扫码关注公众号           扫码咨询技术支持           扫码咨询技术服务
  
客服热线:400-901-9800  客服QQ:4009019800  技术答疑  技术支持  质量反馈  人才招聘  关于我们  联系我们
产品中心-北京博奥森生物技术有限公司
首页 > 产品中心 > 一抗 > 产品信息
Cathepsin B Recombinant Rabbit mAb (bsm-61441R)  
订购热线:400-901-9800
订购邮箱:sales@bioss.com.cn
订购QQ:  400-901-9800
技术支持:techsupport@bioss.com.cn
25ul/800.00元
50ul/1400.00元
100ul/2500.00元
大包装/询价

产品编号 bsm-61441R
英文名称 Cathepsin B Recombinant Rabbit mAb
中文名称 组织蛋白酶B重组兔单抗
别    名 APPS; CPSB; KWE; RECEUP; CB; CATB_HUMAN; CTSB; APP secretase (APPS); Cathepsin B1; 3.4.22.1; CATB_MOUSE; CATB_RAT; RSG-2;   
抗体来源 Rabbit
克隆类型 Recombinant
克 隆 号 14C12
交叉反应 Human
产品应用 WB=1:1000-2000,IHC-P=1:100-500,IHC-F=1:100-500,IF=1:100-500,ICC/IF=1:50-200,IP=1:20-50
not yet tested in other applications.
optimal dilutions/concentrations should be determined by the end user.
理论分子量 38 kDa
检测分子量 42
性    状 Liquid
免 疫 原 A synthesized peptide derived from human Cathepsin B: 2-180 
亚    型 IgG
纯化方法 affinity purified by Protein A
缓 冲 液 10mM phosphate buffered saline(pH 7.4) with 150mM sodium chloride, 0.05% BSA, 0.02% Proclin300 and 50% glycerol.
保存条件 Store at 4℃ for short term. Store at -20℃ for long term. Avoid repeated freeze/thaw cycles.
注意事项 This product as supplied is intended for research use only, not for use in human, therapeutic or diagnostic applications.
PubMed PubMed
产品介绍 Thiol protease which is believed to participate in intracellular degradation and turnover of proteins. Cleaves matrix extracellular phosphoglycoprotein MEPE. Involved in the solubilization of cross-linked TG/thyroglobulin in the thyroid follicle lumen.

