扫码关注公众号           扫码咨询技术支持           扫码咨询技术服务
  
客服热线:400-901-9800  客服QQ:4009019800  技术答疑  技术支持  质量反馈  人才招聘  关于我们  联系我们
产品中心-北京博奥森生物技术有限公司
首页 > 产品中心 > 一抗 > 产品信息
HTRA2 Recombinant Rabbit mAb (bsm-61230R)  
订购热线:400-901-9800
订购邮箱:sales@bioss.com.cn
订购QQ:  400-901-9800
技术支持:techsupport@bioss.com.cn
25ul/800.00元
50ul/1400.00元
100ul/2500.00元
大包装/询价

产品编号 bsm-61230R
英文名称 HTRA2 Recombinant Rabbit mAb
中文名称 线粒体丝氨酸蛋白酶重组兔单抗
别    名 MGCA8; OMI; PARK13; PRSS25; mnd2; HTRA2_HUMAN; HTRA2; High temperature requirement protein A2 (HtrA2); Omi stress-regulated endoprotease; Serine protease 25; Serine proteinase OMI; 3.4.21.108; HTRA2_MOUSE;   
抗体来源 Rabbit
克隆类型 Recombinant
克 隆 号 11A7
交叉反应 Human,Mouse,Rat
产品应用 WB=1:500-2000,IHC-P=1:100-500,IHC-F=1:100-500,IF=1:100-500,IP=1:20-50
not yet tested in other applications.
optimal dilutions/concentrations should be determined by the end user.
理论分子量 49 kDa
检测分子量 36
性    状 Liquid
免 疫 原 A synthesized peptide derived from human HTRA2: 112-170/458 
亚    型 IgG
纯化方法 affinity purified by Protein A
缓 冲 液 10mM phosphate buffered saline(pH 7.4) with 150mM sodium chloride, 0.05% BSA, 0.02% Proclin300 and 50% glycerol.
保存条件 Store at 4℃ for short term. Store at -20℃ for long term. Avoid repeated freeze/thaw cycles.
注意事项 This product as supplied is intended for research use only, not for use in human, therapeutic or diagnostic applications.
PubMed PubMed
产品介绍 Serine protease that shows proteolytic activity against a non-specific substrate beta-casein. Promotes or induces cell death either by direct binding to and inhibition of BIRC proteins (also called inhibitor of apoptosis proteins, IAPs), leading to an increase in caspase activity, or by a BIRC inhibition-independent, caspase-independent and serine protease activity-dependent mechanism. Cleaves THAP5 and promotes its degradation during apoptosis. Isoform 2 seems to be proteolytically inactive.

SWISS:
O43464

Gene ID:
27429

HtrA2/Omi是一种寡聚丝氨酸蛋白酶,存在于大部分的正常组织器官中,当细胞受到凋亡刺激时,HtrA2/Omi可由线粒体膜间隙(mitochondrial intermembrane space)释放进入细胞质中,导致出现大量的细胞凋亡性死亡,Omi/HtrA2 为促凋亡因子。
产品图片
25 ug total protein per lane of various lysates (see on figure) probed with HTRA2 monoclonal antibody, unconjugated (bsm-61230R) at 1:1000 dilution and 4°C overnight incubation. Followed by conjugated secondary antibody incubation at r.t. for 60 min.
