扫码关注公众号           扫码咨询技术支持           扫码咨询技术服务
  
客服热线:400-901-9800  客服QQ:4009019800  技术答疑  技术支持  质量反馈  人才招聘  关于我们  联系我们
产品中心-北京博奥森生物技术有限公司
首页 > 产品中心 > 一抗 > 产品信息
TNFAIP3 Recombinant Rabbit mAb (bsm-61300R)  
订购热线:400-901-9800
订购邮箱:sales@bioss.com.cn
订购QQ:  400-901-9800
技术支持:techsupport@bioss.com.cn
25ul/800.00元
50ul/1400.00元
100ul/2500.00元
大包装/询价

产品编号 bsm-61300R
英文名称 TNFAIP3 Recombinant Rabbit mAb
中文名称 肿瘤坏死因子α诱导蛋白3重组兔单抗
别    名 TNAP3_HUMAN; TNFAIP3; TNF alpha-induced protein 3; OTU domain-containing protein 7C; Putative DNA-binding protein A20; Zinc finger protein A20; 2.3.2.-; 3.4.19.12; OTUD7C; TNAP3_MOUSE; Tnfip3;   
抗体来源 Rabbit
克隆类型 Recombinant
克 隆 号 18F20
交叉反应 Human
产品应用 WB=1:500-2000,IHC-P=1:50-200,IHC-F=1:50-200,IF=1:50-200,Flow-Cyt=1ug/Test,ICC/IF=1:50-200
not yet tested in other applications.
optimal dilutions/concentrations should be determined by the end user.
理论分子量 90 kDa
检测分子量 80
性    状 Liquid
免 疫 原 A synthesized peptide derived from human TNFAIP3: 500-550/790 
亚    型 IgG
纯化方法 affinity purified by Protein A
缓 冲 液 10mM phosphate buffered saline(pH 7.4) with 150mM sodium chloride, 0.05% BSA, 0.02% Proclin300 and 50% glycerol.
保存条件 Store at 4℃ for short term. Store at -20℃ for long term. Avoid repeated freeze/thaw cycles.
注意事项 This product as supplied is intended for research use only, not for use in human, therapeutic or diagnostic applications.
PubMed PubMed
产品介绍 TNFAIP3 is cytokine-inducible protein that functions to inhibit apoptosis and activation of NF-κb. Play a role in the function of the lymphoid system. Required for LPS-induced production of proinflammatory cytokines and IFN beta in LPS-tolerized macrophages.

SWISS:
P21580

Gene ID:
7128

TNFAIP3是一种泛素修饰酶,是机体重要的炎症反应负性调节因子,也是NF-κB的负调节蛋白。TNFAIP3蛋白与很多变态反应疾病的病理生理演变相关联,如:包括类风湿关节炎、冠状动脉疾病、银屑病、腹腔疾病、I型糖尿病、炎症性肠炎和系统性红斑狼疮等。
产品图片
Western blot analysis of Jurkat cell treated with TNF + TPA lysate. Using TNFAIP3 (bsm-61300R) monoclonal antibody at 1:1000 dilution and 4°C overnight incubation. Followed by conjugated secondary antibody incubation at r.t. for 60 min.
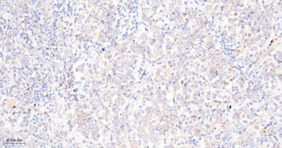
Paraformaldehyde-fixed, paraffin embedded Human Liver Cancer; Antigen retrieval by boiling in sodium citrate buffer (pH6.0) for 15 min; Antibody incubation with TNFAIP3 Monoclonal Antibody, Unconjugated(bsm-61300R) at 1:100 overnight at 4°C, followed by conjugation to the bs-0295G-HRP and DAB (C-0010) staining.
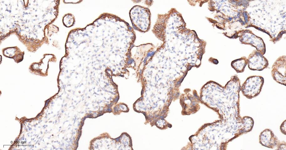
Paraformaldehyde-fixed, paraffin embedded Human Placenta; Antigen retrieval by boiling in sodium citrate buffer (pH6.0) for 15 min; Antibody incubation with TNFAIP3 Monoclonal Antibody, Unconjugated(bsm-61300R) at 1:100 overnight at 4°C, followed by conjugation to the bs-0295G-HRP and DAB (C-0010) staining.
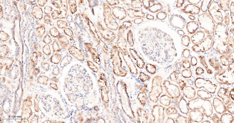
Paraformaldehyde-fixed, paraffin embedded Human Kidney; Antigen retrieval by boiling in sodium citrate buffer (pH6.0) for 15 min; Antibody incubation with TNFAIP3 Monoclonal Antibody, Unconjugated(bsm-61300R) at 1:100 overnight at 4°C, followed by conjugation to the bs-0295G-HRP and DAB (C-0010) staining.
Paraformaldehyde-fixed, paraffin embedded Human Thyroid Cancer; Antigen retrieval by boiling in sodium citrate buffer (pH6.0) for 15 min; Antibody incubation with TNFAIP3 Monoclonal Antibody, Unconjugated(bsm-61300R) at 1:100 overnight at 4°C, followed by conjugation to the bs-0295G-HRP and DAB (C-0010) staining.
4% Paraformaldehyde-fixed Hela (H) cell; Triton X-100 at r.t. for 20 min; Antibody incubation with (TNFAIP3) monoclonal Antibody, unconjugated (bsm-61300R) 1:100, 90 min at 37°C; followed by conjugated Goat Anti-Rabbit IgG antibody (green, bs-40295G-FITC) at 37°C for 90 min, DAPI (blue, C02-04002) was used to stain the cell nuclei. PBS instead of the primary antibody was used as the blank control.
The Hela (H) cells were fixed with 4% PFA (10 min at r.t.) and then permeabilized with 90% ice-cold methanol for 20 min at -20℃,the cells then were incubated in 5%BSA to block non-specific protein-protein interactions (30 min at r.t.).Primary Antibody (green):Rabbit Anti-TNFAIP3 antibody (bsm-61300R): 1 μg/10^6 cells; Secondary Antibody (white blue): Goat anti-Rabbit IgG-FITC (bs-40295G-FITC): 1 μg/test. Isotype Control (orange): Rabbit IgG (bs-0295P). Blank control (black): PBS. Acquisition of 20,000 events was performed.
版权所有 2004-2026 www.bioss.com.cn 北京博奥森生物技术有限公司
通过国际质量管理体系ISO 9001:2015 GB/T 19001-2016    证书编号: 00124Q34771R2M/1100
通过国际医疗器械-质量管理体系ISO 13485:2016 GB/T 42061-2022     证书编号: CQC24QY20047R0M/1100
京ICP备05066980号-1         京公网安备110107000727号