扫码关注公众号           扫码咨询技术支持           扫码咨询技术服务
  
客服热线:400-901-9800  客服QQ:4009019800  技术答疑  技术支持  质量反馈  人才招聘  关于我们  联系我们
产品中心-北京博奥森生物技术有限公司
首页 > 产品中心 > 一抗 > 产品信息
RhoA/B/C Recombinant Rabbit mAb (bsm-61200R)  
订购热线:400-901-9800
订购邮箱:sales@bioss.com.cn
订购QQ:  400-901-9800
技术支持:techsupport@bioss.com.cn
25ul/800.00元
50ul/1400.00元
100ul/2500.00元
大包装/询价

产品编号 bsm-61200R
英文名称 RhoA/B/C Recombinant Rabbit mAb
中文名称 RhoA/B/C重组兔单抗
别    名 ARHA; ARH12; EDFAOB; RHO12; RHOH12; Arha1; Arha2; RHOA_BOVIN; RHOA; Gb; p21; 3.6.5.2; RHOA_HUMAN; Rho cDNA clone 12 (h12); RHOA_MOUSE; RHOA_RAT;   
抗体来源 Rabbit
克隆类型 Recombinant
克 隆 号 5E6
交叉反应 Human,Mouse,Rat
产品应用 WB=1:1000-2000,IHC-P=1:100-500,IHC-F=1:100-500,IF=1:100-500,Flow-Cyt=1:50-100,ICC/IF=1:50-200
not yet tested in other applications.
optimal dilutions/concentrations should be determined by the end user.
理论分子量 22 kDa
检测分子量 23
性    状 Liquid
免 疫 原 A synthesized peptide derived from human RhoA: 1-193 
亚    型 IgG
纯化方法 affinity purified by Protein A
缓 冲 液 10mM phosphate buffered saline(pH 7.4) with 150mM sodium chloride, 0.05% BSA, 0.02% Proclin300 and 50% glycerol.
保存条件 Store at 4℃ for short term. Store at -20℃ for long term. Avoid repeated freeze/thaw cycles.
注意事项 This product as supplied is intended for research use only, not for use in human, therapeutic or diagnostic applications.
PubMed PubMed
产品介绍 RhoA , RhoB , RhoC is a small G protein of the Rho family. Regulates a signal transduction pathway linking plasma membrane receptors to the assembly of focal adhesions and actin stress fibers. The three mammalian Rho proteins (A, B and C) are approximately 30% homologous to Ras and are expressed in a wide range of cell types. Both Ras p21 and Rho p21, as well as other members of the Ras superfamily, contain a carboxy terminal CAAX sequence (C, cysteine; A, aliphatic amino acid; X, any amino acid) which in the case of Ras has been shown to be essential for correct localization and function.

SWISS:
P61586

Gene ID:
387

RhoA蛋白主要分布在细胞质和细胞膜,RhoA蛋白家族是控制细胞骨架蛋白组合、调节基因表达等细胞活动过程中的关键信号转导成分。通常,RhoA通过激活其下游的Rho 连接激酶(Rho associated kinase,ROK)而起作用。在调节细胞骨架组建的过程中,RhoA与其作用对象均在胞质内。
产品图片
25 ug total protein per lane of various lysates (see on figure) probed with RhoA/B/C monoclonal antibody, unconjugated (bsm-61200R) at 1:1000 dilution and 4°C overnight incubation. Followed by conjugated secondary antibody incubation at r.t. for 60 min.
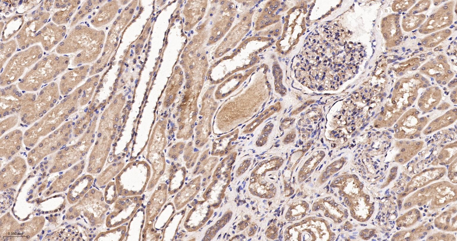
Paraformaldehyde-fixed, paraffin embedded Human kidney; Antigen retrieval by boiling in sodium citrate buffer (pH6.0) for 15 min; Antibody incubation with RhoA/B/C Monoclonal Antibody, Unconjugated (bsm-61200R) at 1:200 overnight at 4°C, followed by conjugation to the bs-0295G-HRP and DAB (C-0010) staining.