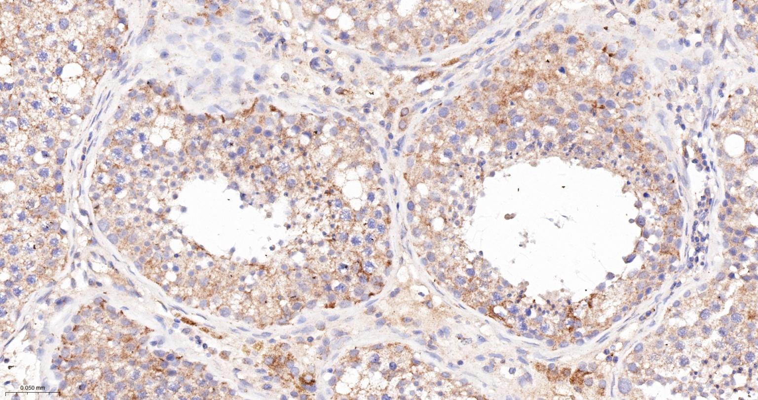
Paraformaldehyde-fixed, paraffin embedded Human Testicles; Antigen retrieval by boiling in sodium citrate buffer (pH6.0) for 15 min; The section was incubated with HTRA2 Monoclonal Antibody, Unconjugated (bsm-61230R) at 1:200 overnight at 4°C, followed by conjugation to the bs-0295G-HRP and DAB (C-0010) staining.
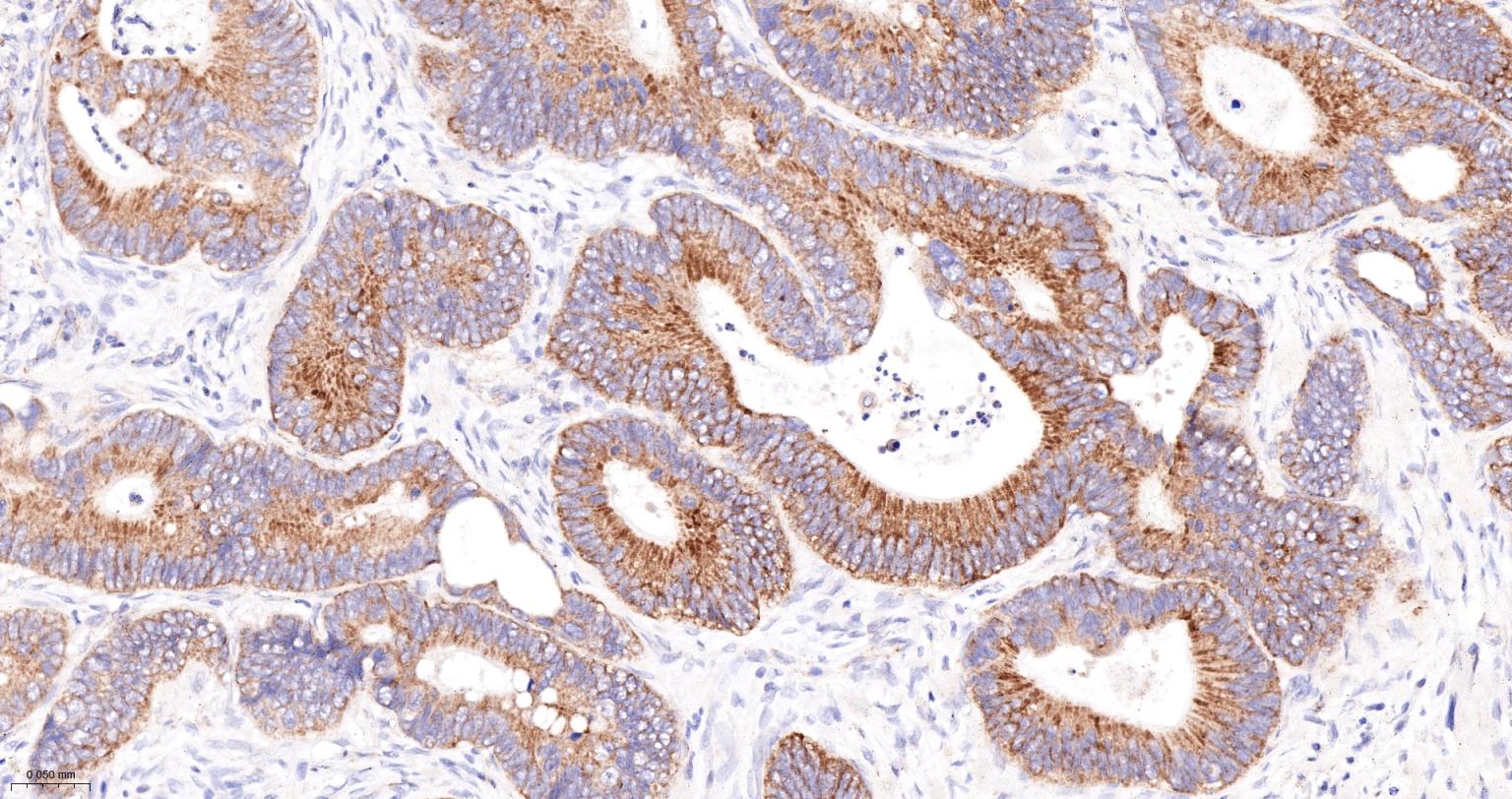
Paraformaldehyde-fixed, paraffin embedded Human Colon Cancer; Antigen retrieval by boiling in sodium citrate buffer (pH6.0) for 15 min; The section was incubated with HTRA2 Monoclonal Antibody, Unconjugated (bsm-61230R) at 1:200 overnight at 4°C, followed by conjugation to the bs-0295G-HRP and DAB (C-0010) staining.
