扫码关注公众号           扫码咨询技术支持           扫码咨询技术服务
  
客服热线:400-901-9800  客服QQ:4009019800  技术答疑  技术支持  质量反馈  人才招聘  关于我们  联系我们
产品中心-北京博奥森生物技术有限公司
首页 > 产品中心 > 一抗 > 产品信息
APOA1 Recombinant Rabbit mAb (bsm-61232R)  
订购热线:400-901-9800
订购邮箱:sales@bioss.com.cn
订购QQ:  400-901-9800
技术支持:techsupport@bioss.com.cn
25ul/800.00元
50ul/1400.00元
100ul/2500.00元
大包装/询价

产品编号 bsm-61232R
英文名称 APOA1 Recombinant Rabbit mAb
中文名称 载脂蛋白A1重组兔单抗
别    名 AMYLD3; HPALP2; apo(a); APOA1_HUMAN; APOA1; Apo-AI; ApoA-I; Apolipoprotein A1;   
抗体来源 Rabbit
克隆类型 Recombinant
克 隆 号 9B13
交叉反应 Human,Mouse
产品应用 WB=1:500-2000,IHC-P=1:50-200,IHC-F=1:50-200,IF=1:50-200
not yet tested in other applications.
optimal dilutions/concentrations should be determined by the end user.
理论分子量 31 kDa
检测分子量 25
性    状 Liquid
免 疫 原 A synthesized peptide derived from human Apolipoprotein A1: 13-50 
亚    型 IgG
纯化方法 affinity purified by Protein A
缓 冲 液 10mM phosphate buffered saline(pH 7.4) with 150mM sodium chloride, 0.05% BSA, 0.02% Proclin300 and 50% glycerol.
保存条件 Store at 4℃ for short term. Store at -20℃ for long term. Avoid repeated freeze/thaw cycles.
注意事项 This product as supplied is intended for research use only, not for use in human, therapeutic or diagnostic applications.
PubMed PubMed
产品介绍 Participates in the reverse transport of cholesterol from tissues to the liver for excretion by promoting cholesterol efflux from tissues and by acting as a cofactor for the lecithin cholesterol acyltransferase (LCAT). As part of the SPAP complex, activates spermatozoa motility.

SWISS:
P02647

Gene ID:
335

APOA1是检测高密度脂蛋白的主要形式,APOA1降低被认为是心、脑血管疾病的危险因素。 APOA1升高:常见于肝脏疾病、肝外胆道阻塞、人工透析。 APOA1降低:常见于冠心病、未控制的糖尿病、肾病综合征、营养不良、活动性肝炎、肝功能低下、动脉粥样硬化、高脂蛋白血症。
产品图片
25 ug total protein per lane of various lysates (see on figure) probed with APOA1 monoclonal antibody, unconjugated (bsm-61232R) at 1:1000 dilution and 4°C overnight incubation. Followed by conjugated secondary antibody incubation at r.t. for 60 min.
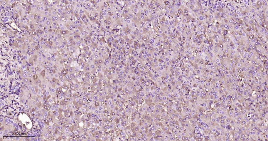
Paraformaldehyde-fixed, paraffin embedded Human Liver; Antigen retrieval by boiling in sodium citrate buffer (pH6.0) for 15 min; The section was incubated with APOA1 Monoclonal Antibody, Unconjugated (bsm-61232R) at 1:200 overnight at 4°C, followed by conjugation to the bs-0295G-HRP and DAB (C-0010) staining.
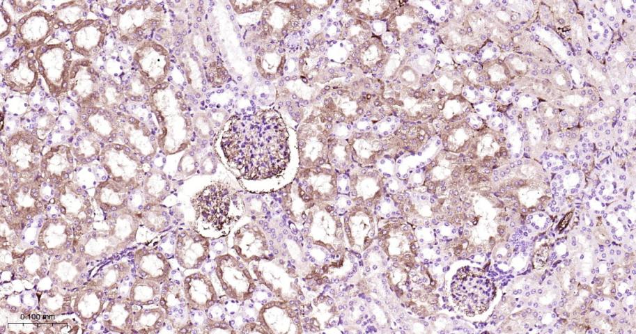
Paraformaldehyde-fixed, paraffin embedded Mouse Kidney; Antigen retrieval by boiling in sodium citrate buffer (pH6.0) for 15 min; The section was incubated with APOA1 Monoclonal Antibody, Unconjugated (bsm-61232R) at 1:200 overnight at 4°C, followed by conjugation to the bs-0295G-HRP and DAB (C-0010) staining.
版权所有 2004-2026 www.bioss.com.cn 北京博奥森生物技术有限公司
通过国际质量管理体系ISO 9001:2015 GB/T 19001-2016    证书编号: 00124Q34771R2M/1100
通过国际医疗器械-质量管理体系ISO 13485:2016 GB/T 42061-2022     证书编号: CQC24QY20047R0M/1100
京ICP备05066980号-1         京公网安备110107000727号