扫码关注公众号           扫码咨询技术支持           扫码咨询技术服务
  
客服热线:400-901-9800  客服QQ:4009019800  技术答疑  技术支持  质量反馈  人才招聘  关于我们  联系我们
产品中心-北京博奥森生物技术有限公司
首页 > 产品中心 > 一抗 > 产品信息
Stromal interaction molecule 1 Recombinant Rabbit mAb (bsm-61325R)  
订购热线:400-901-9800
订购邮箱:sales@bioss.com.cn
订购QQ:  400-901-9800
技术支持:techsupport@bioss.com.cn
25ul/800.00元
50ul/1400.00元
100ul/2500.00元
大包装/询价

产品编号 bsm-61325R
英文名称 Stromal interaction molecule 1 Recombinant Rabbit mAb
中文名称 基质交感分子1重组兔单抗
别    名 D11S4896E; GOK; IMD10; STRMK; TAM; TAM1; SIM; STIM1_HUMAN; STIM1; STIM1_MOUSE; STIM1_RAT;   
抗体来源 Rabbit
克隆类型 Recombinant
克 隆 号 12C5
交叉反应 Human,Mouse,Rat
产品应用 WB=1:1000-2000,IHC-P=1:50-200,IHC-F=1:50-200,IF=1:50-200,Flow-Cyt=1:50-100,IP=1:20-50
not yet tested in other applications.
optimal dilutions/concentrations should be determined by the end user.
理论分子量 77 kDa
检测分子量 77
性    状 Liquid
免 疫 原 A synthesized peptide derived from human Stromal interaction molecule 1: 601-685 
亚    型 IgG
纯化方法 affinity purified by Protein A
缓 冲 液 10mM phosphate buffered saline(pH 7.4) with 150mM sodium chloride, 0.05% BSA, 0.02% Proclin300 and 50% glycerol.
保存条件 Store at 4℃ for short term. Store at -20℃ for long term. Avoid repeated freeze/thaw cycles.
注意事项 This product as supplied is intended for research use only, not for use in human, therapeutic or diagnostic applications.
PubMed PubMed
产品介绍 STIM1 is a potential tumor suppressor; defects in STIM1 may cause rhabdomyosarcoma and rhabdoid tumors. STIM1 can either homodimerize or form heterodimers with STIM2. STIM2 possesses a high sequence identity to STIM1 and can function as an inhibitor of STIM1-mediated plasma membrane store-operated Ca2+ entry. However, further investigation is required to elucidate the true physiological function of STIM2.

SWISS:
Q13586

Gene ID:
6786

产品图片
Western blot analysis of HeLa cell lysate. Using STIM1 (bsm-61325R) monoclonal antibody at 1:1000 dilution and 4°C overnight incubation. Followed by conjugated secondary antibody incubation at r.t. for 60 min.
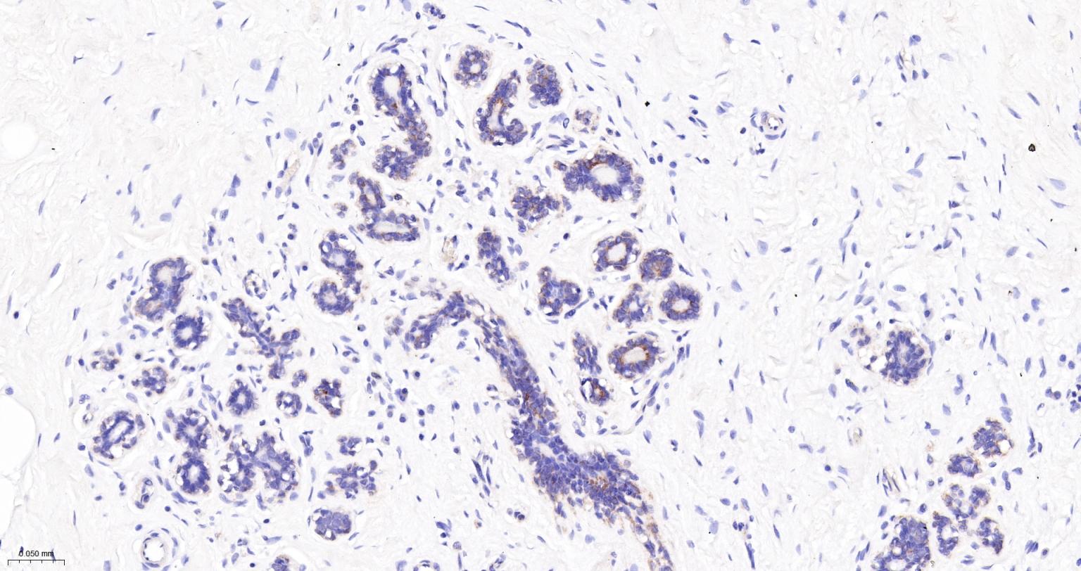
Paraformaldehyde-fixed, paraffin embedded Human Breast; Antigen retrieval by boiling in sodium citrate buffer (pH6.0) for 15 min; The section was incubated with Stromal interaction molecule 1 Monoclonal Antibody, Unconjugated (bsm-61325R) at 1:200 overnight at 4°C, followed by conjugation to the bs-0295G-HRP and DAB (C-0010) staining.