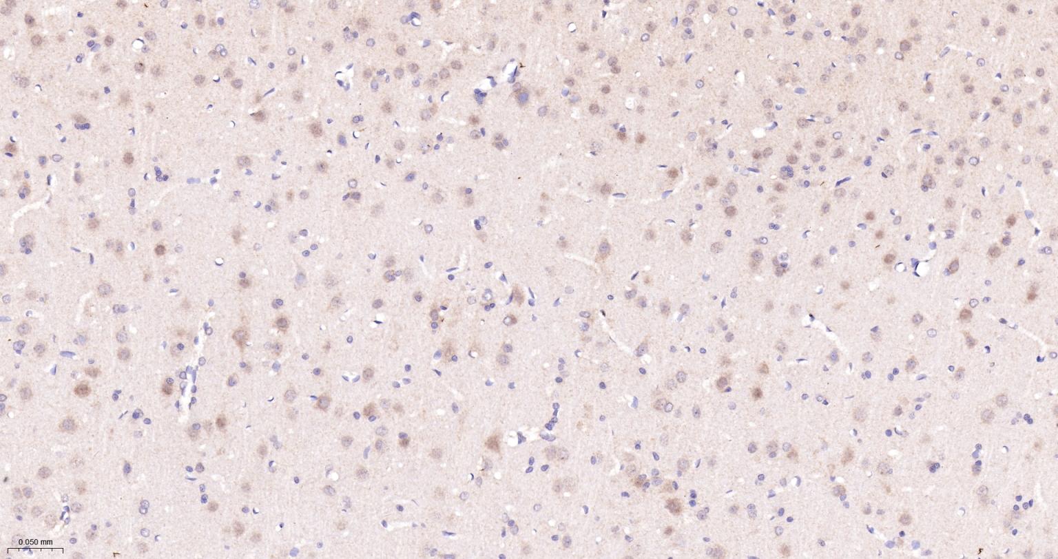
Paraformaldehyde-fixed, paraffin embedded Human Cerebrum; Antigen retrieval by boiling in sodium citrate buffer (pH6.0) for 15 min; The section was incubated with HTRA2 Monoclonal Antibody, Unconjugated (bsm-61230R) at 1:200 overnight at 4°C, followed by conjugation to the bs-0295G-HRP and DAB (C-0010) staining.
Paraformaldehyde-fixed, paraffin embedded Rat Cerebrum; Antigen retrieval by boiling in sodium citrate buffer (pH6.0) for 15 min; The section was incubated with HTRA2 Monoclonal Antibody, Unconjugated (bsm-61230R) at 1:200 overnight at 4°C, followed by conjugation to the bs-0295G-HRP and DAB (C-0010) staining.
