扫码关注公众号           扫码咨询技术支持           扫码咨询技术服务
  
客服热线:400-901-9800  客服QQ:4009019800  技术答疑  技术支持  质量反馈  人才招聘  关于我们  联系我们
产品中心-北京博奥森生物技术有限公司
首页 > 产品中心 > 一抗 > 产品信息
CD36 Recombinant Rabbit mAb (bsm-61310R)  
订购热线:400-901-9800
订购邮箱:sales@bioss.com.cn
订购QQ:  400-901-9800
技术支持:techsupport@bioss.com.cn
25ul/800.00元
50ul/1400.00元
100ul/2500.00元
大包装/询价

产品编号 bsm-61310R
英文名称 CD36 Recombinant Rabbit mAb
中文名称 CD36重组兔单抗
别    名 BDPLT10; CHDS7; FAT; GP3B; GP4; GPIV; PASIV; SCARB3; GPIIIB; IV; PAS; PAS IV; PAS-4; CD36_HUMAN; CD36; Fatty acid translocase (FAT); Glycoprotein IIIb (GPIIIB); Leukocyte differentiation antigen CD36; Platelet collagen receptor; Platelet glycoprotein IV (GPIV); Thrombospondin receptor; CD36_MOUSE; CD36_RAT; Adipocyte membrane protein; Fatty acid translocase; Fatty acid transport protein;  
抗体来源 Rabbit
克隆类型 Recombinant
克 隆 号 11C9
交叉反应 Human,Mouse,Rat
产品应用 WB=1:1000-5000,IP=1:20-50
not yet tested in other applications.
optimal dilutions/concentrations should be determined by the end user.
理论分子量 53 kDa
检测分子量 78
性    状 Liquid
免 疫 原 A synthesized peptide derived from human CD36: 350-400 
亚    型 IgG
纯化方法 affinity purified by Protein A
缓 冲 液 10mM phosphate buffered saline(pH 7.4) with 150mM sodium chloride, 0.05% BSA, 0.02% Proclin300 and 50% glycerol.
保存条件 Store at 4℃ for short term. Store at -20℃ for long term. Avoid repeated freeze/thaw cycles.
注意事项 This product as supplied is intended for research use only, not for use in human, therapeutic or diagnostic applications.
PubMed PubMed
产品介绍 Multifunctional glycoprotein that acts as a receptor for a broad range of ligands. Ligands can be of proteinaceous nature like thrombospondin, fibronectin, collagen or amyloid-beta as well as of lipidic nature such as oxidized low-density lipoprotein (oxLDL), anionic phospholipids, long-chain fatty acids and bacterial diacylated lipopeptides.

SWISS:
P16671

Gene ID:
948

CD36属一种多功能细胞膜受体,CD36参与长链脂肪酸的吸附和调节细胞凋亡残物的清理和巨噬细胞的吞噬作用, 属于一种抗蛋白酶血小板膜表面糖蛋白。 CD36 广泛在单核细胞、巨噬细胞、内皮层细胞、血小板、红细胞前板、脂肪细胞、肌肉细胞以及乳腺内皮层细胞中有不同的表达。CD36抗原是血小板反应素的配体,两者结合后产生抑制肿瘤血管生成的效应。
产品图片
25 ug total protein per lane of various lysates (see on figure) probed with CD36 monoclonal antibody, unconjugated (bsm-61310R) at 1:2000 dilution and 4°C overnight incubation. Followed by conjugated secondary antibody incubation at r.t. for 60 min.
Paraformaldehyde-fixed, paraffin embedded Human Heart; Antigen retrieval by boiling in sodium citrate buffer (pH6.0) for 15 min; Antibody incubation with CD36 Monoclonal Antibody, Unconjugated(bsm-61310R) at 1:200 overnight at 4°C, followed by conjugation to the SP Kit (Rabbit, SP-0023) and DAB (C-0010) staining.
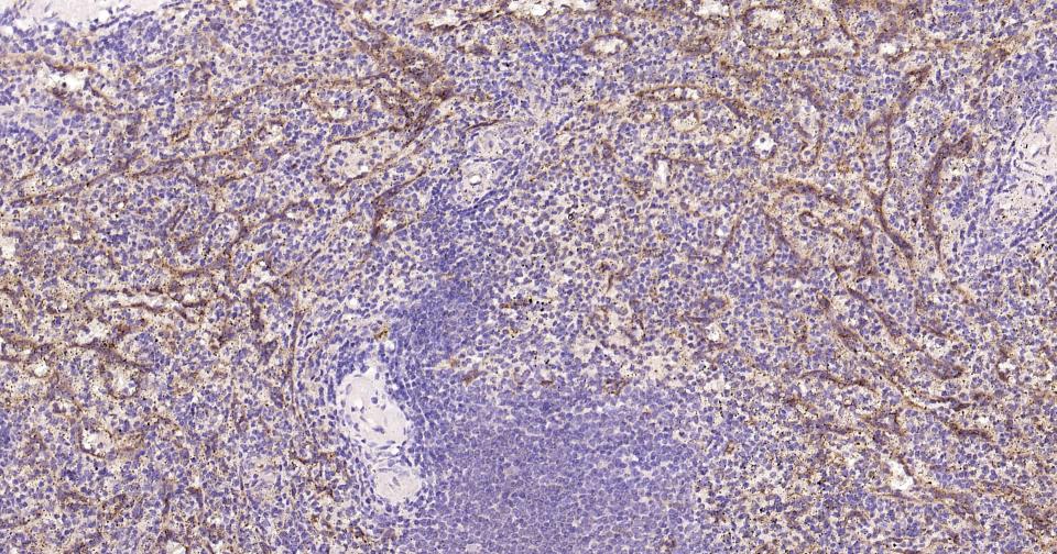
Paraformaldehyde-fixed, paraffin embedded Human Spleen; Antigen retrieval by boiling in sodium citrate buffer (pH6.0) for 15 min; Antibody incubation with CD36 Monoclonal Antibody, Unconjugated(bsm-61310R) at 1:200 overnight at 4°C, followed by conjugation to the SP Kit (Rabbit, SP-0023) and DAB (C-0010) staining.
版权所有 2004-2026 www.bioss.com.cn 北京博奥森生物技术有限公司
通过国际质量管理体系ISO 9001:2015 GB/T 19001-2016    证书编号: 00124Q34771R2M/1100
通过国际医疗器械-质量管理体系ISO 13485:2016 GB/T 42061-2022     证书编号: CQC24QY20047R0M/1100
京ICP备05066980号-1         京公网安备110107000727号