.0) for 15 min; Antibody incubation with FMR1 Monoclonal Antibody, Unconjugated(bsm-61466R) at 1:100 overnight at 4°C, followed by conjugation to the bs-0295G-HRP and DAB (C-0010) staining.
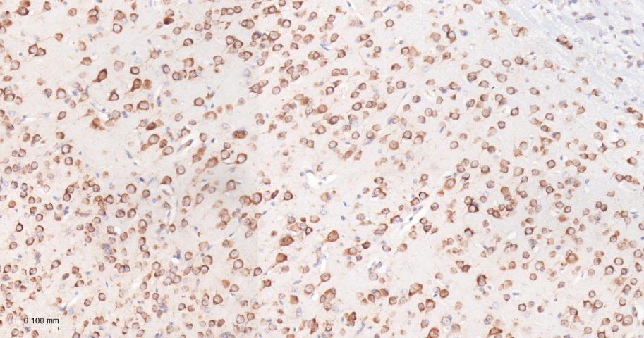
Paraformaldehyde-fixed, paraffin embedded Rat Spinal Cord; Antigen retrieval by boiling in sodium citrate buffer (pH6.0) for 15 min; Antibody incubation with FMR1 Monoclonal Antibody, Unconjugated(bsm-61466R) at 1:100 overnight at 4°C, followed by conjugation to the bs-0295G-HRP and DAB (C-0010) staining.
Paraformaldehyde-fixed, paraffin embedded Mouse Spinal Cord; Antigen retrieval by boiling in sodium citrate buffer (pH6.0) for 15 min; Antibody incubation with FMR1 Monoclonal Antibody, Unconjugated(bsm-61466R) at 1:100 overnight at 4°C, followed by conjugation to the bs-0295G-HRP and DAB (C-0010) staining.
The HepG2 (H) cells were fixed with 4% PFA (10 min at r.t.) and then permeabilized with 90% ice-cold methanol for 20 min at -20℃,the cells then were incubated in 5%BSA to block non-specific protein-protein interactions (30 min at r.t.).Primary Antibody (green):Rabbit Anti-FMR1 antibody (bsm-61466R): 1:50-100/10^6 cells; Secondary Antibody (white blue): Goat anti-Rabbit IgG-BF488 (bs-60295G-BF488): 1 μg/test. Isotype Control (orange): Rabbit IgG (bs-0295P). Blank control (black): PBS. Acquisition of 20,000 events was performed.
版权所有 2004-2026 www.bioss.com.cn 北京博奥森生物技术有限公司
通过国际质量管理体系ISO 9001:2015 GB/T 19001-2016    证书编号: 00124Q34771R2M/1100
通过国际医疗器械-质量管理体系ISO 13485:2016 GB/T 42061-2022     证书编号: CQC24QY20047R0M/1100
京ICP备05066980号-1         京公网安备110107000727号