扫码关注公众号           扫码咨询技术支持           扫码咨询技术服务
  
客服热线:400-901-9800  客服QQ:4009019800  技术答疑  技术支持  质量反馈  人才招聘  关于我们  联系我们
产品中心-北京博奥森生物技术有限公司
首页 > 产品中心 > 一抗 > 产品信息
Cathepsin L/V/K/H Recombinant Rabbit mAb (bsm-61433R)  
订购热线:400-901-9800
订购邮箱:sales@bioss.com.cn
订购QQ:  400-901-9800
技术支持:techsupport@bioss.com.cn
25ul/800.00元
50ul/1400.00元
100ul/2500.00元
大包装/询价

产品编号 bsm-61433R
英文名称 Cathepsin L/V/K/H Recombinant Rabbit mAb
中文名称 组织蛋白酶L/V/K/H重组兔单抗
别    名 CATL; CTSL1; MEP; 1190035F06Rik; fs; nkt; CATHL; CATL1_HUMAN; CTSL; Cathepsin L1; Major excreted protein (MEP); 3.4.22.15; CATL1_MOUSE; p39 cysteine proteinase; CATL1_RAT; Cyclic protein 2 (CP-2);   
抗体来源 Rabbit
克隆类型 Recombinant
克 隆 号 5A7
交叉反应 Human,Mouse
产品应用 IHC-P=1:50-200,IHC-F=1:50-200,IF=1:50-200
not yet tested in other applications.
optimal dilutions/concentrations should be determined by the end user.
理论分子量 37,38 kDa
检测分子量 38
性    状 Liquid
免 疫 原 A synthesized peptide derived from human Cathepsin L/V/K/H: 110-135 
亚    型 IgG
纯化方法 affinity purified by Protein A
缓 冲 液 10mM phosphate buffered saline(pH 7.4) with 150mM sodium chloride, 0.05% BSA, 0.02% Proclin300 and 50% glycerol.
保存条件 Store at 4℃ for short term. Store at -20℃ for long term. Avoid repeated freeze/thaw cycles.
注意事项 This product as supplied is intended for research use only, not for use in human, therapeutic or diagnostic applications.
PubMed PubMed
产品介绍 Thiol protease important for the overall degradation of proteins in lysosomes (Probable). Plays a critical for normal cellular functions such as general protein turnover, antigen processing and bone remodeling.

