扫码关注公众号           扫码咨询技术支持           扫码咨询技术服务
  
客服热线:400-901-9800  客服QQ:4009019800  技术答疑  技术支持  质量反馈  人才招聘  关于我们  联系我们
产品中心-北京博奥森生物技术有限公司
首页 > 产品中心 > 一抗 > 产品信息
CA9 Recombinant Rabbit mAb (bsm-61234R)  
订购热线:400-901-9800
订购邮箱:sales@bioss.com.cn
订购QQ:  400-901-9800
技术支持:techsupport@bioss.com.cn
25ul/800.00元
50ul/1400.00元
100ul/2500.00元
大包装/询价

产品编号 bsm-61234R
英文名称 CA9 Recombinant Rabbit mAb
中文名称 碳酸酐酶9重组兔单抗
别    名 CAIX; MN; Ca9; MN/CA9; CAH9_HUMAN; Carbonate dehydratase IX; Carbonic anhydrase IX (CA-IX | CAIX); Membrane antigen MN; P54/58N; Renal cell carcinoma-associated antigen G250 (RCC-associated antigen G250); pMW1; 4.2.1.1; G250; CAH9_MOUSE; Membrane antigen MN homolog; Car9;  
抗体来源 Rabbit
克隆类型 Recombinant
克 隆 号 10A7
交叉反应 Human
产品应用 IHC-P=1:200-800,IHC-F=1:200-800,IF=1:200-800
not yet tested in other applications.
optimal dilutions/concentrations should be determined by the end user.
理论分子量 50 kDa
检测分子量 50
性    状 Liquid
免 疫 原 A synthesized peptide derived from human Carbonic anhydrase 9: 204-256 
亚    型 IgG
纯化方法 affinity purified by Protein A
缓 冲 液 10mM phosphate buffered saline(pH 7.4) with 150mM sodium chloride, 0.05% BSA, 0.02% Proclin300 and 50% glycerol.
保存条件 Store at 4℃ for short term. Store at -20℃ for long term. Avoid repeated freeze/thaw cycles.
注意事项 This product as supplied is intended for research use only, not for use in human, therapeutic or diagnostic applications.
PubMed PubMed
产品介绍 Catalyzes the interconversion between carbon dioxide and water and the dissociated ions of carbonic acid (i.e. bicarbonate and hydrogen ions).

SWISS:
Q16790

Gene ID:
768

    碳酸酐酶9(carbonic anhydrase IX,CA IX)是新发现的碳酸酐酶家族异构体之一,是由酸性氨基酸组成的跨膜糖蛋白,在调控细胞增殖、转化方面有重要作用。     碳酸酐酶9能催化CO2水解为碳酸和水,参与机体的酸碱平衡,调节细胞内外pH值,易导致肿瘤的生长和转移,目前也是子宫肿瘤新的标记物。
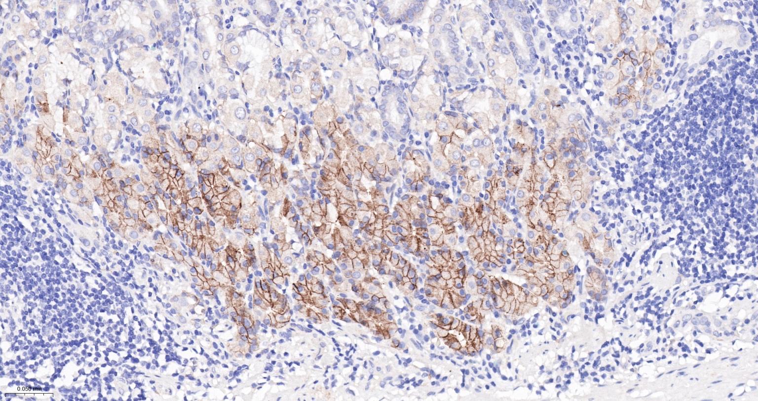
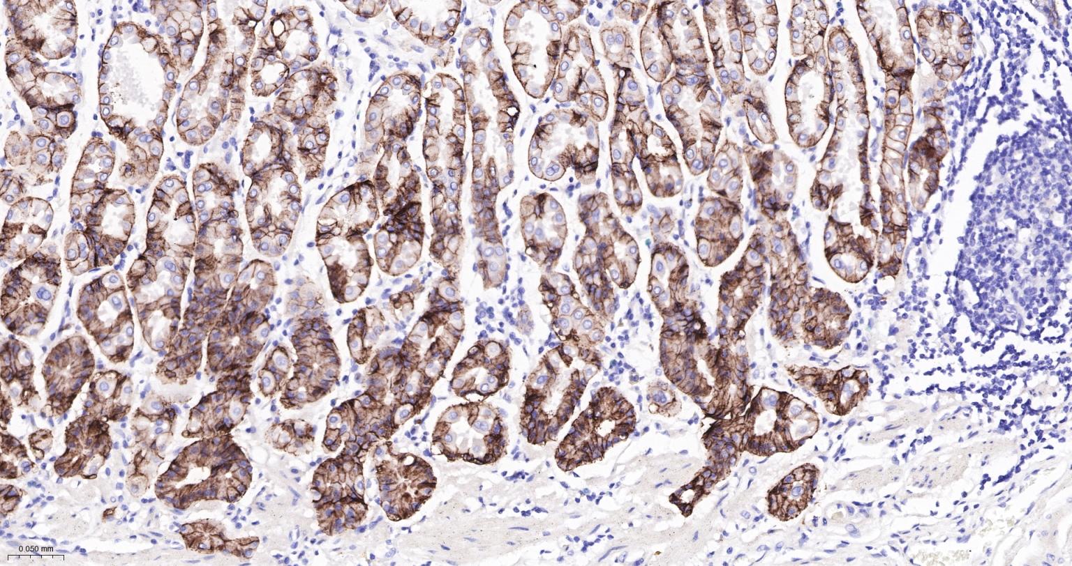
产品图片
Paraformaldehyde-fixed, paraffin embedded Human Fundus; Antigen retrieval by boiling in sodium citrate buffer (pH6.0) for 15 min; Antibody incubation with CA9 Monoclonal Antibody, Unconjugated(bsm-61234R) at 1:200 overnight at 4°C, followed by conjugation to the SP Kit(Rabbit, SP-0023) and DAB (C-0010) staining.
Paraformaldehyde-fixed, paraffin embedded Human Stomach; Antigen retrieval by boiling in sodium citrate buffer (pH6.0) for 15 min; Antibody incubation with CA9 Monoclonal Antibody, Unconjugated(bsm-61234R) at 1:200 overnight at 4°C, followed by conjugation to the SP Kit(Rabbit, SP-0023) and DAB (C-0010) staining.
版权所有 2004-2026 www.bioss.com.cn 北京博奥森生物技术有限公司
通过国际质量管理体系ISO 9001:2015 GB/T 19001-2016    证书编号: 00124Q34771R2M/1100
通过国际医疗器械-质量管理体系ISO 13485:2016 GB/T 42061-2022     证书编号: CQC24QY20047R0M/1100
京ICP备05066980号-1         京公网安备110107000727号