扫码关注公众号           扫码咨询技术支持           扫码咨询技术服务
  
客服热线:400-901-9800  客服QQ:4009019800  技术答疑  技术支持  质量反馈  人才招聘  关于我们  联系我们
产品中心-北京博奥森生物技术有限公司
首页 > 产品中心 > 一抗 > 产品信息
p57 Kip2/Cdkn1c Recombinant Rabbit mAb (bsm-61145R)  
订购热线:400-901-9800
订购邮箱:sales@bioss.com.cn
订购QQ:  400-901-9800
技术支持:techsupport@bioss.com.cn
25ul/800.00元
50ul/1400.00元
100ul/2500.00元
大包装/询价

产品编号 bsm-61145R
英文名称 p57 Kip2/Cdkn1c Recombinant Rabbit mAb
中文名称 周期蛋白依赖激酶抑制因子1C重组兔单抗
别    名 BWCR; BWS; KIP2; WBS; p57; p57Kip2; CDKI; p57(kip2); CDN1C_HUMAN; CDKN1C; Cyclin-dependent kinase inhibitor p57; CDN1C_MOUSE; E9PTV7_RAT; Q69DC0_RAT;   
抗体来源 Rabbit
克隆类型 Recombinant
克 隆 号 4E7
交叉反应 Human,Mouse,Rat
产品应用 WB=1:1000-2000,IHC-P=1:100-200,IHC-F=1:100-200,IF=1:100-200,ICC/IF=1:50-200,IP=1:20-50
not yet tested in other applications.
optimal dilutions/concentrations should be determined by the end user.
理论分子量 32 kDa
检测分子量 50
性    状 Liquid
免 疫 原 A synthesized peptide derived from human p57 Kip2: 45-72 
亚    型 IgG
纯化方法 affinity purified by Protein A
缓 冲 液 10mM phosphate buffered saline(pH 7.4) with 150mM sodium chloride, 0.05% BSA, 0.02% Proclin300 and 50% glycerol.
保存条件 Store at 4℃ for short term. Store at -20℃ for long term. Avoid repeated freeze/thaw cycles.
注意事项 This product as supplied is intended for research use only, not for use in human, therapeutic or diagnostic applications.
PubMed PubMed
产品介绍 Potent tight-binding inhibitor of several G1 cyclin/CDK complexes (cyclin E-CDK2, cyclin D2-CDK4, and cyclin A-CDK2) and, to lesser extent, of the mitotic cyclin B-CDC2. Negative regulator of cell proliferation. May play a role in maintenance of the non-proliferative state throughout life.