Paraformaldehyde-fixed, paraffin embedded Human Lung Cancer; Antigen retrieval by boiling in sodium citrate buffer (pH6.0) for 15 min; The section was incubated with Stromal interaction molecule 1 Monoclonal Antibody, Unconjugated (bsm-61325R) at 1:200 overnight at 4°C, followed by conjugation to the bs-0295G-HRP and DAB (C-0010) staining.
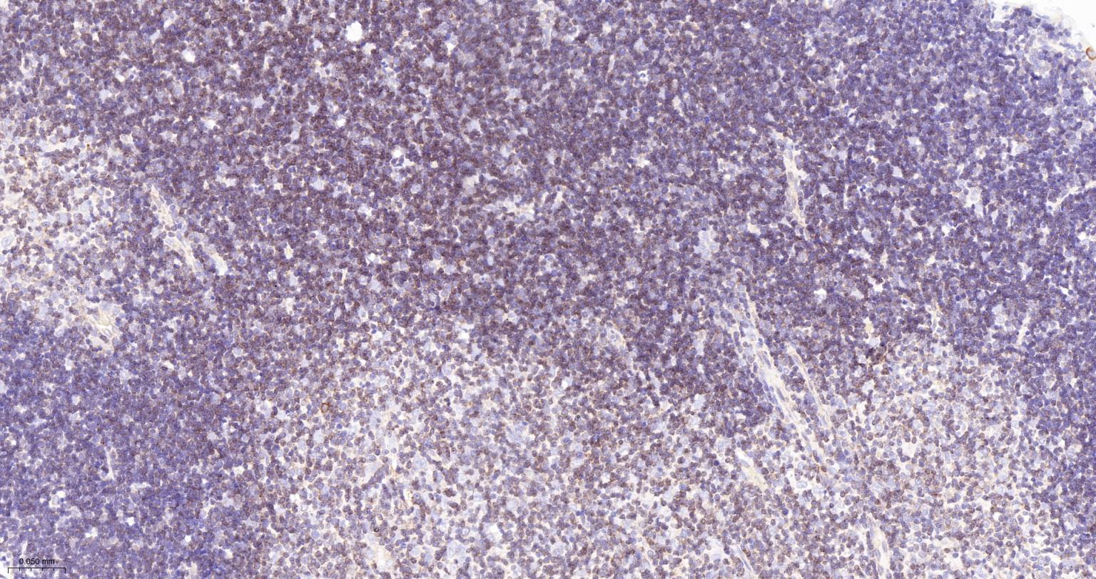
Paraformaldehyde-fixed, paraffin embedded Rat Thymus; Antigen retrieval by boiling in sodium citrate buffer (pH6.0) for 15 min; The section was incubated with Stromal interaction molecule 1 Monoclonal Antibody, Unconjugated (bsm-61325R) at 1:200 overnight at 4°C, followed by conjugation to the bs-0295G-HRP and DAB (C-0010) staining.
