扫码关注公众号           扫码咨询技术支持           扫码咨询技术服务
  
客服热线:400-901-9800  客服QQ:4009019800  技术答疑  技术支持  质量反馈  人才招聘  关于我们  联系我们
产品中心-北京博奥森生物技术有限公司
首页 > 产品中心 > 一抗 > 产品信息
Gamma Tubulin Recombinant Rabbit mAb (bsm-61186R)  
订购热线:400-901-9800
订购邮箱:sales@bioss.com.cn
订购QQ:  400-901-9800
技术支持:techsupport@bioss.com.cn
25ul/800.00元
50ul/1400.00元
100ul/2500.00元
大包装/询价

产品编号 bsm-61186R
英文名称 Gamma Tubulin Recombinant Rabbit mAb
中文名称 微管蛋白γ重组兔单抗
别    名 CDCBM4; GCP-1; TUBG; TUBGCP1; 1500010O08Rik; Tubgl; TBG1_HUMAN; TUBG1; Gamma-1-tubulin; Gamma-tubulin complex component 1 (GCP-1); TBG2_HUMAN; TUBG2; Gamma-2-tubulin; TBG1_MOUSE; TBG2_MOUSE; TBG1_RAT;   
抗体来源 Rabbit
克隆类型 Recombinant
克 隆 号 2B11
交叉反应 Human,Mouse,Rat (predicted: Cow,Zebrafish,Chicken,Dog,Hamster,Monkey,Xenopus)
产品应用 WB=1:500-2000,IHC-P=1:50-200,IHC-F=1:50-200,IF=1:50-200,Flow-Cyt=1:50-100,ICC/IF=1:50-200,IP=1:20-50
not yet tested in other applications.
optimal dilutions/concentrations should be determined by the end user.
理论分子量 51 kDa
检测分子量 47
性    状 Liquid
免 疫 原 A synthesized peptide derived from human gamma 1 Tubulin: 200-451/451 
亚    型 IgG
纯化方法 affinity purified by Protein A
缓 冲 液 10mM phosphate buffered saline(pH 7.4) with 150mM sodium chloride, 0.05% BSA, 0.02% Proclin300 and 50% glycerol.
保存条件 Store at 4℃ for short term. Store at -20℃ for long term. Avoid repeated freeze/thaw cycles.
注意事项 This product as supplied is intended for research use only, not for use in human, therapeutic or diagnostic applications.
PubMed PubMed
产品介绍 Tubulin is the major constituent of microtubules. The gamma chain is found at microtubule organizing centers (MTOC) such as the spindle poles or the centrosome. Pericentriolar matrix component that regulates alpha/beta chain minus-end nucleation, centrosome duplication and spindle formation.