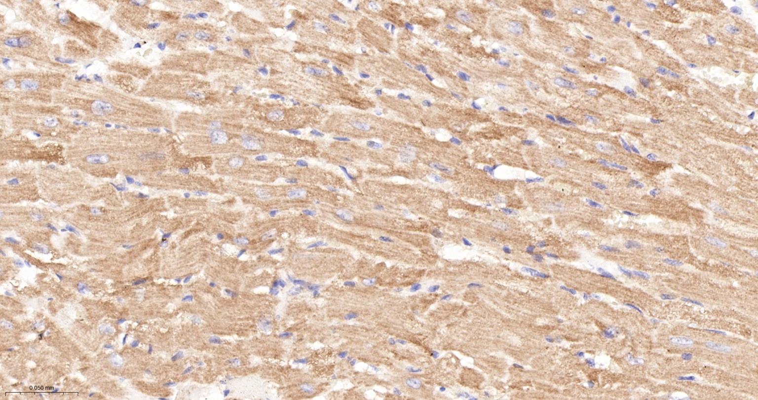
Paraformaldehyde-fixed, paraffin embedded Human Heart; Antigen retrieval by boiling in sodium citrate buffer (pH6.0) for 15 min; The section was incubated with HTRA2 Monoclonal Antibody, Unconjugated (bsm-61230R) at 1:200 overnight at 4°C, followed by conjugation to the bs-0295G-HRP and DAB (C-0010) staining.
Paraformaldehyde-fixed, paraffin embedded Mouse Heart; Antigen retrieval by boiling in sodium citrate buffer (pH6.0) for 15 min; The section was incubated with HTRA2 Monoclonal Antibody, Unconjugated (bsm-61230R) at 1:200 overnight at 4°C, followed by conjugation to the bs-0295G-HRP and DAB (C-0010) staining.
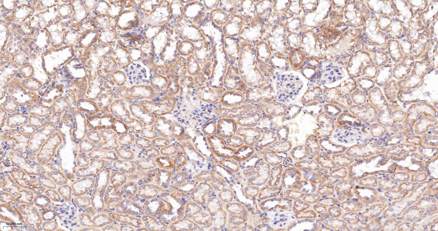
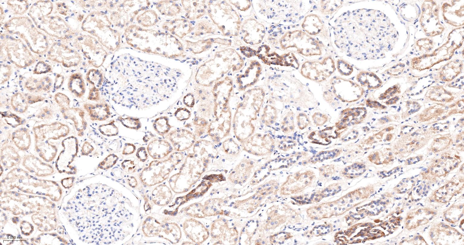
Paraformaldehyde-fixed, paraffin embedded Human Kidney; Antigen retrieval by boiling in sodium citrate buffer (pH6.0) for 15 min; The section was incubated with HTRA2 Monoclonal Antibody, Unconjugated (bsm-61230R) at 1:200 overnight at 4°C, followed by conjugation to the bs-0295G-HRP and DAB (C-0010) staining.
Paraformaldehyde-fixed, paraffin embedded Rat Kidney; Antigen retrieval by boiling in sodium citrate buffer (pH6.0) for 15 min; The section was incubated with HTRA2 Monoclonal Antibody, Unconjugated (bsm-61230R) at 1:200 overnight at 4°C, followed by conjugation to the bs-0295G-HRP and DAB (C-0010) staining.
Paraformaldehyde-fixed, paraffin embedded Mouse Kidney; Antigen retrieval by boiling in sodium citrate buffer (pH6.0) for 15 min; The section was incubated with HTRA2 Monoclonal Antibody, Unconjugated (bsm-61230R) at 1:200 overnight at 4°C, followed by conjugation to the bs-0295G-HRP and DAB (C-0010) staining.
版权所有 2004-2026 www.bioss.com.cn 北京博奥森生物技术有限公司
通过国际质量管理体系ISO 9001:2015 GB/T 19001-2016    证书编号: 00124Q34771R2M/1100
通过国际医疗器械-质量管理体系ISO 13485:2016 GB/T 42061-2022     证书编号: CQC24QY20047R0M/1100
京ICP备05066980号-1         京公网安备110107000727号