扫码关注公众号           扫码咨询技术支持           扫码咨询技术服务
  
客服热线:400-901-9800  客服QQ:4009019800  技术答疑  技术支持  质量反馈  人才招聘  关于我们  联系我们
产品中心-北京博奥森生物技术有限公司
首页 > 产品中心 > 一抗 > 产品信息
STK3 Recombinant Rabbit mAb (bsm-61242R)  
订购热线:400-901-9800
订购邮箱:sales@bioss.com.cn
订购QQ:  400-901-9800
技术支持:techsupport@bioss.com.cn
25ul/800.00元
50ul/1400.00元
100ul/2500.00元
大包装/询价

产品编号 bsm-61242R
英文名称 STK3 Recombinant Rabbit mAb
中文名称 蛋白激酶MST2重组兔单抗
别    名 KRS1; MST2; KRS2; MST1; YSK3; STK4_HUMAN; STK4; Mammalian STE20-like protein kinase 1 (MST-1); STE20-like kinase MST1; Serine/threonine-protein kinase Krs-2; 2.7.11.1; STK3_HUMAN; STK3; Mammalian STE20-like protein kinase 2 (MST-2); STE20-like kinase MST2; Serine/threonine-protein kinase Krs-1; STK3_RAT;   
抗体来源 Rabbit
克隆类型 Recombinant
克 隆 号 14D11
交叉反应 Human,Mouse,Rat
产品应用 WB=1:500-2000,IHC-P=1:50-200,IHC-F=1:50-200,IF=1:50-200,Flow-Cyt=1:50-100,ICC/IF=1:50-200,IP=1:20-50
not yet tested in other applications.
optimal dilutions/concentrations should be determined by the end user.
理论分子量 56 kDa
检测分子量 60
性    状 Liquid
免 疫 原 A synthesized peptide derived from human STK3: 1-36 
亚    型 IgG
纯化方法 affinity purified by Protein A
缓 冲 液 10mM phosphate buffered saline(pH 7.4) with 150mM sodium chloride, 0.05% BSA, 0.02% Proclin300 and 50% glycerol.
保存条件 Store at 4℃ for short term. Store at -20℃ for long term. Avoid repeated freeze/thaw cycles.
注意事项 This product as supplied is intended for research use only, not for use in human, therapeutic or diagnostic applications.
PubMed PubMed
产品介绍 Stress-activated, pro-apoptotic kinase which, following caspase-cleavage, enters the nucleus and induces chromatin condensation followed by internucleosomal DNA fragmentation.