SWISS:
Q9NRH3

Gene ID:
7283

结构蛋白(Structural Proteins) gamma tubulin 微管蛋白是存于中心体的另一种微管蛋白, gamma微管蛋白对微管的形成具有重要作用。gamma微管蛋白通过与β-微管蛋白的相互作用帮助微管的成核反应(nucleation)。即在微管的组装中gamma微管蛋白先形成一个圆或形成钩环结构, γ微管蛋白的这种结构可指导微管蛋白二聚体结合上去并进行微管的组装。gamma微管蛋白在微管的组装中起关键作用。
产品图片
25 ug total protein per lane of various lysates (see on figure) probed with Gamma Tubulin monoclonal antibody, unconjugated (bsm-61186R) at 1:2000 dilution and 4°C overnight incubation. Followed by conjugated secondary antibody incubation at r.t. for 60 min.
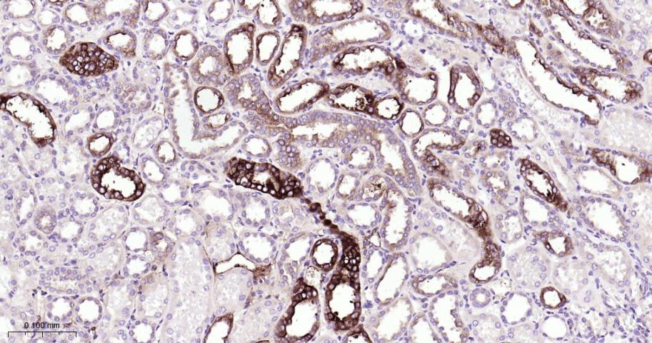
Paraformaldehyde-fixed, paraffin embedded Human Kidney; Antigen retrieval by boiling in sodium citrate buffer (pH6.0) for 15 min; Antibody incubation with Gamma Tubulin Monoclonal Antibody, Unconjugated(bsm-61186R) at 1:200 overnight at 4°C, followed by conjugation to the bs-0295G-HRP and DAB (C-0010) staining.
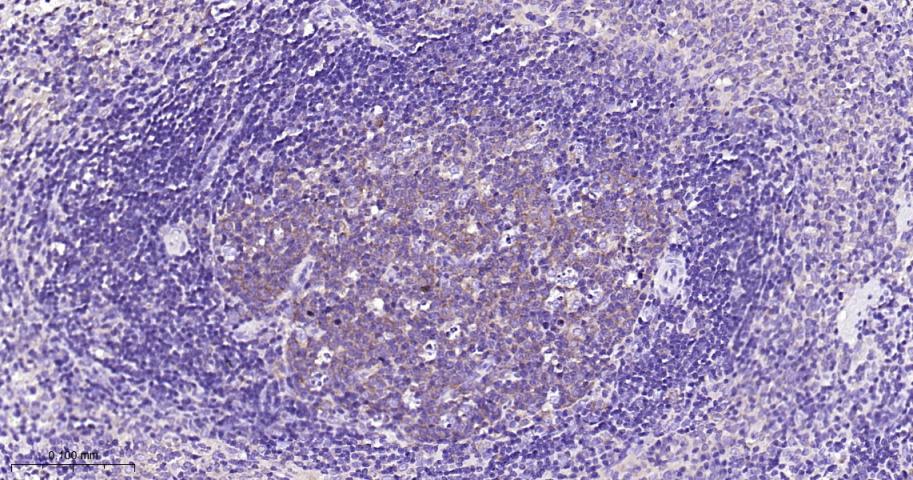
Paraformaldehyde-fixed, paraffin embedded Rat Spleen; Antigen retrieval by boiling in sodium citrate buffer (pH6.0) for 15 min; Antibody incubation with Gamma Tubulin Monoclonal Antibody, Unconjugated(bsm-61186R) at 1:200 overnight at 4°C, followed by conjugation to the bs-0295G-HRP and DAB (C-0010) staining.
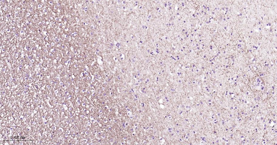
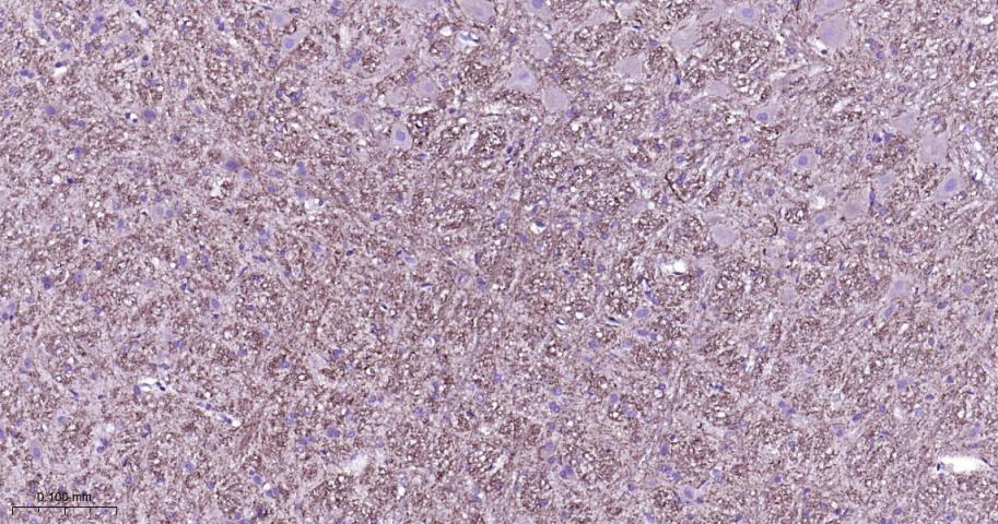
Paraformaldehyde-fixed, paraffin embedded Human Cerebrum; Antigen retrieval by boiling in sodium citrate buffer (pH6.0) for 15 min; Antibody incubation with Gamma Tubulin Monoclonal Antibody, Unconjugated(bsm-61186R) at 1:200 overnight at 4°C, followed by conjugation to the bs-0295G-HRP and DAB (C-0010) staining.