SWISS:
P07711

Gene ID:
1514

合成与降解(Synthesis and Degradation) 组织蛋白酶L(cathepsin L CL)属于木瓜蛋白酶家族中的半胱氨酸蛋白水解酶,以酶原的形式贮存于溶酶体中. 参与许多特殊的生理过程,如激素原的激活、抗原呈递、组织器官的发育等。 在病理状态下,因各种原因所致的细胞损伤(如病原微生物、炎症因子、氧化应激等)可降解细胞成分或细胞间质基质成分,包括层粘素、IV型胶原纤维及纤维连接素等,与人类许多疾病如肿瘤的浸润与转移、关节炎、骨质疏松、阿尔茨海姆病、多发性硬化症及其他慢性炎症性疾病有关.
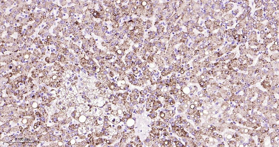
产品图片
Paraformaldehyde-fixed, paraffin embedded Human Liver; Antigen retrieval by boiling in sodium citrate buffer (pH6.0) for 15 min; The section was incubated with Cathepsin L/V/K/H Monoclonal Antibody, Unconjugated (bsm-61433R) at 1:200 overnight at 4°C, followed by conjugation to the bs-0295G-HRP and DAB (C-0010) staining.
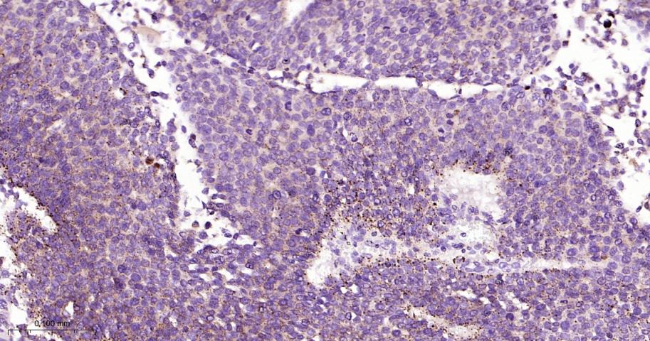
Paraformaldehyde-fixed, paraffin embedded Human Colon Cancer; Antigen retrieval by boiling in sodium citrate buffer (pH6.0) for 15 min; The section was incubated with Cathepsin L/V/K/H Monoclonal Antibody, Unconjugated (bsm-61433R) at 1:200 overnight at 4°C, followed by conjugation to the bs-0295G-HRP and DAB (C-0010) staining.
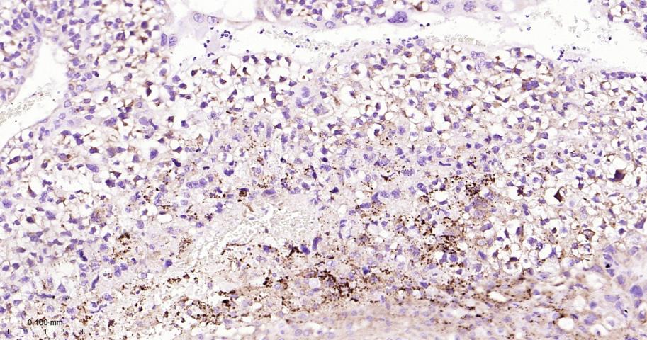
Paraformaldehyde-fixed, paraffin embedded Human Invasive urothelial carcinoma of the bladder; Antigen retrieval by boiling in sodium citrate buffer (pH6.0) for 15 min; The section was incubated with Cathepsin L/V/K/H Monoclonal Antibody, Unconjugated (bsm-61433R) at 1:200 overnight at 4°C, followed by conjugation to the bs-0295G-HRP and DAB (C-0010) staining.
Paraformaldehyde-fixed, paraffin embedded Mouse Placenta; Antigen retrieval by boiling in sodium citrate buffer (pH6.0) for 15 min; The section was incubated with Cathepsin L/V/K/H Monoclonal Antibody, Unconjugated (bsm-61433R) at 1:200 overnight at 4°C, followed by conjugation to the bs-0295G-HRP and DAB (C-0010) staining.
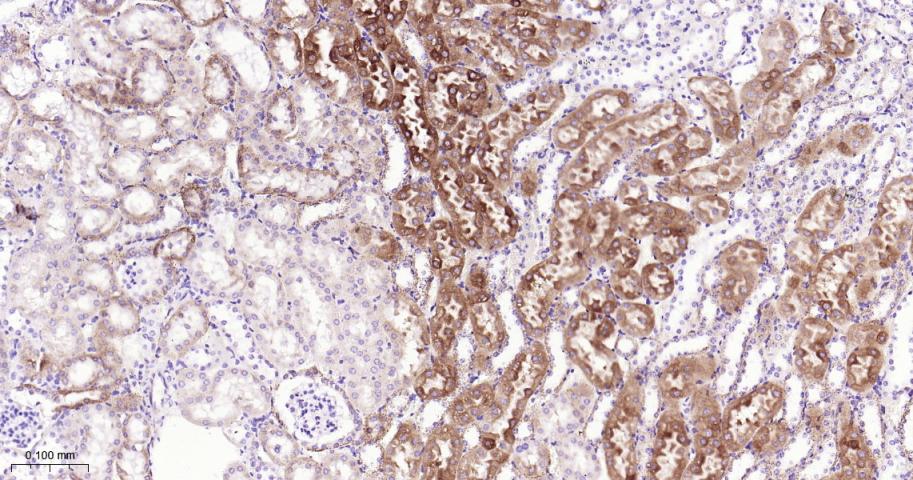
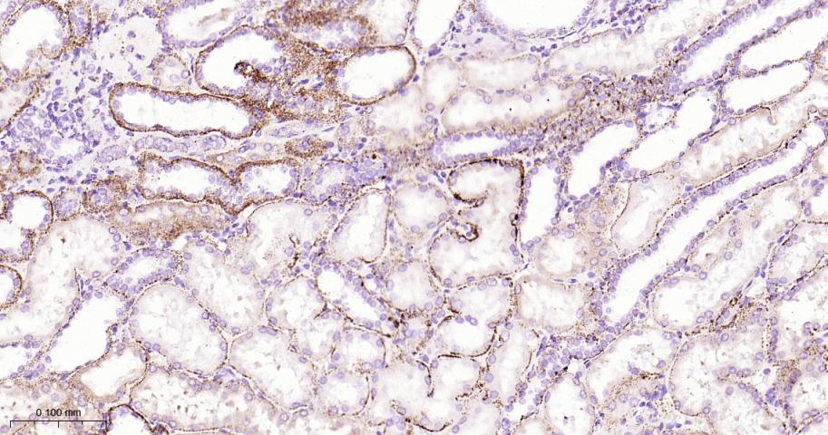
Paraformaldehyde-fixed, paraffin embedded Human Kidney; Antigen retrieval by boiling in sodium citrate buffer (pH6.0) for 15 min; The section was incubated with Cathepsin L/V/K/H Monoclonal Antibody, Unconjugated (bsm-61433R) at 1:200 overnight at 4°C, followed by conjugation to the bs-0295G-HRP and DAB (C-0010) staining.
Paraformaldehyde-fixed, paraffin embedded Mouse Kidney; Antigen retrieval by boiling in sodium citrate buffer (pH6.0) for 15 min; The section was incubated with Cathepsin L/V/K/H Monoclonal Antibody, Unconjugated (bsm-61433R) at 1:200 overnight at 4°C, followed by conjugation to the bs-0295G-HRP and DAB (C-0010) staining.
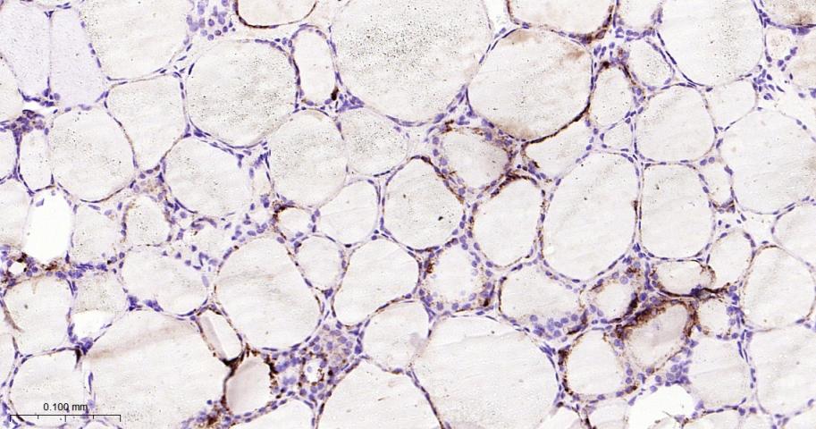