SWISS:
Q13188

Gene ID:
6789

蛋白激酶MST(Mammalian Sterile20-like Kinase) 是各种组织均有表达的丝氨酸/苏氨酸(Serine/Threonine)蛋白激酶。属于人丝氨酸/苏氨酸激酶的哺乳动物STE20样激酶(MST),MST1和MST2在caspase蛋白酶激活的细胞凋亡的上游和下游都起作用。 细胞凋亡中MST1被caspase蛋白酶切割和激活,能诱导细胞凋亡形态上的改变如染色质凝聚。哺乳动物STE20样激酶2 (Mst2) 与Mst1蛋白激酶很相似,有近90%的同源性。
产品图片
25 ug total protein per lane of various lysates (see on figure) probed with STK3 monoclonal antibody, unconjugated (bsm-61242R) at 1:2000 dilution and 4°C overnight incubation. Followed by conjugated secondary antibody incubation at r.t. for 60 min.
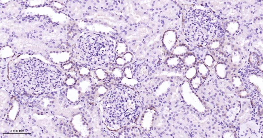
Paraformaldehyde-fixed, paraffin embedded Human Kidney ; Antigen retrieval by boiling in sodium citrate buffer (pH6.0) for 15 min; Antibody incubation with STK3 Monoclonal Antibody, Unconjugated(bsm-61242R) at 1:200 overnight at 4°C, followed by conjugation to the bs-0295G-HRP and DAB (C-0010) staining.
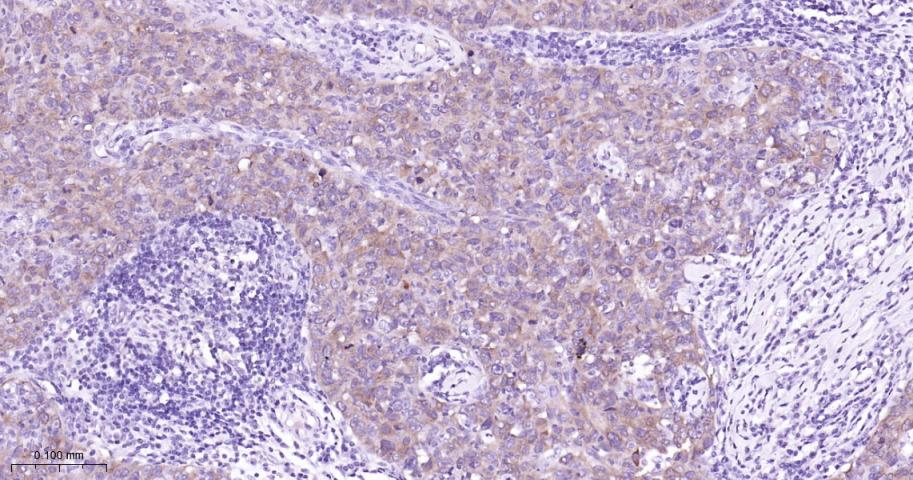
Paraformaldehyde-fixed, paraffin embedded Human Breast Cancer ; Antigen retrieval by boiling in sodium citrate buffer (pH6.0) for 15 min; Antibody incubation with STK3 Monoclonal Antibody, Unconjugated(bsm-61242R) at 1:200 overnight at 4°C, followed by conjugation to the bs-0295G-HRP and DAB (C-0010) staining.
Paraformaldehyde-fixed, paraffin embedded Human Ovarian Cancer ; Antigen retrieval by boiling in sodium citrate buffer (pH6.0) for 15 min; Antibody incubation with STK3 Monoclonal Antibody, Unconjugated(bsm-61242R) at 1:200 overnight at 4°C, followed by conjugation to the bs-0295G-HRP and DAB (C-0010) staining.
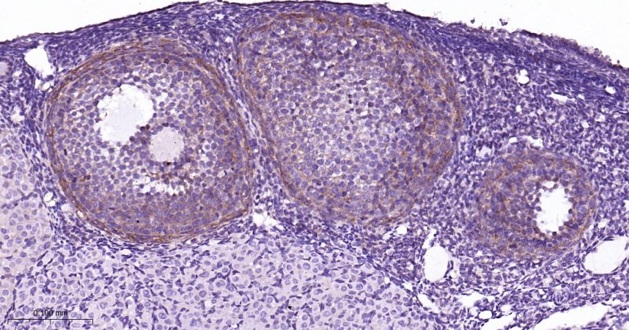
Paraformaldehyde-fixed, paraffin embedded Rat Ovary ; Antigen retrieval by boiling in sodium citrate buffer (pH6.0) for 15 min; Antibody incubation with STK3 Monoclonal Antibody, Unconjugated(bsm-61242R) at 1:200 overnight at 4°C, followed by conjugation to the bs-0295G-HRP and DAB (C-0010) staining.
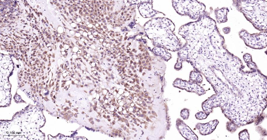
Paraformaldehyde-fixed, paraffin embedded Human Placenta ; Antigen retrieval by boiling in sodium citrate buffer (pH6.0) for 15 min; Antibody incubation with STK3 Monoclonal Antibody, Unconjugated(bsm-61242R) at 1:200 overnight at 4°C, followed by conjugation to the bs-0295G-HRP and DAB (C-0010) staining.
Paraformaldehyde-fixed, paraffin embedded Rat Placenta ; Antigen retrieval by boiling in sodium citrate buffer (pH6.0) for 15 min; Antibody incubation with STK3 Monoclonal Antibody, Unconjugated(bsm-61242R) at 1:200 overnight at 4°C, followed by conjugation to the bs-0295G-HRP and DAB (C-0010) staining.
Paraformaldehyde-fixed, paraffin embedded Mouse Placenta ; Antigen retrieval by boiling in sodium citrate buffer (pH6.0) for 15 min; Antibody incubation with STK3 Monoclonal Antibody, Unconjugated(bsm-61242R) at 1:200 overnight at 4°C, followed by conjugation to the bs-0295G-HRP and DAB (C-0010) staining.
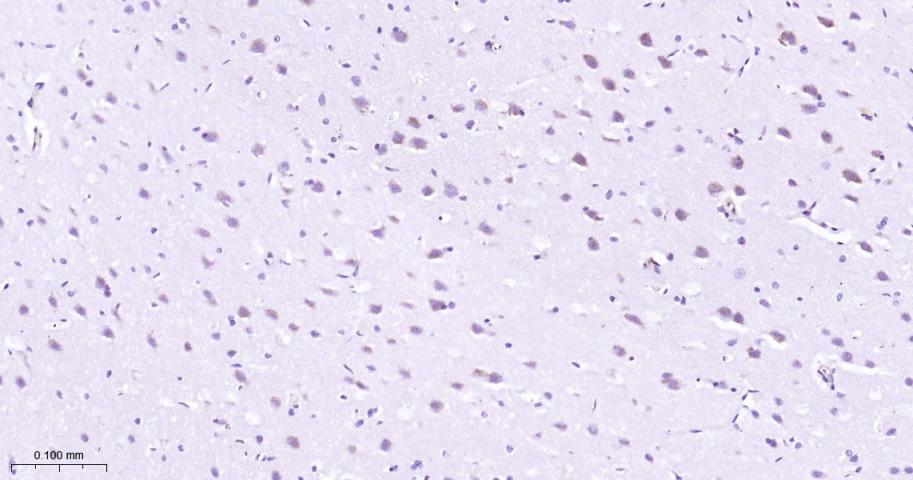
Paraformaldehyde-fixed, paraffin embedded Rat Cerebrum ; Antigen retrieval by boiling in sodium citrate buffer (pH6.0) for 15 min; Antibody incubation with STK3 Monoclonal Antibody, Unconjugated(bsm-61242R) at 1:200 overnight at 4°C, followed by conjugation to the bs-0295G-HRP and DAB (C-0010) staining.
Paraformaldehyde-fixed, paraffin embedded Mouse Cerebrum ; Antigen retrieval by boiling in sodium citrate buffer (pH6.0) for 15 min; Antibody incubation with STK3 Monoclonal Antibody, Unconjugated(bsm-61242R) at 1:200 overnight at 4°C, followed by conjugation to the bs-0295G-HRP and DAB (C-0010) staining.
版权所有 2004-2026 www.bioss.com.cn 北京博奥森生物技术有限公司
通过国际质量管理体系ISO 9001:2015 GB/T 19001-2016    证书编号: 00124Q34771R2M/1100
通过国际医疗器械-质量管理体系ISO 13485:2016 GB/T 42061-2022     证书编号: CQC24QY20047R0M/1100
京ICP备05066980号-1         京公网安备110107000727号