扫码关注公众号           扫码咨询技术支持           扫码咨询技术服务
  
客服热线:400-901-9800  客服QQ:4009019800  技术答疑  技术支持  质量反馈  人才招聘  关于我们  联系我们
产品中心-北京博奥森生物技术有限公司
首页 > 产品中心 > 一抗 > 产品信息
PKM2 Recombinant Rabbit mAb (bsm-61301R)  
订购热线:400-901-9800
订购邮箱:sales@bioss.com.cn
订购QQ:  400-901-9800
技术支持:techsupport@bioss.com.cn
25ul/800.00元
50ul/1400.00元
100ul/2500.00元
大包装/询价

产品编号 bsm-61301R
英文名称 PKM2 Recombinant Rabbit mAb
中文名称 丙酮酸激酶M2重组兔单抗
别    名 CTHBP; HEL-S-30; OIP3; PK3; PKM2; TCB; THBP1; p58; Pk-2; Pk-3; PK; PKM12; KPYM_HUMAN; PKM; Cytosolic thyroid hormone-binding protein (CTHBP); Opa-interacting protein 3 (OIP-3); Pyruvate kinase 2/3; Pyruvate kinase muscle isozyme; Threonine-protein kinase PKM2; Thyroid hormone-binding protein 1 (THBP1); Tumor M2-PK; Tyrosine-protein kinase PKM2; 2.7.1.40; PK2; KPYM_MOUSE; Pykm; KPYM_RAT;  
抗体来源 Rabbit
克隆类型 Recombinant
克 隆 号 9H2
交叉反应 Human,Mouse,Rat
产品应用 WB=1:1000-2000,IHC-P=1:100-500,IHC-F=1:100-500,IF=1:100-500,Flow-Cyt=1:50-100,ICC/IF=1:50-200
not yet tested in other applications.
optimal dilutions/concentrations should be determined by the end user.
理论分子量 58 kDa
检测分子量 60
性    状 Liquid
免 疫 原 A synthesized peptide derived from human PKM: 50-100 
亚    型 IgG
纯化方法 affinity purified by Protein A
缓 冲 液 10mM phosphate buffered saline(pH 7.4) with 150mM sodium chloride, 0.05% BSA, 0.02% Proclin300 and 50% glycerol.
保存条件 Store at 4℃ for short term. Store at -20℃ for long term. Avoid repeated freeze/thaw cycles.
注意事项 This product as supplied is intended for research use only, not for use in human, therapeutic or diagnostic applications.
PubMed PubMed
产品介绍 Catalyzes the final rate-limiting step of glycolysis by mediating the transfer of a phosphoryl group from phosphoenolpyruvate (PEP) to ADP, generating ATP. The ratio between the highly active tetrameric form and nearly inactive dimeric form determines whether glucose carbons are channeled to biosynthetic processes or used for glycolytic ATP production.

