扫码关注公众号           扫码咨询技术支持           扫码咨询技术服务
  
客服热线:400-901-9800  客服QQ:4009019800  技术答疑  技术支持  质量反馈  人才招聘  关于我们  联系我们
产品中心-北京博奥森生物技术有限公司
首页 > 产品中心 > 一抗 > 产品信息
LAMP1 Recombinant Rabbit mAb (bsm-61375R)  
订购热线:400-901-9800
订购邮箱:sales@bioss.com.cn
订购QQ:  400-901-9800
技术支持:techsupport@bioss.com.cn
25ul/800.00元
50ul/1400.00元
100ul/2500.00元
大包装/询价

产品编号 bsm-61375R
英文名称 LAMP1 Recombinant Rabbit mAb
中文名称 溶酶体相关膜蛋白1(CD107)重组兔单抗
别    名 CD107a; LAMPA; LGP120; LGP-120; LGP-A; Lamp-1; P2B; Perk; LAMP1_HUMAN; LAMP1; Lysosome-associated membrane protein 1; CD107 antigen-like family member A; LAMP1_MOUSE; 120 kDa lysosomal membrane glycoprotein; Lysosomal membrane glycoprotein A (LGP-A); LAMP1_RAT; 120 kDa lysosomal membrane glycoprotein (LGP-120);   
抗体来源 Rabbit
克隆类型 Recombinant
克 隆 号 4A20
交叉反应 Human
产品应用 WB=1:500-2000,IHC-P=1:50-200,IHC-F=1:50-200,IF=1:50-200
not yet tested in other applications.
optimal dilutions/concentrations should be determined by the end user.
理论分子量 45 kDa
检测分子量 100-110
性    状 Liquid
免 疫 原 A synthesized peptide derived from human LAMP1: 104-186/417 
亚    型 IgG
纯化方法 affinity purified by Protein A
缓 冲 液 10mM phosphate buffered saline(pH 7.4) with 150mM sodium chloride, 0.05% BSA, 0.02% Proclin300 and 50% glycerol.
保存条件 Store at 4℃ for short term. Store at -20℃ for long term. Avoid repeated freeze/thaw cycles.
注意事项 This product as supplied is intended for research use only, not for use in human, therapeutic or diagnostic applications.
PubMed PubMed
产品介绍 Lysosomal membrane glycoprotein which plays an important role in lysosome biogenesis, lysosomal pH regulation, autophagy and cholesterol homeostasis. Acts as an important regulator of lysosomal lumen pH regulation by acting as a direct inhibitor of the proton channel TMEM175, facilitating lysosomal acidification for optimal hydrolase activity.