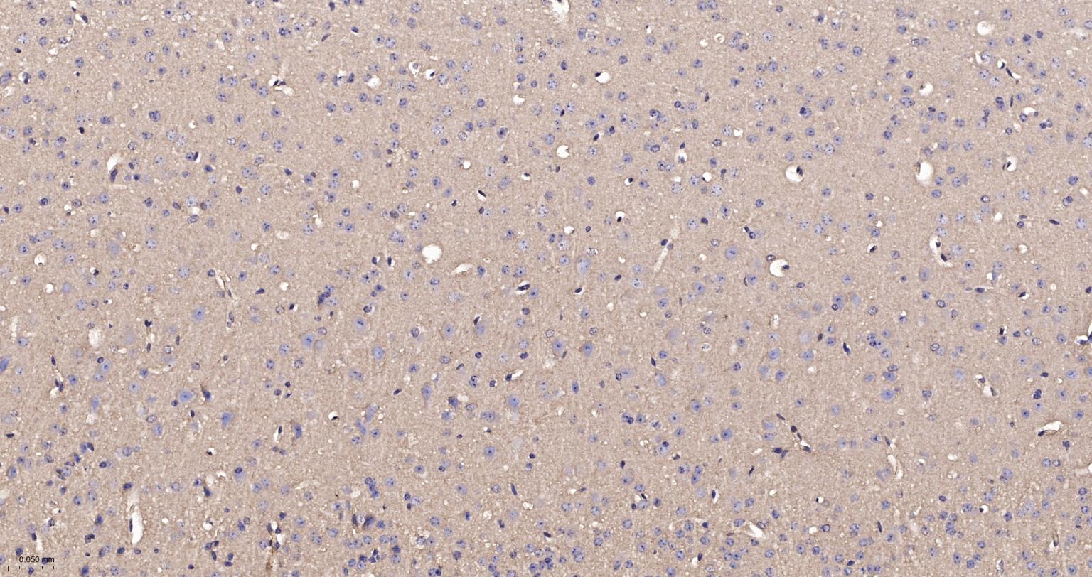
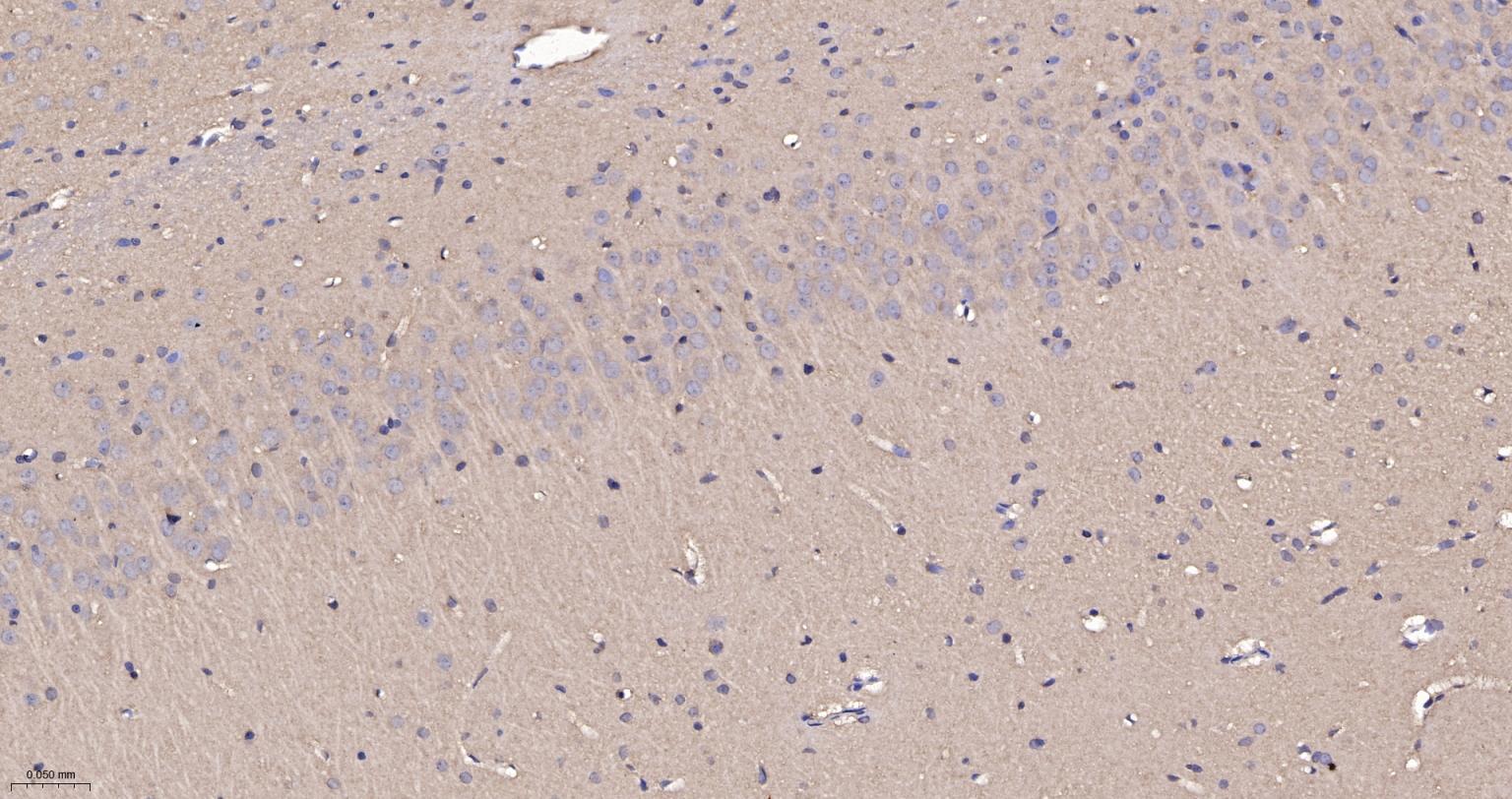
Paraformaldehyde-fixed, paraffin embedded Human Brain; Antigen retrieval by boiling in sodium citrate buffer (pH6.0) for 15 min; Antibody incubation with RhoA/B/C Monoclonal Antibody, Unconjugated (bsm-61200R) at 1:200 overnight at 4°C, followed by conjugation to the bs-0295G-HRP and DAB (C-0010) staining.
Paraformaldehyde-fixed, paraffin embedded Mouse stomach; Antigen retrieval by boiling in sodium citrate buffer (pH6.0) for 15 min; Antibody incubation with RhoA/B/C Monoclonal Antibody, Unconjugated (bsm-61200R) at 1:200 overnight at 4°C, followed by conjugation to the bs-0295G-HRP and DAB (C-0010) staining.
Paraformaldehyde-fixed, paraffin embedded Mouse brain; Antigen retrieval by boiling in sodium citrate buffer (pH6.0) for 15 min; Antibody incubation with RhoA/B/C Monoclonal Antibody, Unconjugated (bsm-61200R) at 1:200 overnight at 4°C, followed by conjugation to the bs-0295G-HRP and DAB (C-0010) staining.
