扫码关注公众号           扫码咨询技术支持           扫码咨询技术服务
  
客服热线:400-901-9800  客服QQ:4009019800  技术答疑  技术支持  质量反馈  人才招聘  关于我们  联系我们
产品中心-北京博奥森生物技术有限公司
首页 > 产品中心 > 一抗 > 产品信息
TAC1 Recombinant Rabbit mAb (bsm-61420R)  
订购热线:400-901-9800
订购邮箱:sales@bioss.com.cn
订购QQ:  400-901-9800
技术支持:techsupport@bioss.com.cn
25ul/800.00元
50ul/1400.00元
100ul/2500.00元
大包装/询价

产品编号 bsm-61420R
英文名称 TAC1 Recombinant Rabbit mAb
中文名称 神经激肽A重组兔单抗
别    名 Hs.2563; NK2; NKNA; NPK; TAC2; 4930528L02Rik; NK-1; NK1; PPT-A; PPTA; SP; PPTA3; Ppt5fl; RATPPTA3; TAC; TKN1_HUMAN; TAC1; PPT; NKA; TKN1_MOUSE; TKN1_RAT;   
抗体来源 Rabbit
克隆类型 Recombinant
克 隆 号 17A9
交叉反应 Human
产品应用 IHC-P=1:50-200,IHC-F=1:50-200,IF=1:50-200
not yet tested in other applications.
optimal dilutions/concentrations should be determined by the end user.
理论分子量 15 kDa
检测分子量 15
性    状 Liquid
免 疫 原 A synthesized peptide derived from human TAC1: 50-100/129 
亚    型 IgG
纯化方法 affinity purified by Protein A
缓 冲 液 10mM phosphate buffered saline(pH 7.4) with 150mM sodium chloride, 0.05% BSA, 0.02% Proclin300 and 50% glycerol.
保存条件 Store at 4℃ for short term. Store at -20℃ for long term. Avoid repeated freeze/thaw cycles.
注意事项 This product as supplied is intended for research use only, not for use in human, therapeutic or diagnostic applications.
PubMed PubMed
产品介绍 Tachykinins are active peptides which excite neurons, evoke behavioral responses, are potent vasodilators and secretagogues, and contract (directly or indirectly) many smooth muscles.

SWISS:
P20366

Gene ID:
6863

P物质(Substance P)是脑组织及消化道中发现的一种神经递质肽。由130个氨基酸残基组成,胃肠道中肌肉收缩的有力促进剂,亦为强血管扩张剂。 SP是一种脑肠肽,亦是最早发现的一种神经肽,属于速激肽家族成员,它广泛分布于中枢及外周神经系统,作为一种神经递质或调质参与疼痛、免疫、心血管等多种生理功能的调节。SP与其它的递质或调质类似,能作用于多种类型的受体,速激肽家族有NK1、NK2、NK3三种受体,都能与SP结合,其中NK1与SP的结合能力最强而被称为SP受体。
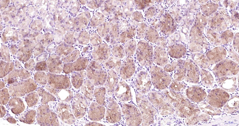
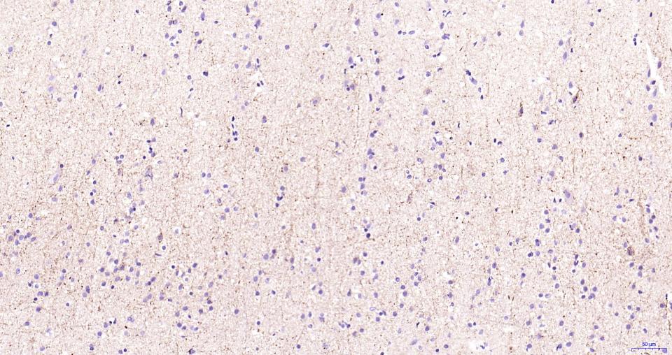
产品图片
Paraformaldehyde-fixed, paraffin embedded Human stomach; Antigen retrieval by boiling in sodium citrate buffer (pH6.0) for 15 min; Antibody incubation with TAC1 Monoclonal Antibody, Unconjugated (bsm-61420R) at 1:200 overnight at 4°C, followed by conjugation to the bs-0295G-HRP and DAB (C-0010) staining.
Paraformaldehyde-fixed, paraffin embedded Human Brain; Antigen retrieval by boiling in sodium citrate buffer (pH6.0) for 15 min; Antibody incubation with TAC1 Monoclonal Antibody, Unconjugated (bsm-61420R) at 1:200 overnight at 4°C, followed by conjugation to the bs-0295G-HRP and DAB (C-0010) staining.
(Negative control)Paraformaldehyde-fixed, paraffin embedded Human Brain; Antigen retrieval by boiling in sodium citrate buffer (pH6.0) for 15 min; Antibody incubation with TAC1 Monoclonal Antibody, Unconjugated (bsm-61420R) at 1:200 overnight at 4°C, followed by conjugation to the bs-0295G-HRP and DAB (C-0010) staining.
版权所有 2004-2026 www.bioss.com.cn 北京博奥森生物技术有限公司
通过国际质量管理体系ISO 9001:2015 GB/T 19001-2016    证书编号: 00124Q34771R2M/1100
通过国际医疗器械-质量管理体系ISO 13485:2016 GB/T 42061-2022     证书编号: CQC24QY20047R0M/1100
京ICP备05066980号-1         京公网安备110107000727号