扫码关注公众号           扫码咨询技术支持           扫码咨询技术服务
  
客服热线:400-901-9800  客服QQ:4009019800  技术答疑  技术支持  质量反馈  人才招聘  关于我们  联系我们
产品中心-北京博奥森生物技术有限公司
首页 > 产品中心 > 一抗 > 产品信息
MGMT Recombinant Rabbit mAb (bsm-61358R)  
订购热线:400-901-9800
订购邮箱:sales@bioss.com.cn
订购QQ:  400-901-9800
技术支持:techsupport@bioss.com.cn
25ul/800.00元
50ul/1400.00元
100ul/2500.00元
大包装/询价

产品编号 bsm-61358R
英文名称 MGMT Recombinant Rabbit mAb
中文名称 O6甲基鸟嘌呤DNA甲基转移酶重组兔单抗
别    名 MGMT_HUMAN; MGMT; 6-O-methylguanine-DNA methyltransferase (MGMT); O-6-methylguanine-DNA-alkyltransferase; 2.1.1.63;   
抗体来源 Rabbit
克隆类型 Recombinant
克 隆 号 3F8
交叉反应 Human
产品应用 WB=1:500-2000,IHC-P=1:50-200,IHC-F=1:50-200,IF=1:50-200
not yet tested in other applications.
optimal dilutions/concentrations should be determined by the end user.
理论分子量 22 kDa
检测分子量 20
性    状 Liquid
免 疫 原 A synthesized peptide derived from human MGMT: 1-45/207 
亚    型 IgG
纯化方法 affinity purified by Protein A
缓 冲 液 10mM phosphate buffered saline(pH 7.4) with 150mM sodium chloride, 0.05% BSA, 0.02% Proclin300 and 50% glycerol.
保存条件 Store at 4℃ for short term. Store at -20℃ for long term. Avoid repeated freeze/thaw cycles.
注意事项 This product as supplied is intended for research use only, not for use in human, therapeutic or diagnostic applications.
PubMed PubMed
产品介绍 Involved in the cellular defense against the biological effects of O6-methylguanine (O6-MeG) and O4-methylthymine (O4-MeT) in DNA. Repairs the methylated nucleobase in DNA by stoichiometrically transferring the methyl group to a cysteine residue in the enzyme. This is a suicide reaction: the enzyme is irreversibly inactivated.

SWISS:
P16455

Gene ID:
4255

O-6-methylguanine-DNA methyltransferase(MGMT)O-6-甲基鸟嘌呤-DNA-甲基转移酶:是广泛存在于细菌到哺乳动物机体中的一种独特DNA修复酶,MGMT是一种DNA修复酶,是突变和癌变的抑制因子。它对烷化剂导致的DNA损伤有修复作用。 MGMT是突变和癌基因的抑制因子。研究表明MGMT水平与恶性肿瘤的发生、进展、浸润、预后及治疗有密切关系。细胞中MGMT水平与其所能耐受的DNA损伤密切相关。一般来讲,低水平表达MGMT的肿瘤可以应用烷化剂药物治疗;反之则为耐药。在
产品图片
25 ug total protein per lane of various lysates (see on figure) probed with MGMT monoclonal antibody, unconjugated (bsm-61358R) at 1:1000 dilution and 4°C overnight incubation. Followed by conjugated secondary antibody incubation at r.t. for 60 min.
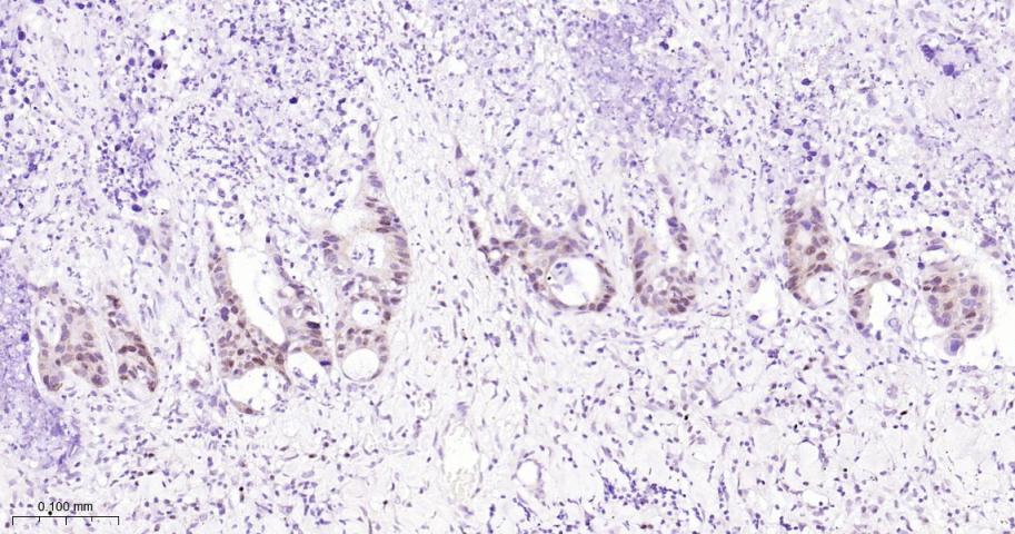
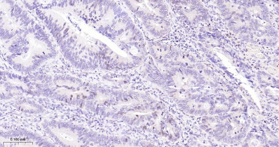
Paraformaldehyde-fixed, paraffin embedded Human Colon Cancer; Antigen retrieval by boiling in sodium citrate buffer (pH6.0) for 15 min; Antibody incubation with MGMT Monoclonal Antibody, Unconjugated(bsm-61358R) at 1:200 overnight at 4°C, followed by conjugation to the bs-0295G-HRP and DAB (C-0010) staining.
Paraformaldehyde-fixed, paraffin embedded Human Lung Cancer; Antigen retrieval by boiling in sodium citrate buffer (pH6.0) for 15 min; Antibody incubation with MGMT Monoclonal Antibody, Unconjugated(bsm-61358R) at 1:200 overnight at 4°C, followed by conjugation to the bs-0295G-HRP and DAB (C-0010) staining.
版权所有 2004-2026 www.bioss.com.cn 北京博奥森生物技术有限公司
通过国际质量管理体系ISO 9001:2015 GB/T 19001-2016    证书编号: 00124Q34771R2M/1100
通过国际医疗器械-质量管理体系ISO 13485:2016 GB/T 42061-2022     证书编号: CQC24QY20047R0M/1100
京ICP备05066980号-1         京公网安备110107000727号