SWISS:
P49918

Gene ID:
1028

p57 Kip-2调控周期蛋白依赖蛋白激酶、G1 期, 是细胞周期蛋白依赖性激酶(CDK)的抑制蛋白。它通过调控细胞周期进程,参与肿瘤细胞的增殖、分化与凋亡。在多种肿瘤中均发现p57,kip2表达异常,在某些肿瘤中是一种独立的预后因素,与肿瘤的发生、发展及预后有着密切关系。
产品图片
Western blot analysis of HeLa cells Kip2 Antibody. Using p57 Kip2/Cdkn1c (bsm-61145R) monoclonal antibody at 1:1000 dilution and 4°C overnight incubation. Followed by conjugated secondary antibody incubation at r.t. for 60 min.
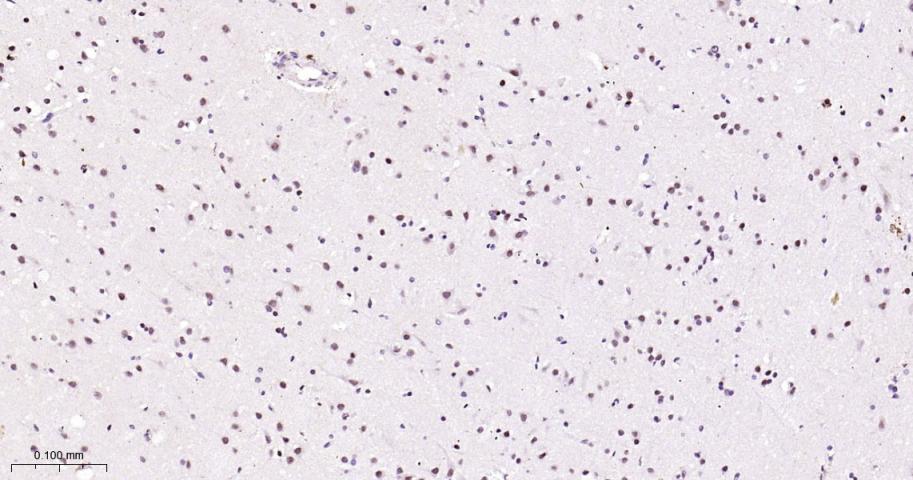
Paraformaldehyde-fixed, paraffin embedded Human Cerebrum; Antigen retrieval by boiling in sodium citrate buffer (pH6.0) for 15 min; Antibody incubation with p57 Kip2/Cdkn1c Monoclonal Antibody, Unconjugated(bsm-61145R) at 1:200 overnight at 4°C, followed by conjugation to the bs-0295G-HRP and DAB (C-0010) staining.
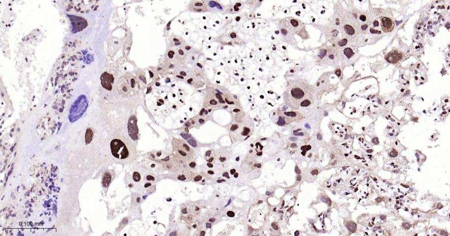
Paraformaldehyde-fixed, paraffin embedded Human Placenta; Antigen retrieval by boiling in sodium citrate buffer (pH6.0) for 15 min; Antibody incubation with p57 Kip2/Cdkn1c Monoclonal Antibody, Unconjugated(bsm-61145R) at 1:200 overnight at 4°C, followed by conjugation to the bs-0295G-HRP and DAB (C-0010) staining.
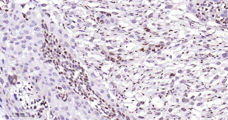
Paraformaldehyde-fixed, paraffin embedded Rat Placenta; Antigen retrieval by boiling in sodium citrate buffer (pH6.0) for 15 min; Antibody incubation with p57 Kip2/Cdkn1c Monoclonal Antibody, Unconjugated(bsm-61145R) at 1:200 overnight at 4°C, followed by conjugation to the bs-0295G-HRP and DAB (C-0010) staining.
Paraformaldehyde-fixed, paraffin embedded Mouse Placenta; Antigen retrieval by boiling in sodium citrate buffer (pH6.0) for 15 min; Antibody incubation with p57 Kip2/Cdkn1c Monoclonal Antibody, Unconjugated(bsm-61145R) at 1:200 overnight at 4°C, followed by conjugation to the bs-0295G-HRP and DAB (C-0010) staining.
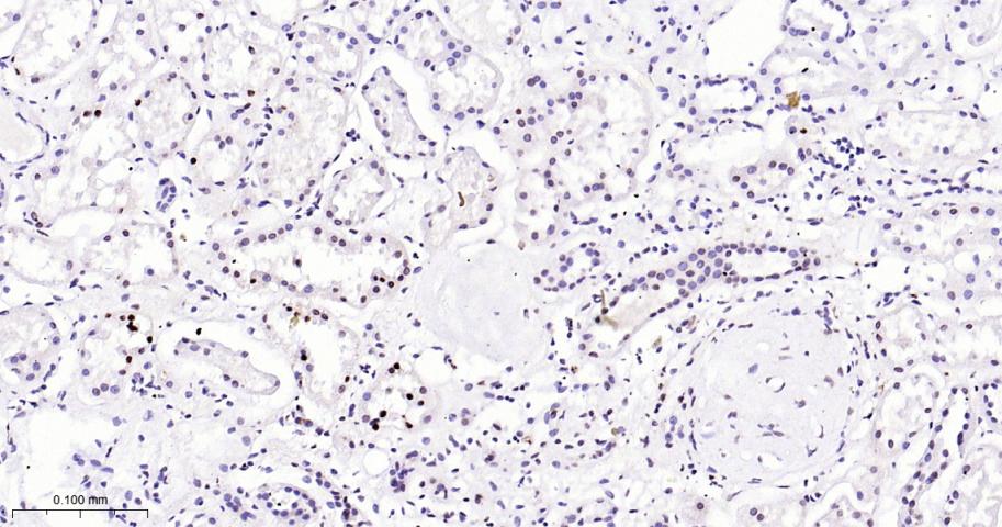
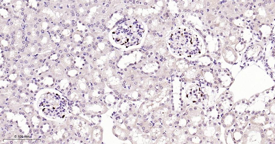
Paraformaldehyde-fixed, paraffin embedded Human Kidney; Antigen retrieval by boiling in sodium citrate buffer (pH6.0) for 15 min; Antibody incubation with p57 Kip2/Cdkn1c Monoclonal Antibody, Unconjugated(bsm-61145R) at 1:200 overnight at 4°C, followed by conjugation to the bs-0295G-HRP and DAB (C-0010) staining.
Paraformaldehyde-fixed, paraffin embedded Rat Kidney; Antigen retrieval by boiling in sodium citrate buffer (pH6.0) for 15 min; Antibody incubation with p57 Kip2/Cdkn1c Monoclonal Antibody, Unconjugated(bsm-61145R) at 1:200 overnight at 4°C, followed by conjugation to the bs-0295G-HRP and DAB (C-0010) staining.
Paraformaldehyde-fixed, paraffin embedded Mouse Kidney; Antigen retrieval by boiling in sodium citrate buffer (pH6.0) for 15 min; Antibody incubation with p57 Kip2/Cdkn1c Monoclonal Antibody, Unconjugated(bsm-61145R) at 1:200 overnight at 4°C, followed by conjugation to the bs-0295G-HRP and DAB (C-0010) staining.
版权所有 2004-2026 www.bioss.com.cn 北京博奥森生物技术有限公司
通过国际质量管理体系ISO 9001:2015 GB/T 19001-2016    证书编号: 00124Q34771R2M/1100
通过国际医疗器械-质量管理体系ISO 13485:2016 GB/T 42061-2022     证书编号: CQC24QY20047R0M/1100
京ICP备05066980号-1         京公网安备110107000727号