扫码关注公众号           扫码咨询技术支持           扫码咨询技术服务
  
客服热线:400-901-9800  客服QQ:4009019800  技术答疑  技术支持  质量反馈  人才招聘  关于我们  联系我们
产品中心-北京博奥森生物技术有限公司
首页 > 产品中心 > 一抗 > 产品信息
CTNNA1 Recombinant Rabbit mAb (bsm-61252R)  
订购热线:400-901-9800
订购邮箱:sales@bioss.com.cn
订购QQ:  400-901-9800
技术支持:techsupport@bioss.com.cn
25ul/800.00元
50ul/1400.00元
100ul/2500.00元
大包装/询价

产品编号 bsm-61252R
英文名称 CTNNA1 Recombinant Rabbit mAb
中文名称 α-连环蛋白重组兔单抗
别    名 CAP102; MDBS2; MDPT2; 2010010M04Rik; Catna1; CTNA1_HUMAN; CTNNA1; Alpha E-catenin; Cadherin-associated protein; Renal carcinoma antigen NY-REN-13; CTNA1_MOUSE; 102 kDa cadherin-associated protein (CAP102);   
抗体来源 Rabbit
克隆类型 Recombinant
克 隆 号 12F9
交叉反应 Human,Mouse,Rat
产品应用 WB=1:500-5000,IHC-P=1:50-200,IHC-F=1:50-200,IF=1:50-200,IP=1:20-50
not yet tested in other applications.
optimal dilutions/concentrations should be determined by the end user.
理论分子量 100 kDa
检测分子量 100
性    状 Liquid
免 疫 原 A synthesized peptide derived from human alpha Catenin: 1-65/906 
亚    型 IgG
纯化方法 affinity purified by Protein A
缓 冲 液 10mM phosphate buffered saline(pH 7.4) with 150mM sodium chloride, 0.05% BSA, 0.02% Proclin300 and 50% glycerol.
保存条件 Store at 4℃ for short term. Store at -20℃ for long term. Avoid repeated freeze/thaw cycles.
注意事项 This product as supplied is intended for research use only, not for use in human, therapeutic or diagnostic applications.
PubMed PubMed
产品介绍 Adherens junctions are dynamic structures that form cell-cell contacts and are important in development, differentiation, tissue integrity, morphology and cell polarity. They are composed of the transmembrane proteins, cadherins, which bind cadherins on adjacent cells in a calcium-dependent manner.