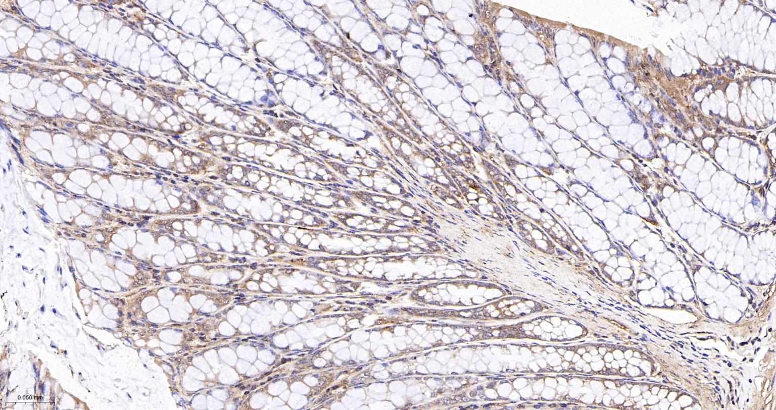
Paraformaldehyde-fixed, paraffin embedded Mouse colon; Antigen retrieval by boiling in sodium citrate buffer (pH6.0) for 15 min; Antibody incubation with RhoA/B/C Monoclonal Antibody, Unconjugated (bsm-61200R) at 1:200 overnight at 4°C, followed by conjugation to the bs-0295G-HRP and DAB (C-0010) staining.
Paraformaldehyde-fixed, paraffin embedded Rat stomach; Antigen retrieval by boiling in sodium citrate buffer (pH6.0) for 15 min; Antibody incubation with RhoA/B/C Monoclonal Antibody, Unconjugated (bsm-61200R) at 1:200 overnight at 4°C, followed by conjugation to the bs-0295G-HRP and DAB (C-0010) staining.
Paraformaldehyde-fixed, paraffin embedded Rat brain; Antigen retrieval by boiling in sodium citrate buffer (pH6.0) for 15 min; Antibody incubation with RhoA/B/C Monoclonal Antibody, Unconjugated (bsm-61200R) at 1:200 overnight at 4°C, followed by conjugation to the bs-0295G-HRP and DAB (C-0010) staining.
Paraformaldehyde-fixed, paraffin embedded Rat colon; Antigen retrieval by boiling in sodium citrate buffer (pH6.0) for 15 min; Antibody incubation with RhoA/B/C Monoclonal Antibody, Unconjugated (bsm-61200R) at 1:200 overnight at 4°C, followed by conjugation to the bs-0295G-HRP and DAB (C-0010) staining.
4% Paraformaldehyde-fixed HepG2 (H) cell; Triton X-100 at r.t. for 20 min; Antibody incubation with (RhoA/B/C) monoclonal Antibody, unconjugated (bsm-61200R) 1:100, 90 min at 37°C; followed by conjugated Goat Anti-Rabbit IgG antibody (green, bs-60295G-FITC) at 37°C for 90 min, DAPI (blue, C02-04002) was used to stain the cell nuclei. PBS instead of the primary antibody was used as the blank control.
The HepG2 (H) cells were fixed with 4% PFA (10 min at r.t.) and then permeabilized with 90% ice-cold methanol for 20 min at -20℃,the cells then were incubated in 5%BSA to block non-specific protein-protein interactions (30 min at r.t.), followed by secondary antibody incubation for 40 min at room temperature. Primary Antibody (green):Rabbit Anti-RhoA/B/C antibody (bsm-61200R,1:100); Isotype Control (orange): Rabbit IgG (bs-0295P). Blank control (black): PBS. Acquisition of 20,000 events was performed.
版权所有 2004-2026 www.bioss.com.cn 北京博奥森生物技术有限公司
通过国际质量管理体系ISO 9001:2015 GB/T 19001-2016    证书编号: 00124Q34771R2M/1100
通过国际医疗器械-质量管理体系ISO 13485:2016 GB/T 42061-2022     证书编号: CQC24QY20047R0M/1100
京ICP备05066980号-1         京公网安备110107000727号