SWISS:
P11279

Gene ID:
3916

产品图片
25 ug total protein per lane of various lysates (see on figure) probed with LAMP1 monoclonal antibody, unconjugated (bsm-61375R) at 1:1000 dilution and 4°C overnight incubation. Followed by conjugated secondary antibody incubation at r.t. for 60 min.
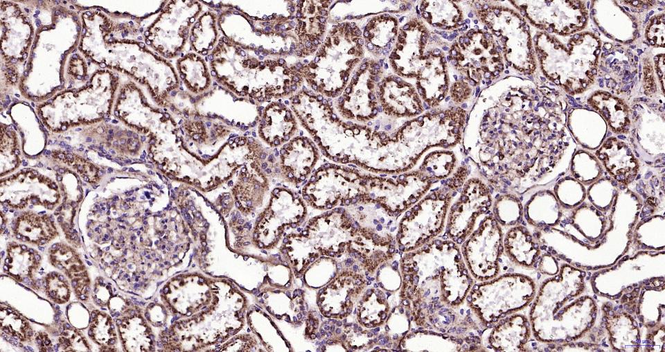
Paraformaldehyde-fixed, paraffin embedded Human Kidney; Antigen retrieval by boiling in sodium citrate buffer (pH6.0) for 15 min; Antibody incubation with LAMP1 Monoclonal Antibody, Unconjugated(bsm-61375R) at 1:200 overnight at 4°C, followed by conjugation to the SP Kit (Rabbit, SP-0023)and DAB (C-0010) staining.
Paraformaldehyde-fixed, paraffin embedded Human Testicles; Antigen retrieval by boiling in sodium citrate buffer (pH6.0) for 15 min; Antibody incubation with LAMP1 Monoclonal Antibody, Unconjugated(bsm-61375R) at 1:200 overnight at 4°C, followed by conjugation to the SP Kit (Rabbit, SP-0023)and DAB (C-0010) staining.
Paraformaldehyde-fixed, paraffin embedded Human Liver; Antigen retrieval by boiling in sodium citrate buffer (pH6.0) for 15 min; Antibody incubation with LAMP1 Monoclonal Antibody, Unconjugated(bsm-61375R) at 1:200 overnight at 4°C, followed by conjugation to the SP Kit (Rabbit, SP-0023)and DAB (C-0010) staining.
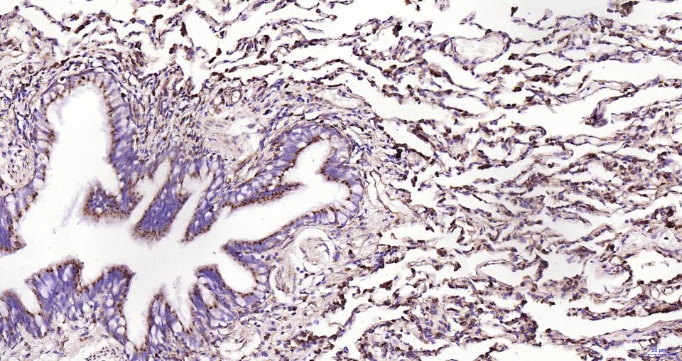
Paraformaldehyde-fixed, paraffin embedded Human Lung; Antigen retrieval by boiling in sodium citrate buffer (pH6.0) for 15 min; Antibody incubation with LAMP1 Monoclonal Antibody, Unconjugated(bsm-61375R) at 1:200 overnight at 4°C, followed by conjugation to the SP Kit (Rabbit, SP-0023)and DAB (C-0010) staining.
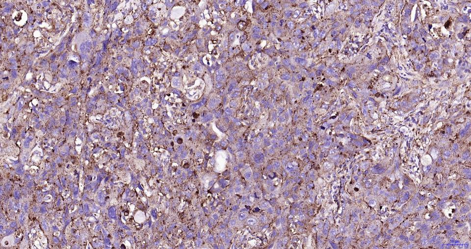
Paraformaldehyde-fixed, paraffin embedded Human Liver Cancer; Antigen retrieval by boiling in sodium citrate buffer (pH6.0) for 15 min; Antibody incubation with LAMP1 Monoclonal Antibody, Unconjugated(bsm-61375R) at 1:200 overnight at 4°C, followed by conjugation to the SP Kit (Rabbit, SP-0023)and DAB (C-0010) staining.
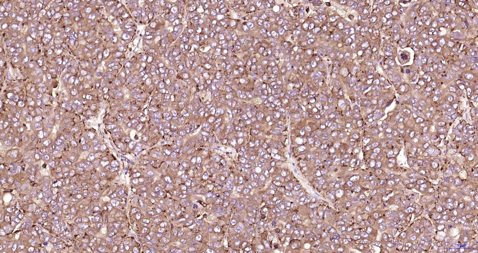
Paraformaldehyde-fixed, paraffin embedded Human Lung Cancer; Antigen retrieval by boiling in sodium citrate buffer (pH6.0) for 15 min; Antibody incubation with LAMP1 Monoclonal Antibody, Unconjugated(bsm-61375R) at 1:200 overnight at 4°C, followed by conjugation to the SP Kit (Rabbit, SP-0023)and DAB (C-0010) staining.