SWISS:
P07858

Gene ID:
1508

合成与降解(Synthesis and Degradation) 组织蛋白酶B(CB) 参与肿瘤的侵袭转移过程。可促进肿瘤血管的增生,增强肿瘤细胞的运动能力.组织蛋白酶B转录以及表达水平的高低与肿瘤预后呈正相关。 cathepsin B属于半胱氨酸蛋白酶,与人体的多种生理、病理过程密切相关.组织蛋白酶B (cathepsin B,CB)主要存在于溶酶体中, 发挥其生理状态下的蛋白水解作用.但在某些特定条件下, CB在胞外间质中有时也可以检测到. 目前,有学者将CB用于阿尔茨海默病(A
产品图片
25 ug total protein per lane of various lysates (see on figure) probed with Cathepsin B monoclonal antibody, unconjugated (bsm-61441R) at 1:2000 dilution and 4°C overnight incubation. Followed by conjugated secondary antibody incubation at r.t. for 60 min.
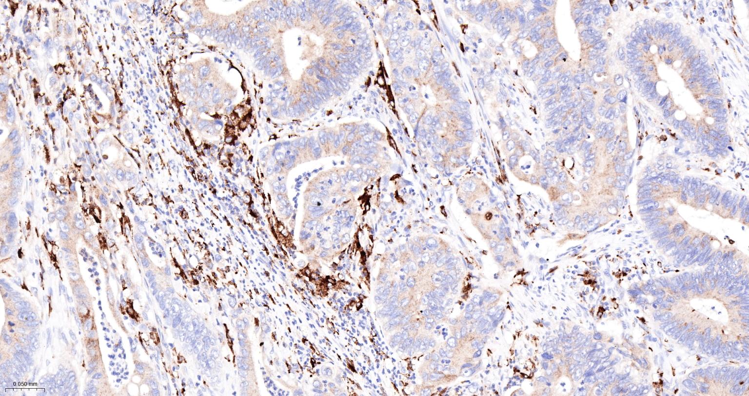
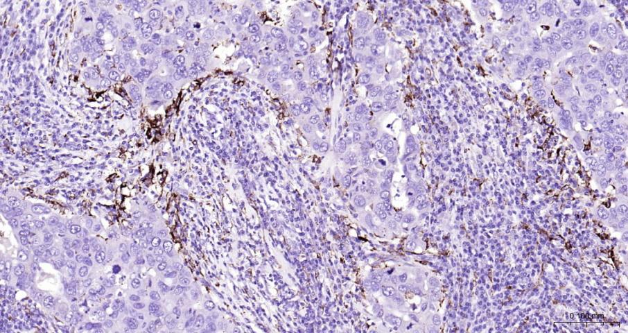
Paraformaldehyde-fixed, paraffin embedded Human Lung Cancer; Antigen retrieval by boiling in sodium citrate buffer (pH6.0) for 15 min; The section was incubated with Cathepsin B Recombinant Monoclonal Antibody, Unconjugated (bsm-61441R) at 1:200 overnight at 4°C, followed by conjugation to the bs-0295G-HRP and DAB (C-0010) staining.
Paraformaldehyde-fixed, paraffin embedded Human Thymus; Antigen retrieval by boiling in sodium citrate buffer (pH6.0) for 15 min; Antibody incubation with Cathepsin B Monoclonal Antibody, Unconjugated(bsm-61441R) at 1:200 overnight at 4°C, followed by conjugation to the bs-0295G-HRP and DAB (C-0010) staining.
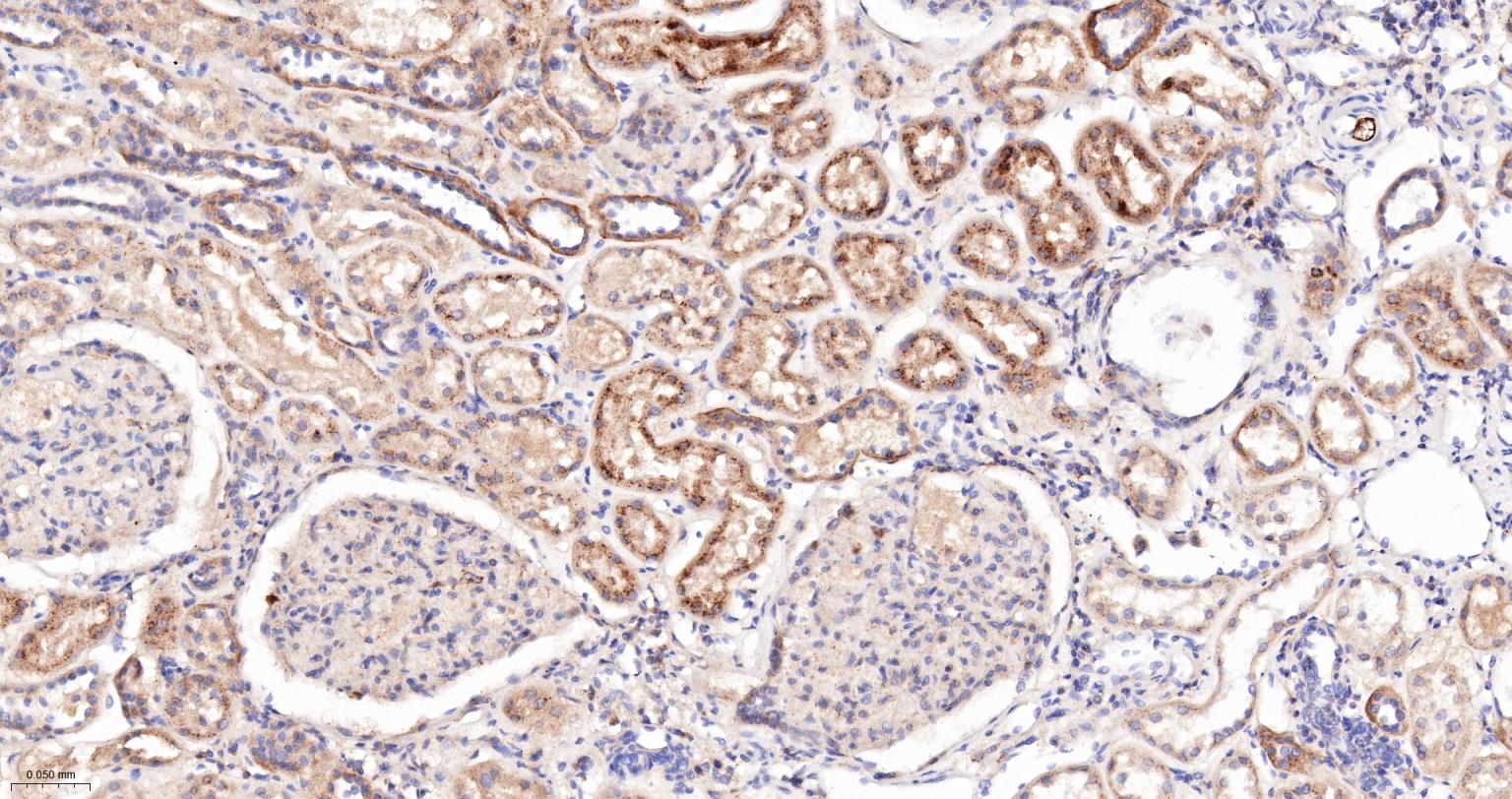
Paraformaldehyde-fixed, paraffin embedded Human Kidney; Antigen retrieval by boiling in sodium citrate buffer (pH6.0) for 15 min; Antibody incubation with Cathepsin B Monoclonal Antibody, Unconjugated(bsm-61441R) at 1:200 overnight at 4°C, followed by conjugation to the bs-0295G-HRP and DAB (C-0010) staining.
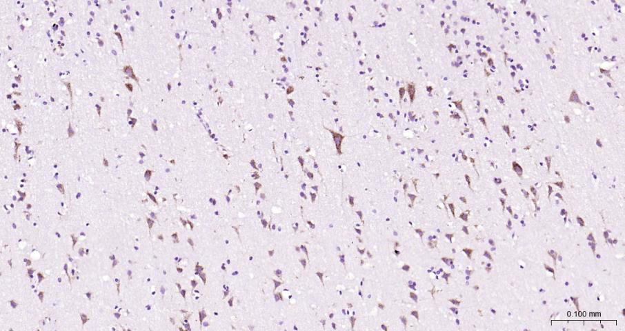
