扫码关注公众号           扫码咨询技术支持           扫码咨询技术服务
  
客服热线:400-901-9800  客服QQ:4009019800  技术答疑  技术支持  质量反馈  人才招聘  关于我们  联系我们
产品中心-北京博奥森生物技术有限公司
首页 > 产品中心 > 一抗 > 产品信息
Rhodopsin Recombinant Rabbit mAb (bsm-61439R)  
订购热线:400-901-9800
订购邮箱:sales@bioss.com.cn
订购QQ:  400-901-9800
技术支持:techsupport@bioss.com.cn
25ul/800.00元
50ul/1400.00元
100ul/2500.00元
大包装/询价

产品编号 bsm-61439R
英文名称 Rhodopsin Recombinant Rabbit mAb
中文名称 视网膜色素变性蛋白4重组兔单抗
别    名 CSNBAD1; OPN2; RP4; Noerg1; Ops; OPSD_HUMAN; RHO; Opsin-2; OPSD_MOUSE; OPSD_RAT;   
抗体来源 Rabbit
克隆类型 Recombinant
克 隆 号 5B3
交叉反应 Rat (predicted: Human)
产品应用 WB=1:500-2000,IHC-P=1:50-200,IHC-F=1:50-200,IF=1:50-200
not yet tested in other applications.
optimal dilutions/concentrations should be determined by the end user.
理论分子量 39 kDa
检测分子量 39
性    状 Liquid
免 疫 原 A synthesized peptide derived from human Rhodopsin: 300-348 
亚    型 IgG
纯化方法 affinity purified by Protein A
缓 冲 液 10mM phosphate buffered saline(pH 7.4) with 150mM sodium chloride, 0.05% BSA, 0.02% Proclin300 and 50% glycerol.
保存条件 Store at 4℃ for short term. Store at -20℃ for long term. Avoid repeated freeze/thaw cycles.
注意事项 This product as supplied is intended for research use only, not for use in human, therapeutic or diagnostic applications.
PubMed PubMed
产品介绍 Photoreceptor required for image-forming vision at low light intensity.Light-induced isomerization of the chromophore 11-cis-retinal to all-trans-retinal triggers a conformational change that activates signaling via G-proteins.

SWISS:
P08100

Gene ID:
6010

产品图片
Western blot analysis of rat eyeball lysate. Using Rhodopsin (bsm-61439R) monoclonal antibody at 1:1000 dilution and 4°C overnight incubation. Followed by conjugated secondary antibody incubation at r.t. for 60 min.
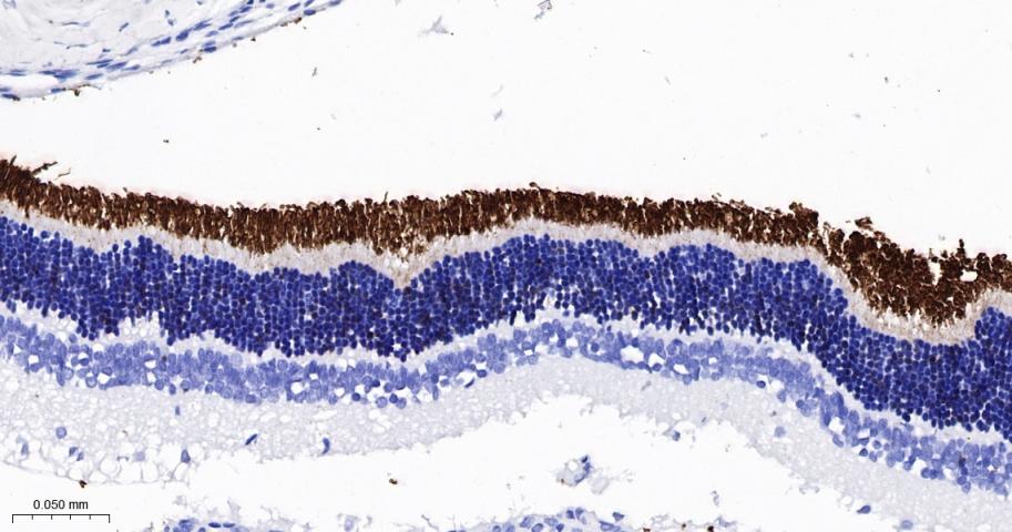
Paraformaldehyde-fixed, paraffin embedded Rat Eye; Antigen retrieval by boiling in sodium citrate buffer (pH6.0) for 15 min; The section was incubated with Rhodopsin Monoclonal Antibody, Unconjugated (bsm-61439R) at 1:200 overnight at 4°C, followed by conjugation to the bs-0295G-HRP and DAB (C-0010) staining.
版权所有 2004-2026 www.bioss.com.cn 北京博奥森生物技术有限公司
通过国际质量管理体系ISO 9001:2015 GB/T 19001-2016    证书编号: 00124Q34771R2M/1100
通过国际医疗器械-质量管理体系ISO 13485:2016 GB/T 42061-2022     证书编号: CQC24QY20047R0M/1100
京ICP备05066980号-1         京公网安备110107000727号