扫码关注公众号           扫码咨询技术支持           扫码咨询技术服务
  
客服热线:400-901-9800  客服QQ:4009019800  技术答疑  技术支持  质量反馈  人才招聘  关于我们  联系我们
产品中心-北京博奥森生物技术有限公司
首页 > 产品中心 > 一抗 > 产品信息
PSA Recombinant Rabbit mAb (bsm-61304R)  
订购热线:400-901-9800
订购邮箱:sales@bioss.com.cn
订购QQ:  400-901-9800
技术支持:techsupport@bioss.com.cn
25ul/800.00元
50ul/1400.00元
100ul/2500.00元
大包装/询价

产品编号 bsm-61304R
英文名称 PSA Recombinant Rabbit mAb
中文名称 人前列腺特异性抗原重组兔单抗
别    名 APS; KLK2A1; PSA; hK3; KLK3_HUMAN; KLK3; Gamma-seminoprotein (Seminin); Kallikrein-3; P-30 antigen; Semenogelase; 3.4.21.77;   
抗体来源 Rabbit
克隆类型 Recombinant
克 隆 号 11G7
交叉反应 Human
产品应用 IHC-P=1:200-800,IHC-F=1:200-800,IF=1:200-800
not yet tested in other applications.
optimal dilutions/concentrations should be determined by the end user.
理论分子量 29 kDa
检测分子量 34
性    状 Liquid
免 疫 原 A synthesized peptide derived from human PSA: 215-261/261 
亚    型 IgG
纯化方法 affinity purified by Protein A
缓 冲 液 10mM phosphate buffered saline(pH 7.4) with 150mM sodium chloride, 0.05% BSA, 0.02% Proclin300 and 50% glycerol.
保存条件 Store at 4℃ for short term. Store at -20℃ for long term. Avoid repeated freeze/thaw cycles.
注意事项 This product as supplied is intended for research use only, not for use in human, therapeutic or diagnostic applications.
PubMed PubMed
产品介绍 Hydrolyzes semenogelin-1 thus leading to the liquefaction of the seminal coagulum.

SWISS:
P07288

Gene ID:
354

KLK3目前认为是前列腺癌很有意义的特异性标志物。激肽释放酶KLK是激肽系统的主要限速酶,它是一组存在于多数组织和体液中的丝氨酸蛋白酶,是一种肽链内切酶。KLK又称血管舒缓素,包括15个家族成员。在不同的组织中广泛表达,具有蛋白水解酶的活性。它特异性的在碳末端切割底物肽,可裂解激肽原释放具有活性的激肽,由激肽发挥对心血管系统及肾脏功能的调节作用。 组织KLK是一个大的基因家族,主要分布在肺、肾、血管、脑、肾上腺组织,为一种中等大小的糖蛋白。
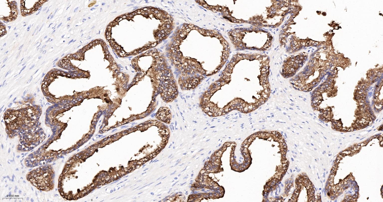
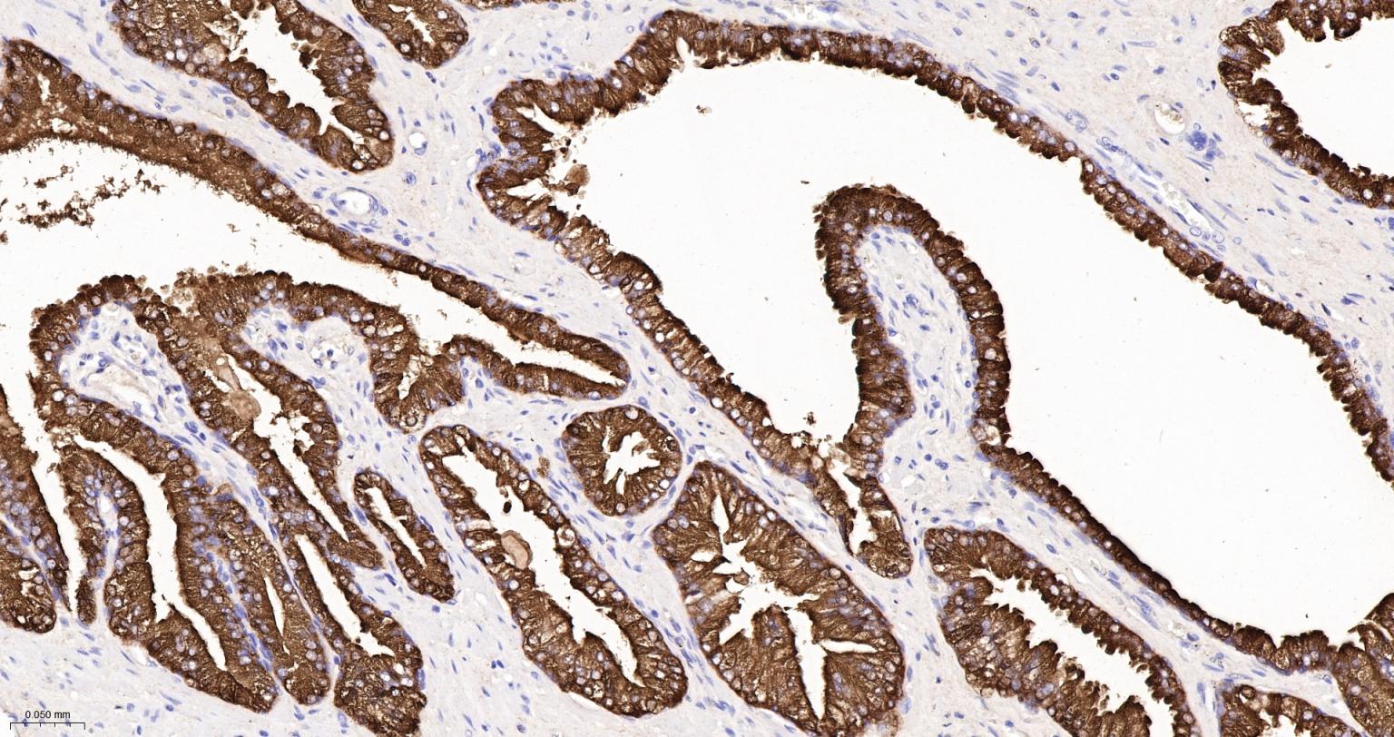
产品图片
Paraformaldehyde-fixed, paraffin embedded Human prostate; Antigen retrieval by boiling in sodium citrate buffer (pH6.0) for 15 min; Antibody incubation with PSA Monoclonal Antibody, Unconjugated(bsm-61304R) at 1:200 overnight at 4°C, followed by conjugation to the bs-0295G-HRP and DAB (C-0010) staining.
Paraformaldehyde-fixed, paraffin embedded Human prostate cancer; Antigen retrieval by boiling in sodium citrate buffer (pH6.0) for 15 min; Antibody incubation with PSA Monoclonal Antibody, Unconjugated(bsm-61304R) at 1:200 overnight at 4°C, followed by conjugation to the bs-0295G-HRP and DAB (C-0010) staining.
版权所有 2004-2026 www.bioss.com.cn 北京博奥森生物技术有限公司
通过国际质量管理体系ISO 9001:2015 GB/T 19001-2016    证书编号: 00124Q34771R2M/1100
通过国际医疗器械-质量管理体系ISO 13485:2016 GB/T 42061-2022     证书编号: CQC24QY20047R0M/1100
京ICP备05066980号-1         京公网安备110107000727号