扫码关注公众号           扫码咨询技术支持           扫码咨询技术服务
  
客服热线:400-901-9800  客服QQ:4009019800  技术答疑  技术支持  质量反馈  人才招聘  关于我们  联系我们
产品中心-北京博奥森生物技术有限公司
首页 > 产品中心 > 一抗 > 产品信息
Midkine Recombinant Rabbit mAb (bsm-61219R)  
订购热线:400-901-9800
订购邮箱:sales@bioss.com.cn
订购QQ:  400-901-9800
技术支持:techsupport@bioss.com.cn
25ul/800.00元
50ul/1400.00元
100ul/2500.00元
大包装/询价

产品编号 bsm-61219R
英文名称 Midkine Recombinant Rabbit mAb
中文名称 中期因子/肝素结合生长因子重组兔单抗
别    名 ARAP; MK; NEGF2; Mek; MK_HUMAN; MDK; Amphiregulin-associated protein (ARAP); Midgestation and kidney protein; Neurite outgrowth-promoting factor 2; Neurite outgrowth-promoting protein; MK1; MK_MOUSE; Retanoic acid-responsive protein; Retinoic acid-induced differentiation factor; MK_RAT;   
抗体来源 Rabbit
克隆类型 Recombinant
克 隆 号 6B4
交叉反应 Human
产品应用 WB=1:1000-2000,IHC-P=1:100-500,IHC-F=1:100-500,IF=1:100-500,ICC/IF=1:50-200,IP=1:20-50
not yet tested in other applications.
optimal dilutions/concentrations should be determined by the end user.
理论分子量 16 kDa
检测分子量 16
性    状 Liquid
免 疫 原 A synthesized peptide derived from human Midkine: 120-143 
亚    型 IgG
纯化方法 affinity purified by Protein A
缓 冲 液 10mM phosphate buffered saline(pH 7.4) with 150mM sodium chloride, 0.05% BSA, 0.02% Proclin300 and 50% glycerol.
保存条件 Store at 4℃ for short term. Store at -20℃ for long term. Avoid repeated freeze/thaw cycles.
注意事项 This product as supplied is intended for research use only, not for use in human, therapeutic or diagnostic applications.
PubMed PubMed
产品介绍 Midkine, or MK, is a heparin-binding molecule involved in the regulation of growth and differentiation during embryogenesis. MK expression is tightly regulated during embryonic development by steroid receptors of the retinoic acid superfamily. The mature human MK protein is 118 amino acids in length and contains five intrachain disulfide bonds. MK is a non-glycosylated protein that shows greater than 87% identity between human and mouse.

SWISS:
P21741

Gene ID:
4192

中期因子(midkine, MK)具有多种生物学功能: 可促进神经轴突 的生长和各种胚胎神经元的存活,做为一种有丝分裂原,与肿瘤的发生密切相关,MK还有较强的 促血管生成特性, 经研究证实, MK可促进内皮细胞增殖并 提高血管的密度,在多种肿瘤组织和肿 瘤患者的血清中的水平都明显升高。MK和多向促激素(p leiotro2 phin, PTN)同属于一类新的结合肝素的生长因子家 族。
产品图片
Western blot analysis of Midkine Recombinant protein. Using Midkine (bsm-61219R) monoclonal antibody at 1:1000 dilution and 4°C overnight incubation. Followed by conjugated secondary antibody incubation at r.t. for 60 min.
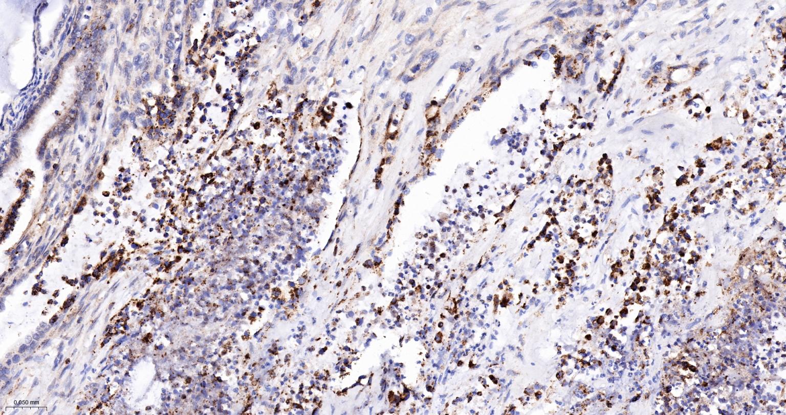
Paraformaldehyde-fixed, paraffin embedded Human Pancreatic Cancer; Antigen retrieval by boiling in sodium citrate buffer (pH6.0) for 15 min; The section was incubated with Midkine Monoclonal Antibody, Unconjugated (bsm-61219R) at 1:200 overnight at 4°C, followed by conjugation to the bs-0295G-HRP and DAB (C-0010) staining.
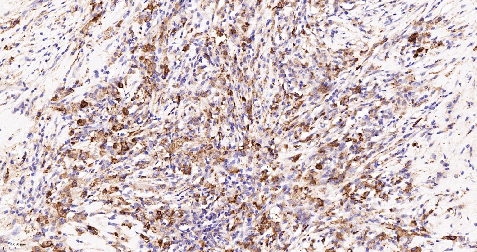
Paraformaldehyde-fixed, paraffin embedded Human Liver Cancer; Antigen retrieval by boiling in sodium citrate buffer (pH6.0) for 15 min; The section was incubated with Midkine Monoclonal Antibody, Unconjugated (bsm-61219R) at 1:200 overnight at 4°C, followed by conjugation to the bs-0295G-HRP and DAB (C-0010) staining.
版权所有 2004-2026 www.bioss.com.cn 北京博奥森生物技术有限公司
通过国际质量管理体系ISO 9001:2015 GB/T 19001-2016    证书编号: 00124Q34771R2M/1100
通过国际医疗器械-质量管理体系ISO 13485:2016 GB/T 42061-2022     证书编号: CQC24QY20047R0M/1100
京ICP备05066980号-1         京公网安备110107000727号