扫码关注公众号           扫码咨询技术支持           扫码咨询技术服务
  
客服热线:400-901-9800  客服QQ:4009019800  技术答疑  技术支持  质量反馈  人才招聘  关于我们  联系我们
产品中心-北京博奥森生物技术有限公司
首页 > 产品中心 > 一抗 > 产品信息
SERCA1 Recombinant Rabbit mAb (bsm-61239R)  
订购热线:400-901-9800
订购邮箱:sales@bioss.com.cn
订购QQ:  400-901-9800
技术支持:techsupport@bioss.com.cn
25ul/800.00元
50ul/1400.00元
100ul/2500.00元
大包装/询价

产品编号 bsm-61239R
英文名称 SERCA1 Recombinant Rabbit mAb
中文名称 肌浆网钙ATP酶1/内质网钙ATP酶1重组兔单抗
别    名 AT2A1_BOVIN; ATP2A1; SERCA1; SR Ca(2+)-ATPase 1; Calcium pump 1; Calcium-transporting ATPase sarcoplasmic reticulum type, fast twitch skeletal muscle isoform; Endoplasmic reticulum class 1/2 Ca(2+) ATPase; 7.2.2.10; AT2A1_HUMAN; AT2A1_MOUSE; AT2A1_RABIT; AT2A1_RAT;   
抗体来源 Rabbit
克隆类型 Recombinant
克 隆 号 9H2
交叉反应 Human
产品应用 WB=1:500-2000,IHC-P=1:100-500,IHC-F=1:100-500,IF=1:100-500,IP=1:20-50
not yet tested in other applications.
optimal dilutions/concentrations should be determined by the end user.
理论分子量 110 kDa
检测分子量 100
性    状 Liquid
免 疫 原 A synthesized peptide derived from human SERCA1: 1-54/1001 
亚    型 IgG
纯化方法 affinity purified by Protein A
缓 冲 液 10mM phosphate buffered saline(pH 7.4) with 150mM sodium chloride, 0.05% BSA, 0.02% Proclin300 and 50% glycerol.
保存条件 Store at 4℃ for short term. Store at -20℃ for long term. Avoid repeated freeze/thaw cycles.
注意事项 This product as supplied is intended for research use only, not for use in human, therapeutic or diagnostic applications.
PubMed PubMed
产品介绍 Key regulator of striated muscle performance by acting as the major Ca2+ ATPase responsible for the reuptake of cytosolic Ca2+ into the sarcoplasmic reticulum. Catalyzes the hydrolysis of ATP coupled with the translocation of calcium from the cytosol to the sarcoplasmic reticulum lumen.Contributes to calcium sequestration involved in muscular excitation/contraction.

SWISS:
O14983

Gene ID:
487

产品图片
25 ug total protein per lane of various lysates (see on figure) probed with SERCA1 monoclonal antibody, unconjugated (bsm-61239R) at 1:1000 dilution and 4°C overnight incubation. Followed by conjugated secondary antibody incubation at r.t. for 60 min.
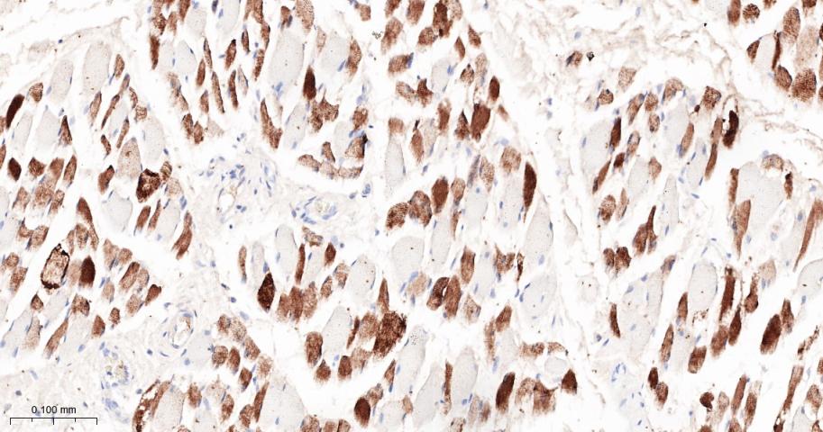
Paraformaldehyde-fixed, paraffin embedded Human Skeletal muscle; Antigen retrieval by boiling in sodium citrate buffer (pH6.0) for 15 min; The section was incubated with SERCA1 Monoclonal Antibody, Unconjugated (bsm-61239R) at 1:200 overnight at 4°C, followed by conjugation to the bs-0295G-HRP and DAB (C-0010) staining.
(Negative control) Paraformaldehyde-fixed, paraffin embedded Human Cerebellum; Antigen retrieval by boiling in sodium citrate buffer (pH6.0) for 15 min; The section was incubated with SERCA1 Monoclonal Antibody, Unconjugated (bsm-61239R) at 1:200 overnight at 4°C, followed by conjugation to the bs-0295G-HRP and DAB (C-0010) staining.
版权所有 2004-2026 www.bioss.com.cn 北京博奥森生物技术有限公司
通过国际质量管理体系ISO 9001:2015 GB/T 19001-2016    证书编号: 00124Q34771R2M/1100
通过国际医疗器械-质量管理体系ISO 13485:2016 GB/T 42061-2022     证书编号: CQC24QY20047R0M/1100
京ICP备05066980号-1         京公网安备110107000727号