SWISS:
P14618

Gene ID:
5315

丙酮酸激酶(PK)有L、R、M1、M2四种同功酶,均为四聚体。 L型主要分布于肝脏,R型存在于红细胞,在结构、免疫学和动力学上十分相似,由同一基因调控;M1存在于肌肉中,M2分布于除上述以外的其他组织(尤以肾脏最多)以及胎儿各组织。PK也是一种癌胚蛋白,在恶性肿瘤中,增高的都是M2型。
产品图片
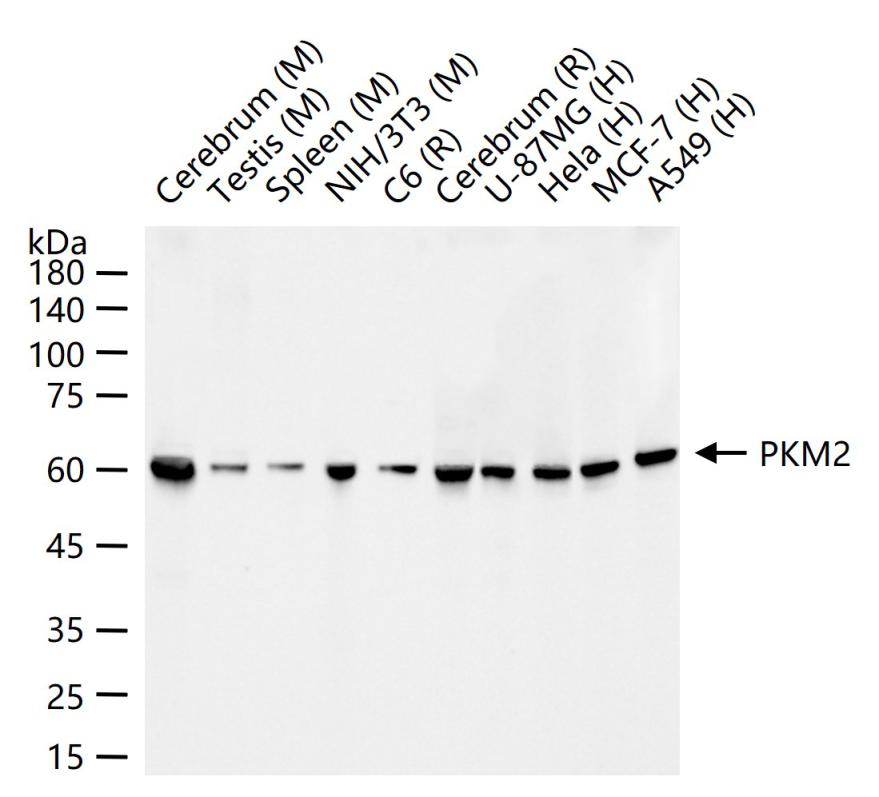
25 ug total protein per lane of various lysates (see on figure) probed with PKM2 monoclonal antibody, unconjugated (bsm-61301R) at 1:2000 dilution and 4°C overnight incubation. Followed by conjugated secondary antibody incubation at r.t. for 60 min.
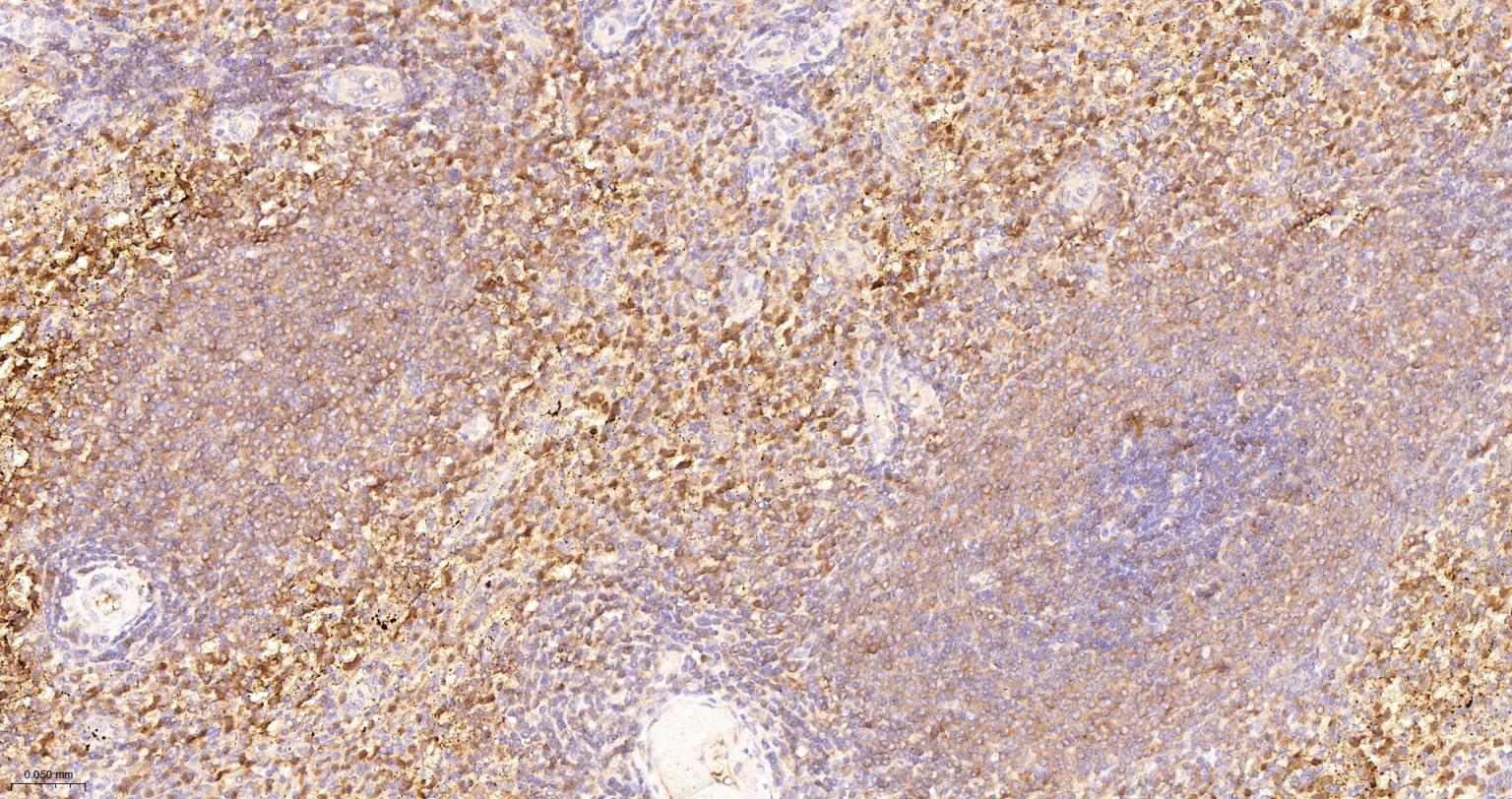
Paraformaldehyde-fixed, paraffin embedded Human Spleen; Antigen retrieval by boiling in sodium citrate buffer (pH6.0) for 15 min; Antibody incubation with PKM2 Monoclonal Antibody, Unconjugated(bsm-61301R) at 1:200 overnight at 4°C, followed by conjugation to the SP Kit(Rabbit, SP-0023) and DAB (C-0010) staining.
Paraformaldehyde-fixed, paraffin embedded Human Cervical Cancer; Antigen retrieval by boiling in sodium citrate buffer (pH6.0) for 15 min; Antibody incubation with PKM2 Monoclonal Antibody, Unconjugated(bsm-61301R) at 1:200 overnight at 4°C, followed by conjugation to the SP Kit(Rabbit, SP-0023) and DAB (C-0010) staining.
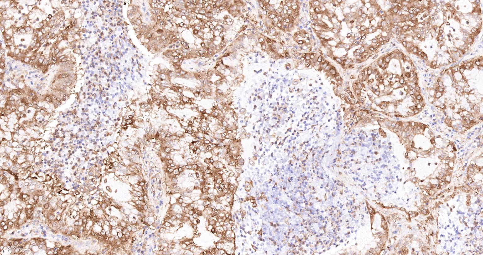
