扫码关注公众号           扫码咨询技术支持           扫码咨询技术服务
  
客服热线:400-901-9800  客服QQ:4009019800  技术答疑  技术支持  质量反馈  人才招聘  关于我们  联系我们
产品中心-北京博奥森生物技术有限公司
首页 > 产品中心 > 一抗 > 产品信息
DARPP32 Recombinant Rabbit mAb (bsm-61175R)  
订购热线:400-901-9800
订购邮箱:sales@bioss.com.cn
订购QQ:  400-901-9800
技术支持:techsupport@bioss.com.cn
25ul/800.00元
50ul/1400.00元
100ul/2500.00元
大包装/询价

产品编号 bsm-61175R
英文名称 DARPP32 Recombinant Rabbit mAb
中文名称 多巴胺/cAMP调节神经磷蛋白重组兔单抗
别    名 DARPP-32; DARPP32; PPR1B_HUMAN; PPP1R1B; Dopamine- and cAMP-regulated neuronal phosphoprotein; PPR1B_MOUSE; PPR1B_RAT;   
抗体来源 Rabbit
克隆类型 Recombinant
克 隆 号 3G6
交叉反应 Human,Mouse,Rat
产品应用 WB=1:500-2000,IHC-P=1:100-500,IHC-F=1:100-500,IF=1:100-500,IP=1:20-50
not yet tested in other applications.
optimal dilutions/concentrations should be determined by the end user.
理论分子量 23 kDa
检测分子量 30
性    状 Liquid
免 疫 原 A synthesized peptide derived from human DARPP 32: 1-54 
亚    型 IgG
纯化方法 affinity purified by Protein A
缓 冲 液 10mM phosphate buffered saline(pH 7.4) with 150mM sodium chloride, 0.05% BSA, 0.02% Proclin300 and 50% glycerol.
保存条件 Store at 4℃ for short term. Store at -20℃ for long term. Avoid repeated freeze/thaw cycles.
注意事项 This product as supplied is intended for research use only, not for use in human, therapeutic or diagnostic applications.
PubMed PubMed
产品介绍 This gene encodes a bifunctional signal transduction molecule. Dopaminergic and glutamatergic receptor stimulation regulates its phosphorylation and function as a kinase or phosphatase inhibitor. As a target for dopamine, this gene may serve as a therapeutic target for neurologic and psychiatric disorders. Multiple transcript variants encoding different isoforms have been found for this gene.

SWISS:
Q9UD71

Gene ID:
84152

    DARPP-32通过自身不同位点的磷酸化对蛋白质磷酸化和去磷酸化过程发挥着双向调控的作用.DARRP-32在脑内存在于接受多巴胺能投射的神经元中,其磷酸化过程受多种神经递质的调控,在信号转导途径中处于中心位置,整合多种胞内信号转导,调节神经元的电学和化学性质以及动物的生理行为反应,参与多种生理功能和病理过程,包括药物成瘾、抑郁症、精神分裂症等.此外,DARPP-32在非神经系统的功能也逐渐被人们所认识.     多巴胺和cAMP调节的磷蛋白(dopamine and adenosine 3
产品图片
25 ug total protein per lane of various lysates (see on figure) probed with DARPP32 monoclonal antibody, unconjugated (bsm-61175R) at 1:1000 dilution and 4°C overnight incubation. Followed by conjugated secondary antibody incubation at r.t. for 60 min.
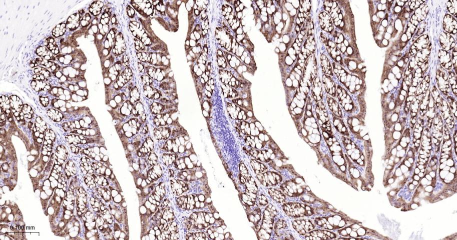
Paraformaldehyde-fixed, paraffin embedded Rat Colon; Antigen retrieval by boiling in sodium citrate buffer (pH6.0) for 15 min; The section was incubated with DARPP32 Monoclonal Antibody, Unconjugated (bsm-61175R) at 1:200 overnight at 4°C, followed by conjugation to the bs-0295G-HRP and DAB (C-0010) staining.
Paraformaldehyde-fixed, paraffin embedded Mouse Colon; Antigen retrieval by boiling in sodium citrate buffer (pH6.0) for 15 min; The section was incubated with DARPP32 Monoclonal Antibody, Unconjugated (bsm-61175R) at 1:200 overnight at 4°C, followed by conjugation to the bs-0295G-HRP and DAB (C-0010) staining.
Paraformaldehyde-fixed, paraffin embedded Rat Eye; Antigen retrieval by boiling in sodium citrate buffer (pH6.0) for 15 min; The section was incubated with DARPP32 Monoclonal Antibody, Unconjugated (bsm-61175R) at 1:200 overnight at 4°C, followed by conjugation to the bs-0295G-HRP and DAB (C-0010) staining.
Paraformaldehyde-fixed, paraffin embedded Rat Cerebrum; Antigen retrieval by boiling in sodium citrate buffer (pH6.0) for 15 min; The section was incubated with DARPP32 Monoclonal Antibody, Unconjugated (bsm-61175R) at 1:200 overnight at 4°C, followed by conjugation to the bs-0295G-HRP and DAB (C-0010) staining.
Paraformaldehyde-fixed, paraffin embedded Human Cerebellum; Antigen retrieval by boiling in sodium citrate buffer (pH6.0) for 15 min; The section was incubated with DARPP32 Monoclonal Antibody, Unconjugated (bsm-61175R) at 1:200 overnight at 4°C, followed by conjugation to the bs-0295G-HRP and DAB (C-0010) staining.
Paraformaldehyde-fixed, paraffin embedded Rat Cerebellum; Antigen retrieval by boiling in sodium citrate buffer (pH6.0) for 15 min; The section was incubated with DARPP32 Monoclonal Antibody, Unconjugated (bsm-61175R) at 1:200 overnight at 4°C, followed by conjugation to the bs-0295G-HRP and DAB (C-0010) staining.
Paraformaldehyde-fixed, paraffin embedded Mouse Cerebellum; Antigen retrieval by boiling in sodium citrate buffer (pH6.0) for 15 min; The section was incubated with DARPP32 Monoclonal Antibody, Unconjugated (bsm-61175R) at 1:200 overnight at 4°C, followed by conjugation to the bs-0295G-HRP and DAB (C-0010) staining.
Paraformaldehyde-fixed, paraffin embedded Human Colon; Antigen retrieval by boiling in sodium citrate buffer (pH6.0) for 15 min; The section was incubated with DARPP32 Monoclonal Antibody, Unconjugated (bsm-61175R) at 1:200 overnight at 4°C, followed by conjugation to the bs-0295G-HRP and DAB (C-0010) staining.
Paraformaldehyde-fixed, paraffin embedded Human Cerebrum; Antigen retrieval by boiling in sodium citrate buffer (pH6.0) for 15 min; The section was incubated with DARPP32 Monoclonal Antibody, Unconjugated (bsm-61175R) at 1:200 overnight at 4°C, followed by conjugation to the bs-0295G-HRP and DAB (C-0010) staining.
版权所有 2004-2026 www.bioss.com.cn 北京博奥森生物技术有限公司
通过国际质量管理体系ISO 9001:2015 GB/T 19001-2016    证书编号: 00124Q34771R2M/1100
通过国际医疗器械-质量管理体系ISO 13485:2016 GB/T 42061-2022     证书编号: CQC24QY20047R0M/1100
京ICP备05066980号-1         京公网安备110107000727号