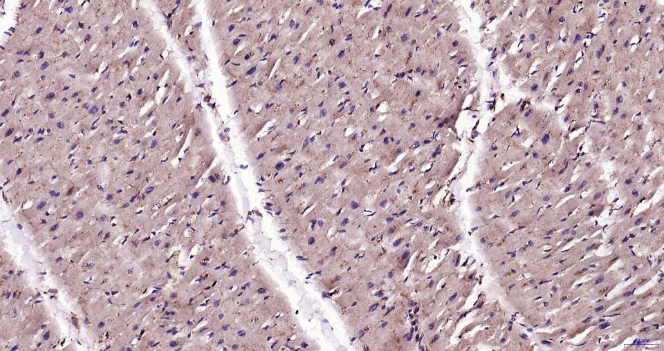
Paraformaldehyde-fixed, paraffin embedded Human Heart; Antigen retrieval by boiling in sodium citrate buffer (pH6.0) for 15 min; Antibody incubation with LAMP1 Monoclonal Antibody, Unconjugated(bsm-61375R) at 1:200 overnight at 4°C, followed by conjugation to the SP Kit (Rabbit, SP-0023)and DAB (C-0010) staining.
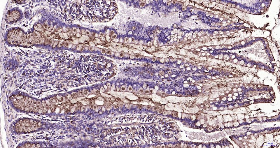
Paraformaldehyde-fixed, paraffin embedded Human Small Intestine; Antigen retrieval by boiling in sodium citrate buffer (pH6.0) for 15 min; Antibody incubation with LAMP1 Monoclonal Antibody, Unconjugated(bsm-61375R) at 1:200 overnight at 4°C, followed by conjugation to the SP Kit (Rabbit, SP-0023)and DAB (C-0010) staining.
Paraformaldehyde-fixed, paraffin embedded Human Spleen; Antigen retrieval by boiling in sodium citrate buffer (pH6.0) for 15 min; Antibody incubation with LAMP1 Monoclonal Antibody, Unconjugated(bsm-61375R) at 1:200 overnight at 4°C, followed by conjugation to the SP Kit (Rabbit, SP-0023)and DAB (C-0010) staining.
Paraformaldehyde-fixed, paraffin embedded Human Colon; Antigen retrieval by boiling in sodium citrate buffer (pH6.0) for 15 min; Antibody incubation with LAMP1 Monoclonal Antibody, Unconjugated(bsm-61375R) at 1:200 overnight at 4°C, followed by conjugation to the SP Kit (Rabbit, SP-0023)and DAB (C-0010) staining.
Paraformaldehyde-fixed, paraffin embedded Human Tonsil; Antigen retrieval by boiling in sodium citrate buffer (pH6.0) for 15 min; Antibody incubation with LAMP1 Monoclonal Antibody, Unconjugated(bsm-61375R) at 1:200 overnight at 4°C, followed by conjugation to the SP Kit (Rabbit, SP-0023)and DAB (C-0010) staining.
Paraformaldehyde-fixed, paraffin embedded Human Colon Cancer; Antigen retrieval by boiling in sodium citrate buffer (pH6.0) for 15 min; Antibody incubation with LAMP1 Monoclonal Antibody, Unconjugated(bsm-61375R) at 1:200 overnight at 4°C, followed by conjugation to the SP Kit (Rabbit, SP-0023)and DAB (C-0010) staining.
版权所有 2004-2026 www.bioss.com.cn 北京博奥森生物技术有限公司
通过国际质量管理体系ISO 9001:2015 GB/T 19001-2016    证书编号: 00124Q34771R2M/1100
通过国际医疗器械-质量管理体系ISO 13485:2016 GB/T 42061-2022     证书编号: CQC24QY20047R0M/1100
京ICP备05066980号-1         京公网安备110107000727号