Paraformaldehyde-fixed, paraffin embedded Human Lung Cancer; Antigen retrieval by boiling in sodium citrate buffer (pH6.0) for 15 min; Antibody incubation with PKM2 Monoclonal Antibody, Unconjugated(bsm-61301R) at 1:200 overnight at 4°C, followed by conjugation to the SP Kit(Rabbit, SP-0023) and DAB (C-0010) staining.
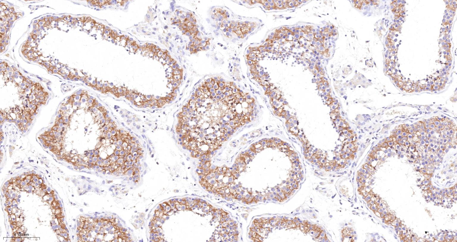
Paraformaldehyde-fixed, paraffin embedded Human Testicles; Antigen retrieval by boiling in sodium citrate buffer (pH6.0) for 15 min; Antibody incubation with PKM2 Monoclonal Antibody, Unconjugated(bsm-61301R) at 1:200 overnight at 4°C, followed by conjugation to the SP Kit(Rabbit, SP-0023) and DAB (C-0010) staining.
The Hela (H) cells were fixed with 4% PFA (10 min at r.t.) and then permeabilized with 90% ice-cold methanol for 20 min at -20℃,the cells then were incubated in 5%BSA to block non-specific protein-protein interactions (30 min at r.t.), followed by secondary antibody incubation for 40 min at room temperature. Primary Antibody (green):Rabbit Anti-PKM2 antibody (bsm-61301R,1:100); Isotype Control (orange): Rabbit IgG (bs-0295P). Blank control (black): PBS. Acquisition of 20,000 events was performed.
版权所有 2004-2026 www.bioss.com.cn 北京博奥森生物技术有限公司
通过国际质量管理体系ISO 9001:2015 GB/T 19001-2016    证书编号: 00124Q34771R2M/1100
通过国际医疗器械-质量管理体系ISO 13485:2016 GB/T 42061-2022     证书编号: CQC24QY20047R0M/1100
京ICP备05066980号-1         京公网安备110107000727号