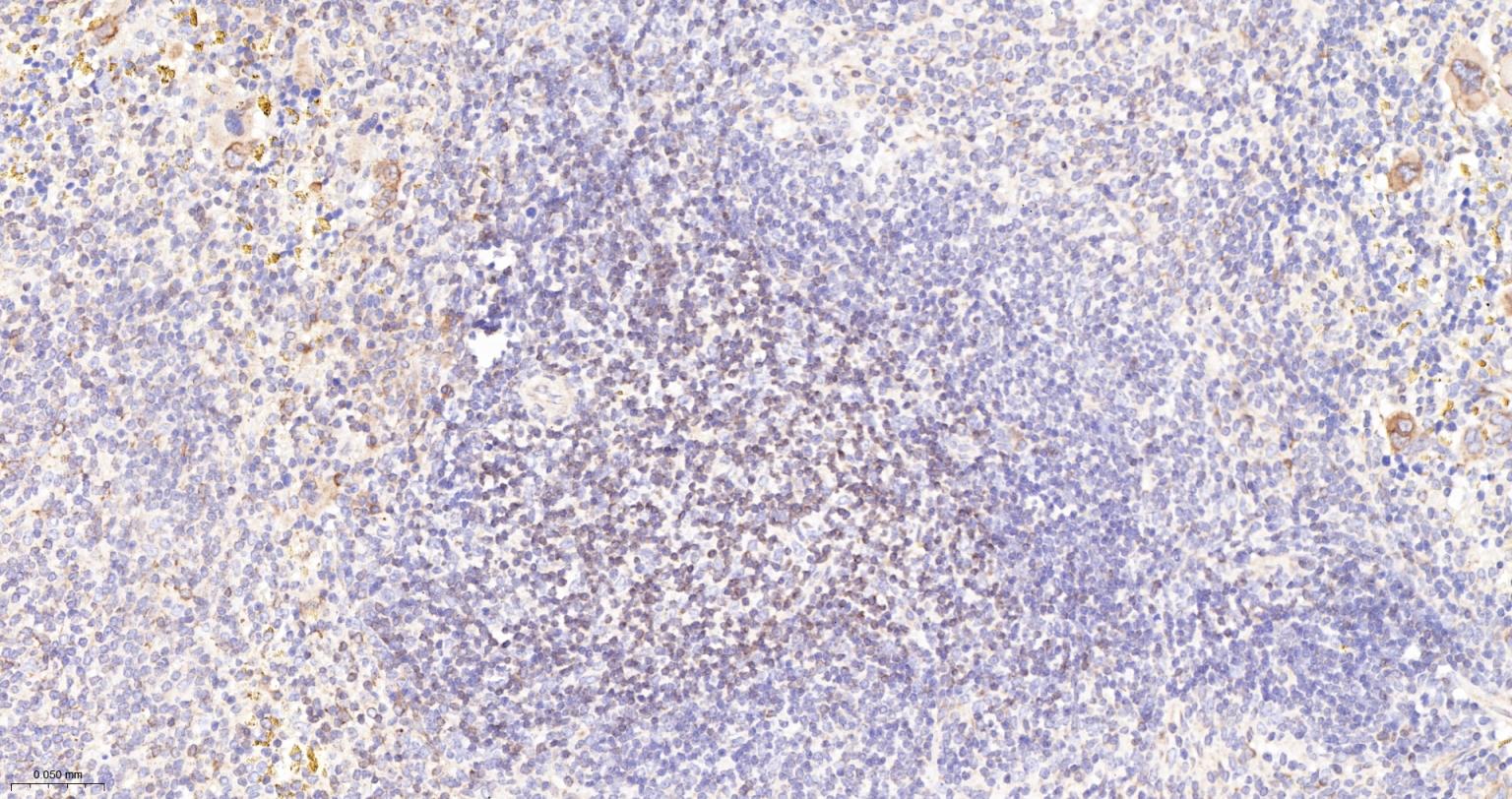
Paraformaldehyde-fixed, paraffin embedded Rat Spleen; Antigen retrieval by boiling in sodium citrate buffer (pH6.0) for 15 min; The section was incubated with Stromal interaction molecule 1 Monoclonal Antibody, Unconjugated (bsm-61325R) at 1:200 overnight at 4°C, followed by conjugation to the bs-0295G-HRP and DAB (C-0010) staining.