Paraformaldehyde-fixed, paraffin embedded Human Thyroid Gland; Antigen retrieval by boiling in sodium citrate buffer (pH6.0) for 15 min; The section was incubated with Cathepsin L/V/K/H Monoclonal Antibody, Unconjugated (bsm-61433R) at 1:200 overnight at 4°C, followed by conjugation to the bs-0295G-HRP and DAB (C-0010) staining.
Paraformaldehyde-fixed, paraffin embedded Mouse Thyroid Gland; Antigen retrieval by boiling in sodium citrate buffer (pH6.0) for 15 min; The section was incubated with Cathepsin L/V/K/H Monoclonal Antibody, Unconjugated (bsm-61433R) at 1:200 overnight at 4°C, followed by conjugation to the bs-0295G-HRP and DAB (C-0010) staining.
Paraformaldehyde-fixed, paraffin embedded Mouse Lung; Antigen retrieval by boiling in sodium citrate buffer (pH6.0) for 15 min; The section was incubated with Cathepsin L/V/K/H Monoclonal Antibody, Unconjugated (bsm-61433R) at 1:200 overnight at 4°C, followed by conjugation to the bs-0295G-HRP and DAB (C-0010) staining.
Paraformaldehyde-fixed, paraffin embedded Mouse Kidney; Antigen retrieval by boiling in sodium citrate buffer (pH6.0) for 15 min; The section was incubated with Cathepsin L/V/K/H Monoclonal Antibody, Unconjugated (bsm-61433R) at 1:200 overnight at 4°C. Followed by conjugated Goat Anti-Rabbit IgG antibody (Red, bs-0295G-BF594), DAPI (blue, C02-04002) was used to stain the cell nuclei.
Paraformaldehyde-fixed, paraffin embedded Human Kidney; Antigen retrieval by boiling in sodium citrate buffer (pH6.0) for 15 min; The section was incubated with Cathepsin L/V/K/H Monoclonal Antibody, Unconjugated (bsm-61433R) at 1:200 overnight at 4°C. Followed by conjugated Goat Anti-Rabbit IgG antibody (Red, bs-0295G-BF594), DAPI (blue, C02-04002) was used to stain the cell nuclei.
Paraformaldehyde-fixed, paraffin embedded Human Liver; Antigen retrieval by boiling in sodium citrate buffer (pH6.0) for 15 min; The section was incubated with Cathepsin L/V/K/H Monoclonal Antibody, Unconjugated (bsm-61433R) at 1:200 overnight at 4°C. Followed by conjugated Goat Anti-Rabbit IgG antibody (Red, bs-0295G-BF594), DAPI (blue, C02-04002) was used to stain the cell nuclei.
Paraformaldehyde-fixed, paraffin embedded Rat Lung; Antigen retrieval by boiling in sodium citrate buffer (pH6.0) for 15 min; The section was incubated with Cathepsin L/V/K/H Monoclonal Antibody, Unconjugated (bsm-61433R) at 1:200 overnight at 4°C. Followed by conjugated Goat Anti-Rabbit IgG antibody (Red, bs-0295G-BF594), DAPI (blue, C02-04002) was used to stain the cell nuclei.
版权所有 2004-2026 www.bioss.com.cn 北京博奥森生物技术有限公司
通过国际质量管理体系ISO 9001:2015 GB/T 19001-2016    证书编号: 00124Q34771R2M/1100
通过国际医疗器械-质量管理体系ISO 13485:2016 GB/T 42061-2022     证书编号: CQC24QY20047R0M/1100
京ICP备05066980号-1         京公网安备110107000727号