Paraformaldehyde-fixed, paraffin embedded Rat Cerebrum; Antigen retrieval by boiling in sodium citrate buffer (pH6.0) for 15 min; Antibody incubation with Gamma Tubulin Monoclonal Antibody, Unconjugated(bsm-61186R) at 1:200 overnight at 4°C, followed by conjugation to the bs-0295G-HRP and DAB (C-0010) staining.
Paraformaldehyde-fixed, paraffin embedded Mouse Cerebrum; Antigen retrieval by boiling in sodium citrate buffer (pH6.0) for 15 min; Antibody incubation with Gamma Tubulin Monoclonal Antibody, Unconjugated(bsm-61186R) at 1:200 overnight at 4°C, followed by conjugation to the bs-0295G-HRP and DAB (C-0010) staining.
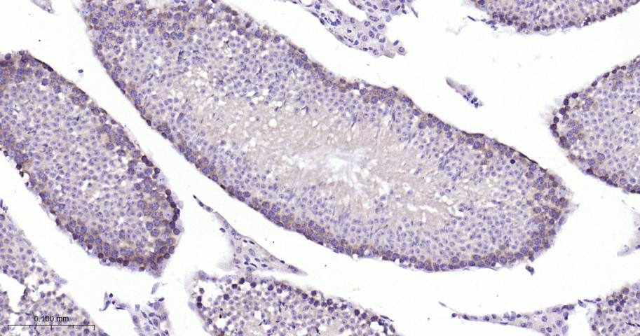
Paraformaldehyde-fixed, paraffin embedded Human Testicles; Antigen retrieval by boiling in sodium citrate buffer (pH6.0) for 15 min; Antibody incubation with Gamma Tubulin Monoclonal Antibody, Unconjugated(bsm-61186R) at 1:200 overnight at 4°C, followed by conjugation to the bs-0295G-HRP and DAB (C-0010) staining.
Paraformaldehyde-fixed, paraffin embedded Rat Testicles; Antigen retrieval by boiling in sodium citrate buffer (pH6.0) for 15 min; Antibody incubation with Gamma Tubulin Monoclonal Antibody, Unconjugated(bsm-61186R) at 1:200 overnight at 4°C, followed by conjugation to the bs-0295G-HRP and DAB (C-0010) staining.
Paraformaldehyde-fixed, paraffin embedded Mouse Testicles; Antigen retrieval by boiling in sodium citrate buffer (pH6.0) for 15 min; Antibody incubation with Gamma Tubulin Monoclonal Antibody, Unconjugated(bsm-61186R) at 1:200 overnight at 4°C, followed by conjugation to the bs-0295G-HRP and DAB (C-0010) staining.
版权所有 2004-2026 www.bioss.com.cn 北京博奥森生物技术有限公司
通过国际质量管理体系ISO 9001:2015 GB/T 19001-2016    证书编号: 00124Q34771R2M/1100
通过国际医疗器械-质量管理体系ISO 13485:2016 GB/T 42061-2022     证书编号: CQC24QY20047R0M/1100
京ICP备05066980号-1         京公网安备110107000727号