SWISS:
P35221

Gene ID:
1495

细胞粘附蛋白(Call Adhesion Protein) α-catenin是一种多功能的蛋白质,能链接E-\N-\P-钙粘附分子,具有参与细胞粘附和介导信号转导的双重功能,并与肿瘤的发生发展及浸润密切相关。 在正常个体中,βα-catenin和钙黏蛋白形成复合体,介导同型细胞的粘附,维持细胞的稳定;同时,α-catenin作为Wnt/α-catenin信号通路的关键成员在介导信号转导过程中调控细胞的增殖和凋亡。 在恶性肿瘤中,α连环蛋白的表达呈现明显的异质性,促使细胞异常增殖,还可使细胞之间的黏附性减
产品图片
25 ug total protein per lane of various lysates (see on figure) probed with CTNNA1 monoclonal antibody, unconjugated (bsm-61252R) at 1:1000 dilution and 4°C overnight incubation. Followed by conjugated secondary antibody incubation at r.t. for 60 min.
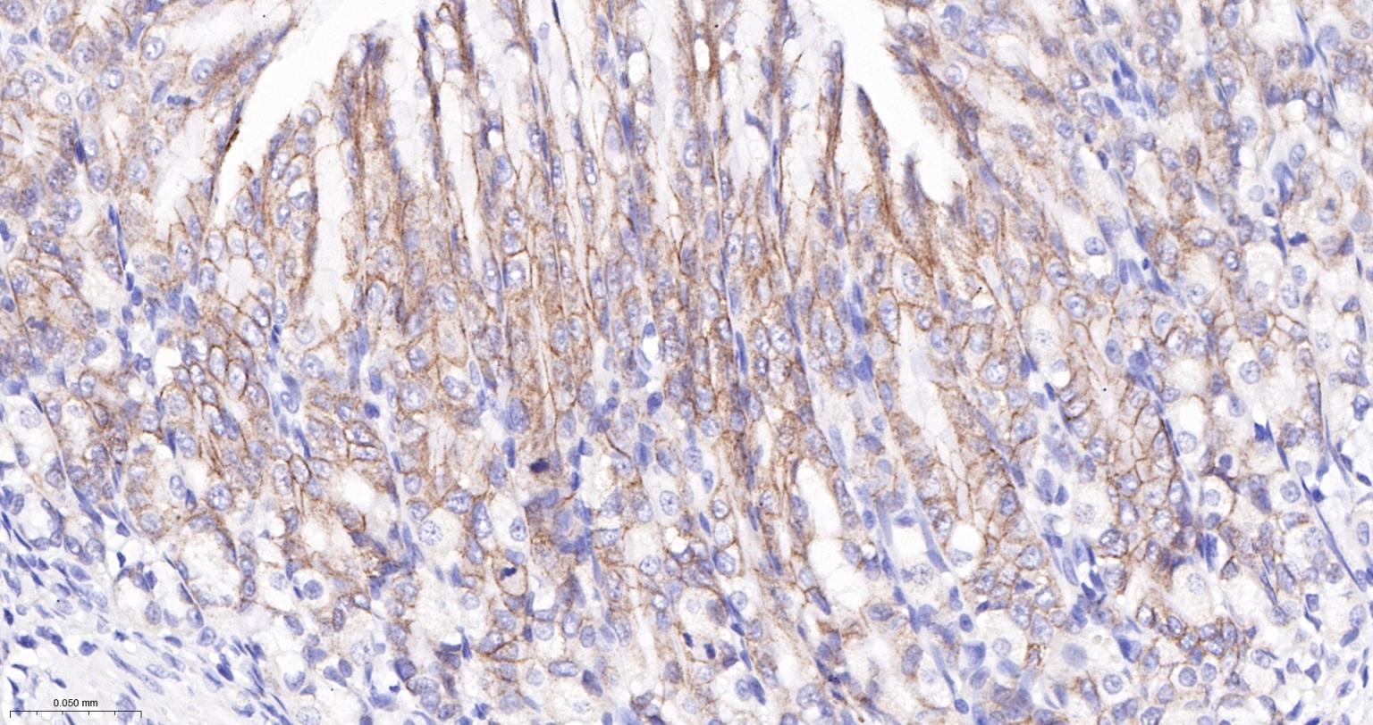
Paraformaldehyde-fixed, paraffin embedded Human Stomach; Antigen retrieval by boiling in sodium citrate buffer (pH6.0) for 15 min; The section was incubated with CTNNA1 Monoclonal Antibody, Unconjugated (bsm-61252R) at 1:200 overnight at 4°C, followed by conjugation to the bs-0295G-HRP and DAB (C-0010) staining.
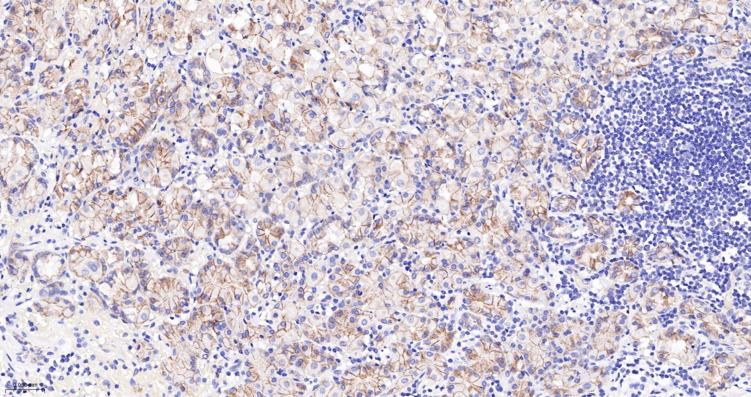
Paraformaldehyde-fixed, paraffin embedded Rat Stomach; Antigen retrieval by boiling in sodium citrate buffer (pH6.0) for 15 min; The section was incubated with CTNNA1 Monoclonal Antibody, Unconjugated (bsm-61252R) at 1:200 overnight at 4°C, followed by conjugation to the bs-0295G-HRP and DAB (C-0010) staining.
版权所有 2004-2026 www.bioss.com.cn 北京博奥森生物技术有限公司
通过国际质量管理体系ISO 9001:2015 GB/T 19001-2016    证书编号: 00124Q34771R2M/1100
通过国际医疗器械-质量管理体系ISO 13485:2016 GB/T 42061-2022     证书编号: CQC24QY20047R0M/1100
京ICP备05066980号-1         京公网安备110107000727号