Paraformaldehyde-fixed, paraffin embedded Human Cerebrum; Antigen retrieval by boiling in sodium citrate buffer (pH6.0) for 15 min; Antibody incubation with Cathepsin B Monoclonal Antibody, Unconjugated(bsm-61441R) at 1:200 overnight at 4°C, followed by conjugation to the bs-0295G-HRP and DAB (C-0010) staining.
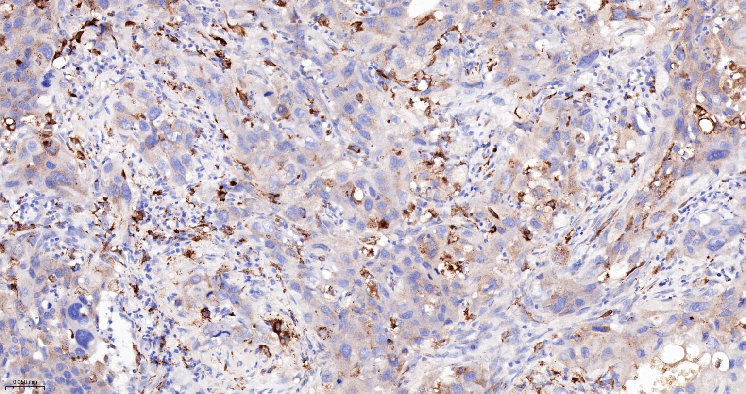
Paraformaldehyde-fixed, paraffin embedded Human Breast Cancer; Antigen retrieval by boiling in sodium citrate buffer (pH6.0) for 15 min; Antibody incubation with Cathepsin B Monoclonal Antibody, Unconjugated(bsm-61441R) at 1:200 overnight at 4°C, followed by conjugation to the bs-0295G-HRP and DAB (C-0010) staining.
Paraformaldehyde-fixed, paraffin embedded Human Ovarian Cancer; Antigen retrieval by boiling in sodium citrate buffer (pH6.0) for 15 min; Antibody incubation with Cathepsin B Monoclonal Antibody, Unconjugated(bsm-61441R) at 1:200 overnight at 4°C, followed by conjugation to the bs-0295G-HRP and DAB (C-0010) staining.
Paraformaldehyde-fixed, paraffin embedded Human Colon Cancer; Antigen retrieval by boiling in sodium citrate buffer (pH6.0) for 15 min; Antibody incubation with Cathepsin B Monoclonal Antibody, Unconjugated(bsm-61441R) at 1:200 overnight at 4°C, followed by conjugation to the bs-0295G-HRP and DAB (C-0010) staining.
4% Paraformaldehyde-fixed SK-MEL-28 (H) cell; Triton X-100 at r.t. for 20 min; Antibody incubation with (Cathepsin B) monoclonal Antibody, unconjugated (bsm-61441R) 1:100, 90 min at 37°C; followed by BF488 conjugated Goat Anti-Rabbit IgG antibody (green, bs-60295G-BF488) at 37°C for 90 min, DAPI (blue, C02-04002) was used to stain the cell nuclei. PBS instead of the primary antibody was used as the blank control.
版权所有 2004-2026 www.bioss.com.cn 北京博奥森生物技术有限公司
通过国际质量管理体系ISO 9001:2015 GB/T 19001-2016    证书编号: 00124Q34771R2M/1100
通过国际医疗器械-质量管理体系ISO 13485:2016 GB/T 42061-2022     证书编号: CQC24QY20047R0M/1100
京ICP备05066980号-1         京公网安备110107000727号