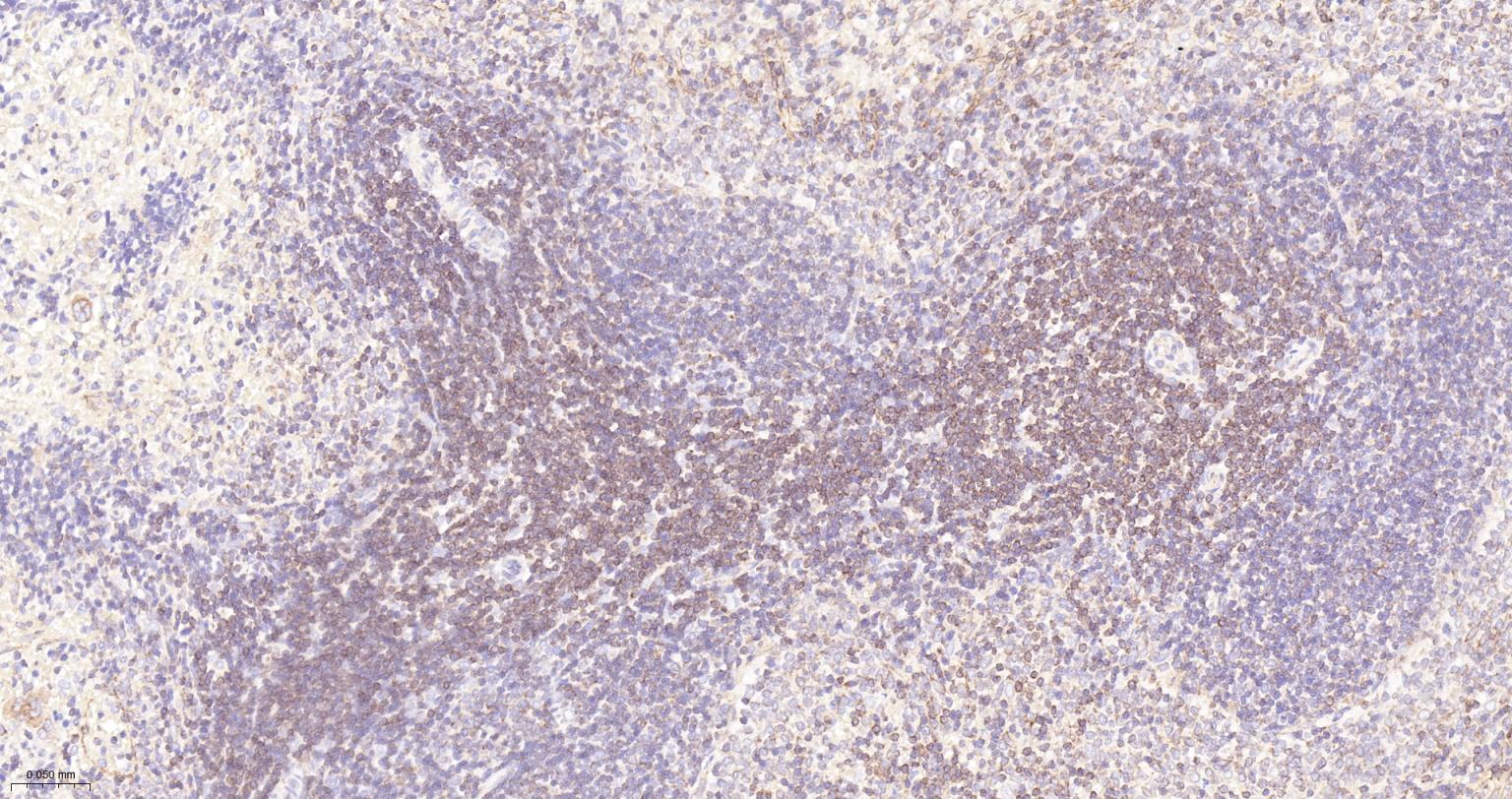
Paraformaldehyde-fixed, paraffin embedded Mouse Spleen; Antigen retrieval by boiling in sodium citrate buffer (pH6.0) for 15 min; The section was incubated with Stromal interaction molecule 1 Monoclonal Antibody, Unconjugated (bsm-61325R) at 1:200 overnight at 4°C, followed by conjugation to the bs-0295G-HRP and DAB (C-0010) staining.
The PANC-1 (H) cells were fixed with 4% PFA (10 min at r.t.) and then permeabilized with 90% ice-cold methanol for 20 min at -20℃,the cells then were incubated in 5%BSA to block non-specific protein-protein interactions (30 min at r.t.), followed by secondary antibody incubation for 40 min at room temperature. Primary Antibody (green):Rabbit Anti-Stromal interaction molecule 1 antibody (bsm-61325R,1:100); Isotype Control (orange): Rabbit IgG (bs-0295P). Blank control (black): PBS. Acquisition of 20,000 events was performed.
版权所有 2004-2026 www.bioss.com.cn 北京博奥森生物技术有限公司
通过国际质量管理体系ISO 9001:2015 GB/T 19001-2016    证书编号: 00124Q34771R2M/1100
通过国际医疗器械-质量管理体系ISO 13485:2016 GB/T 42061-2022     证书编号: CQC24QY20047R0M/1100
京ICP备05066980号-1         京公网安备110107000727号